Пневмония
| Пневмония | |
|---|---|
![]() Streptococcus pneumoniae — частый возбудитель бактериальной пневмонии | |
| МКБ-11 | CA40 |
| МКБ-10 | J12, J13, J14, J15, J16, J17, J18, P23 |
| МКБ-9 | 480-486, 770.0 |
| МКБ-9-КМ | 483.8[1], 486[1], 484.8[1] и 483[1] |
| DiseasesDB | 10166 |
| MedlinePlus | 000145 |
| eMedicine | topic list |
| MeSH | D011014 |
Пневмони́я (др.-греч. πνευμονία — «болезнь лёгких», от др.-греч. πνεύμων — «лёгкое»[2]), воспаление лёгких — воспаление лёгочной ткани обычно инфекционного происхождения с преимущественным поражением альвеол (развитием в них воспалительной экссудации)[3][4]. Пневмонии, вызванные инфекциями, являются формой острой респираторной инфекции, затрагивающей лёгкие[5]. Основными возбудителями пневмонии являются бактерии и вирусы, реже её вызывают микоплазмы, грибы и паразиты[6].
Термин «пневмония» объединяет большую группу болезней, каждая из которых имеет свою этиологию, патогенез, клиническую картину, рентгенологические признаки, характерные данные лабораторных исследований и особенности терапии. В общем случае пневмонии могут быть микробной (бактерии, вирусы, простейшие), токсической, аллергической, аутоиммунной, ожоговой, лучевой этиологии[7].
Отсутствие чёткого определения пневмонии является проблемой, в медицинской литературе термины «пневмония» и «пневмонит» используются в различных диагностических терминах, относящихся к состояниям, не связанным с инфекцией, а также к состояниям, возникающим по неизвестной причине, однако наиболее предпочтительным определением пневмонии было бы определение её как острой инфекции, пока же консенсус по определению отсутствует[8]. Фактически пневмонит является более общим термином для обозначения воспаления лёгких, однако к нему принято относить неинфекционные воспалительные процессы в лёгочной ткани[9]. В случае преимущественного поражения альвеол неинфекционные воспаления называют также альвеолитами. На фоне подобных асептических воспалительных процессов нередко вторично развивается бактериальная, вирусно-бактериальная или грибковая пневмония. Хотя термины «пневмонит» и «пневмония» синонимичны, в современной терминологии принято относить неинфекционные случаи к пневмонитам, а инфекционные формы воспаления лёгких — к пневмониям. Отдельным классом заболеваний идут идиопатические интерстициальные пневмонии, для которых не установлена этиология и которые также характеризуются фиброзом.
Основными методами диагностики являются рентгенологическое исследование лёгких и исследование мокроты, основным методом лечения — антибактериальная терапия. Поздняя диагностика и задержка с началом антибактериальной терапии ухудшают прогноз заболевания. В некоторых случаях возможен смертельный исход.
Пневмония является причиной смертности 15 % детей до 5 лет во всём мире[10]. 808 694 ребёнка до 5 лет умерло от пневмонии в 2017 году[10]. От пневмонии умирает каждый 64-й заболевший этой опасной болезнью. Пневмония даёт опасные осложнения различным органам заболевшего человека.
Классификация
С клинической точки зрения пневмония может быть «типичной» или «атипичной», в зависимости от клинической картины. Атипичная пневмония обычно вызывается вирусами, некоторыми стандартными или различными необычными возбудителями, при этом слово «атипичная» не означает, что данные пневмонии являются редкими[11][12].
Пневмонии, вызванные различными возбудителями
К этой группе можно отнести пневмонии, вызванные различными возбудителями, которые имеют различные эпидемиологические, клинические и анатомические проявления, нуждаются в различной терапии и методах профилактики, пневмонию при ВИЧ-инфекции и больничную пневмонию.
- Пневмококковая пневмония
- Стафилококковая пневмония
- Стрептококковая пневмония
- Пневмония, вызванная Haemophilus influenzae — палочка Афанасьева-Пфайффера
- Пневмония, вызванная Mycoplasma pneumoniae
- Пневмония, вызванная Legionella pneumophila
- Пневмония, вызванная Chlamydia psittaci
- Пневмония, вызванная Escherichia coli
- Пневмония, вызванная Pseudomonas aeruginosa
- Пневмония, вызванная Klebsiella pneumoniae
- Пневмония, вызванная Chlamydophila pneumoniae
- Пневмония, вызванная Pneumocystis carinii (в современной терминологии — Pneumocystis jirovecii[13])
- Кандидозная пневмония
- Аспергиллёз лёгких
- Вирусная пневмония (грипп, респираторно-синцитиальный вирус человека, парагрипп, вирус простого герпеса, корь, ветряная оспа, SARS-CoV-2 и др.)
