Невринома слухового нерва
| Невринома слухового нерва | |
|---|---|
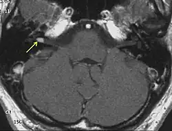
![]() МРТ головного мозга. Невринома слухового нерва указана стрелками | |
| МКБ-10 | C72.4 |
| МКБ-9 | 225.1 |
| МКБ-О | M9560/0 |
| DiseasesDB | 100 |
| MedlinePlus | 000778 |
| eMedicine | ent/239 |
| MeSH | D009464 |
Невринома слухового нерва (вестибулярная шваннома, акустическая невринома, акустическая шваннома) — доброкачественная опухоль-невринома, растущая из шванновских клеток слухового нерва, VIII пары черепных нервов. Ежегодно данная патология выявляется у 1 человека на 100 тысяч населения[1][2].
Клинически проявляется снижением слуха на одно ухо, головокружением, болью в соответствующей половине лица, парезом лицевого и отводящего нервов, нарушением глотания, фонации и артикуляции. Эти симптомы связаны с поражением соответствующих нервных структур вследствие сдавления их растущей опухолью[3][4][5]. Возникновение двусторонних неврином слуховых нервов является проявлением нейрофиброматоза II типа.
Лечение состоит либо в хирургическом удалении новообразования, либо в его облучении. В ряде случаев требует лишь динамического наблюдения[6].
История изучения
Большинство специалистов[7] согласны с утверждением основоположника американской нейрохирургии Х. Кушинга, что описанное в 1777 году Сендифортом (англ. Sandifort) после вскрытия новообразование являлось невриномой слухового нерва[8][9]. Таким образом, впервые невринома слухового нерва была обнаружена во второй половине XVIII столетия.
Сендифорт описал плотную опухоль правого слухового нерва, сращённую со стволом мозга в месте выхода лицевого и преддверно-улиткового нервов. Он также отметил её распространение во внутренний слуховой проход височной кости. Сендифорт предположил, что именно это образование явилось причиной прижизненной глухоты[9].
Патологию неврином слухового нерва исследовал французский патологоанатом XIX столетия Крювелье[10].
Шотландский физиолог и анатом Чарльз Белл в 1830 году впервые поставил прижизненный диагноз опухоли слухового нерва[11]. У больного отмечались тригеминальная невралгия, утрата вкусовой чувствительности, частые головные боли, а также глухота. Через 1 год больной умер. На вскрытии была обнаружена кистозная опухоль мостомозжечкового угла, распространяющаяся в область внутреннего слухового прохода. Аутопсия подтвердила правильность диагноза Белла[7].

Впервые оперативное удаление невриномы слухового нерва произвёл английский хирург Чарльз Балланс в 1894 году[8][12]. Больной после операции прожил не менее 12 лет. Балланс удалил инкапсулированную опухоль мостомозжечкового угла. Клиническое описание свидетельствует о том, что опухоль являлась невриномой слухового нерва. У больного после оперативного вмешательства возникло осложнение, потребовавшее энуклеации глаза. Также было отмечено повреждение тройничного и лицевого нервов[7].
Большой вклад в лечение неврином слуховых нервов внёс Х. Кушинг. Первая его операция по удалению данного типа опухоли в 1906 году закончилась смертью больного[8]. Кушинг пришёл к выводу, что с использованием хирургического инструментария начала XX столетия осуществить полное удаление невозможно. В связи с этим он начал производить частичное удаление опухоли. Вначале смертность после таких операций оставалась крайне высокой, достигая 40 % в течение 5 лет. Дальнейшие нововведения Кушинга позволили значительно улучшить результаты операций. Суммарно Кушингом было удалено 176 неврином слуховых нервов (в 13 случаях ему удалось достичь тотального удаления). Послеоперационная летальность составила 7,7 %[13][14][15].
В 1917 году бывший ученик Кушинга У. Денди продемонстрировал успешный случай тотального удаления опухоли[16]. В течение 1917—1941 годов, используя односторонний субокципитальный доступ — удаление нижнебоковой части затылочной кости[17], Денди значительно усовершенствовал технику удаления. В последних 41 случае уровень летальности составил 2,4 %[18][19]. До классических работ Кушинга и Денди уровень смертности больных у хирургов, которые брались за операции подобного рода, составлял около 75 %[20][21][22][23][24][25].
