Хориоидпапиллома
| Хориоидпапиллома | |
|---|---|
![]() Макропрепарат хориоидпапилломы | |
| МКБ-11 | 2A00.22 |
| МКБ-10 | C71.5 |
| МКБ-9 | 191.5 |
| МКБ-О | M9390/1 |
| OMIM | 260500 |
| eMedicine | med/171 |
| MeSH | D020288 |
Хориоидпапиллома («chorioid» от лат. plexus chorioideus — сосудистое сплетение + лат. papilla — «сосок» + «-ωμα» — сокращение от др.-греч. ὄγκωμα «опухоль») — доброкачественная нейроэктодермальная опухоль, которая произрастает из эпителия сосудистых сплетений желудочков головного мозга[1]. Наиболее характерным местом локализации являются боковые желудочки головного мозга. Могут встречаться в любом возрасте[2], однако более характерны для детей[3].
В большинстве случаев не вызывают определённых очаговых симптомов поражения структур головного мозга. До повышения внутричерепного давления они ничем себя не проявляют. Первые симптомы заболевания связаны с нарастанием внутричерепной гипертензии и включают нарастающую головную боль, рвоту, выявление застойных сосков (англ. papilledema) дисков зрительных нервов при офтальмоскопии, нарушения памяти и сознания — состояние оглушения, вялость, апатию, дезориентированность, галлюцинации и др. Иногда наблюдаются судорожные припадки[4].
Хориоидпапилломы являются доброкачественными новообразованиями. Прогноз относительно благоприятный. 1-, 5- и 10-летняя выживаемость (количество больных, которые живы через 1, 5 и 10 лет после операции) составляют 90 %, 81 % и 77 % соответственно[5].
История изучения

Впервые патология была описана патологоанатомом М. Жераром на аутопсии 3-летней девочки в 1832 году[6]. В публикациях, изданных между 1833 и 1925 годами, подчёркивались редкость данного новообразования и сочетание заболевания с гидроцефалией[7][8][9]. Первая неудачная попытка удалить хориоидпапиллому хирургически была предпринята в 1906 году[10]. В 1919 году немецкий хирург Георг Пертес сообщил о первом случае успешного удаления данной опухоли[11].
К пионерам изучения данной патологии и путей её лечения относятся Ван Вагенен, удаливший в 1930 году опухоль у 3-месячного ребёнка[12], У. Денди, разработавший новые хирургические доступы[2], Массон, описавший возможность успешной резекции новообразования из третьего желудочка головного мозга[13].
В классической монографии Х. Кушинга «Внутримозговые опухоли» (англ. Intracranial Tumors) среди 2023 случаев описываются 12 больных с хориоидпапилломами. В литературном обзоре, проведённом немецким врачом Клаусом Цюльхом в 1956 году и включавшем 6000 пациентов с опухолями центральной нервной системы, 0,5 % имели доброкачественные новообразования сосудистых сплетений желудочковой системы головного мозга[2].
Эпидемиология
Хориоидпапилломы могут встречаться в любом возрасте[2]. Однако данные новообразования более характерны для детей — более 70 % всех больных данной патологией являются детьми, около 50 % младше 2 лет[3][14][15][16]. В ряде случаев имеют врождённый характер[17][18]. У мужчин опухоль встречается чаще, чем у женщин[3][19].
Их частота составляет около 1 % всех первичных опухолей мозга. У взрослых их встречаемость меньше — 0,5—0,6 % интракраниальных новообразований, в то время как у детей — от 2 до 5 %. В 85 % случаев они возникают в первые пять лет жизни[20]. Их удельный вес среди внутричерепных опухолей у детей до 1 года составляет 14 %[21].
Патологическая анатомия

Макроскопически опухоль представляет собой округлый узел с мелкозернистой или ворсинчатой поверхностью. Иногда при наличии капсулы поверхность новообразования гладкая. На разрезе ткань серо-розовая, мелкозернистая, несколько плотнее ткани здорового мозга. В ряде случаев содержит гладкостенные кисты с серозным, слизеподобным или кальцифицированным содержимым[1].
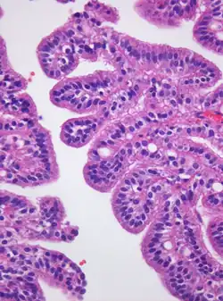
Микроскопически хориоидпапиллома представлена ворсинками различной формы и величины, покрытыми цилиндрическим эпителием, сходным по своим характеристикам с нормальным эпителием сосудистых сплетений. В редких случаях он располагается многослойно. Строма ворсинок состоит из рыхлой соединительной ткани, которая окружает тонкостенные сосуды. В некоторых ворсинках может обнаруживаться плотная соединительная ткань со значительным числом сосудов. Также в них возможны отложения солей кальция, гиалиноз, отёк и фиброз[1].
