Пневмоцистная пневмония

Пневмоцистная пневмония
Pneumocystis jirovecii из бронхоальвеолярного лаважа, окраска толуидиновым синим
Pneumocystis jirovecii из бронхоальвеолярного лаважа, окраска толуидиновым синим
МКБ-11 1F2G.0
МКБ-10 B48.5
МКБ-9 136.3
DiseasesDB 10160
MedlinePlus 000671
eMedicine med/1850 
MeSH D011020
Логотип Викисклада Медиафайлы на Викискладе

Пневмоцистная пневмония — пневмония, возбудителем которой является дрожжеподобный гриб (ранее ошибочно относившийся к протистам) Pneumocystis jirovecii. Этот паразит является специфичным для человека, случаев заражения других животных данным видом не отмечено. Другие виды пневмоцисты, напротив, не инфицируют человека.[1]

Пневмоцисты обычно выявляются в лёгких здоровых людей, однако вызывает воспалительный процесс только у лиц с иммунодефицитом, то есть пневмоцистная пневмония является оппортунистической инфекцией. Как правило, этот вид пневмонии наблюдается у пациентов со злокачественными опухолями, ВИЧ/СПИД или на фоне приёма иммунодепрессантов.

Ранее считалось, что пневмоцистная пневмония вызывается видом Pneumocystis carinii; по современной терминологии, такое название имеет вид, обнаруживаемый у крыс[2], хотя оно и продолжает использоваться для именования патогена человека.

Клиническая картина

Пневмоцистная пневмония — наиболее характерная форма пневмоцистоза (оппортунистического микоза, вызываемого Pneumocystis jirovecii). Она проявляется лихорадкой, непродуктивным кашлем (в связи с высокой вязкостью мокроты), одышкой (особенно при физической нагрузке), снижением массы тела и ночной потливостью. В некоторых случаях отмечается поражение пневмоцистами других внутренних органов (печени, селезёнки, почек). При пневмоцистной пневмонии возможно развитие вторичного пневмоторакса, имеющего типичную клиническую картину.

У больных СПИДом или пациентов, которые получают кортикостероидную или интенсивную иммуносупрессивную терапию, пневмоцистоз выступает как наиболее частый оппортунистический микоз. Так, эту инфекцию обнаруживают у 65 % больных СПИДом (а у больных им при лёгочной патологии возбудитель пневмоцистоза обнаруживают в 90 % случаев); при отсутствии специфического лечения пневмоцистная пневмония становится причиной смерти 70 % больных. На стадии СПИД у пациентов с ВИЧ-инфекцией из лёгких возбудитель диссеминирует в лимфатические узлы, костный мозг, печень, селезёнку, почки, поджелудочную железу, головной мозг и другие органы, поражая их[3].

Течение заболевания

Риск развития пневмоцистной пневмонии увеличивается при снижении уровня CD4-клеток ниже 200 на мкл крови[4]. Заболевание поражает интерстициальную ткань лёгких, что проявляется гиперемией и отёчным утолщением альвеолярных перегородок с уменьшением просвета альвеол. Наблюдается повышение уровня ЛДГ, нарушается газовый обмен с развитием гипоксемии и гиперкапнии, проявляющихся одышкой. Выраженная гипоксия при отсутствии адекватного лечения может стать фатальной.

Диагностика

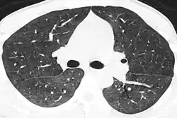
КТ-картина пневмоцистной пневмонии: диффузно-мозаичное «матовое стекло».

Диагноз устанавливается на основании данных рентгенографии и, предпочтительно, компьютерной томографии, демонстрирующей картину диффузных или диффузно-мозаичных зон снижения воздушности лёгочной ткани по типу «матового стекла». На этом фоне оксигенация артериальной крови значительно ниже ожидаемой при наблюдающейся клинической картине. Диагноз подтверждается обнаружением предполагаемого патогена в мокроте или при исследовании бронхоальвеолярного смыва. При микроскопии окрашенного материала обнаруживаются характерные кисты[5], имеющие вид «раздавленных шариков для пинг-понга». При микроскопии биоптата лёгкого выявляется утолщение альвеолярных перегородок с «пушистым» эозинофильным экссудатом в просвете альвеол.

