Сибирская язва
| Сибирская язва | |
|---|---|
![]() Микрофотография бацилл сибирской язвы. Окраска по Граму | |
| МКБ-11 | 1B97 |
| МКБ-10 | A22 |
| МКБ-10-КМ | A22.9 и A22 |
| МКБ-9 | 022 |
| МКБ-9-КМ | 022.9[1][2], 022[1][2] и 022.8[2] |
| OMIM | 606410 |
| DiseasesDB | 1203 |
| MedlinePlus | 001325 |
| eMedicine | med/148 |
| MeSH | 68000881 |
Сиби́рская я́зва (карбункул злокачественный, антракс, anthrax[3]; др.-греч. ἄνθραξ — «уголь, карбункул») — особо опасная инфекционная болезнь сельскохозяйственных и диких животных всех видов, а также человека, вызываемая бактерией Bacillus anthracis. Болезнь протекает молниеносно, сверхостро, остро и подостро (у овец и крупного рогатого скота), ангинозно (у свиней), преимущественно в карбункулёзной форме — у человека. Встречаются также орофарингеальная и гастроинтестинальная формы[4]. Характеризуется интоксикацией, развитием серозно-геморрагического воспаления кожи, лимфатических узлов и внутренних органов; протекает в кожной или септической форме (также у животных встречаются кишечная и лёгочная формы).
Признаки и симптомы
Кожа


Кожная сибирская язва, также известная как болезнь скрытого носителя, проявляется, когда сибирская язва возникает на коже. Является наиболее распространённой формой (>90 % случаев сибирской язвы). Это и наименее опасная форма (низкая летальность с лечением, без лечения летальность составляет ~20 %)[5]. Кожная сибирская язва представляет собой фурункуло-подобное поражение кожи, которое в конечном итоге образует язву с чёрным центром (струп). Чёрный струп часто проявляется как большая, безболезненная некротическая язва (начинающаяся как раздражающее и зудящее кожное повреждение или блистер, темный и обычно концентрированный как чёрная точка, несколько напоминающая хлебную плесень) в месте заражения. Как правило, кожная форма инфекции образуется в месте проникновения спор между двумя и пятью днями после контакта с возбудителем. В отличие от синяков или большинства других повреждений, кожные проявления сибирской язвы обычно не вызывают боли. Соседние лимфатические узлы также могут вовлечены в процесс с покраснением, отёком и болью. Вскоре над повреждением образуются струпья, которые пропадают через несколько недель. Полное восстановление может занять больше времени[6]. Кожная форма сибирской язвы обычно возникает, когда споры B. anthracis проникают через повреждения кожи. Данная форма обычно встречается, когда человек взаимодействует с инфицированными животными и/или продуктами животного происхождения.
Кожная сибирская язва редко бывает смертельной при лечении[7], поскольку область инфекции ограничена кожей, что предотвращает проникновение летального фактора, фактора отека и защитного антигена в жизненно важные органы и их разрушение. Без лечения около 20 % случаев кожной формы прогрессируют до токсемии и смерти.
Лёгкие

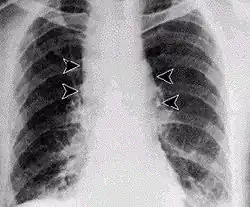
Респираторная инфекция у человека встречается относительно редко и представляет собой две стадии[8]. Она заражает лимфатические узлы сначала в грудной клетке, а не в самих лёгких, состояние, называемое геморрагическим медиастинитом, вызывая кровяное скопление жидкости в грудной полости, что вызывает одышку. Первый этап вызывает простудные и гриппоподобные симптомы. Симптомы включают в себя лихорадку, одышку, кашель, усталость и озноб. Это может длиться от нескольких часов до дней. Часто многие смертельные случаи от ингаляционной сибирской язвы происходят тогда, когда она ошибочно принята за простуду или грипп и пострадавший не ищет лечения до второй стадии, что на 90 % смертельно. Вторая (пневмония) стадия возникает, когда инфекция распространяется из лимфоузлов в лёгкие. Симптомы второй стадии развиваются внезапно после нескольких часов или дней первой стадии. Симптомы включает высокую температуру, крайнюю одышку, шок и быструю смерть в течение 48 часов при смертельных случаях. Уровень смертности в прошлом составлял более 85 %, однако при раннем лечении (наблюдавшемся при заболеваниях сибирской язвой в 2001 году) наблюдаемый уровень смертности снизился до 45 %[7]. Различие между лёгочной сибирской язвой и более распространёнными причинами респираторных заболеваний имеет важное значение для того, чтобы избежать задержек в диагностике и тем самым улучшить результаты. Для этого разработан алгоритм[9].
