Лейкоз
| Лейкоз | |
|---|---|
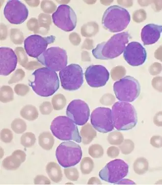
![]() Микропрепарат костного мозга больного острой В-лимфоцитарной лейкобластной лейкемией | |
| МКБ-11 | 2B33.4 |
| МКБ-10 | C91-C95 |
| МКБ-10-КМ | C95.90, C95 и C95.9 |
| МКБ-9 | 208.9 |
| МКБ-9-КМ | 208[1][2], 208.9[1][2], 207.8[2], 208.80[2], 207[2], 208.90[2], 207.80[2] и 208.8[2] |
| МКБ-О | 9800-9940 |
| DiseasesDB | 7431 |
| MedlinePlus | 001299 |
| MeSH | D007938 |
Лейко́з (греч. λευκός — белый) (ликомия (греч. λευκός — белый и греч. αἷμα — кровь), алейкеми́я[3], гемобластозы) — клональное злокачественное (неопластическое) заболевание кроветворной системы. К лейкозам относится обширная группа заболеваний, различных по своей этиологии. При лейкозах злокачественный клон может происходить как из незрелых гемопоэтических клеток костного мозга, так и из созревающих и зрелых клеток крови. Выражается системной диффузной гиперплазией всего клеточного аппарата, продуцирующего лейкоциты, независимо от того, сопровождаются ли они белокровием или протекают без него[4].
Факторы, ассоциированные с повышенным риском лейкозов
По данным клиники Мейо и ACS, точные причины возникновения лейкозов науке неизвестны[5].
Среди факторов, коррелирующих с повышенным риском возникновения лейкозов (по данным клиники Мейо): некоторые виды химиотерапии и радиотерапии, отдельные генетические нарушения, воздействие ряда химикатов, курение (выше риск острого миелобластного лейкоза), наследственность (случаи лейкозов в семье)[5].
Патогенез
При лейкозе опухолевая ткань первоначально разрастается в месте локализации костного мозга и постепенно замещает нормальные ростки кроветворения. В результате этого процесса у больных лейкозом закономерно развиваются различные варианты цитопений — анемия, тромбоцитопения, лимфоцитопения, гранулоцитопения, что приводит к повышенной кровоточивости, кровоизлияниям, подавлению иммунитета с присоединением инфекционных осложнений.

Метастазирование при лейкозе сопровождается появлением лейкозных инфильтратов в различных органах — печени, селезёнке, лимфатических узлах и др. В органах могут развиваться изменения, обусловленные обтурацией сосудов опухолевыми клетками — инфаркты, язвенно-некротические осложнения.
Лейкоз КРС Т-клеточный лейкоз человека (см. Т-лимфотропный вирус человека)
Классификация лейкозов
Можно выделить 5 основных принципов классификации:
По типу течения
- острые, из незрелых клеток (бластов)
- хронические, созревающие и зрелые клетки.
Острый лейкоз никогда не переходит в хронический, а хронический не может обостриться. Таким образом, термины «острый» и «хронический» используются только из-за удобства, значение этих терминов в гематологии отличается от значения в других медицинских дисциплинах. Для хронических лейкозов характерны периоды «обострения» — бластные кризы, когда картина крови становится похожей на острый лейкоз.
По степени дифференцировки опухолевых клеток
- недифференцированные,
- бластные,
- цитарные лейкозы.
В соответствии с цитогенезом
Эта классификация основывается на представлениях о кроветворении.
- Острые лейкозы по цитогенезу подразделяются на:
- лимфобластный,
- миелобластный,
- монобластный,
- миеломонобластный,
- эритромиелобластный,
- мегакариобластный,
- недифференцированный.
- Хронические лейкозы представлены лейкозами:
- миелоцитарного происхождения:
- хронический миелоцитарный лейкоз,
- хронический нейтрофильный лейкоз,
- хронический эозинофильный лейкоз,
- хронический базофильный лейкоз,
- миелосклероз,
- эритремия/истинная полицитемия,
- эссенциальная тромбоцитемия,
- лимфоцитарного происхождения:
- хронический лимфолейкоз,
- парапротеинемические лейкозы:
- миеломная болезнь,
- первичная макроглобулинемия Вальденстрёма,
- болезнь тяжёлых цепей Франклина,
- лимфоматоз кожи — болезнь Сезари,
- моноцитарного происхождения:
- хронический моноцитарный лейкоз,
- хронический миеломоноцитарный лейкоз,
- гистиоцитоз X.
- миелоцитарного происхождения:
С точки зрения данной классификации можно говорить об относительном переходе хронических лейкозов в острые лейкозы при продолжающемся, длительном действии этиологических факторов (действие вирусов, ионизирующего излучения, химических в-в и т. д.). То есть, кроме нарушений клеток-предшественниц миело- или лимфопоэза, развиваются нарушения, характерные для острых лейкозов; происходит «осложнение» течения хронического лейкоза.
На основе иммунного фенотипа опухолевых клеток
В настоящее время стало возможным проводить более точное типирование опухолевых клеток в зависимости от их иммунного фенотипа по экспрессии CD19, CD20, CD5, лёгких цепей иммуноглобулинов и других антигенных маркеров.
По общему числу лейкоцитов и наличию бластных клеток в периферической крови
- лейкемические (более 50—80×109/л лейкоцитов, в том числе бласты),
- сублейкемические (9-50×109/л лейкоцитов, в том числе бласты),
- лейкопенические (содержание лейкоцитов в периферической крови ниже нормы, но есть бласты),
- алейкемические (содержание лейкоцитов в периферической крови ниже нормы, бласты отсутствуют).
