Моноциты
.png)
Моноци́ты (от греч. μονος — «один» и κύτος — «вместилище», «клетка») — крупные лейкоциты системы мононуклеарных макрофагов, их диаметр в мазке крови достигает 18—20 мкм[1]. После выхода в кровь моноциты циркулируют в кровотоке 1—2 дня, после чего оседают в тканях и становятся резидентными макрофагами. Моноциты сами по себе являются клетками врождённого иммунитета и несут паттерн-распознающие рецепторы и рецепторы хемокинов, благодаря которым они могут перемещаться в очаг воспаления, где секретируют провоспалительные цитокины и участвуют в фагоцитозе[2].
Структура

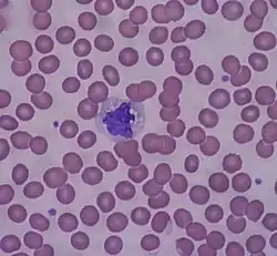
У взрослого человека на долю моноцитов приходится 6—8 % (по другим данным, 5—10 %[2]) общего числа лейкоцитов крови, кроме того, моноциты присутствуют в костном мозге и селезёнке (у взрослого человека до половины всех моноцитов располагается в селезёнке[3]). Моноциты крупнее прочих лейкоцитов: в капле крови их диаметр составляет 9—12 мкм, а в мазке они сильно распластываются, и их диаметр достигает 18—20 мкм[4]. Ядро может иметь различную форму: бобовидную, подковообразную, реже — дольчатую с многочисленными выпуклостями и углублениями. Хроматин менее конденсирован и красится светлее, чем хроматин в ядрах лимфоцитов[5]. В ядре моноцита гетерохроматин представлен зёрнами, рассеянными по всему ядру, также, как правило, он в больших количествах залегает под ядерной мембраной. В ядре присутствует одно или несколько мелких ядрышек[1].
Цитоплазма моноцитов менее базофильна, чем у лимфоцитов, и окрашивается бледно-голубым по Романовскому — Гимзе, причём цитоплазма на периферии клетки, как правило, темнее, чем цитоплазма вблизи ядра. В цитоплазме присутствуют мелкие азурофильные гранулы, которые представляют собой лизосомы и придают цитоплазме синевато-серый цвет при окрашивании мазка крови. Моноциты образуют пальцевидные выросты цитоплазмы и фагоцитозные вакуоли, в которые попадает фагоцитированный материал, а также пиноцитозные вакуоли. Моноциты содержат митохондрии небольшого размера и слабо развитые цистерны гладкого эндоплазматического ретикулума, а также шероховатый эндоплазматический ретикулум и аппарат Гольджи, участвующий в образовании лизосом[1][5].
Функции
Моноциты относятся к системе мононуклеарных макрофагов, также известной как ретикулоэндотелиальная система. Клетки ретикулоэндотелиальной системы происходят от промоноцитов костного мозга, способны к фагоцитозу и несут рецепторы иммуноглобулинов и компонентов системы комплемента. Моноциты, циркулирующие в кровотоке, представляют собой относительно незрелые клетки, которые находятся на пути из костного мозга в ткани, где они становятся тканевыми макрофагами. После пребывания в кровотоке в течение 36—104 часов моноциты оседают в тканях и становятся макрофагами, при этом в их цитоплазме возрастает количество лизосом, фагосом и фаголизосом[6].
Моноциты сами по себе представляют собой эффекторные клетки врождённого иммунитета и имеют паттернраспознающие рецепторы и рецепторы хемокинов, благодаря которым способны к миграции в очаг воспаления. В очаге воспаления моноциты осуществляют фагоцитоз и продуцируют провоспалительные цитокины, и под действием провоспалительного микроокружения моноциты дифференцируются в воспалительные макрофаги и воспалительные дендритные клетки, которые впоследствии мигрируют в лимфатические узлы и активируют CD4+ и CD8+ T-лимфоциты[2]. Производные моноцитов, такие как остеокласты, микроглия и другие тканевые макрофаги, являются антигенпрезентирующими клетками[5]. Показано, что активированные моноциты экспрессируют PD1, которые при активации соответствующим лигандом — PD-L1 — начинают продуцировать IL-10, активирующий T-хелперы типа Th2 и ингибирующий T-хелперы типа Th1[7].
