Миокардит

Миокардит
МКБ-11 BC42
МКБ-10 I09.0, I51.4
МКБ-10-КМ I51.4 и I40
МКБ-9 391.2, 422, 429.0
МКБ-9-КМ 429.0[1][2]
DiseasesDB 8716
MedlinePlus 000149
eMedicine med/1569 emerg/326
MeSH D009205
Логотип Викисклада Медиафайлы на Викискладе

Миокарди́т (др.-греч. μιός — «мышца» и др.-греч. καρδιά — «сердце») — поражение сердечной мышцы, миокарда. Обычно поражения носят воспалительный характер.

История исследования

Начало исследования воспаления сердечной мышцы можно отнести к первой четверти XIX века, впервые об этом упоминает J.N. Corvisart. Термин «миокардит» и концепцию миокардита, как воспалительного поражения миокарда впервые предложил I.F. Soberheim в 1837 году. В 1900 году A. Fiedler, опираясь на клинические данные и результаты аутопсии, дал описание тяжёлого идиопатического поражения миокарда и обосновал концепцию первичного миокардита. Исследования, проведённые разными учёными до 1918 года, показали возможность возникновения миокардита в связи с инфекционными заболеваниями, в частности с гриппом и другими респираторными инфекциями. Постепенно диагноз миокардита приобрёл весьма широкое распространение, и до 1930-х годов его использовали для обозначения патологических процессов в миокарде, отмечаемых при большей части заболеваний сердца. В качестве хронического миокардита рассматривались даже изменения в миокарде у лиц, страдавших ИБС и артериальной гипертензией. В 1930-е годы появляется ряд исследований, в том числе и работы Г. Ф. Ланга, в которых указывалось, что при многих сердечных заболеваниях воспаление в миокарде отсутствует, а преобладающими являются дегенеративные изменения. Благодаря этим работам неоправданно популярный диагноз миокардита исчезает и заменяется термином «дистрофия миокарда». До 1950-х годов к термину миокардит обращались только в связи с ревматизмом и дифтерией. Диагноз миокардита вновь завоевал себе право на жизнь после второй мировой войны после опубликования I. Gore и O. Saphir результатов патологоанатомических исследований, где авторы обнаружили на вскрытии в 4—9 % случаев воспалительные изменения миокарда, причём выяснилось, что значительная часть умерших в своё время перенесла вирусные или риккетсиозные заболевания. Наиболее активное изучение воспалительных заболеваний сердца началось в 1980-х годах с введением в широкую клиническую практику диагностической трансвенозной биопсии миокарда.

Этиология

Острый миокардит как самостоятельное заболевание описывается редко, чаще наблюдаются вторичные миокардиты в качестве осложнения инфекционных, инвазионных и токсических болезней, а также септических процессов.

В зависимости от силы и особенностей инфекции, стадии процесса и сопротивляемости организма, перечисленные этиологические факторы вызывают различные по глубине и характеру поражения миокарда.

Причины миокардита

Инфекционные причины возникновения миокардита в течение последних десятилетий изучены довольно подробно, установлено, что заболевание вызывается самыми разнообразными вирусами, бактериями, риккетсиями, грибками и простейшими.

Доказано, что наибольшей кардиотропностью обладают вирусы, а вирусная этиология миокардитов считается наиболее аргументированной.

В доказательство вирусной теории миокардитов приводят следующие аргументы:

  • высокая заболеваемость миокардитами в период вирусных эпидемий;
  • обнаружение вирусов в носоглотке и испражнениях больного в течение первой недели острого миокардита, появление в крови титра противовирусных антител начиная со 2—3 недели после развития острого миокардита;
  • выделение из миокарда вирусов и вирусных агентов;
  • при миокардитах, связанных с вирусной инфекцией, в биоптатах сердца выявлены воспалительные изменения.

Миокардит может возникнуть и при одновременном воздействии двух и более различных инфекций, когда одна из них, как правило, создаёт условия для поражения миокарда, а другая является прямой причиной поражения.