Локализация
Частота возникновения хориоидпапиллом в различных отделах вентрикулярной системы пропорциональна объёму сосудистого сплетения, из которого и произрастает данный тип опухолей. Чаще всего (≈ 50 %) опухоль располагается в области треугольника бокового желудочка, ≈ 40 % — в IV и 10 % в III и боковом вывороте IV желудочка[20]. У детей новообразование чаще располагается в боковых желудочках, в то время как у взрослых — в IV желудочке[2].
Клиническая картина
Хориоидпапилломы боковых желудочков
Хориоидпапилломы боковых желудочков в большинстве случаев не вызывают определённых очаговых симптомов поражения структур головного мозга. До повышения внутричерепного давления они ничем себя не проявляют. Первые симптомы заболевания связаны с нарастанием внутричерепной гипертензии и включают нарастающую головную боль, рвоту, выявление застойных дисков зрительных нервов при офтальмоскопии, нарушения памяти и сознания — состояние оглушения, вялость, апатию, дезориентированность, галлюцинации и др. Иногда наблюдаются судорожные припадки[4].
Вследствие развития гидроцефалии и поражения ядер черепных нервов, располагающихся вблизи ликворопроводящих путей, могут возникать парезы одного или обоих отводящих нервов, симптомы поражения четверохолмия (парезы взора кверху, асимметрия зрачков, нарушения их реакций)[4].
Характерными особенностями новообразований боковых желудочков являются интермиттирующее течение заболевания и изменчивость интенсивности головных болей. При расположении вблизи отверстия Монро, в зависимости от положения головы, опухоль действует как клапан. При закупорке межжелудочкового отверстия Монро развивается односторонняя гидроцефалия, вследствие того, что секреция ликвора продолжается, а его отток затруднён. Этим временным нарушением оттока спинномозговой жидкости из бокового желудочка объясняются приступообразный характер головной боли и вынужденное положение головы. Больной рефлекторно ищет такое положение, при котором нарушения ликворооттока будут минимальными[4].
Хориоидпапилломы III желудочка
Основным и первым симптомом является гидроцефально-гипертензионный синдром. Для него характерны внезапные приступы головной боли, возникающие при определённом положении головы и затихающие при его изменении на противоположное. В основе также лежит клапанный механизм. Достаточно рано возникают застойные диски зрительных нервов. Изредка наблюдается изменение полей зрения[22].
Хориоидпапилломы IV желудочка
Характерным симптомом является вынужденное положение головы. У одних оно является следствием рефлекторного напряжения мышц шеи, у других — сознательного придания голове положения, при котором улучшается отток ликвора и соответственно уменьшаются головные боли[23].
Головная боль является наиболее частым симптомом опухолей IV желудочка. Возникает она вследствие повышения внутричерепного давления — внутричерепной гипертензии. В начальных стадиях боли носят пароксизмальный характер с более или менее длительными светлыми промежутками. Приступ головной боли может возникать без всяких видимых причин, но чаще наступает после физических нагрузок, кашля, дефекации, быстрой перемены положения тела в пространстве, а также при некоторых положениях головы (чаще при запрокидывании её назад)[23].
Рвота является весьма частым симптомом заболевания. Обычно она возникает на фоне приступа головной боли, вызванной повышением внутричерепного давления. Также может наблюдаться рвота в качестве изолированного симптома, который не зависит от головной боли. В таких случаях она представляет собой очаговый симптом, так как является следствием прямого раздражения рвотного центра. Приступ может возникать при резком повороте головы. Сочетание рвоты и систематического головокружения свидетельствует о поражении вестибулярных ядер дна IV желудочка[23].
Относительно реже наблюдается систематическое головокружение. Характерно возникновение головокружения и рвоты при резком повороте головы или быстром изменении положения туловища — синдром Брунса. У ряда больных головокружение является первым симптомом заболевания[23].

Важным, хотя и неспецифическим симптомом опухолей IV желудочка являются приступы тонических судорог, или децеребрационной ригидности. Внезапно, иногда сопровождаясь криком, возникает тоническое напряжение мускулатуры конечностей, туловища и шеи. Кисть сжата в кулак, предплечья слегка согнуты, голова запрокинута назад, спина вогнута. Судороги не переходят в клонические. Приступ длится 2—3 минуты. Непроизвольного мочеиспускания и прикусов языка обычно не наблюдается[23].