Моноциты периферической крови человека подразделяют на три функционально различные субпопуляции на основании экспрессии поверхностных молекул CD14 и CD16, а также молекул адгезии и рецепторов хемокинов[2][8].
- Классические моноциты, композиция поверхностных маркёров которых выглядит как CD14++CD16-, составляют 85 % всех моноцитов крови человека. Они также несут паттернраспознающие рецепторы и скавенджер-рецепторы, с помощью которых опознают и фагоцитируют клетки микроорганизмов, липиды и отмершие клетки. Моноциты этой группы также выделяют большие количества антимикробных пептидов и продуцируют активные формы кислорода. Для классических моноцитов характерна экспрессия хемокинового рецептора CCR2, который распознаёт белок-хемоаттрактант MCP-1, за счёт которого моноциты попадают в очаги воспаления. Моноциты классического фенотипа выходят из костного мозга и селезёнки и при оседании в тканях становятся макрофагами или дендритными клетками[9].
- Промежуточные, или воспалительные моноциты (CD14++CD16+) обладают способностью к секреции провоспалительных цитокинов, таких как фактор некроза опухоли и IL-1β. На их долю приходится 5 % моноцитов крови, однако они особенно многочисленны в костном мозге[10]. Промежуточные моноциты несут на своей поверхности хемокиновые рецепторы CCR5 и CX3CR1, и под действием лигандов первого из них (в частности, RANTES и MIP-1α) моноциты этой субпопуляции мигрируют в ткани, где становятся воспалительными M1-макрофагами. Промежуточные моноциты также функционируют как антигенпрезентирующие клетки, так как экспрессируют молекулы главного комплекса гистосовместимости II класса (MHC-II) и CD74. Кроме того, они несут скавенджер-рецептор CD163[11].
- Неклассические моноциты (CD14+CD16++) составляют оставшиеся 10 % всех моноцитов в кровотоке. Они способны к адгезии к эндотелиальным клеткам за счёт рецептора CX3CR1, распознающего фракталкин. Неклассические моноциты осуществляют «патрулирование» стенок сосудов и постоянно проверяют их на наличие повреждений или патогенов, причём вирусы активируют их при участии TLR7 и TLR8 гораздо сильнее, чем антигены бактериального происхождения, такие как липополисахарид (есть сведения, что к подобному «патрулированию» способны и классические моноциты[12]). После оседания в тканях неклассические моноциты становятся противовоспалительными M2-макрофагами и продуцируют противовоспалительный цитокин IL-10[11].
У мышей выделяют две субпопуляции моноцитов крови: классические (воспалительные) и неклассические (патрулирующие)[11].
При беременности моноциты периферической крови играют важную роль в регуляции иммунного ответа и контролируют развитие плаценты. Моноциты у беременных женщин отличаются, в частности, усиленной адгезией к эндотелию. При миграции моноцитов в децидуальную оболочку матки они преобразуются в макрофаги, за счёт чего в этой ткани образуется пул макрофагов[13].
Развитие

Моноциты образуются в костном мозге от предшественников, известных как промоноциты — бипотентных клеток, дифференцировавшихся от гемопоэтических стволовых клеток. Созревание моноцитов известно как моноцитопоэз. После выхода в кровь моноциты циркулируют в кровотоке 1—3 дня, после чего оседают в тканях и становятся макрофагами или дендритными клетками. Моноциты являются самыми крупными клетками крови[14]. Около половины всех моноцитов взрослого человека находится в селезёнке в красной пульпе в обрасти трабекул Бильрота[3].
В условиях in vitro дифференцировку моноцитов в дендритные клетки можно запустить, добавив гранулоцитарно-макрофагальный колониестимулирующий фактор и интерлейкин 4[15]. Однако эти клетки всё же сохраняют черты моноцитов в своём транскриптоме и не являются полноценными дендритными клетками[16].
