Бешенство
| Бешенство | |
|---|---|
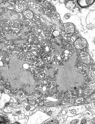
| Электронная микрофотография вируса бешенства, на фотографии также видны тельца Бабеша — Негри | |
| МКБ-11 | 1C82 |
| МКБ-10 | A82 |
| МКБ-10-КМ | A82.9, A82, A82.1 и A82.0 |
| МКБ-9 | 071 |
| МКБ-9-КМ | 071[1][2] |
| DiseasesDB | 11148 |
| MedlinePlus | 001334 |
| eMedicine | med/1374 |
| MeSH | D011818 |



Бе́шенство (другое название — рабиес (лат. rabies [ˈrabieːs]), устаревшие — водобоязнь[3], гидрофобия (от др.-греч. ὕδωρ «вода» и φόβος «страх») — природно-очаговое особо опасное смертельное инфекционное заболевание, вызываемое вирусом бешенства (Rabies virus), включённым в род Lyssavirus семейства Rhabdoviridae. Бешенство относится к группе так называемых пренебрегаемых болезней в связи с низкой распространённостью и заболеваемостью в развитых странах.
Передаётся со слюной при укусе больным животным. Затем, распространяясь по нервным путям, вирус достигает слюнных желёз, нервных клеток коры головного мозга, гиппокампа, бульбарных центров и, поражая их, вызывает тяжёлые нарушения, приводящие к гибели заражённого практически в 100 % случаев.
Название болезни происходит от слова «бес», потому что в древности считалось, что причиной заболевания является одержимость злыми ду́хами.
Патоген
Структура и характеристики
Вирус бешенства является типовым видом рода Lyssavirus семейства Rhabdoviridae, порядка Mononegavirales. Лиссавирионы имеют спиральную симметрию, с длиной около 180 нм и поперечным сечением около 75 нм[4]. Эти вирионы заключены в оболочку и имеют одноцепочечный РНК-геном в дополнительном (комплементарном) коде (с отрицательным смыслом). Генетическая информация упакована в виде рибонуклеопротеинового комплекса, в котором РНК тесно связана с вирусным нуклеопротеином. РНК-геном вируса кодирует пять генов, порядок которых высоко консервативен: нуклеопротеин (N), фосфопротеин (P), матриксный белок (M), гликопротеин (G) и вирусная РНК-полимераза (L)[5].
Гликопротеин G отвечает за адсорбцию и внедрение вируса в клетку, обладает антигенным (типоспецифический антиген) и иммуногенными свойствами. Антитела к нему нейтрализуют вирус, их определяют в реакции нейтрализации[6].
Жизненный цикл
Чтобы проникнуть в клетки, тримерные шипы на внешней стороне мембраны вируса взаимодействуют со специфическим клеточным рецептором, наиболее вероятным из которых является рецептор ацетилхолина. Клеточная мембрана сжимается в процессе, известном как пиноцитоз, и позволяет вирусу проникать в клетку через эндосому. Затем вирус, использующий необходимую кислую среду этой эндосомы, одновременно связывается с её мембраной и высвобождает свои пять белков и одноцепочечную РНК в цитоплазму[7].
Попав в мышечную или нервную клетку, вирус подвергается репликации. Затем белок L транскрибирует пять нитей мРНК и положительную цепь РНК из исходной отрицательной цепи РНК, используя свободные нуклеотиды в цитоплазме. Эти пять нитей мРНК затем транслируются в соответствующие им белки (P-, L-, N-, G- и M-белки) в свободных рибосомах в цитоплазме. Некоторые белки требуют посттрансляционных модификаций. Например, белок G проходит через шероховатый эндоплазматический ретикулум, где он подвергается дальнейшему фолдингу, а затем транспортируется в аппарат Гольджи, в котором к нему добавляется сахарная группа (гликозилирование)[7].
Когда вирусных белков будет достаточно, вирусная полимераза начнет синтезировать новые отрицательные цепи РНК из матрицы РНК с положительной цепью. Затем эти отрицательные нити образуют комплексы с белками N, P, L и M, а затем перемещаются к внутренней мембране клетки, к месту где G-белок встроился в мембрану. Затем G-белок обвивается вокруг комплекса белков N-P-L-M, забирая с собой часть мембраны клетки-хозяина, которая образует новую внешнюю оболочку вирусной частицы. Затем вирус выходит из клетки[7].
С точки зрения проникновения, вирус является нейротропным, он перемещается по нервным путям в центральную нервную систему. Вирус обычно сначала поражает мышечные клетки вблизи места заражения, в них вирусы способны размножаться будучи «не замеченными» иммунной системой хозяина. Как только вирус размножается в достаточном количестве, он начинает связываться с ацетилхолиновыми рецепторами в нервно-мышечном соединении[8]. Затем вирус проходит через аксон нервной клетки посредством ретроградного транспорта, поскольку его Р-белок взаимодействует с динеином, белком, присутствующим в цитоплазме нервных клеток. Как только вирус достигает тела клетки, он быстро перемещается в центральную нервную систему, размножается в двигательных нейронах и в конечном итоге достигает мозга[9]. После заражения мозга вирус центрифугально перемещается к периферической и автономной нервной системам, в конечном итоге мигрируя в слюнные железы, откуда он способен передаваться следующему хозяину[10].
Вирус неустойчив во внешней среде, он практически мгновенно разрушается при кипячении[11].
Вирус бешенства устойчив к низким температурам, при температурах от −4 до −250°С он сохраняется до года[11].
Вирус размножается в нервных клетках организма, образуя тельца Бабеша — Негри. Экземпляры вируса переносятся через аксоны нейронов со скоростью приблизительно 3 мм/час. Достигая спинного и головного мозга, они вызывают менингоэнцефалит. В нервной системе вирус вызывает воспалительные, дистрофические и некротические изменения. Гибель животных и человека наступает вследствие асфиксии и остановки сердца[12].
Инкубационный период бешенства у животных, в частности у собак, обычно длится 11-15 дней, у человека может достигать года, чаще всего — 20-60 дней[11].
Происхождение и резервуары
Первоначальным резервуаром вируса бешенства, по-видимому, являются некоторые летучие мыши, которые могут быть здоровыми или больными носителями в зависимости от вида. Согласно филогенетическому исследованию, вирус бешенства, как полагают, произошёл от рабдовирусов насекомых около десяти тысяч лет назад. Считается, что нынешний вирус бешенства перешёл от летучих мышей к плотоядным животным почти 900—1500 лет назад, что не исключает того, что ранее имели место и другие случаи передачи[13][14][15].
История






В древнегреческой мифологии было божество, являющееся персонификацией бешенства и безумия, — Лисса (др.-греч. Λύσσα «бешенство» от λύκος — «волк»; ср. Rabies lyssavirus — вирус бешенства). В древнегреческой литературе состояние боевого исступления обозначалось словом λύσσα, то есть «ярость воителя, который благодаря ей становится неуязвимым и уподобляется волку или псу». В «Илиаде» слово λύσσα и его производные употреблено несколько раз. Так, Тевкр Теламонид по отношению к Гектору говорит: «Только вот бешеной этой собаки никак не убью я!» (Илиада VIII, 299)[6].
Бешенство собак описано Демокритом в V веке до н. э., а Корнелий Цельс в I веке н. э., описав аналогичное заболевание у человека, назвал его гидрофобией, или водобоязнью. Он уже указал на то, что человек заражается от собак во время укуса, и рекомендовал прижигать раны для уничтожения яда на их поверхности[6].
Во Франции и Бельгии люди, пострадавшие от укусов животных, совершали паломничество к могиле Святого Юбера (Святой Губерт), который традиционно почитается как покровитель охотников[16]. Считалось, что ниточка от его епитрахили спасала от бешенства[17].
