Пневмоцистная пневмония
| Пневмоцистная пневмония | |
|---|---|
![]() Pneumocystis jirovecii из бронхоальвеолярного лаважа, окраска толуидиновым синим | |
| МКБ-11 | 1F2G.0 |
| МКБ-10 | B48.5 |
| МКБ-9 | 136.3 |
| DiseasesDB | 10160 |
| MedlinePlus | 000671 |
| eMedicine | med/1850 |
| MeSH | D011020 |
Пневмоцистная пневмония — пневмония, возбудителем которой является дрожжеподобный гриб (ранее ошибочно относившийся к протистам) Pneumocystis jirovecii. Этот паразит является специфичным для человека, случаев заражения других животных данным видом не отмечено. Другие виды пневмоцисты, напротив, не инфицируют человека.[1]
Пневмоцисты обычно выявляются в лёгких здоровых людей, однако вызывает воспалительный процесс только у лиц с иммунодефицитом, то есть пневмоцистная пневмония является оппортунистической инфекцией. Как правило, этот вид пневмонии наблюдается у пациентов со злокачественными опухолями, ВИЧ/СПИД или на фоне приёма иммунодепрессантов.
Ранее считалось, что пневмоцистная пневмония вызывается видом Pneumocystis carinii; по современной терминологии, такое название имеет вид, обнаруживаемый у крыс[2], хотя оно и продолжает использоваться для именования патогена человека.
Клиническая картина
Пневмоцистная пневмония — наиболее характерная форма пневмоцистоза (оппортунистического микоза, вызываемого Pneumocystis jirovecii). Она проявляется лихорадкой, непродуктивным кашлем (в связи с высокой вязкостью мокроты), одышкой (особенно при физической нагрузке), снижением массы тела и ночной потливостью. В некоторых случаях отмечается поражение пневмоцистами других внутренних органов (печени, селезёнки, почек). При пневмоцистной пневмонии возможно развитие вторичного пневмоторакса, имеющего типичную клиническую картину.
У больных СПИДом или пациентов, которые получают кортикостероидную или интенсивную иммуносупрессивную терапию, пневмоцистоз выступает как наиболее частый оппортунистический микоз. Так, эту инфекцию обнаруживают у 65 % больных СПИДом (а у больных им при лёгочной патологии возбудитель пневмоцистоза обнаруживают в 90 % случаев); при отсутствии специфического лечения пневмоцистная пневмония становится причиной смерти 70 % больных. На стадии СПИД у пациентов с ВИЧ-инфекцией из лёгких возбудитель диссеминирует в лимфатические узлы, костный мозг, печень, селезёнку, почки, поджелудочную железу, головной мозг и другие органы, поражая их[3].
Течение заболевания
Риск развития пневмоцистной пневмонии увеличивается при снижении уровня CD4-клеток ниже 200 на мкл крови[4]. Заболевание поражает интерстициальную ткань лёгких, что проявляется гиперемией и отёчным утолщением альвеолярных перегородок с уменьшением просвета альвеол. Наблюдается повышение уровня ЛДГ, нарушается газовый обмен с развитием гипоксемии и гиперкапнии, проявляющихся одышкой. Выраженная гипоксия при отсутствии адекватного лечения может стать фатальной.
Диагностика

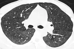
Диагноз устанавливается на основании данных рентгенографии и, предпочтительно, компьютерной томографии, демонстрирующей картину диффузных или диффузно-мозаичных зон снижения воздушности лёгочной ткани по типу «матового стекла». На этом фоне оксигенация артериальной крови значительно ниже ожидаемой при наблюдающейся клинической картине. Диагноз подтверждается обнаружением предполагаемого патогена в мокроте или при исследовании бронхоальвеолярного смыва. При микроскопии окрашенного материала обнаруживаются характерные кисты[5], имеющие вид «раздавленных шариков для пинг-понга». При микроскопии биоптата лёгкого выявляется утолщение альвеолярных перегородок с «пушистым» эозинофильным экссудатом в просвете альвеол.