Психические расстройства (вялость, раздражительность, оглушённость и т. п.) возникают в далеко зашедших стадиях заболевания. Опухоль не поражает центры, которые ответственны за психику. Однако длительное существование внутричерепной гипертензии может приводить к появлению вышеуказанных симптомов[23].
Клиническая картина заболевания, характер и длительность течения в основном определяются тем, в каком отделе IV желудочка располагается опухоль и куда направлен её рост. Смерть обычно наступает либо из-за паралича дыхательного центра, вследствие его сдавления, либо из-за развития дислокации мозга — смещения миндалин мозжечка в затылочное отверстие[23].
Диагностика
При компьютерной томографии около 75 % хориоидпапиллом изо- или гиперденсивны относительно мозга. Приблизительно в 25 % случаев в них содержатся петрификаты (обызвествлённые участки — кальцинаты). Для данных новообразований характерно интенсивное относительно гомогенное усиление после введения контрастных веществ[20].
При магнитно-резонансной томографии типична следующая картина — расположение внутри желудочковой системы головного мозга, дольчатое строение, изоинтенсивность относительно вещества мозга на Т1-взвешенных изображениях. Проникновение спинномозговой жидкости между сосочками опухоли придаёт ей вид «цветной капусты». В режиме Т2 хориоидпапилломы изо- или слабо гиперинтенсивны. Сигнал от опухоли усиливается при введении контрастных веществ. Для данных новообразований, даже при их небольших размерах, характерно выраженное расширение желудочковой системы. В ряде случаев также отмечается инвазия в вещество мозга, что, однако, не является признаком злокачественности[20].
Дифференциальная диагностика
Дифференциальный диагноз хориоидпапиллом следует проводить с другими внутрижелудочковыми новообразованиями[24].
Хориоидпапиллома является доброкачественной опухолью сосудистого сплетения, в то время как хориоидкарцинома — злокачественной. Отличительными чертами хориоидкарцином являются — экспрессия кератина, инфильтративный рост в вещество мозга, метастазирование в пределах желудочковой системы и субарахноидального пространства головного мозга. На МРТ накопление контрастных веществ неоднородное[25].
Для эпендимом характерно наличие нехарактерного для хориоидпапиллом кистозного компонента, который имеет гипоинтенсивный сигнал на Т1-взвешенных МР-томограммах и гиперинтенсивный по отношению к мозгу на изображениях, взвешенных по Т2. Гетерогенность структуры эпендимом обусловлена наличием кист, петрификатов, опухолевой сосудистой сети. После введения контраста отмечается негомогенное усиление средней интенсивности[26][27].
Внутрижелудочковые менингиомы являются весьма редкой патологией, характерной для наследственного заболевания — нейрофиброматоза II типа. Соответственно исключение данной патологии делает диагноз внутрижелудочковой менингиомы маловероятным[28]. Для глиом, прорастающих в полость желудочков, характерен инфильтративный рост в ткань мозга в месте изначального роста. Имеют характерные особенности на магнитно-резонансных томограммах[29]. Примитивные нейроэктодермальные опухоли (PNET) и медуллобластомы — злокачественные новообразования, для которых характерны метастазирование и прорастание в ткань мозга[30].
В полости III желудочка могут располагаться краниофарингиомы. Сигнал от данных новообразований вариабелен[31]. В большинстве случаев кистозный компонент имеет гипоинтенсивный сигнал в режиме Т1 и гиперинтенсивный — в режиме Т2. При наличии высокой концентрации белка, продуктов распада крови, холестерина сигнал от кистозной жидкости может существенно меняться[32]. Это проявляется в повышении его интенсивности. Данная особенность является высокоспецифичной именно для краниофарингиом. В режиме Т2 яркость сигнала может варьировать от гипер- до изоинтенсивной. Солидная часть краниофарингиом в большинстве случаев не отличается по интенсивности сигнала от вещества мозга. При введении контрастных препаратов плотность сигнала усиливается[33].
Лечение
Основным методом лечения является хирургический. Расположение новообразования делает невозможным его удаление без повреждения нервных структур. Особенностью хориоидпапиллом является их обильное кровоснабжение. В связи с этим ряд авторов рекомендует проведение предоперационной эмболизации. Общими принципами удаления являлись щадящий разрез вещества головного мозга над новообразованием, коагуляция питающих опухоль сосудов, мобилизация хориоидпапилломы и последующее её удаление. Удаление проводится кускованием[2].