- Цитомегаловирусная пневмония
- Лёгочная чума
Распространение
В год диагноз пневмония ставится более 17 млн человек, при этом мужчины болеют на 30 % чаще, чем женщины. К особым группам риска следует отнести детей до 5 лет и пожилых людей в возрасте старше 65 лет. При этом стоит отметить достаточно высокую смертность относительно других заболеваний: 8,04 % у мужчин и 9,07 % у женщин[14].
Заболеваемость пневмонией зависит от многих факторов: уровня жизни, социального и семейного положения, условий труда, контакта с животными, путешествий, наличия вредных привычек, контакта с больными людьми, индивидуальных особенностей человека, географической распространённости того или иного возбудителя. В 2017 году в России превышение цифр по внебольничным пневмониям наблюдалось в 44 субъектах страны. Было также зарегистрировано необычно большое количество эпидемических очагов: 2017 году — 52 очага внебольничной пневмонии, в то время как за 5 предыдущих лет — только 16[15].
Пневмония остаётся одной из самых частых причин смерти детей и пожилых людей в наше время, особенно в социальных заведениях (дет. домах, интернатах, местах лишения свободы). Распространённость пневмонии в вооружённых силах составляет до 35-40 случаев на тысячу человек. Каждый десятый случай пневмонии у военнослужащих по призыву протекает тяжело[16]. Резко увеличивается частота пневмоний у пожилых больных в то время, когда они лечатся в госпитальных учреждениях по поводу другого заболевания. Существуют и резкие различия в этиологии больничной и внебольничной пневмонии.
Патогенез пневмонии


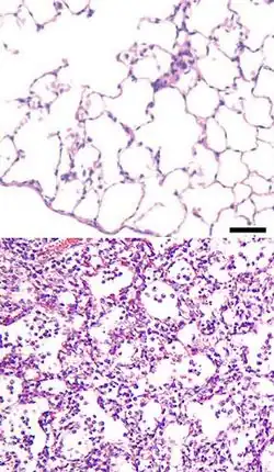
Наиболее частым путём проникновения микроорганизмов в лёгочную ткань является бронхогенный — и этому способствуют: аспирация, вдыхание микробов из окружающей среды, переселение патогенной флоры из верхних отделов дыхательной системы (нос, глотка) в нижний, медицинские манипуляции — бронхоскопия, интубация трахеи, искусственная вентиляция лёгких, ингаляция лекарственных веществ из обсеменённых ингаляторов и т. д. Гематогенный путь распространения инфекции (с током крови) встречается реже — при внутриутробном заражении, септических процессах и наркомании со внутривенным введением наркотиков. Лимфогенный путь проникновения встречается очень редко. Далее, при пневмонии любой этиологии, происходит фиксация и размножение инфекционного агента в эпителии респираторных бронхиол — развивается острый бронхит или бронхиолит различного типа — от лёгкого катарального до некротического. Распространение микроорганизмов за пределы респираторных бронхиол вызывает воспаление лёгочной ткани — пневмонию. За счёт нарушения бронхиальной проходимости возникают очаги ателектаза. Рефлекторно, с помощью кашля и чихания, организм пытается восстановить проходимость бронхов, но в результате происходит распространение инфекции на здоровые ткани, и образуются новые очаги пневмонии. Развивается кислородная недостаточность, дыхательная недостаточность, а в тяжёлых случаях и сердечная недостаточность. Больше всего поражаются II, VI, X сегменты правого лёгкого и VI, VIII, IX, X сегменты левого лёгкого. Часто в процесс вовлекаются и регионарные лимфатические узлы — бронхопульмональные, паратрахеальные, бифуркационные.
Факторы, предрасполагающие к развитию пневмонии
Дети раннего возраста:
- внутриутробная гипоксия и асфиксия;
- родовая травма;
- пневмопатии новорождённого;
- врождённые пороки сердца;
- пороки развития лёгкого;
- муковисцидоз;
- наследственные иммунодефициты;
- гипотрофии;
- гиповитаминозы.