Крупная эпизоотия бешенства среди собак и волков отмечалась в 1271 году в Германии, в 1500 году — в Бельгии и Испании, а в 1590 году — среди волков во Франции. С ростом городов всё более широкое распространение стали получать эпизоотии городского типа. В течение XVIII и XIX веков эпизоотии среди собак прокатились мощной волной почти через все страны Европы, Америки, Азии и Африки, достигая особого размаха в столичных городах. Так, на Париж приходилась одна треть всей заболеваемости во Франции. На Москву и Петербург — соответственно 50 и 80 процентов заболеваемости в соответствующих губерниях[6].
В июле 1885 года Луи Пастер успешно разработал вакцину против бешенства[18]. Выделить возбудителя бешенства он не смог, но ему удалось установить, что наиболее надёжный способ заражения лабораторных животных — введение заразного материала (слюны больных животных) непосредственно в мозг. Уже в 1883 году Пастеру удаётся создать экспериментальную модель бешенства у лабораторных кроликов путём непосредственного впрыскивания взвеси заражённого кроличьего мозга под черепную коробку здоровому животному[19]. Пастер культивировал возбудителя бешенства в мозге кролика, многократно перевивая (пассируя) болезнетворный материал от одного кролика к другому, от умершего к живому. Пересадки помогли ему сделать вывод, что вирулентность возбудителя в организме кролика меняется, но не снижается, а усиливается; степень его болезнетворности оказалась выше. При этом обнаружилось и новое явление: сокращался инкубационный период (кролики заболевали в более короткий срок после введения болезнетворного материала). После 90 проведённых пассажей продолжительность скрытого периода болезни стабилизировалась на уровне семи дней и не менялась при последующих пересевах. Пастер нашёл общий способ снижения вирулентности вируса. Выяснилось, что содержащийся в мозге заражённого кролика стабильный вирус чувствителен к высушиванию. Пастер и его ассистенты Эмиль Ру и Шарль Шамберлан разработали технологию: кусочек мозга кролика, только что погибшего от лабораторного (стабильного) вируса бешенства, подвешивали на нитке в стерильную колбу, где его высушивали в сухом воздухе при температуре 23 °С. Вирулентность кроличьего мозга снижалась с каждым днём сушки, а возбудитель становился менее вирулентным и через 14 дней свою болезнетворность терял совсем. После этого был поставлен следующий опыт: к здоровым животным впустили бешеных псов. На следующий день были начаты прививки эмульсией высушенного вируса, однако исцарапанные и искусанные кролики не заболели — прививка спасла их от бешенства. В июне 1885 года Пастер решается испытать разработанный им метод спасения заражённых бешенством людей. Получив одобрение Французской академии наук, он объявляет, что с 1 ноября будет делать антирабические прививки всем нуждающимся. Первым вылеченным больным по методу Пастера был девятилетний эльзасский школьник Жозеф Мейстер, которому на протяжении 14 дней вводились всё более сильные дозы мозговой ткани заражённого бешенством кролика, в результате чего мальчик так и не заболел бешенством[20][21][22]. Потом он вернулся к себе домой в Эльзас и никогда не обнаруживал каких-либо признаков болезни[6][23].
О первых результатах прививок против бешенства Пастер доложил Французской академии наук 17 февраля 1886 года. Первоначально Пастер предполагал, что одного централизованного учреждения хватит для вакцинации больных во всей Европе и даже в мире (в связи с длительным инкубационным периодом болезни)[24]. В лабораторию Пастера стало приезжать множество поражённых болезнью со всех концов света. Выяснилось, что официальная статистика о количестве заболеваний и её распространённости не соответствует действительности (один из врачей обнаружил в своём департаменте 25 случаев смерти от бешенства, а в официальном отчёте был указан лишь 1). Пастер некоторое время не давал разрешения на устройство прививочных станций вне Парижа. Он полагал, что «для лечения водобоязни больные ввиду длительности инкубационного периода могут из любой местности России поспеть в Париж ещё вовремя». Однако к нему стали прибывать из России крестьяне Смоленской, Орловской, Пензенской, Владимирской, Тверской и Костромской губерний. Курирование вопроса о прививках происходило даже на высочайшем уровне. На письме К. П. Победоносцева, который ходатайствовал о выделении средств, сохранилась резолюция императора Александра III: «Получите от Танеева 700 рублей. Очень желательно хотя самых опасных послать в Париж к Пастеру, который очень интересуется, именно, укушениями бешеного волка, так как ещё не имел у себя подобного больного»[25]. По подсчётам самого Пастера, за период с июля 1885 года по июль 1886 года на парижской пастеровской станции побывало около 130 российских пациентов, из них 48 были покусаны бешеными волками[26], некоторые, несмотря на прививки, умерли[24]. Это стало одной из причин решения Пастера открыть прививочные пункты в других странах. Первой по времени открытия в Российской империи и второй в мире была Одесская пастеровская станция, где прививки против бешенства были начаты Н. Ф. Гамалеей, который был предварительно командирован в Париж для ознакомления с методом прививок. В 1888 году в Париже на средства, собранные по международной подписке, был организован институт для вакцинации против бешенства, изучения инфекционных болезней и подготовки специалистов-микробиологов. Этот институт, который возглавил Пастер, по предложению Французской академии был назван Институтом Пастера[6].
В настоящее время вакцину обычно используют в сочетании с антирабической сывороткой или антирабическим иммуноглобулином. Инъекция делается вглубь раны и в мягкие ткани вокруг неё. Эффективность вакцины напрямую связана со временем обращения после укуса. Чем раньше человек обратится за помощью, тем выше вероятность положительного исхода. Срочная вакцинация после заражения вирусом обычно позволяет предотвратить развитие симптомов и вылечить человека[6].
До 2005 года бешенство считалось абсолютно смертельным для человека — в тех случаях, когда проявлялись симптомы болезни. Однако симптомы могут и не появиться у заражённого, если количество попавших в организм вирусов мало. В 2005 году был зафиксирован первый клинически подтверждённый случай излечения от бешенства на стадии проявления симптомов. С помощью инновационной методики была вылечена американская 15-летняя девочка Джина Гис[27]. Ещё одним подтверждённым случаем стало излечение 15-летнего подростка в Бразилии. Всего к 2008 году были зарегистрированы сведения о 8 случаях выздоровления, из которых 3 подтверждены лабораторно[28]. К 2012 году подобным способом были вылечены 5 человек из 37 подвергавшихся процедуре[27].
В 2012 году в журнале «American Journal of Tropical Medicine and Hygiene» была опубликована статья, в которой исследователи сообщили, что в перуанских амазонских джунглях живут люди, переболевшие бешенством без серьёзных симптомов (у них были антитела к вирусу бешенства). Две трети из этих людей, по их словам, были ранее укушены летучими мышами. У пойманных в тех местах летучих мышей также были обнаружены антитела к вирусу бешенства. Исходя из этого, специалисты предположили, что эндемичный для амазонских джунглей штамм вируса не опасен для человека и необходимо продолжить его исследования[29].
Таким образом, бешенство является одним из наиболее опасных инфекционных заболеваний наряду с ВИЧ-инфекцией, столбняком и некоторыми другими болезнями[6].
Эпизоотология и эпидемиология
Бешенство является зоонозной болезнью. Все теплокровные виды, включая людей, могут заразиться вирусом бешенства и развить симптомы. Человек заражается обычно при укусе собакой (99 % случаев в мире), однако на американском континенте человек получает бешенство преимущественно от летучих мышей (передачу вируса через собак удалось прервать противоэпидемическими мерами)[30].
Вирус также приспособился расти в клетках холоднокровных позвоночных[31][32]. Заражение у птиц в основном протекает бессимптомно, и они выздоравливают[33].
Во многих районах США и Канады бешенство распространено среди скунсов, енотов, лисиц и шакалов. Многие виды летучих мышей заражены вирусным заболеванием в Австралии, Африке, Центральной и Юго-Восточной Азии, Европе и многих регионах Америки. В Шри-Ланке бешенство является эндемическим заболеванием среди куниц[34].
Различают природный тип бешенства, очаги которого формируются дикими животными (волк, лисица, енотовидная собака, шакал, песец, скунс, мангуст, летучие мыши), и городской тип бешенства (собаки, кошки, сельскохозяйственные животные). Домашние животные заражаются бешенством после контакта с больными дикими животными[34].
