Острый респираторный дистресс-синдром

Острый респираторный дистресс-синдром
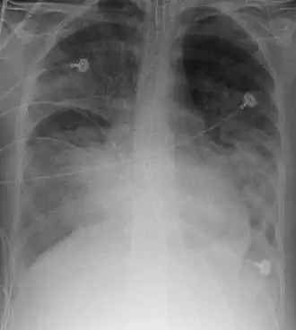
Рентгенограмма органов грудной клетки пациента с ОРДС
Рентгенограмма органов грудной клетки пациента с ОРДС
МКБ-11 CB00
МКБ-10 J80
МКБ-10-КМ J80
МКБ-9 518.5, 518.82
DiseasesDB 892
MedlinePlus 000103
eMedicine med/70 
MeSH D012128
Логотип Викисклада Медиафайлы на Викискладе

О́стрый респирато́рный дистре́сс-синдро́м (ОРДС), также респираторный дистресс-синдром взрослых (РДСВ) — тип дыхательной недостаточности, характеризующийся быстрым началом широкого воспалительного процесса в лёгких. Симптомы включают одышку, учащённое дыхание и синеватую окраску кожи[1]. Для тех, кто выживает, снижение качества жизни является распространённым явлением[2].

История и определение

Впервые клинические проявления ОРДС были описаны в 1967 году у 12 пациентов, семь из которых погибли[3]. Тогда был применён термин «респираторный дистресс-синдром взрослых». В дальнейшем это состояние получало множество других названий — «некардиогенный отёк лёгких», «мокрое лёгкое», «тяжёлое лёгкое», «шоковое лёгкое»[4][5].

В 1994 году на Американо-Европейской согласительной конференции (АЕСК) было предложено новое название заболевания — ОРДС[6]. Согласно АЕСК ОРДС — острое состояние, характеризующееся двусторонней инфильтрацией лёгких и тяжёлой гипоксемией при отсутствии признаков кардиогенного отёка лёгких.

Эпидемиология

В США наблюдается около 190 000 случаев ОРДС в год. Ранее смертность от ОРДС была высока. С улучшением лечения в последние годы она снизилась до примерно 35—40 %[7]. Примерно 10 % всех пациентов отделений интенсивной терапии страдают от острой дыхательной недостаточности, 20 % среди них подходят под критерии ОПЛ или ОРДС[8].

Этиология

ОРДС возникает в результате прямого или непрямого повреждения лёгких. Непрямое повреждение лёгких возникает в результате системной воспалительной реакции при внелёгочных заболеваниях. К наиболее частым причинам относят сепсис и/или пневмонию (в том числе аспирационную), тяжёлые травмы. Другие причины представлены в таблице[9].

Прямое повреждение лёгкихНепрямое повреждение лёгких
АспирацияСепсис
ПневмонияТяжёлая травма
Диффузное альвеолярное кровотечениеПересадка костного мозга
Жировая эмболияОжоги
Пересадка лёгкихКардиопульмональный шунт
УтоплениеПередозировка лекарств (аспирин, кокаин, опиоиды, фенотиазины, трициклические антидепрессанты)
Ушиб лёгкогоМассивное переливание крови
Вдыхание токсичного газаНеврогенный отёк лёгких в результате инсульта, судорог, травмы головы
Панкреатит
Рентгеноконтрастные препараты (редко)

Патогенез

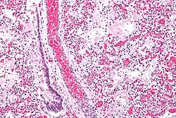
Микрофотография диффузного поражения альвеол при ОРДС. Окраска гематоксилином и эозином.

В основе ОРДС лежит диффузное воспаление лёгких. В этом процессе выделяют 3 фазы: экссудативная, пролиферативная и фибротическая[8].

В экссудативную фазу в ответ на воспаление выделяются цитокины и другие провоспалительные вещества, которые активируют альвеолярные макрофаги и циркулирующие нейтрофилы. В свою очередь, активированные нейтрофилы прикрепляются к эндотелию лёгочных капилляров и высвобождают содержимое своих цитоплазматических гранул (протеазы и токсические метаболиты кислорода)[10]. Это приводит к повреждению эндотелия капилляров и эпителия альвеол, нарушая альвеолярно-капиллярный барьер. В результате экссудат проникает в лёгочную паренхиму и альвеолярное воздушное пространство. Нарушается газообмен и возникает гипоксия[11]. Также возможно повреждение альвеолоцитов II типа, которые отвечают за образование сурфактанта. При этом происходит спадение альвеол, снижение растяжимости лёгких и внутрилёгочное шунтирование. Кроме того, развивается лёгочная гипертензия в результате внутрисосудистой обструкции тромбами, спазма лёгочных сосудов из-за гипоксии и действия некоторых воспалительных медиаторов (тромбоксан, лейкотриены и эндотелин)[12].