Дети школьного возраста:
- хронические очаги инфекции в носоглотке;
- рецидивирующие бронхиты;
- муковисцидоз;
- приобретённые пороки сердца;
- иммунодефицитные состояния;
- курение.
Взрослые:
- курение и хронический бронхит;
- хронические болезни лёгких;
- эндокринные заболевания;
- сердечная недостаточность;
- иммунодефицитные состояния;
- хирургические операции грудной клетки и брюшной полости;
- длительное пребывание в горизонтальном положении;
- алкоголизм.
В обзорных исследованиях 2013—2016 гг. выявлена взаимосвязь заболеваемости бактериальной пневмонией и здоровьем зубов. 441 человек из более чем 26 000 обследованных перенёс бактериальную пневмонию хотя бы один раз. Люди, ни разу не посещавшие профилактические осмотры стоматолога, имели на 86 % более высокий риск пневмонии, чем те, кто проходил санацию ротовой полости регулярно 2 раза в год[17].
Клиническая картина

«Типичная» пневмония характеризуется резким подъёмом температуры, кашлем с обильным выделением гнойной мокроты и, в некоторых случаях, плевральной боли. При исследовании: укорочение перкуторного звука, жёсткое дыхание, усиленная бронхофония, усиленное голосовое дрожание, сначала сухие, а затем влажные, крепитирующие хрипы, затемнение на рентгенограмме. Такую пневмонию вызывают Streptococcus pneumoniae, Haemophilus influenzae, Escherichia coli, Klebsiella pneumoniae.
«Атипичная» пневмония характеризуется постепенным началом, сухим, непродуктивным кашлем, преобладанием в клинической картине второстепенных симптомов — головной боли, миалгии, боли и першения в горле, слабости и недомогания при минимальных изменениях на рентгенограмме. Этот тип пневмонии вызывают, как правило, Mycoplasma pneumoniae (микоплазменная пневмония), Legionella pneumophila (легионеллёзная пневмония), Chlamydia pneumoniae (хламидийная пневмония), Pneumocystis jirovecii (пневмоцистная пневмония).
«Вторичная»: аспирационная, септическая, на фоне иммунодефицита, гипостатическая, посттравматическая и другие.
Аспирационная пневмония — развивается после вдыхания в лёгкие инородной массы (рвотные массы во время операции, потери сознания, травмы, у новорождённых аспирация амниотической жидкости во время родов), при этом микробы — возбудители пневмонии — попадают в лёгкие в составе этой инородной массы. Аспирационная пневмония развивается по типу очаговой пневмонии.
Крупозная пневмония
Ввиду особенностей развития крупозную пневмонию вполне целесообразно рассматривать как более или менее своеобразную форму пневмонии. При крупозной пневмонии патологический процесс проходит несколько стадий. В I стадии — стадии гиперемии и прилива — воспаление в альвеолах приводит к их расширению и появлению в них экссудата. Во II стадии — стадии опеченения — сначала в альвеолярный экссудат из расширенных сосудов поступают эритроциты. Воздух из альвеол вытесняется. Заполненные фибрином альвеолы придают лёгкому цвет печени. Эта первая часть второй стадии носит название красного опеченения. Далее в экссудате начинают преобладать лейкоциты. Эта часть второй стадии называется серым опеченением. Последняя, III стадия — стадия разрешения: фибрин и лейкоциты в альвеолах рассасываются и частично отхаркиваются с мокротой. I стадия продолжается 2—3 дня, II — 3—5 дней. Разрешение наступает к 7—11-му дню болезни.
Возбудителем крупозной пневмонии (плевропневмонии) является пневмококк. Пневмония, вызванная этим микробом, отличается своей масштабностью и тяжестью течения. Начало крупозной пневмонии острое. Температура тела повышается до 39—40 °C. Одышка наблюдается с первых дней болезни. Для этого вида пневмонии характерны поражения одной доли лёгкого, целого лёгкого или обоих лёгких. Чем больше объём поражения лёгких, тем тяжелее протекает процесс. На 3-4 день болезни появляются характерная ржавая мокрота и кашель. При кашле больной жалуется на сильные «колющие» боли в груди со стороны лёгкого, захваченного пневмонией. При очаговой пневмонии боли в груди, напротив, наблюдаются очень редко. При объективном обследовании первая стадия характеризуется сохранением везикулярного дыхания и притупленно-тимпаническим перкуторным звуком. Также выслушивается дополнительный дыхательный шум — крепитация — crepitatio indux. Во второй стадии — дыхание бронхиальное и тупой перкуторный звук. Подвижность нижнего лёгочного края поражённой стороны снижена. В третьей стадии как и в первой — везикулярное дыхание и притупленно-тимпанический перкуторный звук, а также крепитация — crepitatio redux.