В Индии, помимо собак, переносчиками бешенства являются летучие мыши (3/4 случаев заражения людей от общей статистики заболеваемости бешенством с 1990 по 2001 годы)[35]. Также от летучих мышей заражаются люди в амазонских джунглях в Перу[29].
Случаи заболевания мелких грызунов бешенством и передачи вируса от них человеку практически неизвестны[36]. Однако существует гипотеза, что естественным резервуаром вируса являются грызуны, которые способны длительно носить инфекцию, не погибая в течение нескольких дней после заражения[37].
Наиболее вероятным кандидатом является жёлтый мангуст, который может являться носителем вируса на протяжении нескольких лет[38].
Возможны случаи, когда возбудитель бешенства передаётся через укус от человека человеку. Хотя вероятность такого заражения чрезвычайно мала, этих случаев в прошлом боялись больше всего[39].
Вирус обычно присутствует в нервах и слюне бешеного животного с симптомами[40][41]. Заражение происходит обычно, но не всегда, через укус. Во многих случаях заражённое животное исключительно агрессивно, может напасть без провокации и демонстрирует нехарактерное для представителей своего вида поведение[42]. Это пример вирусного патогена, изменяющего поведение своего хозяина, чтобы облегчить его передачу другим хозяевам. После типичного заражения человека при укусе вирус попадает в периферическую нервную систему. Затем он перемещается ретроградно по эфферентным нервам и поражает центральную нервную систему[43]. На этом этапе вирус не может быть легко обнаружен внутри хозяина и вакцинация всё ещё может обеспечить клеточный иммунитет для предотвращения симптоматического бешенства. Когда вирус достигает мозга, он быстро вызывает энцефалит. Как только у пациента появляются симптомы продромальной фазы энцефалита, лечение почти никогда не бывает эффективным, а смертность превышает 99 %. Бешенство может также вызвать воспаление спинного мозга — поперечный миелит[44][45].

Основными животными — источниками заражения являются[46]:
- из диких животных — волки, лисицы, шакалы, енотовидные собаки, барсуки, скунсы, летучие мыши и грызуны;
- из домашних животных — собаки и кошки.
Различают три степени восприимчивости животных к бешенству:
- высокая (кошки, крупный рогатый скот);
- средняя (собаки, овцы, козы, лошади, приматы);
- низкая (птицы)[47].
Специфика поведения кошек усугубляет крайне агрессивное поведение большей части больных бешенством кошек. У части кошек бешенство протекает в тихой (паралитической) форме, когда больное животное забирается в дальние (подвал, под диван) места и остаётся там до смерти, однако при попытке его достать всё равно нападает на человека[48].
Проблематика по континентам и странам


Бешенство встречается на всех континентах, кроме Антарктиды. Бешенство не регистрируется в островных государствах: в Японии, Новой Зеландии, на Кипре и Мальте. Это заболевание до сих пор не регистрировалось также в Швеции, Финляндии, Испании и Португалии[34].
В 2008 году в газете «The New York Times» сообщалось, что южноамериканский народ варао на северо-востоке Венесуэлы страдает от эпидемии неизвестной болезни, вызывающей частичный паралич, судороги и водобоязнь. Согласно одному из предположений, болезнь является разновидностью бешенства, переносимого летучими мышами[49].
По данным ВОЗ, ежегодно от этой болезни во всем мире умирает около 55 000 человек, в основном в сельских районах Африки и Азии. 40 % жертв — дети в возрасте до 15 лет[50]. Около половины всех зарегистрированных случаев заболевания бешенством животных приходится на страны Америки — 42,4 %, на государства Европы — 31,9 %, на долю Азии и Африки приходится 21,3 % и 4,4 % соответственно[51][30].
Бешенство не является заболеванием, которое можно искоренить во всем мире, поскольку вирус может циркулировать в дикой природе, но его можно ликвидировать на местном уровне. Цель ВОЗ — достичь региональной элиминации наземного бешенства (бешенство рукокрылых не подпадает под это определение) с нулевым уровнем смертности от бешенства среди людей во всем мире[52] к 2030 году (глобальная элиминация бешенства, передаваемого собаками, среди людей)[53].
К 2017 году участились случаи заболевания бешенством человека во Вьетнаме, на Филиппинах, в Лаосе, Индонезии и Китае. При этом в развитых и некоторых других странах заболеваемость человека существенно (на несколько порядков) ниже, поскольку там организована своевременная антирабическая помощь[34].
Индия
В Индии самый высокий уровень заболеваемости людей бешенством в мире, в первую очередь из-за бродячих собак[54], число которых значительно увеличилось с тех пор, как закон 2001 года запретил их убийство[55]. Эффективному контролю и лечению бешенства в Индии препятствует форма массовой истерии, известная как синдром беременности щенком (PPS). Жертвы укусов собак с PPS, как самцов, так и самок, убеждаются, что внутри них растут щенки, и часто обращаются за помощью к целителям веры, а не к медицинским услугам[56]. По оценкам, ежегодно в Индии от бешенства умирает 20 000 человек, что составляет более трети от общего числа случаев в мире[55].
Австралия и Новая Зеландия
Австралия имеет официальный статус страны, свободной от бешенства[57], хотя австралийский лиссавирус летучих мышей (ABLV), обнаруженный в 1996 году, является распространённым штаммом бешенства в австралийских популяциях летучих мышей.
30 марта 2023 года Министерство здравоохранения Новой Зеландии официально подтвердило первый случай смерти от бешенства жителя Новой Зеландии на территории страны[58].
США

Бешенство, характерное для собак, было искоренено в Соединённых Штатах. Но бешенство распространено среди диких животных в США, и в среднем 100 собак заражаются от других диких животных каждый год[59][60].
Из-за высокой осведомлённости общественности о вирусе, усилий по вакцинации домашних животных и сокращению численности диких популяций, а также доступности постконтактной профилактики, случаи бешенства среди людей в Соединённых Штатах очень редки. С 1960 по 2018 год в Соединённых Штатах было зарегистрировано в общей сложности 125 случаев заболевания людей бешенством; 36 (28 %) были связаны с укусами собак во время международных поездок[61]. Из 89 случаев заражения, приобретённых в Соединённых Штатах, 62 (70 %) были связаны с летучими мышами[61]. Самым последним умершим от бешенства в Соединённых Штатах стал житель Иллинойса, который отказался от лечения после того, как проснулся ночью от укусившей его в шею летучей мыши; мужчина умер месяц спустя[62]. Произошедший в 2021 году, это был первый случай бешенства человека в Соединённых Штатах почти за три года.
Европа
В Европе ежегодно регистрируется либо отсутствие, либо очень малое количество случаев бешенства[63].
В Швейцарии болезнь была практически ликвидирована после того, как учёные поместили куриные головы, пропитанные живой ослабленной вакциной, в Швейцарских Альпах[64]. Швейцарские лисы, которые, как оказалось, являются основным источником бешенства в стране, съели куриные головы и таким образом «сделали себе прививку»[64][65].
Италия, после объявления страны свободной от бешенства с 1997 по 2008 год, стала свидетелем возобновления заболевания диких животных в регионах Тривенето (Трентино-Альто-Адидже / Зюдтироль, Венето и Фриули-Венеция-Джулия) из-за распространения эпидемии на Балканах, которая также затронула Австрию. Обширная кампания вакцинации диких животных снова привела к ликвидации вируса в Италии, и в 2013 году Италия вновь получила статус страны, свободной от бешенства. Последний зарегистрированный случай бешенства у рыжей лисицы был зарегистрирован в начале 2011 года[66][67].
В Соединённом Королевстве не было бешенства с начала 20-го века, за исключением вируса, похожего на бешенство, у нескольких летучих мышей Добентона. Был зафиксирован один смертельный случай передачи инфекции человеку. С 2000 года было зарегистрировано четыре случая смерти от бешенства, полученного за границей, через укусы собак. Последнее заражение в Великобритании произошло в 1922 году, а последняя смерть от местного бешенства была в 1902 году[68][69].