После внедрения шведским нейрохирургом Ларсом Лекселлом радиохирургии она стала широко использоваться в лечении неврином слуховых нервов[1][26][27].
Эпидемиология
Невриномы слухового нерва встречаются у пациентов двух различных групп. Односторонние опухоли возникают спорадически, не наследуются и не связаны с другими новообразованиями ЦНС. Двусторонние невриномы слухового нерва встречаются у больных с нейрофиброматозом II-го типа. У людей с данным заболеванием имеется семейная предрасположенность. Также у больных нейрофиброматозом II типа возникают и другие внутричерепные и спинальные опухоли[6].
Невриномы слухового нерва составляют 1/3 всех опухолей задней черепной ямки. У женщин встречаются в 2—3 раза чаще, чем у мужчин. Частота относительно общего числа опухолей головного мозга от 4,9 % (3 % у мужчин и 6 % у женщин)[6] до 10 %[5]. Ежегодно выявляется у 1 человека на 100 тысяч населения[1][2].
Патологическая анатомия

Макроскопически невринома имеет вид плотного, ограниченного узла округлой, овальной или неправильной формы. Поверхность узла неровная, бугристая. Невринома покрыта соединительнотканной капсулой. Ткань опухоли на разрезе бледно-серая, с участками, имеющими жёлтый, ржавый оттенок за счёт жировых отложений либо буро-коричневый цвет (следы старых кровоизлияний). Окраска ткани может меняться в зависимости от условий кровоснабжения опухоли; при венозном застое она приобретает синюшный оттенок. В ткани опухоли часто встречаются кисты различных размеров, заполненные буро-коричневой жидкостью. Кистозное перерождение может отмечаться во всей опухоли либо её части. Часто наблюдаются обширные поля фиброза[28].
Невринома состоит из веретенообразных клеток с палочкоподобными ядрами. Клетки и волокна опухоли образуют «палисадные» структуры (ядерные палисады, тельца Верокаи) с участками, состоящими из волокон[29].
Традиционно различают два гистологических типа неврином: тип Верокаи, или тип А, и тип Антони, или тип Б. Данное разделение условно и практического значения для диагностики не имеет. Советский нейрохирург, академик АМН СССР Б. Г. Егоров при исследовании неврином слухового нерва обнаружил, что их структурное многообразие зависит не от изначальных свойств опухолевой ткани, а от деструктивных и рубцовых процессов[28].
Микроскопическое строение опухоли на разных стадиях роста может быть различным в зависимости от интенсивности дистрофических процессов и нарушений кровообращения. Нарушения кровообращения сопровождаются скоплением гемосидерина и разрастанием фиброзной ткани. Всё это создаёт пёструю гистологическую картину[28].
Количество сосудов в ткани опухоли значительно колеблется. Периферические отделы обычно окружены богатой сосудистой сетью: в центральных участках их количество варьирует от одиночных, до сосудистых клубков, напоминающих по строению кавернозную ангиому. Стенки сосудов тонкие, иногда образованы одним слоем эндотелия, но могут встречаться сосуды с резко утолщёнными гиалинизированными стенками[28].
Клиническая картина

1. Верхняя глазничная щель
2. Круглое отверстие
3. Овальное отверстие
4. Внутренний слуховой проход
5. Рваное отверстие
6. Канал подъязычного нерва
В типичных случаях первым симптомом невриномы является нарушение слуха или, реже, головокружение. Снижение слуха может быть единственным симптомом заболевания, особенно на начальных этапах. В первое время эти нарушения обычно проявляются признаками раздражения слуха на стороне опухоли: больные слышат различные шумы и звуки. Появление шумов обычно предшествует появлению других симптомов. Ощущение шума может прекращаться. Больные иногда долго не замечают ослабления слуха, особенно при отсутствии шума в ушах[3][4][5].