Желудочно-кишечный тракт
Желудочно-кишечная (ЖК) инфекция чаще всего вызвана потреблением мяса, инфицированного сибирской язвой, и характеризуется диареей, потенциально с кровью, болями в животе, острым воспалением кишечного тракта и потерей аппетита[10]. Периодически может возникнуть рвота кровью. Повреждения обнаружены в кишечнике, а также во рту и горле. После того, как бактерии вторгаются в пищеварительную систему, она распространяется в кровоток и по всему телу, продолжая при этом производить токсины. Инфекции ЖКТ можно вылечить, но обычно они приводят к летальному исходу от 25 % до 60 %, в зависимости от того, как скоро начнется лечение. Эта форма сибирской язвы — редчайшая.
Этимология
Сибирская язва, известная с древнейших времен под названиями «священный огонь», «персидский огонь» и другие, неоднократно упоминалась в сочинениях античных и восточных писателей и учёных. Подробное описание клиники этой болезни было сделано французским врачом Мораном в 1766 году. В дореволюционной России, ввиду преимущественного распространения в Сибири, это заболевание получило название «сибирская язва», когда российский врач С. С. Андреевский в 1788 году описал в сочинении «О сибирской язве» крупную эпидемию этой инфекции в западносибирских губерниях, а в опыте самозаражения установил идентичность сибирской язвы животных и человека и доказал возможность её передачи от животных к людям.
Этиология
Возбудитель заболевания был почти одновременно описан в 1849—1850 годах сразу тремя исследователями: А. Поллендером, Ф. Брауэллем и К. Давеном. В 1876 году Р. Кох выделил его в чистой культуре. Из всех патогенных для человека бактерий возбудитель сибирской язвы был открыт первым. Общепринятое на сегодняшний день наименование сибирской язвы — антракс, от др.-греч. ἄνθραξ «уголь, карбункул»: такое название было дано по характерному угольно-чёрному цвету сибиреязвенного струпа при кожной форме болезни.
Возбудитель сибирской язвы — бацилла Bacillus anthracis. Она представляет собой крупную спорообразующую грамположительную палочку размером (5-10)×(1,0-1,5) мкм. Бациллы сибирской язвы хорошо растут на мясопептонных средах, содержат капсульный и соматический антигены и способны выделять экзотоксин, представляющий собой белковый комплекс, состоящий из вызывающего отёк (повышение концентрации цАМФ), протективного (взаимодействует с мембранами клеток, опосредует активность других компонентов) и летального (цитотоксический эффект, отёк лёгких) компонентов. Капсула — антифагоцитарная активность.
Сибиреязвенная бактерия вне организма при доступе кислорода образует споры, вследствие чего обладает большой устойчивостью к высокой температуре, высушиванию и дезинфицирующим веществам. Споры бактерий сибирской язвы могут сохраняться годами; пастбище, заражённое испражнениями и мочой больных животных, может долгие годы сохранять сибиреязвенные споры[11]. Крестьяне называли такие пастбища «проклятыми полями»[12]. Вегетативные формы сибиреязвенной палочки быстро погибают при кипячении и воздействии обычных дезинфектантов. При автоклавировании споры при температуре 110 °C гибнут лишь через сорок минут. Сухой жар при температуре 140 °C убивает споры через два с половиной — три часа. Прямые солнечные лучи споры сибирской язвы выдерживают в течение десяти — пятнадцати суток. Спороцидным действием обладают также активированные растворы хлорамина, горячего формальдегида, перекиси водорода.
Эпизоотология
Источником инфекции являются больные сельскохозяйственные животные: крупный рогатый скот, лошади, ослы, овцы, козы, олени, верблюды, у которых болезнь протекает в генерализованной форме. Домашние животные — кошки, собаки — мало восприимчивы.
Сибирская язва у животных характеризуется следующими особенностями:
- короткий инкубационный период, обычно не превышающий 3-4 дня (при легочной форме может составлять 2-3 недели);
- выраженная клиника в виде тяжёлого лихорадочного состояния, упадка сердечно-сосудистой деятельности, менингеальных явлений, кровавой диареи и рвоты;
- стремительное развитие инфекционного процесса, заканчивающегося гибелью животных в течение, как правило, первых 2-3 суток.
Крупный рогатый скот и лошади: как правило протекает остро и подостро. Характеризуется: (септическая форма) резким повышением температуры, апатией, снижением продуктивности, отёками головы, шеи и подгрудка; (кишечная форма) апатией, отказом от корма, кровавой диареей и рвотой, тимпанией.
Свиньи: (ангинозная форма) встречается только у свиней и протекает бессимптомно; изменения можно обнаружить только при ветеринарно-санитарной экспертизе туш по характерному катарально-геморрагическому воспалению лимфатических узлов.
