Меланома
| Меланома | |
|---|---|
| |
| МКБ-11 | XH4846 |
| МКБ-10 | C43 |
| МКБ-9 | 172 |
| МКБ-О | 8720/3 |
| OMIM | 155600 |
| DiseasesDB | 7947 |
| MedlinePlus | 000850 |
| eMedicine | derm/257 |
| MeSH | D008545 |
Мелано́ма (лат. melanoma, melanoma malignum ← др.-греч. μέλας «чёрный» + -ομα «опухоль»), уст. меланобласто́ма — злокачественная опухоль, развивающаяся из меланоцитов — пигментных клеток, продуцирующих меланины. Наряду с плоскоклеточным и базальноклеточным раком кожи относится к злокачественным опухолям кожи. Преимущественно локализуется в коже, реже — сетчатке глаза, слизистых оболочках (полость рта, влагалище, прямая кишка). Одна из наиболее опасных злокачественных опухолей человека, часто рецидивирующая и метастазирующая лимфогенным и гематогенным путём почти во все органы. Особенностью является слабая ответная реакция организма или её отсутствие, из-за чего меланома зачастую стремительно прогрессирует. Преимущественно радиогенная опухоль, чаще всего вызываемая облучением кожи ультрафиолетовым излучением.
История
Хотя меланома не является новым заболеванием, сведения о её описании в античные времена крайне скудны.
Американский врач Р. Такингтон (Dr. Roger Turkington) в 1965 году обнаружил ген меланомы человека[1].
Эпидемиология
По данным ВОЗ, в 2000 году во всем мире было диагностировано более 200 000 случаев заболевания меланомой и произошло 65 000 связанных с меланомой случаев смерти[2].
В период с 1998 года по 2008 год прирост заболеваемости меланомой в РФ составил 38,17 %, а стандартизированный показатель заболеваемости вырос с 4,04 до 5,46 на 100 тыс. населения[3]. В 2008 г. в РФ количество новых случаев меланомы кожи составило 7744 человека[3], смертность от меланомы — 3159 человек, а стандартизированный показатель смертности 2,23 человека на 100 тыс. населения[3]. Средний возраст больных меланомой с впервые в жизни установленным диагнозом в 2008 г. в РФ составил 58,7 лет[3]. Наибольшая заболеваемость отмечена в возрасте 75—84 лет.
В 2005 году США зарегистрированы 59 580 новых случаев меланомы и 7700 смертельных случаев, обусловленных этой опухолью. В программе SEER (The Surveillance, Epidemiology, and End Results) отмечается, что заболеваемость меланомой возросла на 600 % с 1950 по 2000 годы.
Согласно этим данным, входит в список редких заболеваний.
Факторы риска и причины

- Ультрафиолетовое излучение: естественное (солнечное) и из искусственных источников (оборудование для загара, электрическая дуга). Является ведущим фактором риска.
- Облучение ионизирующей радиацией, как правило низкоэнергетическим рентгеновским излучением и бета-излучением, лучевые ожоги в анамнезе.
- Фенотип — белая кожа, светлые (голубые) глаза, светлые волосы и розовые веснушки.
- Наличие в анамнезе солнечных ожогов. При этом даже те из них (ожоги), которые были получены в детском, подростковом и юношеском возрасте могут сыграть роковую роль в развитии опухоли в последующие годы.
- Меланоформный невус (синонимы: диспластический меланоцитарный невус, синдром атипического невуса). Относится к доброкачественным новообразованиям кожи.
- Наследственность — семейный анамнез меланомы. В 1987—1989 годах[4][5] первый локус восприимчивости к семейной кожной меланоме (CMM1) был картирован в 36-м бэнде 1-й хромосомы человека (1p36), однако в 1994 году уверенность в связи локуса 1p36 с семейной меланомой поставлена под сомнение[6]. В настоящее время повышенный риск заболеваемости меланомой связывают с нарушением функции супрессоров опухолевого роста, одним из которых является CDKN2A, локус хромосомы 9р21, кодирующий белки p16 и p14ARF и второй — ген CDK4 (cyclin-dependent kinase 4) с локализацией в хромосоме 12q14.