Виды заболевания

Различают следующие виды миокардита[3]:

  • ревматический;
  • инфекционный (вирусный, бактериальный, риккетсиозный и др.);
  • аллергический (лекарственный, сывороточный, поствакцинальный, трансплантационный);
  • при диффузных заболеваниях соединительной ткани, травмах, ожогах, воздействии ионизирующей радиации;
  • идиопатический (то есть невыясненной природы) миокардит Абрамова — Фидлера.

Симптомы

Диффузный миокардит характеризуется дилатацией камер сердца и сердечной недостаточностью.

При инфекционном миокардите обычно доминируют симптомы инфекционного заболевания (лихорадка). Наиболее часто встречающиеся симптомы — слабость, утомляемость, одышка, нарушения ритма сердца. Также часто встречаются дискомфорт и разнообразные боли в грудной клетке. Инфекционный миокардит может протекать и бессимптомно.

Инфекционно-аллергический миокардит (наиболее распространённая форма не ревматического миокардита) начинается в отличие от ревматического, как правило, на фоне инфекции или вскоре после неё. Отмечается недомогание, боль в области сердца, иногда упорная, сердцебиение и «перебои», одышка, в ряде случаев умеренная боль в суставах. Температура тела чаще субфебрильная или нормальная. Начало заболевания может быть малосимптомным или скрытым. Степень выраженности симптомов в значительной мере определяется распространенностью и остротой прогрессирования процесса. При диффузных формах сравнительно рано увеличиваются размеры сердца.

Важными, но не постоянными признаками миокардита являются нарушения сердечного ритма (тахикардия, реже брадикардия, эктопические аритмии) и внутрисердечной проводимости, а также пресистолический, а в более поздних стадиях протодиастолический ритм галопа.

Идиопатический миокардит отличается более тяжёлым, иногда злокачественным течением с развитием кардиомегалии (вследствие резко выраженной дилатации сердца), тяжёлых нарушений ритма и проводимости, сердечной недостаточности.

Нередко образуются пристеночные тромбы в полостях сердца с тромбоэмболиями по большому и малому кругам кровообращения.

При миокардитах, связанных с коллагеновыми заболеваниями, вирусной инфекцией (вирусы группы Коксаки и др.), нередко развивается сопутствующий перикардит.

Течение миокардита может быть острым, подострым, хроническим (рецидивирующим).

Диагностика

Физикальное исследование варьируют от умеренно выраженной тахикардии до симптомов декомпенсированной право- и левожелудочковой недостаточности (набухание шейных вен, отёки, ослабление I тона, ритм галопа, систолический шум на верхушке, застойные явления в лёгких).

Рентгенография: грудной клетки иногда выявляет расширение границ сердца и/или признаки застоя в лёгких.

ЭКГ: обычно отмечаются преходящие неспецифические изменения сегмента ST и зубца T. Нередко у больных острым миокардитом регистрируются патологические зубцы Q и уменьшение амплитуды зубцов R в правых грудных отведениях (V1-V4). Поскольку в острой фазе миокардита активность сердечных изоферментов обычно повышена, это в совокупности с указанными изменениями ЭКГ может повлечь ошибочный диагноз инфаркта миокарда. Часто встречаются желудочковая и наджелудочковая экстрасистолия, реже — нарушения атриовентрикулярной проводимости. Эпизоды мерцательной аритмии, а также блокады ножек пучка Гиса (чаще левой), свидетельствующие об обширности поражения миокарда, указывают на неблагоприятный прогноз.

ЭхоКГ: в зависимости от тяжести процесса обнаруживается разная степень дисфункции миокарда (дилатация полостей сердца, снижение сократительной функции, нередко сегментарного характера, нарушение диастолической функции). У больных с подострым и хроническим миокардитом, так же как и при ДКМП, выявляется значительная дилатация полостей сердца.

Нередкой находкой являются внутриполостные тромбы.

Изотопное исследование сердца: с 67Ga, 99mTc-пирофосфатом и моноклональными антителами к актомиозину, меченными 111In, магнитно-резонансная томография, позитронноэмиссионная томография позволяют визуализировать зоны повреждения и некроза миокарда.