Эпизоотии сибирской язвы территориально привязаны к почвенным очагам — хранилищам возбудителей. Первичные почвенные очаги образуются в результате непосредственного инфицирования почвы выделениями больных животных на пастбищах, в местах стойлового содержания животных, в местах захоронения трупов (скотомогильники) и тому подобном. Вторичные почвенные очаги возникают путём смыва и заноса спор на новые территории дождевыми, талыми и сточными водами.
Заражение может произойти при участии большого числа факторов передачи. К ним относятся выделения из шкуры больных животных, их внутренние органы, мясные и другие пищевые продукты, почва, вода, воздух, предметы внешней среды, обсеменённые сибиреязвенными спорами.
Восприимчивость к сибирской язве у человека не зависит от возрастных, половых и других физиологических особенностей организма; она связана с путями заражения и величиной инфицирующей дозы.
Патогенез
Воротами для инфекции сибирской язвы обычно является повреждённая кожа. В редких случаях (в случае аэрогенного или алиментарного механизма передачи инфекции) бацилла внедряется через слизистые оболочки дыхательных путей и желудочно-кишечного тракта. На месте внедрения возбудителя в кожу возникает сибиреязвенный карбункул в виде очага серозно-геморрагического воспаления с некрозом, отёком прилегающих тканей и регионарным лимфаденитом. Местный патологический процесс обусловлен действием экзотоксина сибиреязвенной палочки, отдельные компоненты которого вызывают выраженные нарушения микроциркуляции, отёк тканей и коагуляционный некроз.
Вне зависимости от входных ворот инфекции первая стадия представляет собой локализованное поражение регионарных лимфатических узлов, вторая стадия — генерализацию процесса.
Генерализация инфекции с прорывом возбудителей сибирской язвы в кровь и развитием септической формы происходит при кожной форме сибирской язвы чрезвычайно редко.
Сибиреязвенный сепсис обычно развивается при внедрении возбудителя через слизистые оболочки дыхательных путей или желудочно-кишечного тракта. В этих случаях нарушение барьерной функции трахеобронхиальных или мезентериальных лимфатических узлов приводит к генерализации процесса. Бактериемия и токсинемия могут явиться причиной развития инфекционно-токсического шока.
В основе патогенеза лежит действие экзотоксина возбудителя, который состоит, по крайней мере, из трёх компонентов или факторов:
- первого (I), эдематозного (воспалительного) фактора;
- второго (II), протективного (защитного) фактора;
- третьего (III), летального фактора. Добавление I фактора ко II фактору увеличивает иммуногенные свойства, III фактора — их снижает.
Смесь I и II факторов вызывает увеличение воспалительной реакции и отёка за счёт увеличения проницаемости капилляров. Смесь II и III факторов усиливает действие летального фактора и приводит к гибели морских свинок, крыс и мышей. Смесь трёх факторов сибиреязвенного токсина (I, II, III) оказывает воспалительное (эдематозное) и летальное действие.
Морфологической сущностью сибиреязвенного сепсиса является острое серозно-геморрагическое, геморрагическое, реже — фибринозно-геморрагическое воспаление. Лейкоцитарная реакция в очагах воспаления при сепсисе выражена слабо или отсутствует. В органах иммуногенеза (селезёнка, лимфоузлы, вилочковая железа) имеется подавление иммунной защиты организма с замещением лимфоидной ткани макрофагами и наличие примитивной защитной реакции в виде макрофагального незавершённого фагоцитоза возбудителя.
Клиническая картина
Продолжительность инкубационного периода колеблется от нескольких часов до дней, чаще всего составляет 2—3 дня. Заболевание может протекать в локализованной (кожной) или генерализованной (лёгочной и кишечной) форме.
Кожная форма сибирской язвы

Встречается в 98—99 % всех случаев сибирской язвы. Наиболее частой её разновидностью является карбункулёзная форма, реже встречаются эдематозная, буллёзная и эризипелоидная формы заболевания. Поражаются преимущественно открытые части тела; особенно тяжело протекает болезнь при локализации карбункулов на голове, шее, слизистых оболочках рта и носа.
Клиника генерализации сибиреязвенной инфекции, вне зависимости от формы — кожной или висцеральной, — при крайнем многообразии проявлений в начальном периоде болезни в терминальной стадии однотипна: она сопровождается выходом в периферическую кровь сибиреязвенных бактерий, концентрация которых достигает сотен тысяч и миллионов бактериальных клеток в 1 мм³ крови, что может рассматриваться как сибиреязвенный сепсис, и представляет собой клинику инфекционно-токсического шока. Это тяжёлые нарушения свертывающей и антисвертывающей систем крови, ацидоз, острая почечная недостаточность, падение температуры тела ниже нормы, сильнейшая интоксикация.