- Невусы — По данным НИИ онкологии им. проф. Н. Н. Петрова, среди больных с установленным фоном для развития меланомы были названы следующие типы невусов: сложный (45 %), пограничный (34 %), интрадермальный (16 %), голубой невус (3,2 %). При этом 70 % невусов были расценены как врожденные, а 30 % — как приобретенные.
- Фактор множественности невусов (более 50) увеличивает риск развития меланомы.
- Пигментная ксеродерма.
- Уже ранее перенесённая меланома.
- Возраст старше 50 лет. Причем у пациентов с диабетом злокачественные опухоли могут быть спутаны с язвами диабетической стопы[7].
Фототипы кожи человека (по Фитцпатрику)
Относительный риск развития меланомы связан с фототипом кожи. При этом наиболее подвержены к развитию опухоли лица с I и II фототипом и наименее с V и VI, что однако не исключает у них полностью вероятность болезни.
| Фототип кожи | Реакция на облучение |
|---|---|
| I | Солнечный ожог всегда возникает после кратковременного (30 мин.) пребывания на солнце; загар никогда не приобретается. |
| II | Солнечные ожоги возникают легко; загар возможен, хотя и с трудом. |
| III | Возможны незначительные ожоги; развивается хороший ровный загар. |
| IV | Никогда не бывает солнечных ожогов; легко возникает загар. |
| V | Смуглая от природы кожа. |
| VI | Чёрная кожа представителей негроидной расы |
Варианты
_at_thigh_Case_01.jpg)
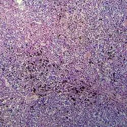
Меланома кожи
Клинические формы:
- Поверхностно-распространяющаяся меланома, 70 % случаев: как правило развивается у женщин, характеризуется горизонтальным ростом и в общем имеет благоприятный прогноз.
- Узловая меланома (нодулярная), 15 %: чаще у мужчин, характеризуется ростом в толщу кожи, считается самым неблагоприятным в плане прогноза типом.
- Акролентигинозная меланома (лат. Acral Lentigo Maligna) 10 %: известна и как подногтевая меланома. Растёт также на кончиках пальцев, ладонях. Встречается чаще всего у темнокожих лиц.
- Лентигинозная меланома, (лат. Lentigo Maligna, злокачественная веснушка Хатчинсона, меланоз Дюбрейля) 5 %: развивается на фоне пигментного пятна (родинки), как правило на лице, главным образом у женщин. Характеризуется горизонтальным, медленным ростом и имеет наиболее благоприятный прогноз.
- Ахроматическая меланома (беспигментная) очень редко.
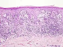
Другие меланомы
.jpg)
- Меланома сетчатки глаза
- Лентигинозная меланома слизистых оболочек — 1 % от общего числа меланом. Встречается в полости носа, рта, перианальной и вульвовагинальной областях. Характеризуется выраженной, неравномерной пигментацией.
- Малигнизированная меланома мягких тканей (англ. malignant melanoma of soft parts или clear cell sarcoma) — растёт на связках и апоневрозах. Встречается во всех возрастных группах, в том числе у детей и подростков.
Подозрение на меланому
В большинстве случаев невозможно определить макроскопически тип невуса (родинки). Важно, однако, вовремя заметить изменения которые могут характеризовать озлокачествление. Такими изменениями могут быть:
- Чувство зуда в области невуса.
- Выпадение волос с его поверхности.
- Изменение цвета.
- Изъязвление.
- Увеличение размера.
- Изменение очертаний родинки.
- Исчезновение исчерченности кожи в области невуса.
- Кровотечение с его поверхности.
- Узлообразование.
Диагноз
- Дерматоскопия — самая ранняя диагностика меланомы. Проводится как с помощью простой лупы, так и с помощью дерматоскопа (эпилюминисцентного микроскопа) делающего прозрачным роговой слой эпидермиса. При этом можно с высокой вероятностью определить, является ли невус опасным или нет на основании системы ABCDE, предложенной Friedman в 1985 году.
- A — asymmetry, асимметричность родинки
- B — border irregularity, неровный край
- C — color, неодинаковый цвет разных частей родинки
- D — diameter, диаметр родинки более 6 миллиметров
- E — evolving, изменчивость родинки
На сегодняшний день разработанные компьютерные системы микродермоскопии повышают уровень ранней диагностики меланомы с 60 % до 90 %, но часто только в экспериментальных условиях.