Клиническое значение

Моноцитоз — относительно редкое состояние, форма лейкоцитоза, при котором количество моноцитов в крови повышено (у человека превышает 800—1000 клеток на мм³ крови)[17]. Моноцитоз может наблюдаться при стрессе[18], ряде хронических заболеваний, таких как сахарный диабет[19] и атеросклероз[20], при бактериальных и протозойных инфекциях, а также при раковых заболеваниях, саркоидозе и коллагенозах[21]. При сепсисе может увеличиваться количество CD14+CD16++ моноцитов[22], а увеличение количества промежуточных (CD14++CD16+) моноцитов может служить фактором риска атеросклероза[23][24]. Злокачественное заболевание крови, сопровождающееся увеличением числа в крови моноцитов, незрелых и аномальных форм других клеток крови, известно как хронический миеломоноцитарный лейкоз[25]. При этом заболевании резко возрастает количество классических моноцитов при отсутствии неклассических[26], причём отсутствие неклассических моноцитов может использоваться как диагностический признак[27].
Монопения — форма лейкопении, при которой в крови снижается количество моноцитов. Крайне низкое количество моноцитов может наблюдаться после курса иммунодепрессантов глюкокортикоидов[28]. Снижение количества неклассических моноцитов характерно для пациентов с наследственной диффузной лейкоэнцефалопатией, сопровождающейся образованием сфероидов. Причиной этого заболевания могут быть мутации в гене, кодирующем рецептор гранулоцитарно-макрофагального колониестимулирующего фактора[29].
Примечания
- 1 2 3 Афанасьев и др., 2004, с. 184.
- 1 2 3 4 Хаитов, 2019, с. 78.
- 1 2 Swirski F. K., Nahrendorf M., Etzrodt M., Wildgruber M., Cortez-Retamozo V., Panizzi P., Figueiredo J. L., Kohler R. H., Chudnovskiy A., Waterman P., Aikawa E., Mempel T. R., Libby P., Weissleder R., Pittet M. J. Identification of splenic reservoir monocytes and their deployment to inflammatory sites. (англ.) // Science (New York, N.Y.). — 2009. — 31 July (vol. 325, no. 5940). — P. 612—616. — doi:10.1126/science.1175202. — PMID 19644120.
- ↑ Афанасьев и др., 2004, с. 183—184.
- 1 2 3 Mescher, 2016, p. 247.
- ↑ Афанасьев и др., 2004, с. 184—185.
- ↑ Said E. A., Dupuy F. P., Trautmann L., Zhang Y., Shi Y., El-Far M., Hill B. J., Noto A., Ancuta P., Peretz Y., Fonseca S. G., Van Grevenynghe J., Boulassel M. R., Bruneau J., Shoukry N. H., Routy J. P., Douek D. C., Haddad E. K., Sekaly R. P. Programmed death-1-induced interleukin-10 production by monocytes impairs CD4+ T cell activation during HIV infection. (англ.) // Nature Medicine. — 2010. — April (vol. 16, no. 4). — P. 452—459. — doi:10.1038/nm.2106. — PMID 20208540.
- ↑ Ziegler-Heitbrock L., Ancuta P., Crowe S., Dalod M., Grau V., Hart D. N., Leenen P. J., Liu Y. J., MacPherson G., Randolph G. J., Scherberich J., Schmitz J., Shortman K., Sozzani S., Strobl H., Zembala M., Austyn J. M., Lutz M. B. Nomenclature of monocytes and dendritic cells in blood. (англ.) // Blood. — 2010. — 21 October (vol. 116, no. 16). — P. e74—80. — doi:10.1182/blood-2010-02-258558. — PMID 20628149.
- ↑ Хаитов, 2019, с. 78—79.
- ↑ Ghattas A., Griffiths H. R., Devitt A., Lip G. Y., Shantsila E. Monocytes in coronary artery disease and atherosclerosis: where are we now? (англ.) // Journal Of The American College Of Cardiology. — 2013. — 22 October (vol. 62, no. 17). — P. 1541—1551. — doi:10.1016/j.jacc.2013.07.043. — PMID 23973684.
- 1 2 3 Хаитов, 2019, с. 79.
- ↑ Collison J. L., Carlin L. M., Eichmann M., Geissmann F., Peakman M. Heterogeneity in the Locomotory Behavior of Human Monocyte Subsets over Human Vascular Endothelium In Vitro. (англ.) // Journal Of Immunology (Baltimore, Md. : 1950). — 2015. — 1 August (vol. 195, no. 3). — P. 1162—1170. — doi:10.4049/jimmunol.1401806. — PMID 26085686.