Головокружения у больных с невриномами слуховых нервов развиваются и нарастают постепенно. В ряде случаев они носят характер вестибулярных кризов, сопровождающихся тошнотой и рвотой. При объективном обследовании обнаруживают горизонтальный нистагм, более выраженный при взгляде в сторону опухоли. Кохлеарная (несущая слуховые импульсы) и вестибулярная части слухового нерва обычно поражаются одновременно. В некоторых случаях отмечается поражение лишь одной из частей нерва[3][4].
Следующим по времени возникновения симптомом являются парестезии и боли в половине лица на стороне опухоли. Боли обычно носят ноющий, тупой характер; в первый период болезни они могут временами усиливаться и затихать. Они являются результатом сдавления невриномой тройничного нерва, проходящего рядом со слуховым. Реже боли носят пароксизмальный характер и в первое время могут ошибочно приниматься за невралгию тройничного нерва или связываться с заболеваниями зубов. По мере того, как нарастает сдавление нерва растущим новообразованием, тригеминальные боли приобретают постоянный характер. Одновременно могут появиться боли в соответствующей половине затылка. Несмотря на сдавление опухолью тройничного нерва, упорные тригеминальные боли наблюдаются редко[3][4][5].
С поражением тройничного нерва также связывают угнетение роговичного рефлекса, слабость и атрофию жевательных мышц. Одновременно либо несколько позже появляются периферический парез лицевого и отводящего нервов на стороне опухоли. Раннее появление периферического пареза лицевого нерва наблюдается при невриномах, располагающихся во внутреннем слуховом проходе. Растущая опухоль встречает сопротивление костей слухового канала, что приводит к усиленному давлению на лицевой нерв. Клинически это сопровождается появлением пареза, потерей вкуса на передних двух третях языка и расстройствами слюноотделения[3][4].
Диплопия (двоение в глазах) за счёт поражения отводящего нерва первое время носит преходящий характер и только в дальнейшем становится стойкой[3].
Дальнейшее развёртывание клинической картины зависит от того, в каком направлении растёт опухоль[3].
При росте опухоли вверх и кзади возникают симптомы поражения мозжечка. При росте вниз и кзади присоединяются симптомы поражения языкоглоточного и блуждающего нервов (расстройства фонации, глотания, угнетение глоточного рефлекса, а также чувствительности на задней трети языка). В запущенных случаях могут появляться дизартрия, дисфагия, атрофия мышц соответствующей половины языка, парез добавочного нерва[3].
Несмотря на сдавление прилежащих отделов мозгового ствола и оттеснение его в противоположную сторону, проводниковые двигательные и чувствительные нарушения выражены слабо. Поражение пирамидной системы выражается в повышении рефлексов, появлении патологических стопных рефлексов на противоположной стороне. Выраженные парезы наблюдаются крайне редко[3][4].
Повышение внутричерепного давления является поздним симптомом заболевания. Как проявление внутричерепной гипертензии развивается застой сосков зрительных нервов. Вследствие давления на хиазму или зрительные тракты расширенного III желудочка возникают изменения полей зрения (битемпоральная или биназальная гемианопсия, скотомы). С появлением повышенного внутричерепного давления головная боль приобретает общий характер, сосредоточиваясь главным образом во лбу и затылке. К ней присоединяется рвота[3][5].
Диагностика

Особенности КТ-картины неврином слухового нерва зависят от величины опухоли. Невриномы размером менее 1 см определяются с трудом. На начальных стадиях основными методами являются отоневрологическое обследование и рентгенография височных костей по Стенверсу. На рентгенограммах признаком невриномы слухового нерва является расширение внутреннего слухового прохода. До 40 % новообразований размером 2 см в диаметре при обычной КТ без введения контрастных веществ остаются нераспознанными[30].
Данные новообразования хорошо поглощают введенные в кровь контрастные вещества. В большинстве случаев рентгеновская плотность возрастает с 45 до 110 единиц Хаунсфилда. Невриномы, как правило, имеют округлую форму и гладкие очерченные контуры[30].
