Спонтанная эмфизема средостения
| Спонтанная эмфизема средостения | |
|---|---|
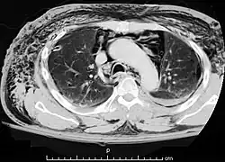
![]() КТ-изображение: эмфизема средостения у больного со спонтанным пневмомедиастинумом | |
| МКБ-10 | J98.2 |
| МКБ-9 | 518.1 |
| DiseasesDB | 29460 |
| MedlinePlus | 000084 |
| MeSH | D008478 |
Спонта́нная эмфизе́ма средосте́ния (спонтанный пневмомедиа́стинум, синдро́м Ха́ммена) — редко встречающееся самостоятельное заболевание, заключающееся в инфильтрации воздухом клетчатки средостения, характеризующееся доброкачественным течением и возникающее без определённых причин. Заболевание наиболее часто проявляется следующей триадой симптомов: болью за грудиной, затруднением дыхания и одутловатостью шеи, обусловленной эмфиземой мягких тканей. Спонтанная эмфизема средостения характеризуется благоприятным прогнозом: как правило, на фоне консервативной терапии достаточно быстро происходит постепенное бесследное исчезновение её симптомов. В практическом отношении особенностью спонтанного пневмомедиастинума является то, что торакальные хирурги, сталкивающиеся в своей практике с этим доброкачественным заболеванием, вынуждены исключать при этой патологии другие серьёзные и угрожающие жизни болезни и состояния, такие как спонтанный разрыв или перфорация пищевода, повреждение трахеи, некротизирующий медиастинит и другие[1][2][3][4][5][6].
История


Первое упоминание о спонтанной эмфиземе средостения относится к 1617 году, когда акушерка королевы Франции Louise Bourgeois в своих мемуарах описала внезапно возникшую у неё при родах одутловатость шеи. Клиническая картина эмфизема средостения, возникшей после травматического воздействия, впервые достаточно полно описана французским врачом и анатомом Рене Лаэннеком (René-Théophile-Hyacinthe Laënnec, 1781—1826)[7] в 1819 году в трактате «О выслушивании стетоскопом»[8][9]. Первое сообщение о спонтанном пневмомедиастинуме как о самостоятельном заболевании принадлежит американскому врачу, сотруднику университетской клиники Джонса Хопкинса Луи Хаммену (Louis Virgil Hamman, 1877—1946)[10], в 1939 году описавшему грубую крепитацию, синхронную с сердечными сокращениями и аускультативно выслушиваемую вдоль левого края грудины в III—VI межреберьях (симптом Хаммена)[11][12][13][14]. В связи с этим, в зарубежной медицинской литературе спонтанный пневмомедиастинум часто называют синдромом Хаммена (или болезнью Хаммена)[6][15]. Патофизиологические механизмы спонтанного пневмомедиастинума на основании проведённых на лабораторных животных экспериментов описали в 1944 году M. Т. Macklin и С. C. Macklin[2][16][17][18].
Эпидемиология
Страдают в основном мужчины молодого возраста (до 30 лет). У мужчин спонтанный пневмомедиастинум встречается примерно в 3 раза чаще (74 %), чем у женщин (26 %)[19]. Частота спонтанной эмфиземы средостения у госпитализированных больных варьирует, по данным различных авторов, от 1:3578 до 1:44511[6]. В последние годы наблюдается некоторый рост заболеваемости спонтанной эмфиземой средостения, что, однако, может быть связано с возросшей осведомлённостью врачей и расширившимися возможностями получения пациентами адекватного инструментального обследования[2][16][17][20][21] или же с большим распространением среди молодых людей систематического употребления ингаляционных наркотических веществ[8].
Частота спонтанной эмфиземы средостения у обратившихся в отделения неотложной помощи детей составляет от 1:800 до 1:15150[9].
Этиология
Предрасполагающие факторы
Предсуществующими заболеваниями лёгких и других органов, на фоне которых чаще всего возникает спонтанная эмфизема средостения, являются:
- бронхиальная астма[14][16][20];
- хронический бронхит[6][21];
- пневмония;
- буллёзная эмфизема легких[3];
- пневмосклероз;
- коклюш[14];
- ожог дыхательных путей;
- идиопатический фиброзирующий альвеолит[2][19];
- эозинофильные инфильтрации лёгких[21];
- саркоидоз[21];
- бронхоэктатическая болезнь[21];
- силикоз[21]
- диабетический ацидоз[21][22];
- курение[6][22];
- нервная анорексия[4].