В пролиферативную фазу у большинства пациентов происходит восстановление лёгких: удаляется экссудат, нейтрофильная инфильтрация сменяется лимфоцитарной. Пролиферируют альвеолоциты II типа, которые образуют новый сурфактант и дифференцируются в альвеолоциты I типа. Но несмотря на такие улучшения, у многих больных сохраняется одышка, тахипноэ, гипоксемия[8]. У некоторых пациентов процесс переходит в фибротическую фазу. Накопленный в лёгких фибрин подвергается ремоделированию и может вызывать фиброз[13].

Клиническая картина

ОРДС чаще возникает в первые 12—48 часов от начала основного заболевания (в некоторых случаях через 5—7 дней)[14]. Больной может жаловаться на одышку, дискомфорт в грудной клетке, сухой кашель. При его осмотре выявляют тахипноэ, тахикардию, участие вспомогательных мышц в дыхании, цианоз кожного покрова. При аускультации можно выявить двусторонние хрипы[11].

Диагностика

АЕСК опубликовала критерии диагностики ОРДС[6].

Диагностические критерии ОРДС
Острое начало
Наличие предрасполагающего фактора
Двусторонние инфильтраты на рентгенограмме лёгких
PaO2/FiO2 < 200 мм рт. ст. при ОРДС и < 300 при ОПЛ
Нет признаков левожелудочковой недостаточности (отсутствие клинических данных или давление заклинивания лёгочной артерии не выше 18 мм рт. ст.)

ОПЛ (острое повреждение лёгких) — более лёгкая форма ОРДС; PaO2 — парциальное давление кислорода в артериальной крови (мм рт. ст.); FiO2 — фракционная концентрация кислорода во вдыхаемом газе (десятичной дробью, например 0,5)


Обнаруживают прогрессирующую гипоксемию (SpO2 ниже 90 %), которая часто рефрактерна к ингаляциям кислорода[5]. При исследовании газов артериальной крови на начальных стадиях ОРДС выявляют низкое PaO2, нормальное или низкое РаСО2 и повышение рН (алкалоз). В последующем РаСО2 нарастает и алкалоз сменяется ацидозом[11].

При рентгенографии лёгких видны двусторонние диффузные инфильтраты, иногда — плевральный выпот. Такие признаки неспецифичны и также характерны для кардиогенного отёка лёгких, что затрудняет дифференциальную диагностику[15][16]. Компьютерная томография показывает негомогенную инфильтрацию лёгких в определённых отделах (в задненижних отделах у лежачих больных)[17]. Это объясняется зависимым от силы тяжести распределением отёка лёгких и сдавлением вышележащими отёчными отделами лёгких[18].

Бронхоальвеолярный лаваж — наиболее надёжный метод диагностики ОРДС. При этом вводят гибкий фибробронхоскоп в один из поражённых сегментов лёгких. Затем промывают лёгочный сегмент изотоническим раствором и анализируют состав промывной жидкости[5]. У больных с ОРДС обнаруживают нейтрофилы, составляющие 60—80 % всех клеток промывной жидкости (в норме < 5 %)[19].

Лечение

Лечение в первую очередь направлено на устранение заболевания, приведшего к ОРДС. Если это невозможно (например, после массивных переливаний крови, аортокоронарного шунтирования и т. д.), то ограничиваются поддерживающей терапией[20].

Искусственная вентиляция лёгких

Стандартные объёмы искусственной вентиляции лёгких (ИВЛ) составляют 10—15 мл/кг. При ОРДС функционирует только непоражённая область лёгких, то есть ёмкость лёгких снижена, поэтому большие объёмы ИВЛ вызывают перерастяжение и разрыв дистальных воздушных пространств (волюмотравма)[21]. Кроме того, при ИВЛ возможна баротравма (при высоком уровне давления в дыхательных путях), ателектотравма (вследствие циклических расправлений и спадений альвеол) и биотравма (высвобождение провоспалительных цитокинов нейтрофилами в ответ на ИВЛ)[22][23]. Все эти повреждения объединяют под понятием вентилятор-ассоциированное повреждение лёгких[24].