На МРТ выявляется ровный контур опухоли и по её периферии полоска сигнала так называемой «ликворной щели», деформация мозжечка и ствола головного мозга. При распространении невриномы во внутренний слуховой проход внекананальная её часть имеет вид «свисающей капли»[30].
Приблизительно 2/3 неврином выглядят гипоинтенсивными, а одна треть изоинтенсивными на Т1-взвешенных томограммах. На Т2-взвешенных томограммах невриномы характеризуются повышением сигнала, степень которого варьирует. Участки гетерогенно изменённого сигнала (вследствие образования кист) характерны для новообразований больших размеров (как правило, более 3 см). Все невриномы интенсивно накапливают контрастные вещества, более чем в 70 % случаев их накопление гетерогенно[30].
Лечение
Лечение состоит либо в хирургическом удалении новообразования, либо в его облучении. В ряде случаев требует лишь динамического наблюдения[6]. Прогноз во многом зависит от размеров опухоли[31]. При небольших размерах её облучение на радиохирургических установках приводит к прекращению роста в 95 %. При микрохирургическом удалении в преобладающем количестве случаев новообразование удаётся удалить полностью. При этом имеется высокий риск утраты слуха на одно ухо, а также повреждения лицевого нерва. Послеоперационная летальность менее 1 %[32].
Показания к выбору метода лечения
Показания к хирургическому удалению
- Появление новых или нарастание существующих симптомов у молодых людей[6]
- Увеличение размеров опухоли на контрольных снимках[6]
- Продолженный рост после субтотального удаления у молодых пациентов[6]
- Увеличение опухоли после радиохирургии[6]
Показания для лучевой терапии или радиохирургии
Показания для наблюдения
- Длительный анамнез нарушений слуха[6]
- Слабо выраженные симптомы у пожилых пациентов[6]
- Случайная находка при проведении компьютерной или магнитно-резонансной томографий[6]
Хирургия
Выбор метода хирургического удаления зависит от целого ряда факторов, среди которых особо важными являются возраст больного, степень утраты слуха, размер опухоли и степень владения хирургом тем или иным оперативным доступом[33][34][35][36][37].
В настоящее время в хирургии неврином слуховых нервов используются 3 вида доступов: доступ к средней черепной ямке, транслабиринтный и субокципитальный доступы. Каждый из доступов имеет свои преимущества и недостатки.
Радиотерапия и радиохирургия
При облучении опухоли не достигается её удаление. Однако в большинстве случаев данные методы лечения позволяют предотвратить дальнейший рост новообразования, избежать оперативного вмешательства (особо актуально у лиц с сопутствующими соматическими патологиями)[1]. При небольших размерах невриномы данные методы предпочтительнее хирургических[38].
Прогноз
Прогноз заболевания условно благоприятный, в начальной стадии заболевания, при адекватном и своевременном лечении трудоспособность полностью восстанавливается.
Примечания
- 1 2 3 4 Knisely J. P. S., Suh J. H., Tsien C. Central Nervous System // Handbook of Radiation Oncology / edited by Haffty B. G., Wilson L. D. — Sudbury, MA: Jones and Barlett publishers. — P. 238—239. — 797 p. — ISBN 978-0-7637-3143-4.
- 1 2 Davis N. L., Rappaport J. M., MacDougall J. C. Cochlear and Auditory Brainstem Implants in the Management of Acoustic Neuroma and Bilateral Acoustic Neurofibromatosis // McGill Journal of Medicine. — 1997. — № 3. — С. 115—120. Архивировано 6 июля 2011 года.
- 1 2 3 4 5 6 7 8 9 10 Раздольский И. Я. Невринома слухового нерва // Клиника опухолей головного мозга. — Л.: Медгиз, 1957. — С. 173—182. — 224 с. — 10 000 экз.
- 1 2 3 4 5 6 Є. Л. Мачерет. укр. Пухлини головного мозку // укр. Нервові хвороби / За редакцією С. М. Віничука, Є. Г. Дубенка. — Киев: Здоров`я, 2001. — С. 539. — 696 с. — 3000 экз. — ISBN 5-311-01224-2.