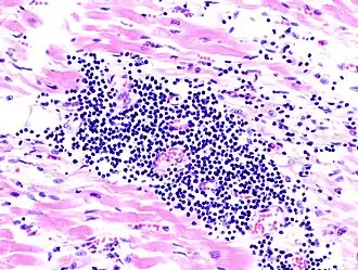
Эндомиокардиальной биопсии: В настоящее время считается, что диагноз «миокардит» может быть подтверждён только данными эндомиокардиальной биопсии, которая, однако, дает много ложноотрицательных и сомнительных результатов. При оценке результатов биопсии, как правило, используются Далласские диагностические критерии.

Миокардит считается определенным при наличии воспалительной клеточной инфильтрации (не менее 3—5 лимфоцитов в поле зрения светового микроскопа) и некроза или повреждения кардиомиоцитов. Выявление клеточной инфильтрации и неизмененных кардиомиоцитов соответствует сомнительному диагнозу. Данные повторной биопсии миокарда позволяют оценить динамику и исход процесса и говорить о продолжающемся, разрешающемся или разрешившемся миокардите. По количеству интерстициальных воспалительных клеток и их качественному составу, а также распространённости и тяжести деструктивных изменений кардиомиоцитов, наличию некротизированных кардиомиоцитов можно судить о степени остроты миокардита.

Посевов крови: с помощью посевов крови и других биологических жидкостей можно подтвердить вирусную этиологию миокардита, на которую также указывает четырёхкратное повышение титра антител к вирусам в период выздоровления по сравнению с острым периодом. В детекции и идентификации инфекционного агента особое место принадлежит наиболее современному молекулярно-биологическому методу полимеразной цепной реакции.

Важное значение имеет динамическое комплексное исследование иммунологических показателей.

Лечение

Принципы лечения Основное внимание уделяется этиотропной терапии и лечению осложнений.

Обычно показана госпитализация. Меры общего характера включают постельный режим, ингаляцию кислорода и приём нестероидных противовоспалительных средств (НПВС).

Согласно современным представлениям, лечение вирусного миокардита должно строиться с учётом фазы патологического процесса. По результатам крупных международных исследований, применение иммуносупрессивной терапии оправдано при наличии аутоиммунных нарушений.

Этиотропное лечение миокардита

1. Вирусы

Энтеровирусы (вирусы Коксаки A и B, ECHO-вирусы, вирус полиомиелита). Самая частая причина инфекционного миокардита. Лечение: поддерживающая терапия. Ограничить физическую нагрузку. Глюкокортикостероиды (ГКС) не показаны. Выздоровление обычно наступает в течение нескольких недель, однако нарушения по данным ЭКГ и ЭхоКГ могут сохраняться в течение нескольких месяцев.

Вирус эпидемического паротита, кори, краснухи. Лечение: поддерживающая терапия. Иммунизация с целью первичной профилактики.

Вирусы гриппа, A и B. Лечение: римантадин, 100 мг внутрь 2 раза в сутки в течение 7 суток с момента появления симптомов. Иммунизация с целью первичной профилактики. Римантадин применяют при гриппе А, лечение начинают не позднее 48 часов с момента появления симптомов. Рибавирин активен in vitro также в отношении вирусов гриппа В, однако его эффективность не доказана.

Вирус лихорадки Денге. Заболевание протекает с лихорадкой и сыпью, переносчики — комары. Лечение: поддерживающая терапия.

Вирус varicella zoster (ветряная оспа, опоясывающий лишай), вирус простого герпеса, вирус Эпштейна — Барр, цитомегаловирус. Лечение: ацикловир, 5—10 мг/кг, внутривенная инфузия каждые 8 ч. Ганцикловир, 5 мг/кг, внутривенная инфузия каждые 12 ч. При миокардите, вызванном вирусом varicella zoster и вирусом простого герпеса, назначают ацикловир, при цитомегаловирусной инфекции — ганцикловир или фоскарнет.

ВИЧ. Поражение сердца при ВИЧ-инфекции развивается в 25—50 % случаев, источник инфекции — саркома Капоши или оппортунистическая инфекция. В 90 % случаев миокардит протекает бессимптомно. Лечение: зидовудин, 200 мг внутрь 3 раза в сутки (к сожалению, зидовудин может сам по себе вызывать миокардит).