В крупном исследовании, проведённым Клиническим обществом по ОРДС (англ. ARDS Clinical Network), было показано снижение смертности при вентиляции низкими объёмами (6 мл/кг и давление плато не выше 30 мм вод.ст.)[25]. Также такой режим ИВЛ снижает риск развития биотравмы[23]. Однако при вентиляции низкими объёмами возникает гиперкапния и дыхательный ацидоз. Поэтому говорят о допустимой гиперкапнии, что означает допущение определённой гиперкапнии для сохранения щадящего режима вентиляции лёгких[26]. Точные показатели неизвестны, но исследования показывают, что для большинства пациентов допустимы будут уровни PaCO2 (парциальное давление углекислого газа в атериальной крови) 60—70 мм рт. ст. и артериального pH 7,2—7,25[27].

ИВЛ применяют в режиме положительного давления в конце выдоха (ПДКВ, англ. PEEP) для улучшения оксигенации. ПДКВ предупреждает развитие ателектотравмы и позволяет снизить FiO2, тем самым предотвращая повреждение альвеол высокими концентрациями кислорода. Однако высокие значения ПДКВ могут приводить к перерастяжению альвеол и снижению сердечного выброса, поэтому рекомендуют начинать с малого уровня ПДКВ — 5 см вод.ст., при необходимости постепенно повышая до 20—24 см вод.ст. Есть также способ подбора ПДКВ на основе построения сигмоидальной кривой «давление-объём»[25].