- ↑ Михайлова В. А., Климовская Я. С., Аманова Н. В., Зайнулина М. С., С. А. Сельков, Д. И. Соколов. Экспрессия адгезионных молекул моноцитами периферической крови при беременности : [арх. 22 сентября 2017] : pdf // Медицинская иммунология : журн.. — 2010. — Т. 12, № 4−5. — С. 337−342.
- ↑ Steve, Paxton; Michelle, Peckham; Adele, Knibbs (2018-04-28). The Leeds Histology Guide. leeds.ac.uk. Архивировано 11 октября 2017. Дата обращения: 28 апреля 2018.
- ↑ Sallusto F., Cella M., Danieli C., Lanzavecchia A. Dendritic cells use macropinocytosis and the mannose receptor to concentrate macromolecules in the major histocompatibility complex class II compartment: downregulation by cytokines and bacterial products. (англ.) // The Journal Of Experimental Medicine. — 1995. — 1 August (vol. 182, no. 2). — P. 389—400. — doi:10.1084/jem.182.2.389. — PMID 7629501.
- ↑ Robbins Scott H, Walzer Thierry, Dembélé Doulaye, Thibault Christelle, Defays Axel, Bessou Gilles, Xu Huichun, Vivier Eric, Sellars MacLean, Pierre Philippe, Sharp Franck R, Chan Susan, Kastner Philippe, Dalod Marc. Novel insights into the relationships between dendritic cell subsets in human and mouse revealed by genome-wide expression profiling (англ.) // Genome Biology. — 2008. — Vol. 9, no. 1. — P. R17. — ISSN 1465-6906. — doi:10.1186/gb-2008-9-1-r17.
- ↑ Rice Lawrence, Jung Moonjung. Neutrophilic Leukocytosis, Neutropenia, Monocytosis, and Monocytopenia (англ.) // Hematology. — 2018. — P. 675—681. — ISBN 9780323357623. — doi:10.1016/B978-0-323-35762-3.00048-2.
- ↑ Heidt T., Sager H. B., Courties G., Dutta P., Iwamoto Y., Zaltsman A., von Zur Muhlen C., Bode C., Fricchione G. L., Denninger J., Lin C. P., Vinegoni C., Libby P., Swirski F. K., Weissleder R., Nahrendorf M. Chronic variable stress activates hematopoietic stem cells. (англ.) // Nature Medicine. — 2014. — July (vol. 20, no. 7). — P. 754—758. — doi:10.1038/nm.3589. — PMID 24952646.
- ↑ Hoyer F. F., Zhang X., Coppin E., Vasamsetti S. B., Modugu G., Schloss M. J., Rohde D., McAlpine C. S., Iwamoto Y., Libby P., Naxerova K., Swirski F. K., Dutta P., Nahrendorf M. Bone Marrow Endothelial Cells Regulate Myelopoiesis in Diabetes Mellitus. (англ.) // Circulation. — 2020. — 21 July (vol. 142, no. 3). — P. 244—258. — doi:10.1161/CIRCULATIONAHA.120.046038. — PMID 32316750.
- ↑ Swirski F. K., Libby P., Aikawa E., Alcaide P., Luscinskas F. W., Weissleder R., Pittet M. J. Ly-6Chi monocytes dominate hypercholesterolemia-associated monocytosis and give rise to macrophages in atheromata. (англ.) // The Journal Of Clinical Investigation. — 2007. — January (vol. 117, no. 1). — P. 195—205. — doi:10.1172/JCI29950. — PMID 17200719.
- ↑ Большая медицинская энциклопедия: Лейкоцитоз. Дата обращения: 18 октября 2020. Архивировано 30 сентября 2020 года.
- ↑ Fingerle G., Pforte A., Passlick B., Blumenstein M., Ströbel M., Ziegler-Heitbrock H. W. The novel subset of CD14+/CD16+ blood monocytes is expanded in sepsis patients. (англ.) // Blood. — 1993. — 15 November (vol. 82, no. 10). — P. 3170—3176. — PMID 7693040.
- ↑ Heine G. H., Ulrich C., Seibert E., Seiler S., Marell J., Reichart B., Krause M., Schlitt A., Köhler H., Girndt M. CD14(++)CD16+ monocytes but not total monocyte numbers predict cardiovascular events in dialysis patients. (англ.) // Kidney International. — 2008. — March (vol. 73, no. 5). — P. 622—629. — doi:10.1038/sj.ki.5002744. — PMID 18160960.
