Рентгенография грудной клетки

Рентгеногра́фия органов грудной клетки — классическое проекционное рентгенографическое исследование грудной клетки, применяемое для диагностики патологических изменений грудной клетки, органов грудной полости и близлежащих анатомических структур. Рентгенография грудной клетки является одним из наиболее распространённых рентгенографических исследований.
Как и при других рентгенологических исследованиях, для получения рентгенограммы грудной клетки используется один из видов ионизирующего излучения — рентгеновское излучение. Средняя индивидуальная доза облучения пациента при плёночной рентгенографии грудной клетки составляет 0,3 миллизиверта (мЗв); при цифровой рентгенографии — 0,03 мЗв.[1]
Рентгеноанатомия грудной клетки
При изучении рентгеноанатомии органов грудной клетки обращают внимание на рентгеновскую структуру видимых костей и мягких тканей грудной клетки; форму и прозрачность для рентгеновских лучей областей, на которые проецируется лёгочная ткань (так называемых «лёгочных полей»), а также их структуру, сформированную тенями сосудов лёгких («лёгочный рисунок»); расположение и структурность корней лёгких; положение, форму куполов диафрагмы и синусов плевральных полостей; форму и размеры тени средостения (в том числе сердца).
Возможности исследования
Рентгенография грудной клетки способствует выявлению патологических изменений мягких тканей, костей грудной клетки и анатомических структур, расположенных в грудной полости (лёгких, плевры, средостения). Наиболее часто при рентгенографии диагностируются пневмония и застойная сердечная недостаточность. Наряду с диагностическими целями, рентгенография грудной клетки используется в качестве скринингового метода для оценки состояния лёгочной ткани, в частности, у лиц с профессиональными вредностями (например, шахтёров)[2].
При некоторых заболеваниях органов грудной клетки рентгенография хороша в качестве скринингового метода, однако имеет недостаточную диагностическую ценность; в этих случаях проводятся дополнительные исследования (компьютерная томография, бронхоскопия и т. д.).
Следует учитывать, что в некоторых случаях рентгенография грудной клетки может быть не информативна (то есть, демонстрировать ложно-отрицательный результат). Такие ситуации могут быть обусловлены проекционным наслоением тени патологического очага на тень нормальной анатомической структуры (например, диафрагмы, средостения), малой интенсивностью очага (например, начальными воспалительными проявлениями, особенно в условиях агранулоцитоза[3]), неадекватной проекцией исследования (особенно, в случае патологии средостения или переломов рёбер, грудины). В случае неинформативности рентгенографии методом выбора является лишённая вышеуказанных недостатков компьютерная томография.
Проекции

При рентгенографии грудной клетки пациент размещается между рентгеновской трубкой и плёнкой (детектором). Обычно используются прямая (передняя и задняя) и боковая (левая или правая) проекции. При исследовании в передней прямой проекции пациент помещается лицом к детектору (плёнке), при исследовании в задней прямой проекции — наоборот. При необходимости, проводятся дополнительные исследования: в положении пациента лежа на боку (для выявления гидроторакса, перемещающегося при перемене положения тела), выгнувшись назад (лордотическая рентгенограмма, для лучшей визуализации верхушек лёгких, например, при исключении опухоли Панкоста), на выдохе (для лучшей диагностики пневмоторакса), в косых проекциях.
Симптомы
Дополнительные или отсутствующие теневые элементы (затемнения и просветления, снижение или повышение прозрачности лёгочного фона, обогащение или обеднение лёгочного рисунка и т. д.) в теневой картине лёгочной ткани свидетельствуют о патологии. Каждый из дополнительных теневых элементов обладает определёнными характеристиками (положение, число, форма, размеры, интенсивность, структура, контуры, смещаемость), не только имеющими клиническое значение, но и способствующими дифференциальной диагностике, а также имеющими практическую ценность при планировании бронхоскопии, биопсии, оперативного вмешательства и т. д.
В числе патологических рентгенологических находок выделяют очаги или фокусы (ограниченные участки затемнения лёгочной ткани), воздушные полости (участки просветления на фоне лёгочной ткани), плевральный выпот (затемнение плевральных синусов и междолевых щелей или пристеночное затемнение различной распространённости), воздух в плевральной полости (прослеживается тонкая линия висцеральной плевры, отделённая от грудной клетки участком просветления, лишённым лёгочного рисунка), различные типы диффузных изменений (ретикулярный, милиарный, кистозный, по типу «матового стекла», зоны диффузной консолидации).
Дифференциальной диагностике заболеваний лёгких и средостения способствует оценка дополнительных признаков, таких как объём лёгочной ткани, положение и структурность корней лёгких и куполов диафрагмы, положение и форма тени средостения, воздушность бронхов и т. д.
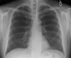
Изображения
Обработанная цифровая рентгенограмма грудной клетки (лёгочные поля в позитивном изображении, с повышенной контрастностью).
Рентгенограмма грудной клетки в боковой проекции.
Некачественная рентгенограмма грудной клетки.
Рентгенограмма грудной клетки, демонстрирующая солитарный лёгочный узел в верхней доле левого лёгкого.
Примечания
- ↑ Методические рекомендации Роспотребнадзора по обеспечению радиационной безопасности от 16 февраля 2007 г. N 0100/1659-07-26. Дата обращения: 11 июля 2012. Архивировано из оригинала 6 октября 2014 года.
- ↑ Using Digital Chest Images to Monitor the Health of Coal Miners and Other Workers Архивная копия от 19 мая 2012 на Wayback Machine. National Institute for Occupational Safety and Health.
- ↑ Костина Ирина Эдуардовна. Компьютерная томография высокого разрешения в диагностике поражений лёгких на этапах трансплантации гемопоэтических клеток у больных гемобластозами : Автореферат. — 2009. (недоступная ссылка)