- Окончательный диагноз меланомы может быть установлен только после гистологического исследования, проведённого после тотального удаления невуса (опухоли) с достаточным захватом здоровых тканей. Предоперационная биопсия с помощью иглы или частичного удаления противопоказана, во избежание распространения меланомы. Определяется глубина прорастания (Clark, Breslow) и митотический индекс.
- ЛДГ — лактатдегидрогеназа, помогает установить наличие метастазов в печени.
- Компьютерная томография, магнитно-ядерный резонанс и сцинтиграфия (радиоизотопное исследование) c изотопом фосфора применяется для обнаружения метастазов в лимфоузлах и других органах.
Метастазы


Опухоль метастазирует лимфогенным и гематогенным путём. Клетки опухоли, распространяясь по лимфатическим сосудам, образуют первые метастазы в регионарных лимфатических узлах. Гематогенным путём (по кровеносным сосудам) происходит метастазирование в печень, лёгкие, кости, головной мозг.
Специалисты медицинской школы имени Саклера Тель-Авивского университета, которая является научной базой Первого медицинского центра Тель-Авива, совместно с немецкими учеными из института изучения рака (DKFZ) открыли ключевое звено в механизме распространения метастазов меланомы.
Израильские ученые смогли установить, что в механизме распространения клеток меланомы существует особое звено. Речь идет о микромолекулах рибонуклеиновой кислоты (РНК), с помощью которых происходит метастазирование[8].
Теория распространения меланомы
Новое исследование, результаты которого опубликованы в журнале Cell, обнаружило механизм, который позволяет агрессивным формам рака кожи быстро распространяться. В эксперименте учёные проанализировали структуру клеток меланомы и факторы, которые помогают ей в распространении. Они обнаружили, что клетки кожного рака высвобождают определённые молекулы, которые взаимодействуют с иммунной системой, посылая сигналы, способствующие росту и распространению опухоли. Исследование показало, что агрессивность рака кожи в значительной степени обусловлена присутствием в клетках белка миозина II в больших количествах. Миозин II способствует подвижности клеток, что означает, что он помогает клеткам двигаться. Таким образом, высокий уровень этого белка позволяет раковым клеткам становиться более мобильными и быстрее распространяться по всему организму. Однако, исследователи также обнаружили, что миозин II стимулирует секрецию веществ, которые посылают сигналы в иммунную систему, «сообщая» ей не «обращать внимания» на раковые клетки.[9]
Стадии меланомы кожи
Микростадии по Clark 1967 г.
- Уровень I: все опухолевые клетки находятся в эпидермисе, до базальной мембраны
- Уровень II: клетки опухоли инфильтрируют сосочковый слой дермы
- Уровень III: опухоль достигает границы между сосочковым и сетчатым слоями дермы
- Уровень IV: опухолевые клетки обнаруживаются в сетчатом слое дермы
- Уровень V: опухоль прорастает в жировую клетчатку
Стадии по Breslow 1970 г.
- Тонкая: глубина инвазии меньше 0,75 миллиметров
- Промежуточная: глубина инвазии 0,76 — 3,99 миллиметров
- Толстая (глубокая): глубина инвазии больше 4 миллиметров
Классификация по системе TNM
- Первичная опухоль (Т)
- Tis — меланома in situ
- T1a — меланома толщиной ≤ 1 миллиметр, уровень Clark II—III, без изъязвления
- T1b — меланома толщиной ≤ 1 миллиметр, уровень Clark IV—V или с изъязвлением
- T2a — меланома толщиной 1,01 — 2,0 миллиметра без изъязвления
- T2b — меланома толщиной 1,01 — 2,0 миллиметра с изъязвлением
- T3a — меланома толщиной 2,01 — 4,0 миллиметра без изъязвления
- T3b — меланома толщиной 2,01 — 4,0 миллиметра с изъязвлением
- T4a — меланома толщиной > 4,0 миллиметров без изъязвления
- T4b — меланома толщиной > 4,0 миллиметров с изъязвлением
- Регионарные лимфоузлы (N)
- N0 — метастазы в регионарные лимфатические узлы отсутствуют
- N1 — метастаз в 1 лимфоузел
- N1а — определяется только микроскопически
- N1b — виден невооружённым взглядом
- N2 — метастазы в 2 — 3 лимфоузла
- N2a — определяется только микроскопически
- N2b — видны невооружённым взглядом
- N2c — спутниковые (*) или транзиторные метастазы
- N3 — метастазы в 4 лимфоузла, транзиторные или спутниковые метастазы
- Отдалённые метастазы
- M0 — отдалённые метастазы отсутствуют
- M1a — метастазы в кожу, окружающие ткани или отдалённые лимфоузлы
- M1b — метастазы меланомы в лёгкие
- M1c — отдалённые метастазы с подъёмом ЛДГ (Лактатдегидрогеназа)
- Рецидив меланомы (R)
- R0 — отсутствие рецидива
- R1 — микроскопический рецидив
- R2 — макроскопический рецидив
(*) Мелкие 0,05 мм в диаметре очаги, образующиеся в дерме вокруг главной опухоли.