- ↑ Rogacev K. S., Cremers B., Zawada A. M., Seiler S., Binder N., Ege P., Große-Dunker G., Heisel I., Hornof F., Jeken J., Rebling N. M., Ulrich C., Scheller B., Böhm M., Fliser D., Heine G. H. CD14++CD16+ monocytes independently predict cardiovascular events: a cohort study of 951 patients referred for elective coronary angiography. (англ.) // Journal Of The American College Of Cardiology. — 2012. — 16 October (vol. 60, no. 16). — P. 1512—1520. — doi:10.1016/j.jacc.2012.07.019. — PMID 22999728.
- ↑ Foucar K. Myelodysplastic/myeloproliferative neoplasms. (англ.) // American Journal Of Clinical Pathology. — 2009. — August (vol. 132, no. 2). — P. 281—289. — doi:10.1309/AJCPJ71PTVIKGEVT. — PMID 19605822.
- ↑ Selimoglu-Buet Dorothée, Wagner-Ballon Orianne, Saada Véronique, Bardet Valérie, Itzykson Raphaël, Bencheikh Laura, Morabito Margot, Met Elisabeth, Debord Camille, Benayoun Emmanuel, Nloga Anne-Marie, Fenaux Pierre, Braun Thorsten, Willekens Christophe, Quesnel Bruno, Adès Lionel, Fontenay Michaela, Rameau Philippe, Droin Nathalie, Koscielny Serge, Solary Eric. Characteristic repartition of monocyte subsets as a diagnostic signature of chronic myelomonocytic leukemia (англ.) // Blood. — 2015. — 4 June (vol. 125, no. 23). — P. 3618—3626. — ISSN 0006-4971. — doi:10.1182/blood-2015-01-620781.
- ↑ Tarfi Sihem, Badaoui Bouchra, Freynet Nicolas, Morabito Margot, Lafosse Jeffie, Toma Andréa, Etienne Gabriel, Micol Jean-Baptiste, Sloma Ivan, Fenaux Pierre, Solary Eric, Selimoglu-Buet Dorothée, Wagner-Ballon Orianne. Disappearance of slan-positive non-classical monocytes for diagnosis of chronic myelomonocytic leukemia with an associated inflammatory state (англ.) // Haematologica. — 2019. — 14 August (vol. 105, no. 4). — P. e147—e152. — ISSN 0390-6078. — doi:10.3324/haematol.2019.219782.
- ↑ Fingerle-Rowson G., Angstwurm M., Andreesen R., Ziegler-Heitbrock H. W. Selective depletion of CD14+ CD16+ monocytes by glucocorticoid therapy. (англ.) // Clinical And Experimental Immunology. — 1998. — June (vol. 112, no. 3). — P. 501—506. — doi:10.1046/j.1365-2249.1998.00617.x. — PMID 9649222.
- ↑ Hofer T. P., Zawada A. M., Frankenberger M., Skokann K., Satzl A. A., Gesierich W., Schuberth M., Levin J., Danek A., Rotter B., Heine G. H., Ziegler-Heitbrock L. slan-defined subsets of CD16-positive monocytes: impact of granulomatous inflammation and M-CSF receptor mutation. (англ.) // Blood. — 2015. — 10 December (vol. 126, no. 24). — P. 2601—2610. — doi:10.1182/blood-2015-06-651331. — PMID 26443621.
Литература
- Афанасьев Ю. И., Кузнецов С. Л., Юрина Н. А., Котовский Е. Ф. и др. Гистология, цитология и эмбриология. — 6-е изд., перераб. и доп.. — М.: Медицина, 2004. — 768 с. — ISBN 5-225-04858-7.
- Хаитов Р. М. Иммунология: структура и функции иммунной системы. — М.: ГЭОТАР-Медиа, 2019. — 328 с. — ISBN 978-5-9704-4962-2.
- Ярилин А. А. Иммунология. — М.: ГЭОТАР-Медиа, 2010. — 752 с. — ISBN 978-5-9704-1319-7.
- Anthony L. Mescher. Junqueira's Basic Histology (англ.). — McGraw-Hill Education, 2016. — ISBN 978-0-07-184270-9.