Обычно карбункул бывает один, но иногда их количество доходит до 10-20 и более. На месте входных ворот инфекции последовательно развивается пятно, папула, везикула, язва. Безболезненное пятно красновато-синего цвета и диаметром 1—3 мм, имеющее сходство со следом от укуса насекомого, через несколько часов переходит в папулу медно-красного цвета. Нарастает зуд и ощущение жжения. Через 12—24 часов папула превращается в пузырёк диаметром 2—3 мм, заполненный жидкостью, которая темнеет и становится кровянистой. При расчёсывании (иногда и самопроизвольно) пузырёк лопается, и на его месте образуется язва с тёмно-коричневым дном, приподнятыми краями и серозно-геморрагическим отделяемым. Через сутки язва достигает 8—15 мм в диаметре. В результате некроза центральная часть язвы через 1—2 недели превращается в чёрный безболезненный плотный струп, вокруг которого имеется выраженный воспалительный валик красного цвета. Внешне струп напоминает уголёк в пламени, что и послужило поводом для названия этой болезни (Antrax — уголь). Это поражение и получило название карбункула.
Септическая форма сибирской язвы

Септическая форма встречается довольно редко. Заболевание начинается остро с озноба и повышения температуры до +39…+40 °C. Наблюдаются выраженные тахикардия, одышка, тахипноэ, боли в груди и кашель с выделением пенистой кровянистой мокроты. Определяются признаки пневмонии и плеврального выпота. При развитии инфекционно-токсического шока возникает геморрагический отёк лёгких. В крови и мокроте обнаруживают большое количество сибиреязвенных бактерий. У части больных появляются боли в животе, присоединяются тошнота, кровавая рвота, жидкий кровянистый стул. В последующем развивается парез кишечника, возможен перитонит. Обнаруживаются симптомы менингоэнцефалита. Инфекционно-токсический шок, отёк и набухание головного мозга, желудочно-кишечное кровотечение и перитонит могут явиться причиной летального исхода уже в первые дни заболевания.
Диагностика
Диагноз ставится на основе клинико-эпидемиологических и лабораторных данных. Лабораторная диагностика включает бактериоскопический и бактериологический методы, а в целях ранней диагностики — иммунофлюоресцентный. Применяют также аллергологическую диагностику сибирской язвы путём внутрикожной пробы с антраксином, дающей положительные результаты после 5-го дня болезни. Материалом для лабораторного исследования являются содержимое везикул и карбункулов, а также мокрота, кровь, испражнения и рвотные массы при септической форме.
Дифференциальная диагностика
Сибирскую язву различают с сапом, банальными фурункулами и карбункулами, чумой, туляремией, рожей, пневмониями и сепсисом иной этиологии.
Лечение и профилактика
Раннее антибактериальное лечение сибирской язвы имеет важное значение, поскольку задержка значительно снижает шансы на выживание. Лечение инфекции от сибирской язвы и других бактериальных инфекций включает большие дозы внутривенных и пероральных антибиотиков, таких как фторхинолоны (ципрофлоксацин), доксициклин и пенициллин, а также эритромицин и ванкомицин. В возможных случаях легочной сибирской язвы ранний профилактический приём антибиотиков имеет решающее значение для предотвращения возможной смерти. В последние годы было сделано много попыток разработать новые препараты против сибирской язвы, но существующие препараты эффективны, если лечение началось достаточно скоро. В патогенетической терапии используют коллоидные и кристаллоидные растворы, плазму, альбумин, глюкокортикостероиды. Хирургические вмешательства при кожной форме болезни недопустимы: они могут привести к генерализации инфекции. Другие препараты: раксибакумаб.

Профилактические мероприятия осуществляют в тесном контакте с ветеринарной службой. Выявленных больных животных следует изолировать, а их трупы сжигать; инфицированные объекты необходимо обеззараживать. Для дезинфекции шерсти и меховых изделий применяется камерная дезинфекция. Лица, находившиеся в контакте с больными животными или заразным материалом, подлежат активному врачебному наблюдению в течение 2 недель. Важное значение имеет вакцинация людей и животных сухой живой сибиреязвенной вакциной. Первую вакцину изобрёл и испытал французский микробиолог и химик Луи Пастер[13][14]. В России одна из первых таких вакцин, вакцина Ланге, создана Иваном Николаевичем Ланге и Львом Семеновичем Ценковским[13][15].
Прогноз
Прогноз во многом определяется формой и стадией заболевания, в целом является условно неблагоприятным и возможен летальный исход даже при адекватном и своевременном лечении.