Мексика
В 2019 году Всемирная организация здравоохранения сертифицировала Мексику как страну, свободную от бешенства, передаваемого собаками, поскольку за два года не было зарегистрировано ни одного случая передачи вируса от собаки человеку[70].
Россия
В 2005 году значительное увеличение количества очагов бешенства было зарегистрировано в Липецкой области — более ста подтверждённых очагов бешенства среди животных, что в десятки раз больше, чем в 2004 году[71]. Сложная обстановка с распространением природного очага бешенства была отмечена также в Московской, Брянской и Тульской областях[71].
В декабре 2008 года главный санитарный врач России Геннадий Онищенко, выступая по телевидению, заявил, что «за последние три года в России от бешенства скончались 28 человек, а в 2008 году было выявлено 5500 случаев заражения диких и домашних животных. Бешенство человека было выявлено в семи регионах Российской Федерации, в том числе в Московской, Челябинской областях, в Татарстане, Башкортостане и Чеченской республике».
В июле 2009 года Россельхознадзор прогнозировал активное распространение вируса бешенства в России. Главный ветеринарный врач России Николай Власов назвал в качестве основных причин падение розничного спроса на лисий мех и сокращение объёма пахотных земель, так как оба фактора увеличивают популяцию лисиц[72].
В 2009 году главный санитарный врач Московской области Ольга Гавриленко констатировала рост заболеваемости бешенством в Подмосковье, отметив, что причина этого — увеличившееся число больных бешенством диких животных, в частности бродячих собак и кошек[73][74].
Согласно российской статистике за I квартал 2013 года, бешенство животных было выявлено в 37 субъектах РФ, в том числе в Москве и Московской области[75]. Традиционно свободными от бешенства остаются Санкт-Петербург и Ленинградская область. В печальных лидерах Белгородская область (79 случаев у животных), Саратовская (64 случая), Московская (40), Воронежская (37) и Тамбовская (36). В этом квартале заболело (и умерло) два человека — в Курской и Владимирской областях[76].
В июне 2013 года было зарегистрировано и подтверждено 2 случая бешенства в Комсомольске-на-Амуре. По распоряжению и. о. губернатора Хабаровского края в городе был объявлен карантин и проводилась массовая вакцинация всех домашних животных[77].
Исходя из проведённого федеральным учреждением «Центральная научно-методическая ветеринарная лаборатория» анализа данных, поступивших из информационной системы «Сирано», в декабре 2019 года в России зафиксировано 132 случая бешенства. Наибольшее количество случаев выявлено в Московской, Челябинской, Калужской, Смоленской, Новосибирской, Воронежской, Рязанской, Саратовской и Тамбовской областях. Бешенство отмечалось у лис — 47 случаев, собак — 32 случая, кошек — 23 случая, енотовидных собак — 19 случаев, мышей — 4 случая, мелкого рогатого скота — 3 случая, крупного рогатого скота — 1 случай, белок — 1 случай, волков — 1 случай, летучих мышей — 1 случай[78].
21 апреля 2020 года Управление Россельхознадзора по Забайкальскому краю сообщило, что с начала 2020 года на территории края имеется 4 очага бешенства в Борзинском районе[79].
В 2021 году бешенство диагностировали у шести человек, в 2020 году было зафиксировано семь случаев бешенства у населения[80].
В 2025 году по сообщениям СМИ в разных регионах России наблюдается дефицит вакцины от бешенства[81][82][83].
Клиническая картина

Инкубационный период
Инкубационный период составляет от 10 дней до 3-4 (но чаще — 1-3) месяцев, в некоторых случаях — до одного года. У иммунизированных людей в среднем он длится 77 дней, у неиммунизированных — 54 дня. Описаны единичные случаи крайне продолжительного инкубационного периода. Так, инкубационный период составил 4 и 6 лет после иммиграции в США у двух выходцев из Лаоса и Филиппин; выделенные у этих больных штаммы вируса отсутствовали у животных в США, но присутствовали в регионах происхождения иммигрантов. В некоторых случаях длительного инкубационного периода бешенство развивалось под влиянием какого-либо внешнего фактора: падения с дерева через 5 лет после заражения, удара электрическим током через 444 дня[84].
Вероятность развития бешенства зависит от различных факторов: вида укусившего животного, количества попавшего в организм вируса, состояния иммунной системы и других. Наиболее короткий инкубационный период характерен для укусов в область лица, головы, промежности, гениталий, наиболее длительный — для одиночных укусов в туловище и нижние конечности[6].
Симптомы болезни
В типичном случае болезнь имеет три периода[6]:
- Продромальный (ранний период).
- Длится 1-3 дня. Сопровождается повышением температуры до 37,2-37,3 °C, угнетённым состоянием, плохим сном, бессонницей, беспокойством больного. Ощущается боль в месте укуса.
- Стадия разгара (агрессия).
- Длится 1-4 дня. Выражается в резко повышенной чувствительности к малейшим раздражениям органов чувств: яркий свет, различные звуки, шум вызывает судороги мышц конечностей. Появляются водобоязнь, аэрофобия, галлюцинации, бред, чувство страха. Больные становятся агрессивными, буйными, повышается слюноотделение.
- Период параличей (мнимого улучшения).
- Наступает паралич глазных мышц, нижних конечностей, а также скуловых мышц (отвисшая челюсть).
- Начинает проявляться извращённый аппетит (несъедобное, опасное в желудке).
- Личности как состояния уже не существует.
- Паралич дыхательных мышц вызывает смерть (удушье).
Общая продолжительность болезни — от 3 до 7 дней, изредка 2 недели и более[6].
В ряде случаев болезнь протекает атипично, с отсутствием или нечёткой выраженностью ряда симптомов (например, без возбуждения, гидро- и аэрофобии, начинаясь сразу с развития параличей). Диагностика таких форм бешенства затруднена, окончательно диагноз иногда удаётся поставить лишь после посмертного исследования. Не исключено, что ряд случаев атипичного бешенства вообще не диагностируется как бешенство. Продолжительность болезни при паралитическом бешенстве, как правило, дольше[85].
Диагностика
Имеющиеся на данный момент средства диагностики не подходят для выявления инфицирования бешенством на этапе до появления клинических симптомов болезни[86].
Прижизненный диагноз бешенства может быть подтверждён определением вирусного антигена в первые дни болезни методом флюоресцирующих антител в отпечатках роговицы или в биоптатах кожи затылка, а также определением антител после 7-10-го дня болезни в РН. У невакцинированных больных диагноз бешенства подтверждает четырёхкратное нарастание титра антител при исследовании парных сывороток. У вакцинированных больных при постановке диагноза опираются на абсолютный уровень нейтрализующих антител в сыворотке, а также на присутствие этих антител в СМЖ[6].
С диагностической целью используют также ПЦР для обнаружения РНК вируса бешенства в биоптате мозга. Посмертный диагноз бешенства может быть установлен или подтверждён гистологическим обнаружением телец Бабеша — Негри в мазках-отпечатках головного мозга. Биологический метод основан на заражении исследуемым материалом лабораторных животных (сосунков белых мышей, сирийских хомячков) и обнаружении телец Бабеша — Негри после гибели животных в мозговой ткани; ответ может быть получен через 25-30 дней. Используют также иммунологические методы — метод флюоресцирующих антител или ИФА, а также вирусологический метод, основанный на выделении и идентификации вируса бешенства[6].
Патологоанатомические изменения у животных
Трупы животных, павших от бешенства, истощены. Часто обнаруживают расчёсы, следы укусов. Шерсть в области нижней челюсти, шеи, подгрудка смочена слюной и загрязнена. Слизистые оболочки верхних дыхательных путей и пищеварительного тракта катарально воспалены. На слизистой рта и языка могут быть эрозии, покрытые серыми корочками подсохшей слизи. Желудок свободен от пищевых масс. Слизистая оболочка желудка, особенно по складкам, покрасневшая, с кровоизлияниями и эрозиями. Головной мозг и его оболочки отёчны, местами видны точечные кровоизлияния. Кровеносные сосуды мозга расширены[87].