Морфологические особенности
При высоком блоке дифференцировки лейкозные клетки могут напоминать стволовые и бластные клетки первых четырёх классов клеток-предшественниц. Поэтому по степени дифференцировки эти лейкозы называют бластными и недифференцированными. Поскольку они протекают остро, то можно говорить, что острые лейкозы — это бластные и недифференцированные лейкозы.
При низком блоке дифференцировки лейкозные клетки напоминают процитарные и цитарные клетки-предшественницы, лейкозы протекают менее злокачественно, хронически и называются цитарными.
Основные клинические признаки острых лейкозов:
- большое количество бластных клеток и их преимущество (более 30 %, чаще 60—90 %);
- «лейкемический провал» — исчезновение промежуточных форм клеток на фоне большого количества бластов;
- одновременное наличие абазофилии и анэозинофилии;
- быстропрогрессирующая анемия.
Основные клинические признаки хронических лейкозов (признаки те же, но с точностью наоборот):
- небольшое количество бластных клеток или их отсутствие (менее 30 %, чаще 1—2 %);
- отсутствие «лейкемического провала», то есть наличие промежуточных форм клеток (промиелоциты и миелоциты);
- базофильно-эозинофильная ассоциация, то есть одновременное наличие базофилии и эозинофилии;
- медленнопрогрессирующая анемия с увеличением скорости своего развития в период своего обострения.
Диагностика
В диагностике лейкозов большое значение имеет морфологическое исследование. Основными методами прижизненной морфологической диагностики являются исследования мазков периферической крови и биоптатов костного мозга, которые получают при трепанобиопсии гребня подвздошной кости или пункции грудины, а также других органов.
Лечение
При хронических лейкозах врач выбирает поддерживающую тактику, цель которой — отсрочить или исключить развитие осложнений. Острый лейкоз требует немедленного лечения, которое включает в себя приём высоких доз химиотерапевтических средств, что даёт возможность организму очиститься от лейкозных клеток. После этого, при необходимости, назначается трансплантация здоровых донорских клеток костного мозга.
Цитостатики — это лекарственные средства, которые подавляют рост атипичных клеток. Они вводятся в организм с помощью внутривенной инъекции или перорально в виде таблеток. Разный вариант заболевания требует своей схемы лечения. Согласно рекомендациям Всемирной организации здравоохранения, у каждого специалиста имеются различные схемы лечения. После того, как установлен точный вариант лейкемии (с учётом клеточного состава) пациенту назначаются химиопрепараты по необходимой схеме несколькими курсами. Первый курс направлен на устранение злокачественных клеток. Длительность его определяется индивидуально и составляет несколько месяцев. После успешного его проведения назначается поддерживающее лечение — пациенту вводятся те же дозы цитостатиков в таком же количестве. И последний этап — это профилактический курс. Он закрепляет полученный эффект и позволяет пациенту дольше находиться в ремиссии. После прохождения всего курса химиотерапии имеется высокая вероятность никогда более не столкнуться с этим заболеванием.
Однако медицина ещё недостаточно развита, и организм может повести себя непредсказуемо. Так, после прохождения полноценного лечения болезнь может вернуться. В таком случае предлагается другой вариант терапии — пересадка костного мозга.
Ранние экспериментальные методы
Исследователи из Центра исследований опухолей имени Фреда Хатчинсона в Сиэтле нашли способ повысить противоопухолевую активность иммунных клеток, чем удалось достичь почти 100%-й эффективности в лечении людей, ранее считавшихся безнадёжно больными, уже через несколько недель применения новой терапии у 27 из 29 пациентов анализ костного мозга показал полное отсутствие злокачественных клеток[6][7].
См. также
Примечания
- 1 2 Disease Ontology (англ.) — 2016.
- 1 2 3 4 5 6 7 8 Monarch Disease Ontology release 2018-06-29 — 2018-06-29 — 2018.
- ↑ [bse.sci-lib.com/article010667.html Лейкоз] — статья из Большой советской энциклопедии
- ↑ Г.В.Домрачев и др. Патология и терапия внутренних незаразных болезней сельскохозяйственных животных. — М., 1960. — 504 с.
- 1 2 Mayo Clinic Staff. Diseases and Conditions. Leukemia. Causes (англ.). Mayo Clinic (28 января 2016). Дата обращения: 1 сентября 2016. Архивировано 31 августа 2016 года.
- ↑ Иммунотерапия помогла онкобольным, которых считали безнадежными. tvrain.ru. Дата обращения: 18 марта 2016. Архивировано 27 марта 2016 года.
- ↑ Иммунотерапия помогла ранее безнадежным онкобольным. Дата обращения: 1 сентября 2016. Архивировано 14 сентября 2016 года.
Литература
- Герценштейн Г. М. Белокровие // Энциклопедический словарь Брокгауза и Ефрона : в 86 т. (82 т. и 4 доп.). — СПб., 1890—1907.
- Патологическая анатомия. Курс лекций / Под ред. В. В. Серова, М. А. Пальцева. — М.: Медицина, 1998. — 640 с. — 15 000 экз. — ISBN 5-225-02779-2, УДК 616, ББК 52.5я73.
- Масчан М. А. и др. Что важно знать о лейкозах и об их лечении. Москва, 2011.
- Фигель М. Эпидемиология, патогенез и этиология острого лейкоза. Пер. с англ. Н. Д. Фирсовой (2017).
Ссылки
- Гематологический Научный центр РАМН
- Leukemia / American Cancer Society (англ.)
- Leukaemia Foundation Australia (англ.)
- LEUKEMIA / Leukemia & Lymphoma Society (англ.)
- ЛЕЙКОЗЫ / Большая Медицинская Энциклопедия[уточнить]
- Сайт поддержки больных лейкозом https://web.archive.org/web/20140715001917/http://onelife.guchua.com/