Триггерные факторы
Непосредственной причиной развития данного синдрома является физическое напряжение при следующих состояниях:
- кашель[5][6][8][16][23];
- рвота[4][5][6][8][20][23];
- приступ бронхиальной астмы[8][16];
- физическая нагрузка[6][8][16];
- интубация трахеи[19];
- фиброэзофагогастродуоденоскопия[19][21];
- фибробронхоскопия[21];
- приём пищи[19];
- роды[14][16] (возникает, как правило, во втором периоде длительных первых родов; примерно 1 случай на 100000 родов)[24];
- чихание[16];
- акт дефекации[6][16][20];
- истерический крик[2];
- игра на духовых музыкальных инструментах[20];
- надувание воздушных шаров[16][20];
- употребление ингаляционных наркотических веществ, в первую очередь кокаина[8][16][20][22][25].
Патогенез
В настоящее время наиболее распространённым в научных кругах является мнение, что спонтанная эмфизема средостения возникает в результате разрыва терминальных альвеол, локализующихся в корне сегмента легкого и прилежащих к охватывающей сегментарные сосуды и бронхи рыхлой клетчатке[18]. Разрыву стенки альвеолы способствует повышение внутриальвеолярного давления, что может наблюдаться при бронхоспазме, в том числе рефлекторном, кашле, дефекации, физической нагрузке. Кроме того, разрыву альвеолярной стенки могут способствовать изменения, возникающие при интерстициальных заболеваниях лёгких[6]. Воздух, поступающий из повреждённой альвеолы, распространяется по градиенту давления вдоль сосудов и бронхов в сторону ворот лёгких, а затем в средостение[23]. Распространение воздуха именно в направлении от повреждённых альвеол в сторону средостения (эффект Macklin) происходит потому, что давление в средостении ниже, чем на периферии лёгких. Проникнувший в средостение воздух может распространяться на клетчаточные пространства шеи, мягких тканей грудной клетки, в полость перикарда, а в некоторых случаях (в зависимости от его количества) даже в забрюшинное клетчаточное пространство. Вследствие расслоения воздухом тканей заглоточного клетчаточного пространства и скопления воздуха под слизистой оболочкой задней стенки ротоглотки возможно появление гнусавости[1][2][3][16][21].
В небольшом проценте случаев происходит неуклонно прогрессивное увеличение количества воздуха в средостении, что приводит к развивитию напряжённого пневмомедиастинума, оказывающего негативное влияние на жизненно важные функции организма, так как он способен вызывать сдавление тонкостенных магистральных вен средостения, тем самым вызывая угнетение сердечной деятельности из-за уменьшения венозного притока крови к сердцу. При прорыве воздуха через париетальную плевру в плевральную полость развивается пневмоторакс, в некоторых случаях двусторонний[2][12][16][26].
Клиническая картина
Наиболее часто в клинической картине отмечается следующая триада симптомов: постоянная загрудинная боль колющего или давящего характера (самый частая жалоба пациентов, встречается в 54—88 %), в некоторых случаях иррадиирующая в шею или спину[6][17], затруднение дыхания (инспираторная одышка) и одутловатость шеи, обусловленная эмфиземой мягких тканей (96,2 %)[1]. Подкожная эмфизема при спонтанном пневмомедиастинуме может распространяться на грудную стенку, в основном на её верхние отделы, что отмечается у 29—37,5 % пациентов. Гораздо реже наблюдается обширная эмфизема с распространением на несколько анатомических областей (брюшную стенку, верхние и нижние конечности, лицо)[2][16][19].
Также могут быть жалобы на боли в горле, а также спине, плече, пояснице, общую слабость, кашель, дисфагию, одинофагию, ринофонию, нарушение фонации (гнусавость или осиплость голоса)[1][6][9][27].
Вместе с тем, при спонтанном пневмомедиастинуме основные показатели жизненно важных функций организма, как правило, не страдают, а общее состояние пациентов остаётся относительно удовлетворительным, что отражает доброкачественную природу этого заболевания[6][17].