Среди хирургических подходов к удалению новообразований желудочковой системы можно выделить[21]:
- Транскаллёзный межполушарный доступ (через мозолистое тело (лат. corpus callosum)).
- Транскортикальный доступ (через кору головного мозга).
- Доступы с использованием эндоскопической техники.
- Микрохирургические доступы с использованием эндоскопической ассистенции.
Каждый из них имеет свои особенности. Так, преимуществом транскаллёзного доступа является отсутствие повреждения коры головного мозга, что минимизирует риск развития судорожного синдрома после оперативного вмешательства. Может быть использован при нормальных размерах желудочковой системы. Транскортикальный доступ по сравнению с транскаллёзным имеет ряд недостатков. Для его проведения необходимо наличие гидроцефалии. После его проведения существует риск развития судорожного синдрома и порэнцефалических кист. Расположение опухоли рядом с корой, отвечающей за речь, движения и другие важные функции, является противопоказанием для операции с использованием транскортикального доступа[21].
Преимуществом эндоскопического удаления хориоидпапиллом является минимизация хирургической травмы. Недостатками метода является сложность удаления опухолей большого размера. Эндоскопическая ассистенция после микрохирургического удаления позволяет определить наличие остатков опухоли вне поля видимости хирурга[21][34].
Радиохирургия в лечении хориоидпапиллом применяется при наличии небольших глубинно расположенных новообразований, рецидивах и неполном удалении узла опухоли во время хирургического вмешательства[35].
Прогноз
Хориоидпапилломы являются доброкачественными новообразованиями. Прогноз относительно благоприятный. 217 научных публикаций, посвящённых лечению данного заболевания, показывают, что 1-, 5- и 10-летняя выживаемость (количество больных, которые живы через 1, 5 и 10 лет соответственно после операции) составляют 90 %, 81 % и 77 %[5].
Примечания
- 1 2 3 Касумова С. Ю. Хориоидпапиллома // Большая медицинская энциклопедия / Гл. ред. Б. В. Петровский. — 3-е изд. — М.: Советская энциклопедия, 1981. — Т. XXVII (Хлоракон — Экономика здравоохранения). — С. 102—103. — 576 с.
- 1 2 3 4 5 6 Ellenbogen R. G., Scott R. M. Chapter 232. Choroid Plexus Tumors // Youmans Neurological Surgery / edited by H. R. Winn. — 5th ed. — Philadelphia: Elsevier Inc., 2004. — Vol. 3. — P. 3612—3622. — ISBN 0-7216-8291-x.
- 1 2 3 Ellenbogen R. G., Winston K. R., Kupsky W. J. Tumors of the choroid plexus in children // Neurosurgery. — 1989. — Vol. 25, № 3. — P. 327—335. — PMID 2771002.
- 1 2 3 4 Раздольский И. Я. Опухоли боковых желудочков // Клиника опухолей головного мозга. — М.: Государственное издательство медицинской литературы, 1967. — С. 87—90. — 224 с. — 10 000 экз.
- 1 2 Wolff J. E. A., Sajedi M., Brant R. et al. Choroid plexus tumours (англ.) // British Journal of Cancer. — 2002. — Vol. 87, no. 10. — P. 1086—1091. — PMID 12402146.
- ↑ Guerard M. Tumeur Fongeuse dans le ventricle droit du cerveau chez une petite fille de trois ans // Anat Paris. — 1832. — Vol. 8. — P. 211—214.
- ↑ Boudet G., Clunet J. Contribution a l`etude des tumeurs epitheliales primitives de l`encephale // Arch Med Exp Anat Pathol. — 1910. — Vol. 22. — P. 379—411.
- ↑ Davis L. A physiopathological study of the choroid plexus with the report of a case of villous hypertrophy. — Med Res, 1924. — Vol. 44. — P. 521—534.
- ↑ Davis L., Cushing H. Papillomas of the choroid plexus: A report of six cases. — Arch Neurol Psychiatry, 1925. — Vol. 13. — P. 681—710.
- ↑ Bielschowsky M., Unger E. Kenntnis der primaren Epithelgeschwulste der Adergeflechte des Gehirns. — Arch Klin Chir, 1906. — Vol. 81. — P. 61—82.
- ↑ Perthes G. Entfernung eines Tumors des Plexus Choroideus an dem Seitenventrikel des Cerebrums. — Munch Med Wschr, 1919. — Vol. 66. — P. 677—678.
- ↑ Van Wagenen W. Papillomas of the choroid plexus: Report of two cases, one with removal of tumor and one with «seeding» of the tumor in the ventricular system. — Arch Surg, 1930. — Vol. 20. — P. 199—231.