См. также

Примечания

  1. Fan, E; Brodie, D; Slutsky, AS (2018-02-20). Acute Respiratory Distress Syndrome: Advances in Diagnosis and Treatment. JAMA. 319 (7): 698–710. doi:10.1001/jama.2017.21907. PMID 29466596.
  2. Matthay, MA; Zemans, RL; Zimmerman, GA; Arabi, YM; Beitler, JR; Mercat, A; Herridge, M; Randolph, AG; Calfee, CS (2019-03-14). Acute respiratory distress syndrome. Nature Reviews. Disease Primers. 5 (1): 18. doi:10.1038/s41572-019-0069-0. PMC 6709677. PMID 30872586.
  3. Ashbaugh D.G., Bigelow D.B., Petty T.L., Levine B.E. Acute respiratory distress in adults (англ.) // The Lancet. Elsevier, 1967. — August (vol. 2, no. 7511). P. 319—323. PMID 4143721.
  4. Murray J.F., Matthay M.A., Luce J.M., Flick M.R. An expanded definition of the adult respiratory distress syndrome (англ.) // American Journal of Respiratory and Critical Care Medicine. — 1988. — September (vol. 138, no. 3). P. 720—723. PMID 3202424.
  5. 1 2 3 Пол Л. Марино. Интенсивная терапия. — Москва: ГЭОТАР-Медиа, 2010. — 770 с. — ISBN 978-5-9704-1399-9.
  6. 1 2 Bernard G.R., Artigas A., Brigham K.L., et al. The American-European Consensus Conference on ARDS. Definitions, mechanisms, relevant outcomes, and clinical trial coordination (англ.) // American Journal of Respiratory and Critical Care Medicine. — 1994. — March (vol. 149, no. 3 Pt 1). P. 818—824. PMID 7509706.
  7. Rubenfeld G.D., Herridge M.S. Epidemiology and outcomes of acute lung injury (англ.) // Chest. — 2007. — February (vol. 131, no. 2). P. 554—562. doi:10.1378/chest.06-1976. PMID 17296661.
  8. 1 2 3 Loscalzo, Joseph; Longo, Dan L.; Fauci, Anthony S.; Dennis L. Kasper; Hauser, Stephen L. Harrison's Principles of Internal Medicine, 18th Edition (англ.). McGraw-Hill Education, 2011. — ISBN 0-07-174889-X.
  9. Ware L.B., Matthay M.A. The acute respiratory distress syndrome (англ.) // The New England Journal of Medicine. — 2000. — May (vol. 342, no. 18). P. 1334—1349. doi:10.1056/NEJM200005043421806. PMID 10793167.
  10. Abraham E. Neutrophils and acute lung injury (англ.) // Critical Care Medicine. — 2003. — April (vol. 31, no. 4 Suppl). P. S195—9. doi:10.1097/01.CCM.0000057843.47705.E8. PMID 12682440. Архивировано 28 апреля 2012 года.
  11. 1 2 3 Porter, Robert. The Merck Manual of Diagnosis and Therapy (Merck Manual of Diagnosis & Therapy) (англ.). — Rahway, N.J., U.S.A: Merck, 2011. — ISBN 0-911910-19-0.
  12. Moloney E.D., Evans T.W. Pathophysiology and pharmacological treatment of pulmonary hypertension in acute respiratory distress syndrome (англ.) // Eur. Respir. J. : journal. — 2003. — April (vol. 21, no. 4). P. 720—727. PMID 12762363.
  13. Idell S. Coagulation, fibrinolysis, and fibrin deposition in acute lung injury (англ.) // Critical Care Medicine : journal. — 2003. — April (vol. 31, no. 4 Suppl). P. S213—20. doi:10.1097/01.CCM.0000057846.21303.AB. PMID 12682443. (недоступная ссылка)
  14. Iribarren C., Jacobs D.R., Sidney S., Gross M.D., Eisner M.D. Cigarette smoking, alcohol consumption, and risk of ARDS: a 15-year cohort study in a managed care setting (англ.) // Chest : journal. — 2000. — January (vol. 117, no. 1). P. 163—168. doi:10.1378/chest.117.1.163. PMID 10631215.
  15. Aberle D.R., Brown K. Radiologic considerations in the adult respiratory distress syndrome (англ.) // Clinics in Chest Medicine : journal. — 1990. — December (vol. 11, no. 4). P. 737—754. PMID 2268999.
  16. Wiener-Kronish J.P., Matthay M.A. Pleural effusions associated with hydrostatic and increased permeability pulmonary edema (англ.) // Chest : journal. — 1988. — April (vol. 93, no. 4). P. 852—858. PMID 3349844.
  17. Gattinoni L., Caironi P., Pelosi P., Goodman L.R. What has computed tomography taught us about the acute respiratory distress syndrome? (англ.) // American Journal of Respiratory and Critical Care Medicine. — 2001. — November (vol. 164, no. 9). P. 1701—1711. PMID 11719313.
  18. Goodman L.R. Congestive heart failure and adult respiratory distress syndrome. New insights using computed tomography (англ.) // Radiologic Clinics of North America : journal. — 1996. — January (vol. 34, no. 1). P. 33—46. PMID 8539352.
  19. Baughman R.P., Gunther K.L., Rashkin M.C., Keeton D.A., Pattishall E.N. Changes in the inflammatory response of the lung during acute respiratory distress syndrome: prognostic indicators (англ.) // American Journal of Respiratory and Critical Care Medicine. — 1996. — July (vol. 154, no. 1). P. 76—81. PMID 8680703.
  20. Leaver S.K., Evans T.W. Acute respiratory distress syndrome (англ.) // The BMJ. — 2007. — August (vol. 335, no. 7616). P. 389—394. doi:10.1136/bmj.39293.624699.AD. PMID 17717368. PMC 1952500. Архивировано 29 июня 2019 года.
  21. Dreyfuss D., Soler P., Basset G., Saumon G. High inflation pressure pulmonary edema. Respective effects of high airway pressure, high tidal volume, and positive end-expiratory pressure (англ.) // American Journal of Respiratory and Critical Care Medicine. — 1988. — May (vol. 137, no. 5). P. 1159—1164. PMID 3057957.
  22. Muscedere J.G., Mullen J.B., Gan K., Slutsky A.S. Tidal ventilation at low airway pressures can augment lung injury (англ.) // American Journal of Respiratory and Critical Care Medicine. — 1994. — May (vol. 149, no. 5). P. 1327—1334. PMID 8173774.
  23. 1 2 Ranieri V.M., Suter P.M., Tortorella C., et al. Effect of mechanical ventilation on inflammatory mediators in patients with acute respiratory distress syndrome: a randomized controlled trial (англ.) // JAMA. — 1999. — July (vol. 282, no. 1). P. 54—61. PMID 10404912.
  24. Dreyfuss D., Saumon G. Ventilator-induced lung injury: lessons from experimental studies (англ.) // American Journal of Respiratory and Critical Care Medicine. — 1998. — January (vol. 157, no. 1). P. 294—323. PMID 9445314.
  25. 1 2 Ventilation with lower tidal volumes as compared with traditional tidal volumes for acute lung injury and the acute respiratory distress syndrome. The Acute Respiratory Distress Syndrome Network (англ.) // The New England Journal of Medicine. — 2000. — May (vol. 342, no. 18). P. 1301—1308. doi:10.1056/NEJM200005043421801. PMID 10793162.
  26. Rogovik A., Goldman R. Permissive hypercapnia (англ.) // Emergency Medicine Clinics of North America. — 2008. — November (vol. 26, no. 4). P. 941—952. doi:10.1016/j.emc.2008.08.002. PMID 19059093. Архивировано 27 марта 2020 года.
  27. Hickling K.G., Walsh J., Henderson S., Jackson R. Low mortality rate in adult respiratory distress syndrome using low-volume, pressure-limited ventilation with permissive hypercapnia: a prospective study (англ.) // Critical Care Medicine : journal. — 1994. — October (vol. 22, no. 10). P. 1568—1578. PMID 7924367.