Инструментальное исследование
Основными методами диагностики спонтанного пневмомедиастинума являются рентгенография грудной клетки в прямой и боковых проекциях и компьютерная томография органов грудной клетки. Другие инструментальные исследования, такие как рентгеноконтрастное исследование пищевода, фиброэзофагогастродуоденоскопия, фибротрахеобронхоскопия, электрокардиография, назначаются с целью исключения другой патологии, имеющей сходные клинические или рентгенологические проявления[1][8][22].
Рентгенография лёгких в прямой и боковой проекциях
На рентгенограммах обнаруживаются полосы просветления или пузырьки газа, окружающие тень средостения, приподнимая медиастинальную плевру, довольно часто описанные изменения распространяются на шею и грудную стенку. При рентгенографии в прямой проекции свободный газ в средостении часто обнаруживается по левой границе сердца и покрывает внутреннюю поверхность медиастинальной плевры, при этом создаётся хорошо заметная плевральная линия кнаружи от легочного ствола и дуги аорты. На боковых рентгенограммах свободный газ обуславливает полосы просветления вдоль контуров восходящей аорты, дуги аорты и отходящих от неё ветвей, легочных артерий и трахеи. Свободный газ располагается и вдоль линии прикрепления диафрагмы к грудине, вдоль тимуса и плече-головных вен[2][6][27][28].
В ряде случаев диагностировать пневмомедиастинум при обзорной рентгенографии затруднительно ввиду наличия у пациентов выраженной эмфиземы мягких тканей грудной клетки, экранирующей средостение. В таких случаях целесообразно выполнение компьютерной томографии органов грудной клетки[2][19].

Компьютерная томография органов грудной клетки
Компьютерная томография является наиболее эффективным методом диагностики эмфиземы средостения, так как с его помощью легко выявляется наличие газа в средостении, на поперечных сечениях хорошо определяется его локализация и распространённость эмфиземы. Преимуществом перед рентгенографией является возможность диагностики пневмомедиастинума даже в тех случаях, когда имеется выраженная эмфизема мягких тканей грудной стенки, сводящая информативность рентгенографии в этой ситуации к минимуму. Кроме того, компьютерная томография позволяет провести дифференциальную диагностику спонтанного пневмомедиастинума и других заболеваний с похожей клинической картиной, а также важна для установления причины заболевания[2][21].
Рентгеноконтрастное исследование пищевода
Применяется для исключения разрыва пищевода, также сопровождающегося пневмомедиастинумом, особенно в тех случаях, когда возникновению спонтанной эмфиземы средостения предшествовала рвота. При исследовании используется водорастворимый контрастный препарат[1][8][19][21].
Фиброэзофагогастродуоденоскопия
Фиброэзофагогастродуоденоскопия (ФЭГДС) также выполняется для исключения повреждения пищевода и глотки, что актуально в тех случаях, когда перед появлением спонтанного пневмомедиастинума производились эндоскопические манипуляции или больные обращались к врачу по поводу инородных тел пищевода[19].
Фибротрахеобронхоскопия
Диагностическая фибротрахеобронхоскопия показана при подозрении на травму трахеи, как правило, при эмфиземе средостения, возникшей после интубации трахеи, а также для исключения повреждения гортани и бронхов[6][8][19].
Электрокардиография
Электрокардиография проводится с целью исключения сердечной патологии как причины болей за грудиной[22][29].
Дифференциальный диагноз
Спонтанную эмфизему средостения приходится дифференцировать с другими серьёзными и нередко угрожающими жизни заболеваниями и патологическими состояниями, сопровождающимися развитием пневмомедиастинума: прободением дивертикулов, язв и раковых опухолей пищевода и трахеи, несостоятельностью швов на трахее, бронхе, лёгком, пищеводе, спонтанными разрывами и травматическими повреждениями пищевода, в том числе ятрогенными (например, при бужировании пищевода, выполнении фиброэзофагогастродуоденоскопии), повреждением трахеи при её интубации, ранениями забрюшинного пространства, разрывами забрюшинного отдела двенадцатиперстной кишки и другими. В постановке правильного диагноза большую роль играет тщательный сбор анамнеза болезни: наличие или отсутствие факта травмы грудной клетки или брюшной полости, проводившихся перед появлением эмфиземы средостения медицинских манипуляций (фиброэзофагогастродуоденоскопия, бужирование пищевода, интубация трхеи и т. п.) или оперативных вмешательств на органах шеи, грудной клетки и брюшной полости. В сомнительных случаях проводится дополнительное инструментальное обследование (рентгеноконтрастное исследование пищевода, фиброэзофагогастродуоденоскопия, фибротрахеобронхоскопия), позволяющее исключить другую патологию[1][5][8][27].