- ↑ Masson C. Complete removal of two tumors of the third ventricle with recovery. — Arch Surg, 1934. — Vol. 28. — P. 527—537.
- ↑ Matson D. D., Crofton F. D. Papilloma of the choroid plexus in childhood // J Neurosurg. — 1960. — Vol. 17. — P. 1002—1027. — PMID 13768200.
- ↑ Hawkins J. C. 3rd. Treatment of choroid plexus papillomas in children: a brief analysis of twenty years' experience // Neurosurgery. — 1980. — Vol. 6, № 4. — P. 380—384. — PMID 7393420.
- ↑ Johnson D. L. Management of choroid plexus tumors in children // Pediatr Neurosci. — 1989. — Vol. 15, № 4. — P. 195—206. — PMID 2485914.
- ↑ Body G., Darnis E., Pourcelot D. et al. Choroid plexus tumors: antenatal diagnosis and follow-up // J Clin Ultrasound. — 1990. — Vol. 18, № 7. — P. 575—578. — PMID 2170457.
- ↑ Tomita T., Naidich T. P. Successful resection of choroid plexus papillomas diagnosed at birth: report of two cases // Neurosurgery. — 1987. — Vol. 20, № 5. — P. 774—779. — PMID 3601026.
- ↑ Knierum D. S. Choroid plexus tumors in infants // Pediatr Neurosurg. — 1990. — Vol. 16, № 4. — P. 276—280. — PMID 3601026.
- 1 2 3 4 Коновалов А. Н., Корниенко В. Н., Пронин И. Н. Глава 4. Внутримозговые опухоли. Опухоли сосудистых сплетений // Магнитно-резонансная томография в нейрохирургии. — М.: Видар, 1997. — С. 120—123. — 472 с. — 1500 экз. — ISBN 5-88429-022-5.
- 1 2 3 4 Deopuiari C. E., Biyani N. Choroid plexus tumor // Essential Practice of Neurosurgery / Editor in Chief Kalangu K.. — Nagoya, Japan: Yamagiku Printing Co., Ltd, 2009. — P. 334—335. — 1496 p. — ISBN 978-4-904992-01-2.
- ↑ Раздольский И. Я. Опухоли III желудочка // Клиника опухолей головного мозга. — М.: Государственное издательство медицинской литературы, 1967. — С. 90—95. — 224 с. — 10 000 экз.
- 1 2 3 4 5 6 7 Раздольский И. Я. Опухоли IV желудочка // Клиника опухолей головного мозга. — Ленинград: Медгиз, 1957. — С. 147—155. — 224 с. — 10 000 экз.
- ↑ Suh D. Y., Mapstone T. Pediatric supratentorial intraventricular tumors (англ.) // Neurosurgical Focus. — 2001. — Vol. 10, no. 6.
- ↑ Suh, 2001, p. 4.
- ↑ Lyons M. K., Kelly P. J. Posterior fossa ependymomas: report of 30 cases and review of the literature // Neurosurgery. — 1991. — Vol. 28. — P. 659—664. — PMID 1876243.
- ↑ Suh, 2001, p. 4—5.
- ↑ Suh, 2001, p. 5.
- ↑ Suh, 2001, p. 6—7.
- ↑ Suh, 2001, p. 7.
- ↑ Zimmerman R. A. Imaging of intrasellar, suprasellar, and parasellar tumors // Semin Roentgenol. — 1990. — Т. 25. — С. 174—197. — PMID 2190325.
- ↑ Ahmadi J., Destian S., Apuzzo M. L., Segall H. D., Zee C. S. Cystic fluid in craniopharyngiomas: MR imaging and quantitative analysis // Radiology. — 1992. — Vol. 182. — P. 783—785. — PMID 1535894.
- ↑ Коновалов А. Н., Корниенко В. Н., Пронин И. Н. Краниофарингиомы // Магнитно-резонансная томография в нейрохирургии. — М.:: «ВИДАР», 1997. — С. 188—198. — 472 с. — 1500 экз. — ISBN 5-88429-022-5.
- ↑ Schroeder H. W. S., Gaab M. R. Intracranial endoscopy // Neurosurgical Focus. — 1999. — Vol. 6, № 4. — PMID 16681349.
- ↑ Kim I. Y., Niranjan A., Kondziolka D. et al. Gamma knife radiosurgery for treatment resistant choroid plexus papillomas // J Neurooncol. — 2008. — Vol. 90, № 1. — P. 105—110. — PMID 18587534.