Температура, кашель и выделение мокроты при крупозной пневмонии могут продержаться более 10 дней. На фоне крупозной пневмонии может развиться абсцесс лёгкого, сердечно-лёгочная недостаточность. В лечении бронхопневмонии используют антибиотики, отхаркивающие и муколитические средства.
Диагностические методы исследования

Основные
- Рентгенография грудной клетки
- Микроскопическое исследования мокроты с окраской по Граму (Gram)
- Посев мокроты на питательные среды
- Общий и биохимический анализ крови
- Исследование газового состава крови
Дополнительные
- Компьютерная томография грудной клетки
- Парацентез плевральной полости и биопсия плевры
- Бронхоскопия с биопсией
- Посев крови на питательные среды
- Выявление специфических антител
- Биопсия лёгкого
- Биопсия лёгкого после диагностической торакотомии
- Анализ мочи
- УЗИ плевральной полости
Лечение пневмонии
Краеугольным камнем лечения пневмонии являются антибиотики. Выбор антибиотика осуществляется в зависимости от микроорганизма, вызвавшего пневмонию. Используются также препараты, расширяющие бронхи и разжижающие мокроту — внутрь или в виде ингаляций, кортикостероиды, внутривенные солевые растворы, кислород. Иногда выполняются плевральная пункция и бронхоскопия.
При неопределённом типе возбудителя в антибиотикотерапии внебольничной пневмонии применяют сочетание защищённых пенициллинов и цефалоспоринов (то есть антибиотики широкого спектра), макролидов; применяются также карбапенемы (тиенам, меропенем), респираторные фторхинолоны. При неэффективности терапии производят замену антибиотика. Критерием успешности терапии является нормализация температуры тела на третий день от начала применения антибиотика, а также данные объективного исследования и рентгенографии грудной клетки.
Кроме того, при пневмонии часто используется физиотерапия (ультрафиолетовое облучение, вибрационный массаж, лечебная физкультура, парафин, озокерит), хотя кокрановский обзор, включивший шесть РКИ, не обнаружил доказательств пользы физиотерапии грудной клетки при пневмонии[18].
Профилактика
Профилактика пневмонии является важным фактором снижения детской смертности. Вакцинация против гемофильной палочки типа B, пневмококка, кори и коклюша является наиболее эффективным способом профилактики пневмонии. Для маленьких детей важную роль играет питание, в частности, исключительно грудное вскармливание в течение первых 6 месяцев жизни. Снижает заболеваемость среди детей и борьба с загрязнением воздуха, например, через использование экологически чистых кухонных плит в жилых домах. В перенаселённых домах снизить заболеваемость может помочь обеспечение условий для соблюдения гигиены[5].
В медицинских учреждениях эффективными мерами снижения распространения инфекции является мытьё рук и использование перчаток и масок, также рекомендуется изоляция пациентов[19].
Вакцинопрофилактика
Вакцинопрофилактика пневмококковых инфекций
Согласно позиции ВОЗ и Российского респираторного общества, «Вакцинация — единственная возможность[20] предотвратить развитие пневмококковой инфекции». В Российской Федерации 94 % от всех этиологически расшифрованных случаев осложнённой пневмококковой инфекции у детей приходится на пневмококковую внебольничную пневмонию[21]. Пневмококк является причиной до 76 % внебольничных пневмоний у взрослых россиян. Для вакцинации против пневмококковой инфекции лиц старше 2 лет в США с 1983 г., а в РФ с 1999 г. успешно применяются[22] полисахаридные поливалентные вакцины, содержащие антигены 23 серотипов, вызывающих до 90 % инвазивных заболеваний пневмококковой этиологии. Вакцинация проводится однократно, с последующей ревакцинацией пациентов из групп высокого риска (старше 65 и иммуноскомпрометированные лица) через 5 лет. Эффективность полисахаридных вакцин достигает 80 %, но может быть ниже у пожилых лиц, больных иммунодефицитными состояниями, а также у детей младше 2 лет. Эти вакцины обусловливают формирование Т-независимого В-клеточного иммунитета.