Лечение
Консервативная терапия спонтанного пневмомедиастинума достаточно эффективна[25][29] и включает постельный режим, обезболивание и оксигенотерапию[9]. С профилактической целью также показано назначение комплексной антибактериальной терапии, особенно в случаях, когда сразу невозможно исключить разрыв пищевода или трахеи[1][2][8][20]. Кроме того, целесообразно назначение противовоспалительных препаратов, коррекция бронхообструктивного синдрома, подавление кашлевого рефлекса[6][21].
При развитии напряжённого пневмомедиастинума для декомпрессии средостения показано хирургическое лечение: выполнение верхней медиастинотомии с раскрытием претрахеальной клетчатки до бифуркации трахеи, дренированием средостения и проведением активной аспирации. При неэффективности этих мер и дальнейшем нарастании напряженного пневмомедиастинума требуется неотложная чресплевральная широкая медиастинотомия[19][22][27].
При напряжённой спонтанной эмфиземе средостения у детей грудного возраста выполняется дренирование средостения через субксифоидальный доступ[21].
В случае присоединения к спонтанной эмфиземе средостения пневмоторакса показано дренирование соответствующей плевральной полости[16][19][22].
Прогноз
Прогноз заболевания благоприятный. Как правило, на фоне консервативной терапии довольно быстро происходит постепенное исчезновение симптомов[6][25] и у большинства пациентов наблюдается полное разрешение пневмомедиастинума к 8-м суткам от момента его возникновения. Лишь в небольшом проценте случаев эмфизема средостения прогрессирует и развивается напряжённый пневмомедиастинум, представляющий опасность из-за того, что происходит сдавление тонкостенных магистральных вен средостения, сопровождающееся угнетением сердечной деятельности, нарушением дыхания и возможным смертельным исходом без неотложного оперативного вмешательства[2][27].
В мировой медицинской литературе описаны лишь единичные наблюдения рецидива спонтанной эмфиземы средостения[1][2][6][26].
См. также
Примечания
- ↑ 1 2 3 4 5 6 7 8 9 Gerazounis M., Athanassiadi K., Kalantzi N., Moustardas M. Spontaneous pneumomediastinum: A rare benign entity (недоступная ссылка — история) (англ.) // The Journal of Thoracic and Cardiovascular Surgery. — Соединенные Штаты Америки: Mosby, 2003. — Vol. 126, no. 3. — P. 774—776. — ISSN 0022-5223. — doi:10.1016/S0022-5223(03)00124-7. — PMID 14502153.
- ↑ 1 2 3 4 5 6 7 8 9 10 11 12 13 14 Абакумов М. М., Шамба Х. Л., Даниелян Ш. Н. Спонтанная эмфизема средостения (недоступная ссылка — история) // Хирургия. Журнал им. Н. И. Пирогова. — М.: Медиа Сфера, 2010. — № 2. — С. 47—50. — ISSN 0023-1207.
- ↑ 1 2 3 Моисеев В. С., Платов И. И. Спонтанный пневмомедиастинум // Проблемы туберкулёза. — М.: Медицина, 1998. — № 5. — С. 61—62. — ISSN 0032-9533.
- ↑ 1 2 3 Filosso P. L., Garabello D., Lyberis P., Ruffini E., Oliaro A. Spontaneous pneumomediastinum: A rare complication of anorexia nervosa (недоступная ссылка — история) (англ.) // The Journal of Thoracic and Cardiovascular Surgery. — Соединенные Штаты Америки: Mosby, 2010. — Vol. 139, no. 4. — P. 79—80. — ISSN 0022-5223. — doi:10.1016/j.jtcvs.2008.04.037. — PMID 19660386.
- ↑ 1 2 3 4 Kelly S., Hughes S., Nixon S., Paterson-Brown S. Spontaneous pneumomediastinum (Hamman's syndrome) (англ.) // The Surgeon. — Великобритания: Elsevier Science Publishing Company, Inc., 2010. — Vol. 8, no. 2. — P. 63—66. — ISSN 1479-666X. — doi:10.1016/j.surge.2009.10.007. — PMID 20303884.