Профилактика

Профилактика бешенства заключается в борьбе с бешенством среди животных: вакцинации (домашних, бездомных и диких животных), установлении карантина и т. д. Людям, укушенным бешеными или неизвестными животными, местную обработку раны необходимо проводить немедленно или как можно раньше после укуса или повреждения; рану обильно промывают водой с мылом (детергентом) и обрабатывают 40-70-градусным спиртом или раствором йода, при наличии показаний вводят антирабический иммуноглобулин вглубь раны и в мягкие ткани вокруг неё, после местной обработки раны немедленно проводят специфическое лечение, которое заключается в лечебно-профилактической иммунизации антирабической вакциной[88][89].
В 1881 году, работая в области иммунологии, Луи Пастер получил вакцину против бешенства путём многократного перепрививания вируса кроликам. В 1885 году он впервые применил вакцину на мальчике, укушенном бешеной собакой. Мальчик не заболел[90][91].
В СССР первая лаборатория, выполнявшая профилактические прививки против бешенства, была открыта в Одессе[92].
Вакцины, используемые в XXI веке, как правило, вводятся 6 раз: инъекции делаются в день обращения к врачу (0-й день), а затем — на 3-й, 7-й, 14-й, 30-й и 90-й дни[93]. Если за укусившим животным удалось установить наблюдение и в течение 10 суток после укуса оно осталось здоровым, то дальнейшие инъекции прекращают. В период вакцинации также необходимо ограничить употребление в пищу продуктов, способных вызвать у пациента аллергическую реакцию[89].
В настоящее время[когда?] на территории РФ зарегистрировано 6 вакцин против бешенства (5 наименований российского производства и одно — индийского) и 4 антирабических иммуноглобулина (два российского производства и по одному — китайского и украинского). Основной вакциной для иммунизации людей является КОКАВ (концентрированная культуральная антирабическая вакцина)[89], производством которой занимаются НПО «Иммунопрепарат»[94] и предприятие ИПВЭ им. Чумакова РАМН[95].
В случае укуса, полученного от животного, необходимо немедленно обратиться в ближайший травмпункт, так как успех вакцинопрофилактики бешенства сильно зависит от того, насколько быстро начато лечение. Желательно сообщить врачу в травмпункте следующую информацию — описание животного, его внешний вид и поведение, наличие ошейника, обстоятельства укуса. Затем следует провести курс прививок, назначенный врачом. В стационаре могут оставить укушенного, если его состояние особенно тяжёлое, прививающихся повторно, а также лиц, имеющих заболевание нервной системы или аллергические заболевания, беременных и лиц, привитых другими прививками в течение последних двух месяцев[96].
Ранее пациенту, который получал курс вакцины Ферми (до 1975 года[97]) для профилактики бешенства, запрещалось употребление любых спиртных напитков на протяжении всего курса прививок и шести месяцев после его окончания. Также необходимо было избегать переохлаждения, переутомления, перегревания в течение всего курса прививок[88]. В современной культуральной вакцине («КОКАВ») таких запретов нет.[97]
Людям, которые имеют высокий риск заражения бешенством, рекомендуется профилактическая иммунизация. Первичный курс вакцинации: внутримышечно три дозы (0-й, 7-й и 30-й день), затем ревакцинация одной дозой через год и далее одной дозой каждые три года. Людям, постоянно подвергающимся риску заражения, рекомендуется раз в полгода сдавать анализ крови на уровень специфических антител. Тем, кто подвергается риску часто, — раз в два года. При снижении уровня антител ниже критического 0,5 МЕ/мл им необходима ревакцинация[88].
С целью предупреждения заражения бешенством охотникам рекомендуется получить курс профилактических прививок против бешенства, воздержаться от снятия шкур и разделки тушек животных до получения результатов исследования убитых животных на бешенство из ветеринарной лаборатории. Не допускать к охоте на диких животных невакцинированных собак. С целью предотвращения заболевания бешенством необходимо проводить ежегодную профилактическую вакцинацию против бешенства собак независимо от их принадлежности, а при необходимости — мышей и кошек[96].
Чтобы минимизировать риски заражения бешенством, Роспотребнадзор призывает граждан соблюдать следующие правила[98]:
- приобретать животных только в специализированных организациях при наличии ветеринарного освидетельствования;
- обязательно проводить вакцинацию против бешенства домашних и сельскохозяйственных животных;
- избегать контактов с безнадзорными животными, не кормить их с рук, не гладить;
- не осуществлять самостоятельно забой и уничтожение павших сельскохозяйственных и домашних животных без ветеринарного освидетельствования;
- незамедлительно обращаться за оказанием антирабической помощи в случае получения укусов, ослюнений и при контакте с неизвестным животным.
Лечение
До 2005 года не было известно эффективных методов лечения бешенства в случае появления клинических признаков заболевания. Приходилось ограничиваться чисто симптоматическими средствами для облегчения мучительного состояния. Двигательное возбуждение снимали успокаивающими (седативными) средствами, судороги устраняли курареподобными препаратами. Дыхательные расстройства компенсировали посредством трахеостомии и подключения больного к аппарату искусственного дыхания[6].
Первый случай излечения невакцинированного пациента путём компенсации симптомов заболевания был произведён в 1970 году[99].
Лечение с помощью искусственной комы «протокол Милуоки»
Существует вариант лечения, представляющий собой введение пациента в медикаментозную кому и поддержание его жизни до тех пор, пока иммунная система организма не справится с вирусом. Впервые такое лечение было использовано в больнице в Милуоки в 2004 году и названо «протокол Милуоки». Его эффективность составляет от 20 до 25 %[99].
В 2005 году 15-летняя девушка из США Джина Гис смогла выздороветь после заражения вирусом бешенства без вакцинации, когда лечение было начато уже после появления клинических симптомов. При лечении девушка была введена в искусственную кому, и затем ей были введены препараты, стимулирующие иммунную активность организма. Метод базировался на предположении, что вирус бешенства вызывает не необратимые поражения центральной нервной системы, а лишь временное расстройство её функций, и, таким образом, если временно «отключить» бо́льшую часть функций мозга, то организм постепенно сможет выработать достаточное количество антител, чтобы победить вирус. После недели нахождения в коме и последующего лечения Гис через несколько месяцев была выписана из больницы без признаков поражения вирусом бешенства[27][100].
Последующие попытки использовать тот же метод на других пациентах не привели к стабильному успеху — выживала приблизительно пятая часть пациентов. Среди медиков до сих пор не прекращаются дискуссии о том, почему выздоровела Джина Гис; некоторые учёные предполагают, что она была заражена другим штаммом вируса, менее опасным для человека, чем обычный. При проведении эпидемиологических расследований оказалось, что пациентов, которых удалось вылечить с помощью Милуокского протокола, кусали летучие мыши[29].
На 2020 год милуокский протокол был применён к 35 пациентам[99].
Бразильский протокол
Сообщается, что в Бразилии также разработан протокол с использованием искусственной комы. Было спасено двое человек: Марсиано Мендес и Матеос дос Сантус да Сильва.[101] В отличие от милуокского протокола, вывод пациента из комы осуществляется в зависимости от титров антител в спинномозговой жидкости.[102]
Разработка лекарства
28 сентября 2023 года, как пишет «ЕМВО», был впервые отмечен прогресс в поиске лекарства от бешенства.
Исследователи обнаружили, что введение специально разработанных моноклональных антител F11 на 5-й день после заражения вирусом приводило к регрессированию симптомов бешенства и увеличению выживаемости, и это касалось 67 % случаев. На 7-й день после заражения лечение помогло в 50 % случаев. В то же время все мыши, оставшиеся заражёнными бешенством и не получившие лечение, умерли.
Хотя учёным пока не удалось полностью вывести вирус из мозга экспериментальных животных, симптомы заболевания исчезли, и вирусная нагрузка в их организме оставалась на низком уровне ещё в течение 4 месяцев после заражения[103].