Стадии по TNM и AJCC
- IA — T1a
- IB — T1b, T2a
- IIA — T2b, T3a
- IIB — T3b, T4a
- IIC — T4b
- IIIA — N1a, N2a
- IIIB — N1b, N1b
- IIIC — N3
- IV — M1a, M1b, M1c
Лечение
В ходе исследования 2016 года, в котором принимали участие ученые Тель-Авивского университета, врачи больниц «Вольфсон» и «Шиба», а также немецкие ученые из исследовательского центра в Гейдельберге, был раскрыт механизм распространения меланомы и найден способ замедлить её перерождение из неагрессивного новообразования в агрессивную и неизлечимую форму. Это исследование впервые предоставило врачам инструмент диагностики на ранней стадии, которого до этого не было. Для создания лекарства от меланомы ученым может потребоваться несколько лет[10].
В 2018 году ученые Лидского Университета и Института исследования рака в Лондоне обнаружили механизм, позволяющий использовать препарат, созданный на основе вирусов, в лечении меланомы. Препараты на основе живых вирусов T-vec вводится непосредственно в область ткани, пораженной неоперабельной меланомой, и вызывает местный иммунный ответ, который повышает эффективность борьбы с опухолевыми клетками. Однако, при невозможности укола препарата непосредственно в область злокачественного образования, введение T-vec в кровоток больного приводит к формированию антител и последующему уничтожению вирусов, в связи с чем эффективность действия препарата падает. В ходе ранних исследований считалось, что последующие дозы препарата являлись недействующими. Реактивировать T-vec ученым удалось после добавления в вакцину моноцитов, которые захватывают вирусные частицы и переносят их к месту опухоли, где те вызывают гибель раковых клеток изнутри. Таким образом, препарат стало возможно вводить в кровеносную систему пациента[11].
Ведутся исследования вакцины от меланомы на основе технологии мРНК[12].
Начальная меланома (без регионарных и отдалённых метастазов)
Основной метод лечения начальной меланомы — хирургическое удаление. Как для первичной опухоли, так и для лечения рецидивов выполняется футлярно-фасциальное иссечение опухоли. Опухоль удаляют вместе с прилежащим участком внешне неизменённой кожи — в зависимости от стадии на расстоянии от 1 см до 2-3 см. Вместе с опухолью удаляют подкожную клетчатку до апоневроза или фасции подлежащей мышцы с последующей пластикой. Удаление самой фасции — спорный момент и не признаётся некоторыми авторами. При поражении лимфоузлов проводится их резекция.
Показания к регионарной лимфаденэктомии при первичной меланоме кожи:
| Локализация первичной опухоли |
Факторы риска метастазирования |
Необходимое число для выполнения |
Частота ожидаемого метастазирования |
|---|---|---|---|
| Голова и шея | Мужской пол Возраст 50–69 Локализация в височной доле Толщина 3,0 мм и более IV–V Clark |
2 и более | 59,3 % |
| Верхние конечности |
Изъязвление Толщина опухоли 4,0 мм и более V Clark |
Все 3 | 50,0 % |
| Туловище | Мужской пол Меланома de novo Изъязвление Толщина 2,0 мм и более III–IV Clark |
3 и более | 58,2 % |
| Нижние конечности | Мужской пол Возраст 40–59 лет Локализация на стопе Толщина 3,0 и более Уровень IV–V Clark |
3 и более | 52,7 % |
Вариантом хирургического лечения может быть Mohs-хирургия (Frederick Mohs) — хирургические вмешательства под контролем микроскопа, а также лазерное футлярное иссечение. Криодеструкция меланомы не применяется ввиду того, что нельзя точно определить уровень инвазии в подлежащие ткани.