- ↑ 1 2 3 4 5 6 7 8 9 10 11 12 13 14 15 16 17 18 Macia I., Moya J., Ramos R., Morera R., Escobar I., Saumench J., Perna V., Rivas F. Spontaneous pneumomediastinum: 41 cases (англ.) // European Journal of Cardio-Thoracic Surgery. — Нидерланды: Elsevier Science Publishing Company, Inc., 2007. — Vol. 31, no. 6. — P. 1110—1114. — ISSN 1010-7940. — doi:10.1016/j.ejcts.2007.03.008. — PMID 17420139.
- ↑ René-Théophile-Hyacinthe Laënnec. Whonamedit?. Дата обращения: 12 июня 2013. Архивировано 12 июня 2013 года.
- ↑ 1 2 3 4 5 6 7 8 9 10 11 12 Koullias G. J., Korkolis D. P., Wang X. J., Hammond G. L. Current assessment and management of spontaneous pneumomediastinum: experience in 24 adult patients (англ.) // European Journal of Cardio-Thoracic Surgery. — Нидерланды: Elsevier Science Publishing Company, Inc., 2004. — Vol. 25, no. 5. — P. 852—855. — ISSN 1010-7940. — doi:10.1016/j.ejcts.2004.01.042. — PMID 15082293.
- ↑ 1 2 3 4 Huon L. K., Chang Y. L., Wang P. C., Chen P. Y. Head and neck manifestations of spontaneous pneumomediastinum (англ.) // Otolaryngology — Head and Neck Surgery. — Соединенные Штаты Америки: Mosby, 2012. — Vol. 146, no. 1. — P. 53—57. — ISSN 0194-5998. — doi:10.1177/0194599811421870. — PMID 21920953.
- ↑ Louis Virgil Hamman. Whonamedit?. Дата обращения: 9 июня 2013. Архивировано 9 июня 2013 года.
- ↑ Покровский В. И. Энциклопедический словарь медицинских терминов. — М.: Медицина, 2005. — 960 с. — 10 000 экз. — ISBN 5-225-04645-2.
- ↑ 1 2 Patrick L. Carolan. Pneumomediastinum. Medscape. WebMD LLC (28 марта 2012). Дата обращения: 29 мая 2013. Архивировано 29 мая 2013 года.
- ↑ Hamman L. V. Spontaneous mediastinal emphysema (англ.) // Bulletin of the Johns Hopkins Hospital. — Соединенные Штаты Америки, 1939. — Iss. 64. — P. 1—21.
- ↑ 1 2 3 4 Крофтон Дж., Дуглас А. Медистинальная эмфизема // Заболевания органов дыхания (перевод с английского). — М.: Медицина, 1974. — С. 492—494. — 728 с. — 10 000 экз.
- ↑ Hamman's syndrome. Whonamedit?. Дата обращения: 9 июня 2013. Архивировано 9 июня 2013 года.
- ↑ 1 2 3 4 5 6 7 8 9 10 11 12 13 14 15 Newcomb A. E., Clarke C. P. Spontaneous pneumomediastinum: a benign curiosity or a significant problem? (недоступная ссылка — история) (англ.) // Chest. — Соединенные Штаты Америки: American College of Chest Physicians, 2005. — Vol. 128, no. 5. — P. 3298—3302. — ISSN 0012-3692. — doi:10.1378/chest.128.5.3298. — PMID 16304275.
- ↑ 1 2 3 4 Esayag Y., Furer V., Izbicki G. Spontaneous pneumomediastinum: is a chest X-ray enough? A single-center case series (англ.) // Israel Medical Association Journal. — Израиль: Israel Medical Association, 2008. — Vol. 10, no. 9. — P. 575—578. — ISSN 1565-1088. — PMID 18847153. Архивировано 5 марта 2016 года.
- ↑ 1 2 Gray J. M., Hanson G. C. Mediastinal emphysema: aetiology, diagnosis, and treatment (англ.) // Thorax. — Великобритания: BMJ Publishing Group, 1966. — Vol. 21, no. 4. — P. 325—332. — ISSN 0040-6376. — doi:10.1136/thx.21.4.325. — PMID 5968120. Архивировано 5 марта 2016 года.