Всемирный день борьбы против бешенства

Всемирный день борьбы против бешенства (англ. World Rabies Day), или Всемирный день борьбы с бешенством — памятная дата, отмечаемая ежегодно[30]. Входит в систему международных дней ООН. Всемирный день борьбы против бешенства ежегодно проводится 28 сентября и приурочен ко дню смерти Луи Пастера.
Прогноз
Неблагоприятный, при проявлении первых симптомов пациент умирает практически в 100 % случаев.
См. также
- Вирус арктического бешенства (син.: полярное бешенство, дикование, вирусный арктический энцефаломиелит плотоядных)
- Лагосский лиссавирус летучих мышей (син.: бешенство летучих мышей)
- Псевдобешенство
Примечания
- ↑ Disease Ontology (англ.) — 2016.
- ↑ Monarch Disease Ontology release 2018-06-29 — 2018-06-29 — 2018.
- ↑ Бешенство // Энциклопедический словарь Брокгауза и Ефрона : в 86 т. (82 т. и 4 доп.). — СПб., 1890—1907.
- ↑ Sherris medical microbiology : an introduction to infectious diseases. — 4th ed. — New York: McGraw-Hill, 2004. — xiii, 979 pages с. — ISBN 0-8385-8529-9, 978-0-8385-8529-0, 0-07-121245-0, 978-0-07-121245-8.
- ↑ Stefan Finke, Karl-Klaus Conzelmann. Replication strategies of rabies virus (англ.) // Virus Research. — 2005-08. — Vol. 111, iss. 2. — P. 120–131. — ISSN 0168-1702. — doi:10.1016/j.virusres.2005.04.004. Архивировано 18 октября 2022 года.
- ↑ 1 2 3 4 5 6 7 8 9 10 11 12 13 14 Гаврилов А. В., Зотова А. В. Учебное пособие «Бешенство». — Благовещенск, 2020. — 38 с. Архивировано 3 марта 2022 года.
- ↑ 1 2 3 Rabies Post-Exposure Prophylaxis. Centers for Disease Control and Prevention (CDC) (23 декабря 2009). Дата обращения: 30 января 2010. Архивировано из оригинала 1 февраля 2010 года.
- ↑ Shani Gluska, Eitan Erez Zahavi, Michael Chein, Tal Gradus, Anja Bauer. Rabies Virus Hijacks and accelerates the p75NTR retrograde axonal transport machinery // PLoS pathogens. — 2014-08. — Т. 10, вып. 8. — С. e1004348. — ISSN 1553-7374. — doi:10.1371/journal.ppat.1004348. Архивировано 11 октября 2022 года.
- ↑ Ramzi S. Cotran. Robbins pathologic basis of disease.. — 6th ed.. — Philadelphia: Saunders, 1999. — xv, 1424 pages с. — ISBN 0-7216-7335-X, 978-0-7216-7335-6, 0-7216-0187-1, 978-0-7216-0187-8. Архивировано 14 декабря 2019 года.
- ↑ The Natural history of rabies. — 2nd ed. — Boca Raton: CRC Press, 1991. — 620 pages с. — ISBN 0-8493-6760-3, 978-0-8493-6760-1.
- ↑ 1 2 3 Вирус бешенства : [арх. 28 июля 2020]. — ФБУЗ «Центр гигиены и эпидемиологии в ХМАО-Югре».
- ↑ Бешенство у животных. Симптомы бешенства собак, кошек и человека. Дата обращения: 22 июня 2015. Архивировано 1 июля 2015 года.
- ↑ F. Cliquet, E. Picard-Meyer. Rabies and rabies-related viruses: a modern perspective on an ancient disease // Revue Scientifique Et Technique (International Office of Epizootics). — 2004-08. — Т. 23, вып. 2. — С. 625–642. — ISSN 0253-1933. — doi:10.20506/rst.23.2.1514. Архивировано 11 августа 2022 года.
- ↑ Hassan Badrane, Noël Tordo. Host Switching in Lyssavirus History from the Chiroptera to the Carnivora Orders (англ.) // Journal of Virology. — 2001-09. — Vol. 75, iss. 17. — P. 8096–8104. — ISSN 1098-5514 0022-538X, 1098-5514. — doi:10.1128/JVI.75.17.8096-8104.2001. Архивировано 29 августа 2022 года.
- ↑ Cécile Troupin, Laurent Dacheux, Marion Tanguy, Claude Sabeta, Hervé Blanc. Large-Scale Phylogenomic Analysis Reveals the Complex Evolutionary History of Rabies Virus in Multiple Carnivore Hosts // PLoS pathogens. — 2016-12. — Т. 12, вып. 12. — С. e1006041. — ISSN 1553-7374. — doi:10.1371/journal.ppat.1006041. Архивировано 10 октября 2022 года.
- ↑ Вальтер Скотт. Квентин Дорвард. — Family Leisure Club, 1958. — 355 с. — ISBN 9789661469500.
- ↑ Грекова Т.И. Библия и медицина о здоровье и болезнях. — ОЛМА Медиа Групп, 2005. — 328 с. — ISBN 9785765439210.
- ↑ Лев Шильников. Сезонные заболевания. Лето. — Litres, 2017-09-05. — 617 с. — ISBN 9785457264731.
- ↑ Файбусович Г. Мемуар о Пастере // Химия и жизнь. — 1972. — № 11. — С. 78—85. Архивировано 9 ноября 2018 года.
- ↑ Хаггард Г. От знахаря до врача. История науки врачевания. — Litres, 2017-09-05. — 502 с. — ISBN 9785457184749.
- ↑ Энгельгардт М. А. Луи Пастер. Его жизнь и научная деятельность. — Litres, 2017-09-05. — 146 с. — ISBN 9785425082152.
- ↑ Dubos, René Jules. Louis Pasteur: Freelance Of Science. — Little, Brown and Company, 1950.
- ↑ Поль де Крайф. Охотники за микробами. — М.: Издательство ЦК ВЛКСМ, 1957. — С. 153.
- ↑ 1 2 Шерстнева Е. В. Первые пастеровские станции в России // Проблемы социальной гигиены, здравоохранения и истории медицины. — 2012. — Вып. 2. — ISSN 0869-866X. Архивировано 12 февраля 2020 года.
- ↑ Андрюшкевич Т. В., Мазинг Ю. А. Создание Института, подобного пастеровскому в Париже (к 125-летию Указа императора Александра III) // Вестник Санкт-Петербургского университета. Серия 11. Медицина. — 2013. — Вып. 4. — С. 230. — ISSN 1818-2909. Архивировано 30 марта 2019 года.
- ↑ Воинов Л. И. О предохранительной прививке бешенства в лаборатории Пастера // Врач. — 1886. — № 28. — С. 511.
- ↑ 1 2 3 Как пережить бешенство без особых стараний (на английском языке). Дата обращения: 29 апреля 2020. Архивировано 17 августа 2017 года.
- ↑ В Бразилии 15-летний мальчик вылечился от бешенства. MedPortal.ru (17 ноября 2008). Дата обращения: 17 января 2020. Архивировано 1 сентября 2017 года.
- ↑ 1 2 3 Водовозов, 2012.
- ↑ 1 2 3 ВОЗ, 2019.
- ↑ Wong, Derek. Rabies (англ.). Wong's Virology. Дата обращения: 19 марта 2009. Архивировано 3 декабря 2008 года.
- ↑ Campbell, James B. Developments in Veterinary Virology: Rabies / James B. Campbell, K.M. Charlton. — Springer, 1988. — P. 48. — ISBN 978-0-89838-390-4.
- ↑ Shannon LM, Poulton JL, Emmons RW, Woodie JD, Fowler ME (April 1988). Serological survey for rabies antibodies in raptors from California. Journal of Wildlife Diseases. 24 (2): 264–7. doi:10.7589/0090-3558-24.2.264. PMID 3286906.
- ↑ 1 2 3 4 Андамов И.Ш., Зиёев О.М., Субботина И.А. Эпизоотическая ситуация по бешенству в республике Таджикистан // Ученые записки УО ВГАВМ. — 2017. — Т. 53, № 1.