Местнораспространенная меланома, метастазирующая
Основными методами лечения метастазирующей меланомы являются полихимиотерапия, иммунотерапия и лучевая терапия, которые применяются, как правило, в комбинации. Известны случаи спонтанных ремиссий меланомы.
- Иммунотерапия
- Интерферон-альфа (IFN-A), интерлейкин 2 (IL-2) и гранулоцитарно-макрофагальный колониестимулирующего фактор (GM-CSF). Исследование, выполненное Восточной кооперативной онкологической группой (ECOG), показало, что применение интерферона-альфа-2b в максимально переносимых дозах обеспечивает значительное удлинение безрецидивного периода и общей выживаемости по сравнению с отсутствием адъювантной терапии.
- Моноклональные антитела (пембролизумаб, атезолизумаб, тебентафусп[13], релатлимаб[14]), торипалимаб). Назначая пациентам с меланомой на III и IV стадиях препараты для иммунотерапии — ипилимумаб (ipilimumab) и ниволумаб (nivolumab), удалось в 58 % случаев достичь уменьшения опухоли, более, чем на треть, в остальных — на год остановить рост меланомы. Результаты исследования были представлены на ежегодном съезде Американского общества клинической онкологии в 2015 году[15].
- Ингибиторы протеинкиназы. Лечение пациентов с неоперабельной или метастатической меланомой с BRAF мутацией — вемурафениб (vemurafenib), дабрафениб (dabrafenib)[16], кобиметиниб, траметиниб, энкорафениб, биниметиниб.
- Клеточная терапия: лифилеусел.
- Виротерапия: талимоген.
- Лучевая терапия — суммарная очаговая доза — 4000…4500 рад. Оптимальная суммарная доза — 10 000 рад. (Разные протоколы отличаются).
- Регионарная и системная химиотерапия применяется при генерализации процесса: дакарбазин (DTIC), кармустин (BCNU), ломустин (CCNU), цисплатин, тамоксифен, циклофосфан и др.
В стадии исследования находится генная терапия меланомы, направленная на внедрение супрессоров опухоли p53 гена, p16INK4a, инактивация сигнального онкогенного пути — ras, — c-myc и т. д.
В доклинической стадии находятся исследования под руководством Михаила Никифорова из Онкологического института в Росвелл Парк (Roswell Park Cancer Institute), которые показывают, что фермент гуанозинмонофосфат-синтаза (GMPS) способен запускать рост меланомы и может стать мишенью для новых лекарственных препаратов против неё[17]. На данный момент изучена роль GMPS в развитии и метастазировании меланомы. Этот фермент может быть заблокирован при помощи давно известного антибиотика ангустимицина A (angustmycin А), известного также под названием декоинин (decoyinine). Оказалось, что в образцах метастазов меланомы повышен уровень GMPS. Предполагается, что ангустимицин A имеет потенциал в качестве средства для таргетинговой терапии опухолей, при которых имеется мутация гена NRASQ61R или BRAFV600E.
Очередные клинические исследования проходит новый препарат Кейтруда (пембролизумаб), который в прошлом году был одобрен FDA для лечения метастатического рака легких[18]. На данном этапе в государственной больнице «Шиба» в Израиле проводится набор пациентов для принятия участия в клиническом исследовании препарата в лечении меланомы[19]. Участие в исследованиях могут принять также и иностранные пациенты.
Профилактика
Ученые из Университета Осло провели исследование на тему влияния солнцезащитного крема на риск заболеть меланомой. Кроме прочих выводов, было выявлено, что женщины, использовавшие солнцезащитные кремы с SPF 15 и выше, имели риск заболеть на 33 % меньше. Свою работу, исследователи опубликовали в журнале Journal of Clinical Oncology[20].
