Аденома паращитовидной железы
| Аденома паращитовидной железы | |
|---|---|
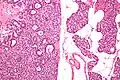
![]() Микропрепарат: слева — аденома паращитовидной железы, справа — неизменённая ткань паращитовидной железы (окраска гематоксилин-эозином). | |
| МКБ-10 | D35.1 |
| МКБ-9 | 227.1 |
| DiseasesDB | 9626 |
| MedlinePlus | 001188 |
| eMedicine | radio/525 |
| MeSH | D010282 |
Адено́ма па́ращитови́дной железы́ (паратиреоаденома, аденома околощитовидной железы) — доброкачественное новообразование паращитовидной железы, в большинстве случаев солита́рное, реже встречаются множественные аденомы паращитовидных желез. Аденома автономно секретирует паратгормон, что проявляется клиникой гиперпаратиреоза[1].
Этиология и патогенез
Согласно современным данным, развитие аденомы паращитовидной железы связывают с двумя типами мутаций[2]:
- I тип — мутация в митотическом контроле;
- II тип — мутация механизма конечного контроля секреции паратгормона кальцием.
Считается, что мутация затрагивает один из генов, кодирующих белки́, участвующие в транспорте кальция в клетки паращитовидных желез (A. M. Parfitt и соавт., 1991). Такая мутантная клетка имеет повышенную секреторную активность и даёт новый клон клеток, количество которых неудержимо увеличивается, приводя к аденоме, обладающей в некоторых случаях автономной секрецией гормона. В других случаях, под воздействием других факторов (низкий уровень кальция или кальцитриола) возникает популяция быстро пролиферирующих клеток паращитовидной железы, что может привести к первичной или вторичной гиперплазии или гиперпластической аденоме, а также к развитию поликлонильной аденомы. Аденома или гиперплазия паращитовидных желез может встречаться как часть множественного эндокринного аденоматоза или неоплазии (МЭА или МЭН I и II)[2].
Эпидемиология
Заболевание редко встречается в возрасте до 20 лет — около половины всех случаев приходится на возрастную группу от 40 до 60 лет, причём женщины заболевают в 2 раза чаще мужчин[2].
Клиническая картина
Аденомы паращитовидных желез имеют размер от вишни до яйца, а масса колеблется от 25 мг до 80—90 г[2].
Различают несколько клинических форм, обусловленных гиперкальциемией[2]:
- костную,
- почечную,
- желудочно-кишечную (язва желудка, панкреатит, холецистит),
- сердечно-сосудистую (артериальная гипертония) и другие.
Патологическая анатомия
Масса аденом колеблется от 100 мг до 30—40 г. Существует прямая зависимость между массой и функциональной активностью аденомы. Паратиреоаденомы — инкапсулированные опухоли чаще всего нижних паращитовидных желез. Поверхность разреза матовая, красно-коричневого цвета; встречаются кровоизлияния и некрозы, где формируются кистозные полости, заполненные жидкостью[1].
Гистологическая картина
-

-
Микропрепарат паращитовидной железы: аденома слева (окраска гематоксилин-эозином). -
Аденома паращитовидной железы (окраска гематоксилин-эозином). -
Аденома паращитовидной железы (окраска гематоксилин-эозином). -
Аденома паращитовидной железы (окраска гематоксилин-эозином).
Паратиреоаденомы из главных клеток образованы крупными полигональными клетками. Цитоплазма их слегка базофильная, мелкозернистая. Ядра крупные полиморфные, встречаются и гигантские, уродливой формы. Строма нежная, обильно васкуляризирована. Критерий наличия аденомы — атрофированная паратиреоидная ткань под капсулой или за ней, а также невозможность обнаружения остальных паращитовидных желез или наличие атрофированных желез. Ультраструктура опухолевых клеток свидетельствует об их высокой функциональной активности и об утрате нормального секрето́рного цикла. В цитоплазме секреторные гранулы и гипертрофированный комплекс Гольджи. Хотя практически во всех клетках выявляется гликоген — нормальные реципрокные взаимоотношения с секреторными гранулами утрачены. В клетках паратиреоаденом в отличие от обычных паратиреоцитов не выявляется цитоплазматический жир[1].
В верхних паращитовидных железах чаще встречаются водянисто-клеточные аденомы, образованные крупными «пустыми» клетками с мелкими гиперхромными яюрами. В них встречаются ацинарные и фолликулярные структуры. Электронная микроскопия выявляет в цитоплазме вакуоли — производные комплекса Гольджи с признаками усиленного синтеза и секреции паратгормона. В физиологических условиях «водянистые» клетки встречаются только у новорожденных[1].
Оксифильно-клеточные паратиреоаденомы — наиболее редкий вариант, встречается при первичном гиперпаратиреозе. По строению они напоминают опухоли из главных клеток, но в них чаще всего формируются крупные со́лидные поля. клетки опухоли богаты митохондриями, характерны признаки синтеза и секреции паратгормона[1].
Паратиреоаденомы чаще всего смешанного строения — образованы всеми тремя типами клеток, однако с преобладанием того или иного типа клеток[1].
Лечение
Хирургическое. До удаления аденомы проводят симптоматическую терапию гиперкальциемии (форсированный диурез, инфузия фосфатов и так далее). Во время и после операции необходимы постоянный контроль сердечной деятельности и регулярное определение уровня кальция в крови. В ходе оперативного вмешательства производят ревизию всех паращитовидных желез (обычно четырёх, но в некоторых случаях встречаются и добавочные железы). Для контрастирования паращитовидных желез во время операции применяется толуидиновый синий или менее токсичный метиленовый синий, дающий более заметное тёмно-серое окрашивание ткани желез[2].
Успешное удаление аденомы паращитовидной железы сопровождается нормализацией концентрации кальция в сыворотке крови на протяжении первых 2 суток. В послеоперационном периоде возможно развитие гипокальциемии, поэтому необходимо иметь паратгормон для парентерального введения[2].
Профилактика послеоперационной тетании
С профилактической целью назначают молочную диету с высоким содержанием кальция и низким — фосфора, препаратов витамина D[2].
См. также
Примечания
- ↑ 1 2 3 4 5 6 Клиническая эндокринология. Руководство / Под ред. Н. Т. Старковой. — 3-е изд., перераб. и доп. — СПб.: Питер, 2002. — С. 187—200. — 576 с. — («Спутник Врача»). — 4000 экз. — ISBN 5-272-00314-4.
- ↑ 1 2 3 4 5 6 7 8 Балаболкин М. И. Эндокринология. — 2-е изд., перераб. и доп. — М.: "Универсум паблишинг", 1998. — С. 342—358. — 582 с. — 10 000 экз. — ISBN 5-7736-0018-8.