Показания для применения полисахаридной пневмококковой вакцины таковы:
- всем лицам от 65 лет и старше;
- лицам от 2 до 64 лет с хроническими заболеваниями сердца, лёгких, с серповидноклеточной анемией, сахарным диабетом, циррозом печени, страдающим алкоголизмом;
- лицам от 2 до 64 лет с иммунодефицитными заболеваниями, как-то: лимфогранулематоз, лимфома и лейкемия, хроническая почечная недостаточность, нефротический синдром, множественная миелома, ВИЧ-инфекция, заболевания селезёнки или аспления, при трансплантации органов;
- лицам от 2 до 64 лет, получающим иммуносупрессорную терапию (лучевая терапия, длительный курс кортикостероидов или цитостатиков);
- взрослым от 19 до 64 лет, страдающим бронхиальной астмой, и курильщикам;
- лицам, длительно пребывающим в детских коллективах.
Для детей младше 2 лет применяют конъюгированную с белком 7, 10 или 13-валентную пневмококковую вакцину. Она содержит антигены соответственно 7, 10 или 13 инвазирующих пневмококков, обусловливающих 80 % всех пневмококковых инфекций у детей в развитых странах. Вакцина формирует Т-клеточный ответ и высоко иммуногенна.
В настоящее время в РФ применяется зарегистрированная конъюгированая пневмококковая вакцина «Превенар» производства компании Вайет (США) и Синфлорикс (производство ГлаксоСмитКляйн, Бельгия[23]).
Вакцинопрофилактика гемофильной пневмонии
Бактерия Haemophilus influenzae типа В (ХИБ-инфекция) — широко распространённый возбудитель тяжёлых инфекций, в основном, у детей до 6 лет.
Массовая вакцинация детей против ХИБ-инфекции позволила сократить заболеваемость гемофильными инфекциями с 40-100 на 100 тыс. в 1980 г. до 1,3 на 100 тыс. в 1990 году[24]. В развитых и во многих развивающихся странах массовая ХИБ-вакцинация позволила снизить заболеваемость осложнёнными пневмониями на 20 % (напр., в Чили с 5,0 до 3,9 на 1000)[25]. Если учесть тот факт, что среди штаммов ХИБ растёт устойчивость к антибиотикам, ХИБ-вакцина становится всё более актуальной. ВОЗ рекомендует включение ХИБ-вакцины в национальные календари во всех странах, отмечая, что «недостаток данных по заболеваемости не должен препятствовать внедрению ХИБ-вакцин». ХИБ-вакцина рекомендована МЗ РФ для использования там, где для этого есть возможности.
Эффективность пневмококковых вакцин
Эффективность вакцинации полисахаридными вакцинами в РФ показана как в организованных коллективах (в армейских коллективах заболеваемость пневмониями снизилась в 3 раза, острыми бронхитами — в 2 раза, острыми средними отитами и синуситами — в 4 раза), так и для групп риска[26]. Так, частота возникновения респираторных заболеваний у часто болеющих детей после вакцинации 23-валентной пневмококковой вакциной снизилась с 6,54 до 0,67 случая в год на 1 ребёнка, у детей, инфицированных микобактериями туберкулёза[27], частота пневмоний и бронхитов снизилась в 7 раз по сравнению с контрольной группой, получавшей неспецифическую профилактику респираторных инфекций[28].
При бронхиальной астме у детей вакцинация 23-валентной пневмококковой вакциной снижала частоту обострений основного заболевания и присоединения респираторных инфекций (триггер бронхиальной астмы) у 60 % детей[29].
Высокая эффективность пневмококковой вакцинации у пациентов с ХОБЛ показана как международными[30][31], так и российскими исследованиями[32] (в Челябинске индекс эффективности вакцины у пациентов с ХОБЛ был 4,6). Частота обострений (в том числе пневмоний) у этих больных снизилась в 2,4 раза в течение первого года после вакцинации[33].
Конъюгированные с белками пневмококковые вакцины значительно снижают риск инвазивных пневмококковых инфекций у детей (в возрасте до 1 года на 82 %)[34], а, кроме того, формируют общепопуляционный иммунитет, поскольку именно дети младшего возраста являются основным резервуаром инвазирующих пневмококков. Таким образом, в популяциях, где по национальным календарям массово прививаются дети, взрослые болеют гораздо реже[35].