Прогноз
Клеточный состав меланомы не влияет на клиническое течение опухолевого процесса, однако такие признаки, как митотический индекс, уровень инвазии в дерму, изъязвление и некоторые другие, имеют прогностическое значение. Глубина инвазии меланомы остаётся лучшим прогностическим показателем. На этом основан расчёт пятилетней выживаемости больных с этим новообразованием (англ. Five Year Survival FYS).
Немаловажную роль играют также возраст и пол больного (женщины имеют лучший прогноз), локализация опухоли, поражение лимфатических узлов, а также наличие опухолевых генов супрессоров (CDKN2A, CDK4) и пролиферативных маркеров (PCNA, Ki-67).
|
|
(*) — AJCC — American Joint Committee on Cancer (**) — 45 % если один лимфоузел и 20 % если два лимфоузла.
Прогноз пятилетней выживаемости в зависимости от изъязвления, глубины и метастазов в лимфоузлы. По данным AJCC
| Глубина инвазии (mm)* | С изъязвлением | Без изъязвления |
|---|---|---|
| меньше или равно 1,0 | 91 % | 95 % |
| 1,01 – 2,0 | 77 % | 89 % |
| 2,01 – 4,0 | 6 3 % | 79 % |
| больше 4,0 | 45 % | 67 % |
| Число задействованных лимфоузлов | ||
| 1 | 52 % | 69 % |
| 2–3 | 50 % | 63 % |
| 4 или больше ** | 37 % | 27 % |
(*) Без поражения лимфатических узлов. (**) С изъязвлением или без него.
См. также
- Институт иммуноонкологии и изучения и лечения меланомы имени Эллы Лемельбаум (Израиль)
- Ультрафиолетовый индекс
Примечания
- ↑ Turkington RW. FAmilial factor in malignant melanoma // JAMA. — 1965-04-12. — Т. 192, вып. 2. — С. 77–82. — ISSN 0098-7484. — doi:10.1001/jama.1965.03080150007001.
- ↑ ВОЗ, Информационный бюллетень № 305 декабрь 2009 г. «Ультрафиолетовое излучение и здоровье детей». Дата обращения: 15 февраля 2013. Архивировано из оригинала 15 июля 2013 года.
- ↑ 1 2 3 4 Чиссов В. И., Старинский В. В., Петрова Г. В. (редколлегия). Злокачественные новообразования в России в 2008 г. (заболеваемость и смертность), 256 с. — М.: ФГУ «МНИОИ им. П. А. Герцена Росмедтехнологий», 2010. — ISBN 5-85502-024-X.
- ↑ Bale, S. J., Dracopoli, N. C., Greene, M. H., Gerhard, D. S., Housman, D. E. Linkage analysis of melanoma and dysplastic nevus syndrome with polymorphic loci on human chromosome 1p. (Abstract) Cytogenet. Cell Genet. 46: 575, 1987.
- ↑ Bale S. J., Dracopoli N. C., Tucker M. A., Clark W. H. Jr., Fraser M. C., Stanger B. Z., Green P., Donis-Keller H., Housman D. E., Greene M. H. Mapping the gene for hereditary cutaneous malignant melanoma-dysplastic nevus to chromosome 1p. (англ.) // The New England journal of medicine. — 1989. — Vol. 320, no. 21. — P. 1367—1372. — doi:10.1056/NEJM198905253202102. — PMID 2716782.
- ↑ Hussussian C. J., Struewing J. P., Goldstein A. M., Higgins P. A., Ally D. S., Sheahan M. D., Clark W. H. Jr., Tucker M. A., Dracopoli N. C. Germline p16 mutations in familial melanoma. (англ.) // Nature genetics. — 1994. — Vol. 8, no. 1. — P. 15—21. — doi:10.1038/ng0994-15. — PMID 7987387.
- ↑ Alexey V. Lyundup, Maxim V. Balyasin, Nadezhda V. Maksimova, Marina V. Kovina, Mikhail E. Krasheninnikov, Tatiana G. Dyuzheva, Sergey A. Yakovenko, Svetlana A. Appolonova, Helgi B. Schiöth, Ilya D. Klabukov. Misdiagnosis of diabetic foot ulcer in patients with undiagnosed skin malignancies // International Wound Journal. — 2022. — Т. 19, вып. 4. — С. 871–887. — ISSN 1742-481X. — doi:10.1111/iwj.13688. Архивировано 21 сентября 2022 года.