- ↑ 1 2 3 4 5 6 7 8 9 10 11 12 Абакумов М. М., Шамба Х. Л., Даниелян Ш. Н. Клиника, диагностика и лечение спонтанной эмфиземы средостения (недоступная ссылка — история) // Хирургия. Журнал им. Н. И. Пирогова. — М.: Медиа Сфера, 2010. — № 10. — С. 17—21. — ISSN 0023-1207.
- ↑ 1 2 3 4 5 6 7 8 Flatman S., Morrison E., Elahi M. Spontaneous Pneumomediastinum Associated with Sex (англ.) // Journal of Radiology Case Reports. — Соединенные Штаты Америки: EduRad Publishing, 2010. — Vol. 4, no. 4. — P. 25—29. — ISSN 1943-0922. — doi:10.3941/jrcr.v4i4.401. — PMID 22470723. Архивировано 5 марта 2016 года.
- ↑ 1 2 3 4 5 6 7 8 9 10 11 12 13 14 Погодина А. Н., Воскресенский О. В., Николаева Е. Б., Бармина Т. Г., Паршин В. В. Современные подходы к лечению спонтанного пневмоторакса и спонтанной эмфиземы средостения // Атмосфера. Пульмонология и аллергология : статья в журнале — научная статья. — М.: Атмосфера, 2011. — № 1. — С. 45—51. — ISSN 2071-8306.
- ↑ 1 2 3 4 5 6 7 Perna V., Vilà E., Guelbenzu J. J., Amat I. Pneumomediastinum: is this really a benign entity? When it can be considered as spontaneous? Our experience in 47 adult patients (англ.) // European Journal of Cardio-Thoracic Surgery. — Нидерланды: Elsevier Science Publishing Company, Inc., 2010. — Vol. 37, no. 3. — P. 573—575. — ISSN 1010-7940. — doi:10.1016/j.ejcts.2009.08.002. — PMID 19748792.
- ↑ 1 2 3 Островский В. М. Эмфизема кожи // Энциклопедический словарь Брокгауза и Ефрона : в 86 т. (82 т. и 4 доп.). — СПб., 1890—1907.
- ↑ Bonin M. M. Hamman's syndrome (spontaneous pneumomediastinum) in a parturient: a case report (недоступная ссылка — история) (англ.) // Journal of obstetrics and gynaecology Canada. — Канада: Healthcare & Financial Pub., 2006. — Vol. 28, no. 2. — P. 128—131. — ISSN 1701-2163. — PMID 16643714.
- ↑ 1 2 3 Panacek E. A., Singer A. J., Sherman B. W., Prescott A., Rutherford W. F. Spontaneous pneumomediastinum: clinical and natural history (англ.) // Annals of Emergency Medicine. — Соединенные Штаты Америки: Mosby, 1992. — Vol. 21, no. 10. — P. 1222—1227. — ISSN 0196-0644. — PMID 1416301.
- ↑ 1 2 Natale C., D'Journo X. B., Duconseil P., Thomas P. A. Recurrent spontaneous pneumomediastinum in an adult (англ.) // European Journal of Cardio-Thoracic Surgery. — Нидерланды: Elsevier Science Publishing Company, Inc., 2012. — Vol. 41, no. 5. — P. 1199—1201. — ISSN 1010-7940. — doi:10.1093/ejcts/ezr135. — PMID 22290930.
- ↑ 1 2 3 4 5 Перельман М. И., Криворак С. М. Пневмомедиастинум // Большая медицинская энциклопедия: В 30 томах / Главный редактор Б. В. Петровский. — 3-е издание. — М.: Советская энциклопедия, 1982. — Т. 19. Перельман — Пневмопатии. — С. 494—495. — 536 с. — 150 800 экз.
- ↑ Хофер М. Эмфизема средостения // Рентгенологическое исследование грудной клетки. Практическое руководство. — М.: Медицинская литература, 2008. — С. 99. — 224 с. — 2000 экз. — ISBN 978-5-89677-113-5.
- ↑ 1 2 Barge-Caballero E., Bouzas-Mosquera A., Gulias-Soidan D., Castro-Beiras A. Hamman’s syndrome: an atypical cause of chest pain (англ.) // European Heart Journal. — Великобритания: Oxford University Press, 2008. — Vol. 29, no. 5. — P. 578. — ISSN 0195-668X. — doi:10.1093/eurheartj/ehm410.