В 2018 году компания Pfizer опубликовала результаты КИ вакцинации конъюгированной пневмококковой тринадцативалентной вакциной (ПКВ13). Исследование проводилось в Луисвилле в формате популяционного наблюдательного проспективного исследования «случай-контроль» с отрицательным контролем взрослых пациентов. В рамках КИ, проводился анализ больных пневмонией пациентов с целью выявления вакцин-специфичных серотипов. Длительность госпитализации больных при внебольничной пневмонии в среднем составляла 6 дней. Исследования показали, что иммунизация пневмококковой вакциной ПКВ13 взрослых 65 лет и старше снижала риск их госпитализации, вызванной пневмонией, на 73 %[36][37].
Осложнения
Серьёзными осложнениями пневмонии могут являться: абсцесс и гангрена лёгкого, плеврит, эмпиема плевры, обструкция, острая дыхательная недостаточность, эндокардит, перикардит, менингит, отёк лёгких, сепсис.
Также после пневмонии почти у каждого пациента появляются рубцы на лёгких[38].
Прогноз
С применением антибиотиков прогноз, как правило, благоприятный. Кишечная флора после приёма антибиотиков, в большинстве случаев, восстанавливается самостоятельно и не требует применения препаратов. В случае неадекватной терапии или иммунодефицита пневмония может привести к летальному исходу.
История
Впервые пневмония была описана Гиппократом примерно в 460 году до нашей эры, однако вплоть до XIX века не было известно, что она является именно инфекцией лёгких, а не симптомом других заболеваний[39]. Первые клинические и патологические проявления были описаны французским врачом Рене Лаэннеком в 1819 году, а в 1842 году австрийский патолог Карл Рокитанский первым дифференцировал пневмонию на долевую и бронхопневмонию[40]. Инфекционная природа была обнаружена в 1875 году немецким патологом Эдвином Клебсом, который под микроскопом наблюдал бактерии, а в 1884 году Карл Фридлендер и Френкель, Альберт смогли определить два наиболее распространённых возбудителя пневмонии на то время — Streptococcus pneumoniae (пневмококк) и Klebsiella pneumonia[39].
Большой вклад в исследования пневмококка типа I[a] внесли сотрудники Рокфеллеровского университета (США) Руфус Коул, Освальд Эвери и Альфонс Доше. В 1917 году они завершили разработку сыворотки от пневмококка[41].
К 1929 году в Международном перечне причин смерти было указано 94 термина для определения пневмонии, позднее в классификаторе МКБ-10 многие описательные термины, включавшие пневмонию, в конечном счёте убрали, однако она всё ещё указана в описательных терминах для некоторых инфекционных и неинфекционных причин, включая осложнения от некоторых заболеваний и процедур[40]. В 1930 годах благодаря пенициллину были разработаны способы лечения бактериальной пневмонии, однако пневмония всё ещё остаётся лидирующей причиной смертности среди детей в возрасте до 5 лет[39].
Примечания
Комментарии
Источники
- ↑ 1 2 3 4 Monarch Disease Ontology release 2018-06-29 — 2018-06-29 — 2018.
- ↑ Советский энциклопедический словарь / Гл. ред. А. М. Прохоров. — 4-е изд. — М.: Советская энциклопедия, 1988. — 1600 с.
- ↑ McLuckie, [editor] A. Respiratory disease and its management. — New York: Springer, 2009. — С. 51. — ISBN 9781848820944.
- ↑ Leach, Richard E. Acute and Critical Care Medicine at a Glance (рум.). — 2. — Wiley-Blackwell, 2009. — ISBN 1-4051-6139-6.
- ↑ 1 2 Пневмония. Информационный бюллетень. Всемирная организация здравоохранения (25 июля 2020). Дата обращения: 25 июля 2020. Архивировано 15 июля 2020 года.
- ↑ Sameera, Javed, 2017, 2. Pathophysiology, p. 192.
- ↑ Путов H. B., Федосеег Г. B., Боголюбов В. М., Иванов С. М., Илларионов В. П., Розенштраух Л. С., Симбирцева Л. П., Кутафин Ю. Ф., Тюрин Н. А., Ширяева К. Ф., Цинзерлинг Н. В. Пневмония Архивная копия от 19 ноября 2021 на Wayback Machine // Большая медицинская энциклопедия, 3-е изд. — М.: Советская энциклопедия. — Т. 19.
- ↑ Mackenzie, 2016, Summary of opinions from the editorial board discussion, p. 1—2.