- 1 2 3 4 5 Гусев Е. И., Коновалов А. Н., Бурд Г. С. Опухоли нервной системы // Неврология и нейрохирургия. — М.: Медицина, 2000. — С. 423—424. — 656 с. — 20 000 экз. — ISBN 5-225-00969-7.
- 1 2 3 4 5 6 7 8 9 10 11 12 13 14 Б. В. Гайдар, В. А. Хилько, В. Е. Парфёнов, Ю. А. Щербук, Б. В. Мартынов, Г. Е. Труфанов, Т. Е. Рамешвили, М. А. Асатурян. Опухоли задней черепной ямки // Практическая нейрохирургия / Под ред. Б. В. Гайдара. — СПб.: Гиппократ, 2002. — С. 424—425. — 648 с. — 2000 экз. — ISBN 5-8232-0241-5.
- 1 2 3 Sampath P., Long D. M. Chapter 65. Acoustic Neuroma // Youmans Neurologic Surgery. — 5th. — Philadelphia: Saunders, 2004. — Vol. 1. — P. 1147—1168. — ISBN 0-7216-8291-x.
- 1 2 3 Cushing H. Tumors of the Nervus Acusticus and the Syndrome of the Cerebellopontine Angle. — Philadelphia: WB Saunders, 1917.
- 1 2 Sandifort E. Observations anatomicopathologicae // Lugduni Batvarorum. — 1777. — С. 116—120.
- ↑ Cruveilhier J. Anatomie Patologique du corps Humain. — Paris, 1935. — Vol. 1. — P. 1—8.
- ↑ Bell C. Appendix of Cases // The nervous system of the human body. — London, 1830. — P. 112—114.
- ↑ Ballance C. A. Some Points in the Surgery of the Brain and Its Membranes. — London: Macmillan, 1907. — P. 276.
- ↑ Cushing H. W. Intracranial Tumors: Notes upon a Series of Two Thousand Verified Cases with Surgical Mortality Percentages Pertaining Thereto. — London: Balliere, Tindall & Cox, 1932. — P. 88—92.
- ↑ Ramsden R. T. The bloody angle: 100 years of acoustic neuroma surgery // J R Soc Med. — 1995. — Т. 88, № 8. — С. 464 — 468. — PMID 7562831.
- ↑ Horrax G. A comparison of results after intracapsular enucleation and total extirpation of acoustic tumors // J Neurol Neurosurg Psychiatry. — 1950. — Т. 13. — С. 268—270. — PMID 14795239.
- ↑ Dandy W. E. An operation for the total removal of cerebellopontine (acoustic) tumors // Surg Gynecol Obstet. — 1925. — Т. 1. — С. 129—148.
- ↑ Никифоров А. С., Коновалов А. Н., Гусев Е. И. Субокципитальный доступ к задней черепной ямке // Клиническая неврология / Под редакцией А. Н. Коновалова. — М.: Медицина, 2004. — Т. 3 Основы нейрохирургии. — С. 128—131. — ISBN 5-225-04770-X.
- ↑ Dandy W. E. Removal of cerebellopontine (acoustic) tumors through a unilateral approach // Arch Surg. — 1934. — Т. 29. — С. 337—344.
- ↑ Dandy W. E. Results of removal of acoustic tumors by the lateral approach // Arch Surg. — 1941. — Т. 42. — С. 1026—1033.
- ↑ Eiselberg AV, Ranzt E. Über die chirurgische Behandlung der Hirn- und Rückenmarkstumoren // Verh Dtsch Ges Chir. — 1913. — Т. 43. — С. 514.
- ↑ Borchardt M. Über Operationen in der hinteren Schädelgrube inkl. der Operation von Tumoren des Kleinhirnbrückenwinkels // Arch Klin Chir. — 1906. — Т. 81. — С. 386—432.
- ↑ Fraenkel J, Hunt JR, Woolsey G, Elsberg C. Contribution to the surgery of neurofibroma of the acoustic nerve, with remarks on the surgical procedure // Ann Surg. — 1904. — Т. 40. — С. 293—319.