При отсутствии соответствующего лечения кожной формы летальность составляет 10—20 %. При лёгочной форме заболевания в зависимости от штамма возбудителя летальность может превышать 90—95 %, даже при соответствующем лечении. Кишечная форма — около 50 %. Сибиреязвенный менингит — 90 %.
Эпизоотологическая обстановка в странах бывшего СССР
Россия
Об эпизоотиях сибирской язвы в России имеются сообщения в летописях с 978 года. В X веке народу уже было известно данное заболевание и степень его заразности, что приводило к проведению соответствующих санитарных мероприятий. Пример — в царских указах 1631—1640 годов предлагалось сообщать об этой болезни соседним местам и воеводам, устанавливать заставы, заражённых животных не продавать и не покупать и т. д.[16]
Вспышки сибирской язвы регистрируются в России и по сегодняшний день.
23 июля 2016 года появилось извещение ветеринарного надзора о падеже оленей на одном участке тундры в Ямальском районе[17][18]. 3 августа 2016 года появились сообщения об эпидемии сибирской язвы в Ямало-Ненецком автономном округе. Для ликвидации вспышки сибирской язвы привлекались Вооружённые силы[19][20].
9 ноября 2016 года на севере Волгоградской области в Нехаевском районе, граничащем с Ростовской и Воронежской областями, был установлен случай падежа коровы[21].
В 2019 году в селе Подлужное Ставропольского края было зафиксировано заражение женщины после забоя бычка[22].
24 октября 2020 года в Дагестане в селе Какамахи Карабудахкентского района зафиксировано пять случаев заболевания сибирской язвой[23].
21 июня 2022 года в Ставропольском крае в Изобильненском округе у жительницы станицы Рождественская подтверждено заболевание сибирской язвой[24].
15 марта 2023 года в Чувашии в Цивильском районе у двоих человек зафиксировано заражение сибирской язвой. 22 марта был выявлен ещё один случай в ходе мониторинга здоровья тех, кто контактировал с первыми заболевшими[25].
30 июня 2023 года в СМИ появились сообщения о госпитализации с симптомами сибирской язвы жителя Республики Тыва[26].
20 августа 2023 года на части территории Панинского и Новоусманского районов Воронежской области введены ограничения в связи со случаем заражения человека в селе Красные Холмы, Панинского района Воронежской области[27][28]. 22 августа на территории города Воронеж введены ограничительные мероприятия в связи с обнаружением зараженного мяса в морозильной камере[29][30].
Беларусь
Газета «Наша нива» (№ 23) сообщала в 1914 году про эпидемию сибирской язвы в Шеметово: «СВЕНТЯНСКИЙ уезд. Во дворе Шеметово помещ. Скирмунта от карбункула (сибирская язва) погибли лошади и гибнут коровы, так же по деревням гибнет скот»[31].
Последний случай этого заболевания среди животных зарегистрирован в деревне Хотомель Столинского района 10 августа 2019 года. По данным санитарно-эпидемиологической службы г. Минска, всего на территории РБ зарегистрировано 505 почвенных очагов сибирской язвы.
Кыргызстан
По данным[32] в Киргизии на 2012 г. было официально зарегистрировано 1235 почвенных очагов этой инфекции, из которых найдено и забетонировано менее половины. По официальным данным, из 652 очагов не найдено на местности 267. Но по отношению к найденным очагам (385; из них 57,7 % во дворах, 31,2 % на пастбищах и 11,1 % на летних выпасах) со стороны ветеринарной и хозяйственной служб почти нет оздоровительных мероприятий (дезинфекция и т. д.). Официальная регистрация и отчётность (особенно после 1991 г.) по заболеваемости животных остаётся неполной и в регионах, и в стране. С 2003 г. отмечается систематичная заболеваемость людей[32].
В 2012 году вспышка сибирской язвы зафиксирована в Киргизии, где с конца июля с подозрением на сибирскую язву госпитализировано 9 человек, у 5 человек диагноз подтверждён лабораторно.
В 2013 году госпитализировано 17 человек[33].
Летом 2018 года зарегистрирована очередная вспышка сибирской язвы, с подозрением на неё госпитализировано минимум 13 человек.