- ↑ Mayo Clinic Staff. Pneumonitis (англ.). Patient Care & Health Information. Mayo Clinic. Дата обращения: 2 августа 2020. Архивировано 5 августа 2020 года.
- ↑ 1 2 Пневмония. www.who.int. Дата обращения: 21 марта 2020. Архивировано 15 июля 2020 года.
- ↑ Sanjay Sethi. Respiratory Infections. — CRC Press, 2016-04-19. — С. 3. — 340 с. — ISBN 978-1-4200-8035-3. Архивировано 10 февраля 2022 года.
- ↑ P. Agarwal, L. Romano, H. Prosch, G. Schueller. Infection (англ.) // Emergency Radiology of the Chest and Cardiovascular System / Mariano Scaglione, Ulrich Linsenmaier, Gerd Schueller, Ferco Berger, Stefan Wirth. — Cham: Springer International Publishing, 2017. — P. 143–181. — ISBN 978-3-319-42584-9. — doi:10.1007/174_2016_38. Архивировано 10 февраля 2022 года.
- ↑ Stringer J.R., Beard C.B., Miller R.F., Wakefield A.E. A new name (Pneumocystis jiroveci) for Pneumocystis from humans (англ.) // Emerging Infectious Diseases : journal. — Centers for Disease Control and Prevention, 2002. — September (vol. 8, no. 9). — P. 891—896. — PMID 12194762. — PMC 2732539. Архивировано 12 ноября 2010 года.
- ↑ J18 Пневмония, медицинская статистика. Дата обращения: 11 февраля 2017. Архивировано из оригинала 12 февраля 2017 года.
- ↑ Алла Астахова. Хроники пикирующей пневмонии - 2. Блог о здравоохранении (18 апреля 2018). Дата обращения: 21 апреля 2018. Архивировано 21 апреля 2018 года.
- ↑ Бремя новобранцев | | Алла Астахова.Ru. alla-astakhova.ru. Дата обращения: 11 ноября 2019. Архивировано 11 ноября 2019 года.
- ↑ Doll M. et al. Access to Dental Care and Risk of Pneumonia: the Importance of Healthy Teeth : [арх. 15 ноября 2016] // IDWeek 2016, Idsa. — 2016.
- ↑ Yang M., Yan Y., Yin X., Wang B. Y., Wu T., Liu G. J., Dong B. R. Chest physiotherapy for pneumonia in adults. (англ.) // The Cochrane Database Of Systematic Reviews. — 2013. — 28 February (no. 2). — P. 006338—006338. — doi:10.1002/14651858.CD006338.pub3. — PMID 23450568.
- ↑ Sameera, Javed, 2017, 8. Prevention, p. 205.
- ↑ World Health Organization. Pneumococcal vaccines. Wkly Epidemiol Rec, 2003; 78(14):110-9
- ↑ Таточенко В. К., Антибактериальная терапия пневмоний у детей. Фарматека, № 11, 2002
- ↑ Fedson DS, Musher DM. Pneumococcal vaccine. In: Plotkin SA, Orenstein WA, editors. Vaccines. 4th ed. Philadelphia: Saunders; 2004. p. 529-88.
- ↑ Синфлорикс. Дата обращения: 7 декабря 2013. Архивировано 11 декабря 2013 года.
- ↑ CDC Архивировано 22 марта 2016 года.
- ↑ Иммунопрофилактика-2007 (Справочник — 8-у издание, дополненное) под ред. В. К. Таточенко, Н. А. Озерского. Москва: ИПК Контент-пресс, 2007, с. 95
- ↑ Мельниченко П. И., Мосягин В. Д., Жоголев С. Д. Применение пневмококковой вакцины «Пневмо 23» для профилактики инфекций респираторного тракта и ЛОР-органов в воинских коллективах. Вакцинация 5:9-11, 2003.
- ↑ Аксёнова В. А. с соавторы Профилактическое лечение детей с латентной туберкулёзной инфекцией в комплексе с вакцинопрофилактикой неспецифической инфекционной патологии верхних и нижних отделов респираторного тракта. Пособие для врачей, М., 2002.
- ↑ Аксёнова В. А., Горовенко Л. И. Новое в специфической профилактике туберкулёза у детей и подростков // Туберкулёз и экология. 1995. № 2. С.9—14.