Литература
- Абакумов М. М., Шамба Х. Л., Даниелян Ш. Н. Клиника, диагностика и лечение спонтанной эмфиземы средостения (недоступная ссылка — история) // Хирургия. Журнал им. Н. И. Пирогова. — М.: Медиа Сфера, 2010. — № 10. — С. 17—21. — ISSN 0023-1207.
- Абакумов М. М., Шамба Х. Л., Даниелян Ш. Н. Спонтанная эмфизема средостения (недоступная ссылка — история) // Хирургия. Журнал им. Н. И. Пирогова. — М.: Медиа Сфера, 2010. — № 2. — С. 47—50. — ISSN 0023-1207.
- Крофтон Дж., Дуглас А. Медистинальная эмфизема // Заболевания органов дыхания (перевод с английского). — М.: Медицина, 1974. — С. 492—494. — 728 с. — 10 000 экз.
- Моисеев В. С., Платов И. И. Спонтанный пневмомедиастинум // Проблемы туберкулёза. — М.: Медицина, 1998. — № 5. — С. 61—62. — ISSN 0032-9533.
- Погодина А. Н., Воскресенский О. В., Николаева Е. Б., Бармина Т. Г., Паршин В. В. Современные подходы к лечению спонтанного пневмоторакса и спонтанной эмфиземы средостения // Атмосфера. Пульмонология и аллергология : статья в журнале — научная статья. — М.: Атмосфера, 2011. — № 1. — С. 45—51. — ISSN 2071-8306.
- Перельман М. И., Криворак С. М. Пневмомедиастинум // Большая медицинская энциклопедия: В 30 томах / Главный редактор Б. В. Петровский. — 3-е издание. — М.: Советская энциклопедия, 1982. — Т. 19. Перельман — Пневмопатии. — С. 494—495. — 536 с. — 150 800 экз.
- Хофер М. Эмфизема средостения // Рентгенологическое исследование грудной клетки. Практическое руководство. — М.: Медицинская литература, 2008. — С. 99. — 224 с. — 2000 экз. — ISBN 978-5-89677-113-5.
- Barge-Caballero E., Bouzas-Mosquera A., Gulias-Soidan D., Castro-Beiras A. Hamman’s syndrome: an atypical cause of chest pain (англ.) // European Heart Journal. — Великобритания: Oxford University Press, 2008. — Vol. 29, no. 5. — P. 578. — ISSN 0195-668X. — doi:10.1093/eurheartj/ehm410.
- Bonin M. M. Hamman's syndrome (spontaneous pneumomediastinum) in a parturient: a case report (недоступная ссылка — история) (англ.) // Journal of obstetrics and gynaecology Canada. — Канада: Healthcare & Financial Pub., 2006. — Vol. 28, no. 2. — P. 128—131. — ISSN 1701-2163. — PMID 16643714.
- Esayag Y., Furer V., Izbicki G. Spontaneous pneumomediastinum: is a chest X-ray enough? A single-center case series (англ.) // Israel Medical Association Journal. — Израиль: Israel Medical Association, 2008. — Vol. 10, no. 9. — P. 575—578. — ISSN 1565-1088. — PMID 18847153.
- Filosso P. L., Garabello D., Lyberis P., Ruffini E., Oliaro A. Spontaneous pneumomediastinum: A rare complication of anorexia nervosa (недоступная ссылка — история) (англ.) // The Journal of Thoracic and Cardiovascular Surgery. — Соединенные Штаты Америки: Mosby, 2010. — Vol. 139, no. 4. — P. 79—80. — ISSN 0022-5223. — doi:10.1016/j.jtcvs.2008.04.037. — PMID 19660386.
- Flatman S., Morrison E., Elahi M. Spontaneous Pneumomediastinum Associated with Sex (англ.) // Journal of Radiology Case Reports. — Соединенные Штаты Америки: EduRad Publishing, 2010. — Vol. 4, no. 4. — P. 25—29. — ISSN 1943-0922. — doi:10.3941/jrcr.v4i4.401. — PMID 22470723.
- Gerazounis M., Athanassiadi K., Kalantzi N., Moustardas M. Spontaneous pneumomediastinum: A rare benign entity (недоступная ссылка — история) (англ.) // The Journal of Thoracic and Cardiovascular Surgery. — Соединенные Штаты Америки: Mosby, 2003. — Vol. 126, no. 3. — P. 774—776. — ISSN 0022-5223. — doi:10.1016/S0022-5223(03)00124-7. — PMID 14502153.