Пневмоцистная инфекция также может верифицироваться посредством иммунофлуоресцентного или иммуногистохимического исследования, а в последнее время и при помощи полимеразной цепной реакции. Следует учитывать, что обнаружение молекулярного материала Pneumocystis jirovecii в бронхиальном смыве не является доказательством наличия пневмоцистной пневмонии, так как данный микроорганизм может присутствовать у клинически здоровых лиц в популяции[6].
Профилактика
Для профилактики пневмоцистной пневмонии у иммунокомпрометированных пациентов применяется ко-тримоксазол или регулярные ингаляции пентамидина.
Лечение
В зависимости от возраста пациента и клинической ситуации, возможно применение ко-тримоксазола, пентамидина изотионата, примахина с клиндамицином, дапсона с триметопримом, атоваквона и других схем лечения[7]. Одна из схем лечения предусматривает применение триметоприм-сульфаметоксазола (ко-тримоксазол) — либо перорально по 20 мг/(кг·сут) / 100 мг/(кг·сут) в 4 приёма соответственно, либо внутривенно по 15 мг/(кг·сут) / 75 мг/(кг·сут) в 4 введения соответственно. При лечении отмечается выраженное ухудшение состояния пациента, падающее на первые 3-5 дней после начала противопневмоцистного лечения и связанное с массовой гибелью возбудителей; его купируют кортикостероидными препаратами[3].
Примечания
- ↑ Aliouat-Denis, C-M., et al. Pneumocystis species, co-evolution and pathogenic power (англ.) // Infection, Genetics and Evolution : journal. — 2008. — Vol. 8, no. 5. — P. 708—726. — doi:10.1016/j.meegid.2008.05.001. — PMID 18565802.
- ↑ Stringer J.R., Beard C.B., Miller R.F., Wakefield A.E. A new name (Pneumocystis jiroveci) for Pneumocystis from humans (англ.) // Emerging Infectious Diseases : journal. — 2002. — September (vol. 8, no. 9). — P. 891—896. — PMID 12194762. — PMC 2732539. Архивировано 12 ноября 2010 года.
- ↑ 1 2 Корнишева В. Г., Могилёва Е. Ю. Микозы при ВИЧ-инфекции. Обзор литературы // Проблемы медицинской микологии. — 2013. — Т. 15, № 4. — С. 10—19.
- ↑ Hughes W. T. . Pneumocystis Carinii // Baronʼs Medical Microbiology. 4th ed. / Ed. by S. Baron et al.. — Galveston: University of Texas Medical Branch at Galveston, 1996. — xvii + 1273 p. — ISBN 0-9631172-1-1. — P. 1019—1022.
- ↑ Supplementary Information: Microscopic appearance of Pneumocystis jiroveci from bronchial washings. Дата обращения: 5 июня 2009. Архивировано из оригинала 22 января 2002 года.
- ↑ Medrano F.J., Montes-Cano M., Conde M., et al. Pneumocystis jirovecii in general population (англ.) // Emerging Infectious Diseases. — 2005. — February (vol. 11, no. 2). — P. 245—250. — PMID 15752442. Архивировано 5 ноября 2009 года.
- ↑ Лесли Серчук, M.D. Пневмоцистная пневмония. Руководство по оказанию помощи ВИЧ-инфицированным детям под ред. С. Зайхнера и Дж. Рид. Глава 42. Дата обращения: 15 января 2013. Архивировано из оригинала 27 января 2013 года.
Литература
- Лесли Серчук, M.D. Пневмоцистная пневмония. Руководство по оказанию помощи ВИЧ-инфицированным детям под ред. С. Зайхнера и Дж. Рид. Глава 42. Дата обращения: 15 января 2013. Архивировано из оригинала 27 января 2013 года.