- ↑ Marx H. Zur Chirurgie der Kleinhirnbrückenwinkeltumoren // Mitt Grenzgeb Med Chir. — 1913. — Т. 26. — С. 117—134.
- ↑ McBurney C, Starr M. A contribution to cerebral surgery: Diagnosis, localization, and operation for removal of three tumors of the brain with some comments upon the treatment of brain tumors // Am J Med Sci. — 1893. — Т. 105. — С. 361—382.
- ↑ Murri A. Upon diagnosis of tumor of cerebellum. — Lancet, 1897. — Т. 1. — С. 291—295.
- ↑ Benjamin J. Arthurs, Wayne T. Lamoreaux, Neil A. Giddings1 et al. Gamma Knife radiosurgery for vestibular schwannoma: case report and review of the literature // World Journal of Surgical Oncology. — 2009. — Т. 7, № 100. — doi:10.1186/1477-7819-7-100. Архивировано 25 декабря 2010 года.
- ↑ J. M. Hempel, E. Hempel, B. Wowra, Ch. Schichor, A. Muacevic and A. Riederer. Functional outcome after gamma knife treatment in vestibular schwannoma // European Archives of Oto-Rhino-Laryngology. — Т. 263, № 8. — С. 714—718. — doi:10.1007/s00405-006-0054-6. (недоступная ссылка)
- 1 2 3 4 Авцын А. П., Вихерт Т. М. Невринома // Большая медицинская энциклопедия / под общей редакцией Б. В. Петровского. — 3-е издание. — М.: «Советская энциклопедия», 1981. — Т. 16. — С. 245—247. — 512 с. — 150 000 экз.
- ↑ Струков А. І.б Сєров В. В. укр. Пухлини периферичної нервової системи (Опухоли периферической нервной системы) // Патологічна анатомія. — 4-е. — Х.: Факт, 1999. — С. 284. — 864 с. — 3500 экз. — ISBN 966-7099-60-1.
- 1 2 3 4 Коновалов А. Н., Корниенко В. Н., Пронин И. Н. Невриномы // Магнитно-резонансная томография в нейрохирургии. — М.: ВИДАР, 1997. — С. 268—275. — 472 с. — 1500 экз. — ISBN 5-88429-022-5.
- ↑ Факоматозы. сайт www.medikk.ru. Дата обращения: 12 июня 2011. Архивировано 4 октября 2012 года.
- ↑ Вестибулярные (акустические) шванномы или невриномы слухового нерва. Центр «Гамма нож» при НИИ нейрохирургии им. Н. Н. Бурденко. Дата обращения: 12 июня 2011. Архивировано 28 января 2012 года.
- ↑ Sampath P., Holliday M. J., Brem H., Niparko J. K., Long D. M. Facial nerve injury in acoustic neuroma (vestibular schwannoma) surgery: etiology and prevention // J Neurosurg. — 1997. — Т. 87. — С. 60—66. — PMID 9202266.
- ↑ Hitselberger W. E., House W. F. Surgical approaches to acoustic tumors // Arch Otolaryngol. — 1966. — Т. 84. — С. 286—291. — PMID 5946809.
- ↑ Glasscock M. E. 3rd, Kveton J. F., Jackson C. G., Levine S. C., McKennan K. X. A systematic approach to the surgical management of acoustic neuroma // Laryngoscope. — 1986. — Т. 96. — С. 1088—1094. — PMID 3531748.
- ↑ Bentivoglio P., Cheeseman A. D., Symon L. Surgical management of acoustic neuromas during the last five years. Part I // Surg Neurol. — 1988. — Т. 29. — С. 197—204. — PMID 3344465.
- ↑ Bentivoglio P., Cheeseman A. D., Symon L. Surgical management of acoustic neuromas during the last five years. Part II: Results for facial and cochlear nerve function // Surg Neurol. — 1988. — Т. 29. — С. 205—209. — PMID 3344466.
- ↑ Myrseth E., Møller P., Pedersen P. H., Lund-Johansen M. Vestibular schwannoma: surgery or gamma knife radiosurgery? A prospective, nonrandomized study // Neurosurgery. — 2009. — Т. 64. — С. 654—661. — PMID 19197222.