Казахстан
22 июня 2016 года введен режим ЧС в поселке Еркиндик Шетского района Карагандинской области. 8 Человек попали в инфекционную больницу. 2 человека скончались в результате заражения сибирской язвой.[34]
28 июля 2016 года также выявлена у трех пострадавших сибирская язва в Алматинской области в ауле Карашокы.[35]
В этом же году 1 сентября 2016 года в Карагандинской области подтвердили диагноз сибирская язва у троих пострадавших жителей. 2 человека из Ушарала и один из города Балхаш.[36]
Спустя 3 года произошла очередная вспышка болезни в Акмолинской области. 19 августа 2019 были госпитализированы 5 человек. На этот раз болезнь была обнаружена в почве.[37]
16 сентября 2019 года сибирская язва выявлена в Жамбылской области у 4 человек, которые участвовали в забое зараженного скота.[38]
26 октября 2023 года сибирская язва проявилась в Карагандинской области. В поселке Топар выявили болезнь у трех человек.[39]
Вспышки сибирской язвы в Казахстане будут периодически возникать и в дальнейшем.[40]
Сибирская язва (Anthrax) продолжает оставаться значимой проблемой для здравоохранения и ветеринарии в Республике Казахстан. Согласно ретроспективным данным, опубликованным в период с 1960 по 1980 годы отмечался значительный уровень заболеваемости среди людей и животных. Однако с 1980 года до середины 1990-х годов эпидемическая и эпизоотическая обстановка в стране стабилизировалась. Ежегодно регистрировалось от 13 до 25 случаев заболевания среди населения, что указывало на относительную стабильность.
В 1997 году произошел резкий всплеск заболеваемости, в результате которого было зафиксировано 66 случаев сибирской язвы среди населения. Этот рост совпал с изменениями в ветеринарной и санитарно-эпидемиологической службах страны, что могло повлиять на ухудшение контроля за инфекцией в регионах.
За последние годы эпизоотическая ситуация с сибирской язвой вновь привлекает внимание. Согласно официальным данным Министерства здравоохранения и Министерства сельского хозяйства Республики Казахстан, в период с 2021 по 2023 годы было зарегистрировано 18 вспышек сибирской язвы среди животных. В 2021 году было зафиксировано 6 вспышек, в 2022 году — 4 вспышки, а в 2023 году — 8. Всего за этот период сибирская язва была диагностирована у 78 животных, из которых 55 (70,5 %) составляли крупный рогатый скот, 19 (24,3 %) — лошади и 4 (5,1 %) — мелкий рогатый скот.
Несмотря на то, что в последние годы не наблюдается широкого эпидемического распространения сибирской язвы, проблема сохраняет актуальность. Ежегодно регистрируется от 3 до 10 случаев среди животных, что указывает на необходимость постоянного контроля и профилактических мер. Сибирская язва относится к числу особо опасных инфекционных заболеваний, которое может передаваться человеку при контакте с инфицированными животными или через продукты животного происхождения. В этой связи важную роль играет своевременная вакцинация скота, мониторинг эпизоотической обстановки и эпидемиологический надзор.
Таким образом, ситуация с сибирской язвой в Казахстане требует постоянного внимания со стороны ветеринарных и санитарных служб для предотвращения дальнейших вспышек и минимизации риска передачи инфекции человеку.[41]
Молдова
В июле 2013 года четыре случая заболевания сибирской язвой людей зарегистрированы на севере Молдавии (в селе Вэдень Сорокского района, у границы с Украиной).
Таджикистан
В Таджикистане ежегодно регистрируется от 15 до 30 случаев заражения людей сибирской язвой, преимущественно в тех районах, где развито животноводство, за 7 месяцев 2013 года зарегистрировано 18 случаев.
Армения
В октябре 2013 года в Армении госпитализировано 15 человек с подозрением на заболевание сибирской язвой, диагноз подтвердился у 11 заболевших.
В июне 2021 года было зафиксировано 3 случая заражения[42].
См. также
- Эпидемия сибирской язвы в Свердловске в 1979 году
- Письма со спорами сибирской язвы
- Bacillus anthracis
Примечания
- ↑ 1 2 Disease Ontology (англ.) — 2016.
- ↑ 1 2 3 Monarch Disease Ontology release 2018-06-29 — 2018-06-29 — 2018.
- ↑ Куличенко A.H., Буравцева Н.П., Рязанова А.Г., Еременко Е.И. Сибирская язва на Северном Кавказе. — Майкоп: Качество, 2016. — 198 с. — ISBN 978-5-9703-0540-9.
- ↑ Алла Астахова. Как лечили сибирскую язву. Блог о здравоохранении (28 октября 2016). Дата обращения: 2 ноября 2016. Архивировано 3 ноября 2016 года.
- ↑ Cutaneous Anthrax | Anthrax | CDC (амер. англ.). www.cdc.gov (28 января 2019). Дата обращения: 13 августа 2019. Архивировано 21 января 2018 года.
- ↑ CDC Anthrax Q & A: Signs and Symptoms. web.archive.org (5 апреля 2007). Дата обращения: 13 августа 2019. Архивировано 5 апреля 2007 года.