2. Mycoplasma pneumoniae. Проявления многообразны и включают лихорадку, пневмонию, сыпь. Часто миокардиту сопутствует перикардит. Лечение: эритромицин, 0,5—1,0 г, внутривенная инфузия каждые 6 ч.

3. Хламидии. Редкая причина миокардита. Лечение: доксициклин, 100 мг, внутривенная инфузия каждые 12 часов.

4. Риккетсии. Наиболее часто миокардит возникает при цуцугамуши. Лечение: доксициклин, 100 мг, внутривенная инфузия каждые 12 ч.

5. Borrelia burgdorferi (болезнь Лайма). Переносчики инфекции — иксодовые клещи. Заболевание начинается с сыпи (хронической мигрирующей эритемы). Через несколько недель или месяцев появляются неврологические симптомы (менингоэнцефалит, двустороннее поражение лицевого нерва, радикулит), артриты (асимметричное поражение крупных суставов), поражение сердца (нарушения проводимости, вплоть до полной атриовентрикулярной блокады). Лечение: цефтриаксон, 2 г, внутривенная инфузия 1 раз в сутки или бензилпенициллин, 18—21 млн МЕ/сут, внутривенная инфузия, разделённая на 6 доз.

6. Прочие бактерии Непосредственное внедрение возбудителя (Staphylococcus aureus). Часто происходит диссеминирование инфекции с формированием абсцессов в других органах. Лечение: до определения чувствительности к антибиотикам — ванкомицин.

Действие токсинов Corynebacterium diphtheriae. Поражение сердца отмечается в 20 % случаев. Возникает в конце первой недели и является самой частой причиной смерти от дифтерии. Лечение: антибиотикотерапия + экстренное введение противодифтерийной сыворотки. Иммунизация с целью первичной профилактики.

Другие бактериальные возбудители — скарлатины, ангины, ботулизма вызывают миокардит редко, симптомы малоспецифичны. Лечение: антибиотики (стрептококк), сыворотка (ботулизм).

7. Грибки. Лечение: амфотерицин B. Если возбудителем является Cryptococcus neoformans (самый частый возбудитель), то лечение: внутривенная инфузия амфотерицина B, 0,3 мг/кг/сут, + фторцитозин, 100—150 мг/кг/сут внутрь в 4 приёма.

8. Простейшие и гельминты

Trypanosoma cruzi (болезнь Чагаса). Основная причина дилатационной кардиомиопатии в Центральной и Южной Африке. Острая инфекция, вызываемая укусами летающих клопов. Обычно проявляется лихорадкой, миалгией, гепатомегалией и спленомегалией, миокардитом. В зависимости от места укуса возможен односторонний периорбитальный отёк (симптом Романьи) или поражение кожи (чагома). Спустя несколько лет после заражения может развиться ДКМП, которая, в частности, проявляется двухпучковой блокадой, предсердными и желудочковыми нарушениями ритма и тромбоэмболиями. Лечение: поддерживающая терапия.

Trichinella spiralis (трихинеллез). Признаки миокардита (одышка, сердцебиение, боль в груди) появляются через 3—4 недели после миопатии и эозинофилии. Лечение: в тяжёлых случаях показаны ГКС. Эффективность мебендазола и тиабендазола не доказана.

Toxoplasma gondii. Чаще наблюдается при иммунодефицитных состояниях, особенно у ВИЧ-инфицированных. Лечение: пириметамин (начальная доза 100 мг/сут внутрь, затем 25—50 мг/сут) + сульфадиазин (1—2 г внутрь 3 раза в сутки), 4—6 недель. Фолиевая кислота, 10 мг/сут, для профилактики угнетения кроветворения.

9. Системная красная волчанка. Миокардит обычно сочетается с полисерозитом, артритом, активным васкулитом. Иногда отмечается также перикардит и асептический тромбоэндокардит (Либмана — Сакса). Лечение: НПВС. В тяжёлых случаях назначают ГКС, при неэффективности ГКС — иммунодепрессанты.

10. Ревматоидный артрит. Лечение: НПВС. В тяжёлых случаях назначают ГКС, при неэффективности ГКС — иммунодепрессанты.