Пневмоцистная инфекция также может верифицироваться посредством иммунофлуоресцентного или иммуногистохимического исследования, а в последнее время и при помощи полимеразной цепной реакции. Следует учитывать, что обнаружение молекулярного материала Pneumocystis jirovecii в бронхиальном смыве не является доказательством наличия пневмоцистной пневмонии, так как данный микроорганизм может присутствовать у клинически здоровых лиц в популяции[6].

Профилактика

Для профилактики пневмоцистной пневмонии у иммунокомпрометированных пациентов применяется ко-тримоксазол или регулярные ингаляции пентамидина.

Лечение

В зависимости от возраста пациента и клинической ситуации, возможно применение ко-тримоксазола, пентамидина изотионата, примахина с клиндамицином, дапсона с триметопримом, атоваквона и других схем лечения[7]. Одна из схем лечения предусматривает применение триметоприм-сульфаметоксазола (ко-тримоксазол) — либо перорально по 20 мг/(кг·сут) / 100 мг/(кг·сут) в 4 приёма соответственно, либо внутривенно по 15 мг/(кг·сут) / 75 мг/(кг·сут) в 4 введения соответственно. При лечении отмечается выраженное ухудшение состояния пациента, падающее на первые 3-5 дней после начала противопневмоцистного лечения и связанное с массовой гибелью возбудителей; его купируют кортикостероидными препаратами[3].

Примечания

  1. Aliouat-Denis, C-M., et al. Pneumocystis species, co-evolution and pathogenic power (англ.) // Infection, Genetics and Evolution : journal. — 2008. Vol. 8, no. 5. P. 708—726. doi:10.1016/j.meegid.2008.05.001. PMID 18565802.
  2. Stringer J.R., Beard C.B., Miller R.F., Wakefield A.E. A new name (Pneumocystis jiroveci) for Pneumocystis from humans (англ.) // Emerging Infectious Diseases : journal. — 2002. — September (vol. 8, no. 9). P. 891—896. PMID 12194762. PMC 2732539. Архивировано 12 ноября 2010 года.
  3. 1 2 Корнишева В. Г., Могилёва Е. Ю.  Микозы при ВИЧ-инфекции. Обзор литературы // Проблемы медицинской микологии. — 2013. Т. 15, № 4. С. 10—19.
  4. Hughes W. T. . Pneumocystis Carinii // Baronʼs Medical Microbiology. 4th ed. / Ed. by S. Baron et al.. — Galveston: University of Texas Medical Branch at Galveston, 1996. — xvii + 1273 p. — ISBN 0-9631172-1-1. — P. 1019—1022.
  5. Supplementary Information: Microscopic appearance of Pneumocystis jiroveci from bronchial washings. Дата обращения: 5 июня 2009. Архивировано из оригинала 22 января 2002 года.
  6. Medrano F.J., Montes-Cano M., Conde M., et al. Pneumocystis jirovecii in general population (англ.) // Emerging Infectious Diseases. — 2005. — February (vol. 11, no. 2). P. 245—250. PMID 15752442. Архивировано 5 ноября 2009 года.
  7. Лесли Серчук, M.D. Пневмоцистная пневмония. Руководство по оказанию помощи ВИЧ-инфицированным детям под ред. С. Зайхнера и Дж. Рид. Глава 42. Дата обращения: 15 января 2013. Архивировано из оригинала 27 января 2013 года.

Литература

  • Лесли Серчук, M.D. Пневмоцистная пневмония. Руководство по оказанию помощи ВИЧ-инфицированным детям под ред. С. Зайхнера и Дж. Рид. Глава 42. Дата обращения: 15 января 2013. Архивировано из оригинала 27 января 2013 года.