- ↑ 1 2 Jon-Erik C. Holty, Dena M. Bravata, Hau Liu, Richard A. Olshen, Kathryn M. McDonald. Systematic Review: A Century of Inhalational Anthrax Cases from 1900 to 2005 (англ.) // Annals of Internal Medicine. — 2006-02-21. — Vol. 144, iss. 4. — P. 270. — ISSN 0003-4819. — doi:10.7326/0003-4819-144-4-200602210-00009.
- ↑ Well. The New York Times. 1565600402. Архивировано 2017-07-24. Дата обращения: 2019-08-13.
{{cite news}}: Проверьте значение даты:|date=(справка) - ↑ CHEST (англ.). journal.publications.chestnet.org. Дата обращения: 13 августа 2019. Архивировано 6 июля 2017 года.
- ↑ Gastrointestinal Anthrax | Anthrax | CDC (амер. англ.). www.cdc.gov (28 января 2019). Дата обращения: 13 августа 2019. Архивировано 13 августа 2019 года.
- ↑ Merrill, Timmreck, 2005, с. 46.
- ↑ Поль де Крайф (де Крюи). Охотники за микробами. Издательство: Астрель, Полиграфиздат, 2012. ISBN 978-5-271-35518-9, ISBN 978-5-4215-3274-3
- ↑ 1 2 Возбудитель сибирской язвы. Сибирская язва. Bacillus anthracis. Эпидемиология сибирской язвы. Пути и механизмы заражения сибирской язвой. meduniver.com. Дата обращения: 4 сентября 2015. Архивировано 18 марта 2015 года.
- ↑ Merrill, Timmreck, 2005, с. 32.
- ↑ А. М. Руденко. Столетие русской военной ветеринарии. — 1912.
- ↑ Р.Ф.Сосов и др. Эпизоотология. — М.: Колос, 1969. — 400 с.
- ↑ Министр Вероника Скворцова посетила Ямало-Ненецкий автономный округ в связи со вспышкой сибирской язвы. Дата обращения: 3 августа 2016. Архивировано 14 августа 2016 года.
- ↑ У ямальских кочевников обнаружили сибирскую язву. Дата обращения: 3 августа 2016. Архивировано 6 августа 2016 года.
- ↑ Минобороны России наращивает группировку для ликвидации очага вспышки сибирской язвы в ЯНАО. Дата обращения: 4 августа 2016. Архивировано 20 августа 2016 года.
- ↑ На Ямале выжигают сибирскую язву: спецрепортаж «Ленты.ру» с места событий: Общество: Россия: Lenta.ru. Дата обращения: 8 августа 2016. Архивировано 26 августа 2016 года.
- ↑ В Волгоградской области от сибирской язвы погибла корова. Дата обращения: 9 ноября 2016. Архивировано 10 ноября 2016 года.
- ↑ На Ставрополье сибирская язва. Началось расследование. Дата обращения: 29 декабря 2019. Архивировано 29 декабря 2019 года.
- ↑ В Дагестане заподозрили вспышку сибирской язвы. Дата обращения: 22 июня 2022. Архивировано 22 июня 2022 года.
- ↑ Жительница Ставрополья заразилась сибирской язвой. Дата обращения: 22 июня 2022. Архивировано 22 июня 2022 года.
- ↑ Еще у одного жителя Чувашии выявили симптомы сибирской язвы (22 марта 2023). Дата обращения: 22 марта 2023. Архивировано 22 марта 2023 года.
- ↑ Tayga. Telegram. Дата обращения: 30 июня 2023. Архивировано 30 июня 2023 года.
- ↑ Указ Губернатора Воронежской области от 20.08.2023 № 144-у «Об установлении ограничительных мероприятий (карантина) по заболеванию сибирской язвой на отдельных территориях Панинского, Новоусманского муниципальных районов Воронежской области» (недоступная ссылка — история) (20 августа 2023).
- ↑ Что известно о сибирской язве в Воронежской области (21 августа 2023).
- ↑ Указ Губернатора Воронежской области от 22.08.2023 № 148-у «Об установлении ограничительных мероприятий (карантина) по заболеванию сибирской язвой на отдельной территории городского округа город Воронеж Воронежской области» (недоступная ссылка — история) (22 августа 2023).
- ↑ Сибирская язва добралась до Воронежа (22 августа 2023).
- ↑ Высоцкі А. Што пра нас пісалі 90 год таму// Нарачанская зара. — № 142—144. — 11 верасня 2004 г.
- ↑ 1 2 Тайчиев И.Т., Жолдашов С.Т. Эпидемиологическое районирование территории Кыргызской республики по сибирской язве // Санитарный врач. — Москва: Издательство "Медиздат", 2013. — Январь (№ 1). — С. 18—23. — ISSN 2074-8841. Архивировано 5 сентября 2019 года.