- ↑ Онкологи из Тель-Авивского университета находятся на пороге революционного открытия в лечении меланомы. Первый медицинский центр Тель-Авива. telaviv-clinic.ru (27 января 2017). Дата обращения: 9 февраля 2017. Архивировано 11 февраля 2017 года.
- ↑ How skin cancer becomes invasive (англ.). Medical News Today. Дата обращения: 6 февраля 2019. Архивировано 7 февраля 2019 года.
- ↑ Израильские ученые приблизились к созданию лекарства от меланомы (23 августа 2016). Дата обращения: 11 октября 2016. Архивировано 12 октября 2016 года.
- ↑ Viruses show new promise in treating cancer Архивная копия от 18 сентября 2018 на Wayback Machine Medical Xpress. September 13, 2018
- ↑ Прорыв в медицине: вакцина спасает от рака кожи. Уже есть в Израиле. Дата обращения: 16 декабря 2023. Архивировано 16 декабря 2023 года.
- ↑ KIMMTRAK- tebentafusp injection, solution, concentrate (англ.). DailyMed. U. S. National Library of Medicine.
- ↑ OPDUALAG - nivolumab and relatlimab-rmbw injection (англ.). DailyMed. U. S. National Library of Medicine.
- ↑ Immunotherapy heralds 'new era' for cancer treatment (англ.). www.medicalnewstoday.com. Дата обращения: 23 мая 2020. Архивировано 5 марта 2021 года.
- ↑ Механизмы прогрессирования и современные подходы к лекарственному лечению. vestnik.rncrr.ru. Дата обращения: 9 сентября 2020. Архивировано 21 января 2021 года.
- ↑ Scientists uncover new pharmaceutical strategy for treating melanoma (англ.) (6 мая 2015). Дата обращения: 13 мая 2015. Архивировано 14 мая 2015 года.
- ↑ "Кейдруда" — теперь и для лечения рака легких. www.isramedportal.ru. Дата обращения: 3 февраля 2016. Архивировано 26 декабря 2015 года.
- ↑ Клинические исследования препарата «Кейтруда». www.isramedportal.ru. Дата обращения: 3 февраля 2016. Архивировано 25 апреля 2016 года.
- ↑ Reza Ghiasvand, Elisabete Weiderpass, Adele C. Green, Eiliv Lund, Marit B. Veierød. Sunscreen Use and Subsequent Melanoma Risk: A Population-Based Cohort Study // Journal of Clinical Oncology. — 2016-09-30. — Т. 34, вып. 33. — С. 3976–3983. — ISSN 0732-183X. — doi:10.1200/JCO.2016.67.5934. Архивировано 7 апреля 2019 года.
Литература
- Шанин А. П. Диагностика и лечение злокачественных опухолей кожи. — Л.: Медгиз. Ленингр. отд-ние, 1957. — 168 с. — (Библиотека практического врача).
- Шанин А. П. Пигментные опухоли. — Л.: Медгиз. Ленингр. отд-ние, 1959. — 260 с.
- Ганина К. П., Налескина Л. А. Злокачественная меланома и предшествующие изменения кожи / АН УССР, Ин-т пробл. онкологии им. Р. Е. Кавецкого. — Киев: Наукова думка, 1991. — 168, [48] с. — 1160 экз. — ISBN 5-12-002070-4.
- Фрадкин С. З., Залуцкий И. В. Меланома кожи. — Минск: Беларусь, 2000. — 224 с. — 5000 экз. — ISBN 985-01-0323-X.
- Романова, О. А. Ранняя диагностика и профилактика меланомы кожи : Руководство-атлас. — М. : Медицинское информационное агентство, 2012. — 96 с. — 1000 экз. — ISBN 978-5-8948-1910-5.
Ссылки
- Меланома на Skinmaster.ru Описания клинических случаев
- http://www.melanoma.org/
- Национальный сервер дерматологии
- Российский Онкологический сервер. Меланома
- Информация по гену CDK4
- Mohs Micrographic Surgery
- Как часто встречается меланома?
- Skin Cancer Foundation
- Final Version of the American Joint Committee on Cancer Staging System for Cutaneous Melanoma