- ↑ Расширение комплекса лечебно-профилактических мероприятий при бронхиальной астме у детей с применением вакцин «Пневмо 23» и «Акт-ХИБ»: пособие для врачей под. ред. Костинова М. П., М., 2004
- ↑ Nichol K. L., Baken L., Wuorenma J., Nelson A. The health and economic benefits associated with pneumococcal vaccination of elderly persons with chronic lung disease. (англ.) // Archives Of Internal Medicine. — 1999. — 8 November (vol. 159, no. 20). — P. 2437—2442. — doi:10.1001/archinte.159.20.2437. — PMID 10665892.
- ↑ Alfageme I., Vazquez R., Reyes N., Muñoz J., Fernández A., Hernandez M., Merino M., Perez J., Lima J. Clinical efficacy of anti-pneumococcal vaccination in patients with COPD. (англ.) // Thorax. — 2006. — March (vol. 61, no. 3). — P. 189—195. — doi:10.1136/thx.2005.043323. — PMID 16227328.
- ↑ Ябуров А. В. Материалы научно-практической конференции «Современная вакцинопрофилактика: проблемы и перспективы развития», Пермь, 2005
- ↑ Игнатова Г. Л., Федосова Н. С., Степанищева Л. А.. Профилактическое и терапевтическое использование пневмококковой вакцины у работающих на промышленном предприятии пациентов с хроническими бронхолёгочными заболеваниями. («Урал-Трак ЧТЗ», Челябинск). Пульмонология, 2007, № 3
- ↑ Millar E. V., Watt J. P., Bronsdon M. A., Dallas J., Reid R., Santosham M., O'Brien K. L. Indirect effect of 7-valent pneumococcal conjugate vaccine on pneumococcal colonization among unvaccinated household members. (англ.) // Clinical Infectious Diseases : An Official Publication Of The Infectious Diseases Society Of America. — 2008. — 15 October (vol. 47, no. 8). — P. 989—996. — doi:10.1086/591966. — PMID 18781875.
- ↑ Musher D. M. Pneumococcal vaccine--direct and indirect ("herd") effects. (англ.) // The New England Journal Of Medicine. — 2006. — 6 April (vol. 354, no. 14). — P. 1522—1524. — doi:10.1056/NEJMe068038. — PMID 16598050.
- ↑ Вакцинация от пневмококка снижает риск госпитализации из-за пневмонии на 73 %. Дата обращения: 26 июля 2018. Архивировано 26 июля 2018 года.
- ↑ A STUDY ANALYZING OBSERVATIONAL DATA SHOWS REAL-WORLD EFFECTIVENESS OF PREVNAR® 13 IN ADULTS AGE 65+. Дата обращения: 26 июля 2018. Архивировано 26 июля 2018 года.
- ↑ Рубцы в лёгких при пневмонии. Tvoypulmonolog.ru. 2 мая 2018. Архивировано 27 августа 2018. Дата обращения: 26 августа 2018.
- ↑ 1 2 3 Sameera, Javed, 2017, 1. Introduction, p. 191—192.
- ↑ 1 2 Mackenzie, 2016, Background, p. 2.
- ↑ 1 2 Барри, 2021, Глава 13, с. 566.
Литература
- Легкие // Энциклопедический словарь Брокгауза и Ефрона : в 86 т. (82 т. и 4 доп.). — СПб., 1890—1907.
- Джон Барри. Испанка. История самой смертоносной пандемии = John M. Barry. The Great Influenza: The Story of the Deadliest Pandemic in History / пер. Александр Анваер. — М.: Альпина Паблишер, 2021. — 736 с. — ISBN 978-5-9614-3532-0.
- Chapter 8 Pneumonia of Viral Etiologies / Al Johani Sameera ; Akhter Javed // Contemporary Topics of Pneumonia : [англ.] : [арх. 26 июля 2020] / Zissis Chroneos. — 2017. — 20 December. — doi:10.5772/intechopen.71608.
- Grant Mackenzie. The definition and classification of pneumonia : [англ.] : [арх. 6 августа 2020] // Pneumonia (Nathan Qld.). — 2016. — Vol. 8, no. 14 (22 August). — ISSN 2200-6133. — doi:10.1186/s41479-016-0012-z. — PMID 28702293. — PMC 5471962.
- Острая пневмония : (Вопр. диагностики, профилактики, лечения). Учеб. пособие для врачей-курсантов / И. Н. Бухаловский, В. Н. Бухаловская, 22 с. 20 см, Л. ЛенГИДУВ 1979
Ссылки
- eMedicine. Pneumonia Архивная копия от 3 февраля 2007 на Wayback Machine.