- Gray J. M., Hanson G. C. Mediastinal emphysema: aetiology, diagnosis, and treatment (англ.) // Thorax. — Великобритания: BMJ Publishing Group, 1966. — Vol. 21, no. 4. — P. 325—332. — ISSN 0040-6376. — doi:10.1136/thx.21.4.325. — PMID 5968120.
- Hamman L. V. Spontaneous mediastinal emphysema (англ.) // Bulletin of the Johns Hopkins Hospital. — Соединенные Штаты Америки, 1939. — Iss. 64. — P. 1—21.
- Huon L. K., Chang Y. L., Wang P. C., Chen P. Y. Head and neck manifestations of spontaneous pneumomediastinum (англ.) // Otolaryngology — Head and Neck Surgery. — Соединенные Штаты Америки: Mosby, 2012. — Vol. 146, no. 1. — P. 53—57. — ISSN 0194-5998. — doi:10.1177/0194599811421870. — PMID 21920953.
- Kelly S., Hughes S., Nixon S., Paterson-Brown S. Spontaneous pneumomediastinum (Hamman's syndrome) (англ.) // The Surgeon. — Великобритания: Elsevier Science Publishing Company, Inc., 2010. — Vol. 8, no. 2. — P. 63—66. — ISSN 1479-666X. — doi:10.1016/j.surge.2009.10.007. — PMID 20303884.
- Koullias G. J., Korkolis D. P., Wang X. J., Hammond G. L. Current assessment and management of spontaneous pneumomediastinum: experience in 24 adult patients (англ.) // European Journal of Cardio-Thoracic Surgery. — Нидерланды: Elsevier Science Publishing Company, Inc., 2004. — Vol. 25, no. 5. — P. 852—855. — ISSN 1010-7940. — doi:10.1016/j.ejcts.2004.01.042. — PMID 15082293.
- Macia I., Moya J., Ramos R., Morera R., Escobar I., Saumench J., Perna V., Rivas F. Spontaneous pneumomediastinum: 41 cases (англ.) // European Journal of Cardio-Thoracic Surgery. — Нидерланды: Elsevier Science Publishing Company, Inc., 2007. — Vol. 31, no. 6. — P. 1110—1114. — ISSN 1010-7940. — doi:10.1016/j.ejcts.2007.03.008. — PMID 17420139.
- Natale C., D'Journo X. B., Duconseil P., Thomas P. A. Recurrent spontaneous pneumomediastinum in an adult (англ.) // European Journal of Cardio-Thoracic Surgery. — Нидерланды: Elsevier Science Publishing Company, Inc., 2012. — Vol. 41, no. 5. — P. 1199—1201. — ISSN 1010-7940. — doi:10.1093/ejcts/ezr135. — PMID 22290930.
- Newcomb A. E., Clarke C. P. Spontaneous pneumomediastinum: a benign curiosity or a significant problem? (недоступная ссылка — история) (англ.) // Chest. — Соединенные Штаты Америки: American College of Chest Physicians, 2005. — Vol. 128, no. 5. — P. 3298—3302. — ISSN 0012-3692. — doi:10.1378/chest.128.5.3298. — PMID 16304275.
- Panacek E. A., Singer A. J., Sherman B. W., Prescott A., Rutherford W. F. Spontaneous pneumomediastinum: clinical and natural history (англ.) // Annals of Emergency Medicine. — Соединенные Штаты Америки: Mosby, 1992. — Vol. 21, no. 10. — P. 1222—1227. — ISSN 0196-0644. — PMID 1416301.
- Perna V., Vilà E., Guelbenzu J. J., Amat I. Pneumomediastinum: is this really a benign entity? When it can be considered as spontaneous? Our experience in 47 adult patients (англ.) // European Journal of Cardio-Thoracic Surgery. — Нидерланды: Elsevier Science Publishing Company, Inc., 2010. — Vol. 37, no. 3. — P. 573—575. — ISSN 1010-7940. — doi:10.1016/j.ejcts.2009.08.002. — PMID 19748792.
Ссылки
- Hamman's syndrome. Whonamedit?. Дата обращения: 9 июня 2013. Архивировано 9 июня 2013 года.
- Patrick L. Carolan. Pneumomediastinum. Medscape. WebMD LLC (28 марта 2012). Дата обращения: 29 мая 2013. Архивировано 29 мая 2013 года.