- ↑ Роспотребнадзор. О ситуации по сибирской язве в 2013 году // Санитарный врач. — Москва: Издательство "Медиздат", 2014. — Май (№ 5). — С. 5—6. — ISSN 2074-8841. Архивировано 5 сентября 2019 года.
- ↑ Устинова, Татьяна. Диагноз "сибирская язва" подтвердился, в селе Еркиндик объявлен режим ЧС. zakon.kz (22 июня 2016). Дата обращения: 5 сентября 2024.
- ↑ Устинова, Татьяна. У трех жителей Алматинской области выявлена сибирская язва. zakon.kz (28 июля 2016). Дата обращения: 5 сентября 2024.
- ↑ В Карагандинской области у всех троих госпитализированных подтверждена сибирская язва. zakon.kz (1 сентября 2016). Дата обращения: 5 сентября 2024.
- ↑ Кунафин, Данияр. Сибирская язва в Акмолинской области. Госпитализированы пять сельчан. zakon.kz (19 августа 2019). Дата обращения: 5 сентября 2024.
- ↑ Сибирская язва выявлена в Жамбылской области. zakon.kz (16 сентября 2019). Дата обращения: 5 сентября 2024.
- ↑ Дробны, Никита. Три человека заразились сибирской язвой в Карагандинской области. zakon.kz (26 октября 2023). Дата обращения: 5 сентября 2024.
- ↑ «Биологическая безопасность РК всегда будет под угрозой» — эксперт — о сибирской язве - Новости taspanews.kz от 04 сентября 2024 15:51. taspanews.kz (4 сентября 2024). Дата обращения: 5 сентября 2024.
- ↑ «Сжигают даже почву, где лежало животное»: как борются с сибирской язвой в Казахстане - Новости taspanews.kz от 06 сентября 2024 14:33. taspanews.kz (6 сентября 2024). Дата обращения: 9 сентября 2024.
- ↑ В Армении зафиксировано три случая заболевания сибирской язвой. Газета.Ru. Дата обращения: 30 июня 2021. Архивировано 2 июля 2021 года.
Литература
- Бургасов П. H., Зиновьев А. С., Никифоров В. Н., Шляхов Э. Н. Сибирская язва // Большая медицинская энциклопедия, 3-е изд. — М.: Советская энциклопедия. — Т. 23.
- Черкасский Б. Л., Лаврова М. Я. Сибирская язва диких животных и проблема природной очаговости этой инфекции // Бюллетень Моск. о-ва испытателей природы. Отд. биол.. — М.: Изд-во Московского ун-та, 1969. — Т. 74, вып. 5. — С. 5—19.
- Бургасов П. Н. и др. Сибирская язва. — М.: Медицина, 1970. — 128 с. — 5000 экз. (обл.)
- Черкасский Б. Л. Эпидемиология и профилактика сибирской язвы: монография = Epidemiology and Prevention of Anthrax : (russian experience) / Рец.: Н. Н. Филатов. — М.: Интерсэн, 2002. — 384 с. — ISBN 5-89834-077-7. (в пер.)
- Сибирская язва: актуальные проблемы разработки и внедрения медицинских средств защиты: Руководство для врачей: (К 80-летию ФГУ «48 ЦНИИ Минобороны России») / Под ред. Г. Г. Онищенко, В. В. Кожухова; Рецензенты: Д. К. Львов, В. Н. Паутов. — М.: Медицина, 2010. — 424 с. — 530 экз. — ISBN 5-225-03411-X. (в пер.)
- ГОСТ 15991-86 «Вакцина СТИ живая против сибирской язвы животных. Технические условия».
- ГОСТ Р 52616-2006 «Вакцина против сибирской язвы животных из штамма 55-ВНИИВВиМ живая. Технические условия».
- Ray M. Merrill, Thomas C. Timmreck. Chapter 1: Foundation of Epidemiology // Introduction to Epidemiology (англ.). — 4. — Sudbury, Massachusetts: Jones and Bartlett Publishers, 2005. — ISBN 978-0-7637-35821.
Ссылки
- «Священный огонь. Битва за жизнь». Документальный фильм от 18.09.2017 г. ОГТРК «Ямал-Регион» (В фильме показаны крупный природный эпидемический очаг сибирской язвы и мероприятия по его ликвидации).
- «Сепсис 002. Сибирская язва-79» — 2-х серийный документальный фильм В. В. Некрасова и И. В. Шеремета с кадрами хроники и интервью непосредственных участников эпидемии сибирской язвы в г. Свердловске в 1979 г., телекомпания «Телевизионное агентство Урала», 2012 г.