- ↑ The rabies risk : [англ.] : [арх. 14 марта 2009] // The Times of India : газ.. — 2005. — 4 May.
- ↑ Rabies. Other Wild Animals: Terrestrial carnivores: raccoons, skunks and foxes. 1600 Clifton Rd, Atlanta, GA 30333, USA: Centers for Disease Control and Prevention. Дата обращения: 23 декабря 2010. Архивировано 15 февраля 2012 года.
- ↑ Шувалова, Е. П. Инфекционные болезни. — 5-е изд., перераб. и доп. — М. : Медицина, 2001. — 624 с. : илл. — (Учебная литература для студентов медицинских вузов).
- ↑ Taylor P.J. A systematic and population genetic approach to the rabies problem in the yellow mongoose (Cynictis penicillata) (англ.) // Onderstepoort J. Vet. Res. : journal. — 1993. — December (vol. 60, no. 4). — P. 379—387. — PMID 7777324.
- ↑ Большая медицинская энциклопедия : в 30 т. — Т.3. — М., 1976. — С. 110.
- ↑ The Merck Manual. — 11th. — 1983. — P. 183.
- ↑ The Merck manual of Medical Information. — Second Home. — 2003. — P. 484.
- ↑ Turton, Jenny. Rabies: a killer disease (англ.). National Department of Agriculture (2000). Архивировано 23 сентября 2006 года.
- ↑ Jackson, Alan C. Rabies / Alan C. Jackson, William H. Wunner. — Academic Press, 2002. — P. 290. — ISBN 978-0-12-379077-4.
- ↑ The 5-Minute Neurology Consult. — Lippincott Williams & Wilkins, 2012. — P. 414–. — ISBN 978-1-4511-0012-9. Архивная копия от 14 января 2023 на Wayback Machine Источник. Дата обращения: 29 августа 2022. Архивировано 14 января 2023 года.
- ↑ Davis, Larry Ernest. Fundamentals of neurologic disease / Larry Ernest Davis, Molly K. King, Jessica L. Schultz. — Demos Medical Publishing, 15 June 2005. — P. 73. — ISBN 978-1-888799-84-2.
- ↑ Алексей Водовозов. Побеждая бешенство // Популярная механика. — 2012. — № 12. Архивировано 31 августа 2022 года.
- ↑ Ветеринарный энциклопедический словарь — Бешенство Архивная копия от 12 октября 2008 на Wayback Machine
- ↑ Бешенство (гидрофобия) - это вирусное заболевание, возникающее после укуса зараженного животного (недоступная ссылка — история). Управление здравоохранения при Министерстве здравоохранения РС (11 марта 2020).
- ↑ Romero, Simon. Mystery Disease Kills Dozens in Venezuela : [англ.] : [арх. 30 июня 2018] // The New York Times : газ.. — 2008. — 6 August.
- ↑ OMS, 2018, p. 202.
- ↑ Алманиязова С. Ж. Бешенство // Медицинский журнал Западного Казахстана. — 2012. — Вып. 2 (34). — С. 8. — ISSN 1814-5620. Архивировано 13 августа 2020 года.
- ↑ WHO, 2018, p. 120—124.
- ↑ Unis contre la rage (фр.). OIE Bulletin (10 августа 2019). Дата обращения: 29 августа 2022. Архивировано 29 мая 2022 года.
- ↑ Dugan E (2008-04-30). Dead as a dodo? Why scientists fear for the future of the Asian vulture. The Independent. London. Архивировано из оригинала 17 мая 2008. Дата обращения: 1 сентября 2022.
India now has the highest rate of human rabies in the world.
- ↑ 1 2 Harris G (2012-08-06). Where Streets Are Thronged With Strays Baring Fangs. New York Times. Архивировано 8 августа 2012. Дата обращения: 1 сентября 2022.
- ↑ Medicine challenges Indian superstition | Asia | DW.DE | 31.12.2012 Архивировано 31 января 2013 года.
- ↑ «Essential rabies maps» Архивировано 17 февраля 2010 года.. World Health Organization (WHO).
- ↑ Лищук, Олег. В Новой Зеландии впервые зарегистрировали смерть от бешенства : [рус.] : [арх. 30 марта 2023] // N + 1 : электр. изд.. — 2023. — 31 марта.
- ↑ CDC – Rabies Surveillance in the U.S.: Human Rabies – Rabies (англ.). www.cdc.gov. Дата обращения: 10 апреля 2017. Архивировано 18 января 2017 года.
- ↑ Fox M (2007-09-07). U.S. free of canine rabies virus. Reuters. Архивировано 17 мая 2017. Дата обращения: 1 сентября 2022.
"We don't want to misconstrue that rabies has been eliminated – dog rabies virus has been," CDC rabies expert Dr. Charles Rupprecht told Reuters in a telephone interview.
- ↑ 1 2 Pieracci EG, Pearson CM, Wallace RM, Blanton JD, Whitehouse ER, Ma X, et al. (June 2019). Vital Signs: Trends in Human Rabies Deaths and Exposures - United States, 1938-2018. MMWR. Morbidity and Mortality Weekly Report. 68 (23): 524–528. doi:10.15585/mmwr.mm6823e1. PMC 6613553. PMID 31194721.
- ↑ A Man Died From Rabies In Illinois. Here's Why That's So Unusual In The U.S. NPR (29 сентября 2021). Дата обращения: 1 сентября 2022. Архивировано 4 мая 2022 года.
- ↑ SURVEILLANCE REPORT - Annual Epidemiological Report for 2015 - Rabies, ECDC (European Centre for Disease Prevention and Control). Дата обращения: 30 августа 2018. Архивировано 31 августа 2018 года.
- ↑ 1 2 Grambo, Rebecca L. The World of the Fox. — Vancouver : Greystone Books, 1995. — P. 94–5. — ISBN 978-0-87156-377-4.
- ↑ Switzerland ended rabies epidemic by air dropping vaccinated chicken heads from helicopters / thefactsource.com (20 ноября 2019). Дата обращения: 10 декабря 2019. Архивировано 6 августа 2020 года.
- ↑ Rabies in Africa: The RESOLAB network (29 июня 2015). Дата обращения: 18 апреля 2016. Архивировано 3 августа 2016 года.
- ↑ Ministero della Salute: "Italia è indenne dalla rabbia". l'Ultimo caso nel 2011 - Quotidiano Sanità. Дата обращения: 18 апреля 2016. Архивировано 3 июня 2016 года.
- ↑ Rabies. NHS (23 февраля 2017). Дата обращения: 30 августа 2018. Архивировано 31 августа 2018 года.
- ↑ Q&A: Rabies. BBC News. 2015-04-17. Архивировано 23 сентября 2018. Дата обращения: 1 сентября 2022.
- ↑ Cómo México se convirtió en el primer país del mundo libre de rabia transmitida por perros. BBC News (12 ноября 2019). Дата обращения: 12 ноября 2019. Архивировано 1 декабря 2019 года.
- ↑ 1 2 В Казани за неделю бездомные собаки загрызли трёх человек. NEWSru (14 сентября 2005). Дата обращения: 13 августа 2010. Архивировано 7 апреля 2011 года.
- ↑ МК.ру: В распространении бешенства виноваты женщины 3 июля 2009. Дата обращения: 20 ноября 2011. Архивировано 29 января 2013 года.
- ↑ «В Подмосковье возросла опасность заразиться бешенством». РИА Новости (31 марта 2009). Дата обращения: 13 августа 2010. Архивировано 15 февраля 2012 года.
- ↑ Школьница умерла после укуса кошки - Происшествия и инциденты в России и мире - МК. Дата обращения: 2 февраля 2013. Архивировано 11 февраля 2013 года.
- ↑ Статистика заболеваний бешенством в России на I квартал 2013 года Архивировано 4 октября 2013 года.
- ↑ Во Владимирской области мужчина скончался от бешенства. Дата обращения: 4 октября 2013. Архивировано 5 октября 2013 года.