11. Тиреотоксикоз. Проявляется слабостью, тремором, раздражительностью, синусовой тахикардией, мерцательной аритмией. Лечение: антитиреоидные препараты или хирургическое лечение.

12. Феохромоцитома. Проявляется артериальной гипертонией с частыми кризами, приступами головной боли, потливостью и сердцебиением. Лечение: бета-адреноблокаторы и/или хирургическое лечение.

13. Ревматизм. Обычно проявляется панкардитом. Лечение: салицилаты, в тяжёлых случаях — ГКС.

14. Аллергические реакции, источником которых могут быть сульфаниламиды, метилдофа, пенициллины, тетрациклин, укусы насекомых и так далее. Необходим подробный анамнез. Лечение: устранение аллергена, H1-блокаторы.

15. Токсическое действие лекарственных, наркотических и других средств (алкоголь, кокаин, фторурацил, циклофосфамид, доксорубицин, стрептомицин, аминосалициловая кислота, НПВП). Обычно кроме миокардита имеются и другие признаки токсического действия перечисленных средств. Лечение: устранение причины токсического действия.

16. Синдром Кавасаки. Помимо миокардита могут развиваться аневризмы коронарных артерий. Лечение: салицилаты и внутривенное введение иммуноглобулина.

17. Гигантоклеточный миокардит. Встречается, как правило, у людей среднего возраста. Часто сопровождается сердечной недостаточностью, аритмиями, может быстро закончиться смертью. Лечение: поддерживающая терапия.

18. Лучевой миокардит. Ведет к экссудативно-констриктивному перикардиту и рестриктивной кардиомиопатии. Лечение: в тяжёлых случаях показаны ГКС.

19. Отторжение трансплантата. Чаще развивается в первые 3 мес после трансплантации сердца. Метод диагностики — биопсия миокарда. Симптомы часто неспецифичны (усталость, недомогание) и могут появляться относительно поздно. Лечение: высокие дозы ГКС внутривенно (пульстерапия) или внутрь. В тяжёлых случаях и при неэффективности ГКС назначают антитимоцитарный глобулин (антилимфоцитарный иммуноглобулин) и/или муромонаб-CD3.

20. Беременность. Миокардит возникает за 1 мес до родов или в течение 5 месяцев после родов, проявляется нарушением систолической функции обоих желудочков и аритмиями. Лечение: поддерживающая терапия.

Прогноз

В большинстве случаев миокардит протекает бессимптомно и заканчивается полным выздоровлением. Если имеются клинические проявления, прогноз хуже: выздоровление наступает только в половине случаев, у остальных развивается дилатационная кардиомиопатия.

Нарушения ритма сердца могут привести к внезапной смерти.

Известны крайне тяжёлые варианты течения миокардита с быстрым прогрессированием рефрактерной сердечной недостаточности и летальным исходом.

Наиболее неблагоприятен прогноз гигантоклеточного миокардита типа Абрамова — Фидлера.

Гигантоклеточная и лимфоцитарная форма миокардита требуют пересадки сердца. Без пересадки только 11 % больных гигантоклеточным миокардитом живут более 4 лет[4].

Примечания

  1. Disease Ontology (англ.) — 2016.
  2. Monarch Disease Ontology release 2018-06-29 — 2018-06-29 — 2018.
  3. Миокардит, лечение и симптомы. Дата обращения: 9 сентября 2008. Архивировано 22 марта 2012 года.
  4. Миокардит: ответы на вопросы. Дата обращения: 22 сентября 2012. Архивировано из оригинала 18 марта 2012 года.

Литература

  • ШимкевичВ. М., Догель А. С., Тарханов, Островский В. М.,. Сердце // Энциклопедический словарь Брокгауза и Ефрона : в 86 т. (82 т. и 4 доп.). — СПб., 1890—1907.
  • Скворцов В. В. Миокардиты. // Российский кардиологический журнал. 2009. № 1 (75). С. 87-96.
  • Диагностика и лечение миокардитов. Клинические рекомендации. Москва, 2013.
  • Миокардит. Пер. с англ. Н. Д. Фирсовой (2017).

Ссылки