- ↑ В Комсомольске-на-Амуре продолжается реализация ограничительных мероприятий по бешенству животных. Дата обращения: 17 июля 2013. Архивировано 4 марта 2016 года.
- ↑ Саратовская область вошла в список неблагополучных по бешенству 9 ЯНВАРЯ 2020. Дата обращения: 11 марта 2020. Архивировано 22 января 2021 года.
- ↑ Карантин по бешенству объявлен еще в двух районах Забайкальского края | Лента новостей. news.zabaikalskadm.ru. Дата обращения: 26 августа 2020.
- ↑ Юлия Макеева. В России шесть человек заразились бешенством в 2021 году. Ветеринария и жизнь (18 февраля 2022). Дата обращения: 1 сентября 2022. Архивировано 1 сентября 2022 года.
- ↑ Эксперты рассказали, когда в ветаптеки вернутся российские вакцины от бешенства — Парламентская газета
- ↑ В Новосибирске пропали вакцины для кошек и собак — 25 мая 2025 | НГС.ру
- ↑ https://newizv.ru/news/2025-05-24/vse-ukushennye-umrut-k-chemu-mozhet-privesti-defitsit-vaktsin-ot-beshenstva-436958
- ↑ Б. Ю. Могилевский. Практическая рабиология с практикумом по антирабическим назначениям. Херсон, 2009. ISBN 978-966-8222-79-5 Глава 6.1. Инкубационный период
- ↑ Б. Ю. Могилевский. Практическая рабиология с практикумом по антирабическим назначениям. Херсон, 2009. ISBN 978-966-8222-79-5 Глава 6.3. Атипичное течение гидрофобии
- ↑ ВОЗ — Бешенство — Основные факты. Дата обращения: 10 ноября 2024. Архивировано 10 декабря 2019 года.
- ↑ Р.Ф.Сосов и др. Эпизоотология. — М.: Колос, 1969. — 400 с.
- ↑ 1 2 3 Наумов Ю.Н. (врач-терапевт). Вакцина для профилактики бешенства. Инструкция по применению лекарств, аналоги, отзывы (3 июня 2017). Дата обращения: 21 марта 2022. Архивировано 16 февраля 2020 года.
- ↑ 1 2 3 Б. Ю. Могилевский. Практическая рабиология с практикумом по антирабическим назначениям. Херсон, 2009. ISBN 978-966-8222-79-5 Глава 9. Специфическая профилактика гидрофобии
- ↑ Левит М. М. Победа над бешенством // Наука и жизнь : журнал. — 1960. — № 7. — С. 60—62.
- ↑ Первые опыты вакцинации. Специалисты о прививках. Национальная ассоциация специалистов по контролю инфекций, связанных с оказанием медицинской помощи (НАСКИ) (28 января 2019). Дата обращения: 21 апреля 2019. Архивировано 29 апреля 2019 года.
- ↑ В. Летов. Луи Пастер и смоляне // «Известия» от 11 января 1988.
- ↑ Вакцина антирабическая культурная сухая концентрированная очищенная инактивированная. Институт полиомиелита и вирусных энцефалитов им. М. П. Чумакова РАМН, Россия. Formed MMC. Дата обращения: 12 января 2010. Архивировано 19 июня 2009 года.
- ↑ Вакцина антирабическая культуральная концентрированная очищенная инактивированная. Микроген. Дата обращения: 1 сентября 2022. Архивировано 1 сентября 2022 года.
- ↑ Вакцина антирабическая культуральная концентрированная очищенная инактивированная сухая. ФГБНУ «ФНЦИРИП им. Чумакова РАН». Дата обращения: 1 сентября 2022. Архивировано 1 сентября 2022 года.
- ↑ 1 2 Профилактика бешенства. Управление Федеральной службы по надзору в сфере защиты прав потребителей и благополучия человека по Ямало-Ненецкому автономному округу. Дата обращения: 1 сентября 2022. Архивировано 10 июня 2022 года.
- ↑ 1 2 Проф. Никифоров — Бешенство Клиника, диагностика, лечение, профилактика. Дата обращения: 29 ноября 2023. Архивировано 9 января 2024 года.
- ↑ О профилактике бешенства. Управление Федеральной службы по надзору в сфере защиты прав потребителей и благополучия человека по городу Санкт-Петербургу (09.04.21). Дата обращения: 30 ноября 2022. Архивировано 1 сентября 2022 года.
- ↑ 1 2 3 Андреева, 2021.
- ↑ Rodney E. Willoughby, Jr. Survival after Treatment of Rabies with Induction of Coma : [англ.] : [арх. 7 декабря 2019] / Rodney E. Willoughby, Jr., Kelly S. Tieves, George M. Hoffman … [et al.] // The new england journal of medicine : журн.. — 2005. — Vol. 352, no. 24 (16 June). — P. 2508−2514. — doi:10.1056/NEJMoa050382.
- ↑ Rabid Brazil teen becomes 5th person in world to be cured of deadly disease. Дата обращения: 29 ноября 2023. Архивировано 27 ноября 2021 года.
- ↑ Comparing clinical protocols for the treatment of human rabies: the Milwaukee protocol and the Brazilian protocol (Recife). Дата обращения: 29 ноября 2023. Архивировано 13 августа 2023 года.
- ↑ mAb therapy controls CNS‐resident lyssavirus infection via a CD4 T cell‐dependent mechanism | EMBO Molecular Medicine. Дата обращения: 16 декабря 2023. Архивировано 12 октября 2023 года.
Литература
- Бешенство : [арх. 11 февраля 2013] : Информационный бюллетень. — ВОЗ, 2019. — 27 сентября.
- Бешенство: (этиология, патогенез, и профилактика) / Академия медицинских наук СССР, Институт вирусологии им. Д. И. Ивановского; ред.: П. Н. Косякова, Р. М. Шён, Л. П. Горшуновой. — М.: Государственное издательство медицинской литературы, 1958. — 218 с.
- Валлери-Радо Р. Жизнь Пастера / сокр. пер. с посл. франц. изд. А. Н. Калитеевской; под ред. с предисл. чл.-корр. АН СССР Н. А. Красильникова. — М.: Издательство иностранной литературы, 1950. — 424 с.
- Зуев В. А. Медленные вирусные инфекции человека и животных / АМН СССР. — М.: Медицина, 1988. — 256 с. — ISBN 5-225-00111-4.
- Поль де Крайф. Охотники за микробами. — М.: Издательство ЦК ВЛКСМ, 1957.
- Токаревич К. Н., Грекова Т. И. По следам минувших эпидемий. — Ленинград: Лениздат, 1986.
- Шевелёв А. С., Николаева Р. Ф. Последний подвиг Пастера. — М.: Медицина, 1988. — 112 с.
- Rabies / Editors: Alan C. Jackson, William H. Wunner. — Second edition. — Academic Press, 2007. — 660 p. — ISBN 9780123693662.
- Водовозов, Алексей. Побеждая бешенство : Вирус бешенства: бич человечества // Популярная механика : журн. — 2012. — № 12 (декабрь).
- В. Седов. Бешенство и борьба с ним // журнал «Охота и охотничье хозяйство», № 7, 1973. стр.22-23
- канд. биол. н. В. Гарбузов, Ю. Яньшин. Волк — носитель и распространитель бешенства // журнал «Охота и охотничье хозяйство», № 9, 1980. стр.6-7
Ссылки
- Бешенство. ВОЗ. Дата обращения: 31 января 2013. Архивировано 21 декабря 2012 года.
- Гомзикова С. На грани бешенства. Свободная пресса (21 мая 2011). Дата обращения: 29 апреля 2020. Архивировано 18 сентября 2018 года.
- Горелова, Л. Е. Из истории борьбы с бешенством : [арх. 6 августа 2020] // Русский медицинский журнал. — 2002 . — № 20 (17 октября). — С. 946.
- Андреева, З. Кома против бешенства : Что такое Милуокский протокол, как с помощью него спасают смертельно больных и почему это так дорого : [арх. 5 августа 2021] // Нож. — 2021. — 5 августа.
- Геном вируса бешенства
