Диффузное аксональное повреждение головного мозга

Диффузное аксональное повреждение мозга
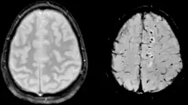
Диффузное аксональное повреждение на МРТ в режиме GRE (слева) и SWI (справа)
Диффузное аксональное повреждение на МРТ в режиме GRE (слева) и SWI (справа)
eMedicine radio/216 
MeSH D020833
Логотип Викисклада Медиафайлы на Викискладе

Диффузное аксональное повреждение головного мозга (ДАП) — распространённый вид черепно-мозговой травмы, при которой резкое ускорение либо торможение головы, например, в момент ДТП, приводит к натяжению и разрыву аксонов. Другими, менее распространёнными причинами ДАП могут быть падения, удары при драке или избиении, а у маленьких детей аксональное повреждение отмечается при «синдроме сотрясения».

При диффузном аксональном повреждении головного мозга микроскопические мелкоочаговые кровоизлияния выявляются в мозолистом теле, полуовальном центре, верхних отделах ствола мозга. Клинически оно проявляется длительной комой, которая в большинстве случаев переходит в вегетативное состояние. Последнее характеризуется отсутствием корковой деятельности и длится месяцы и годы.

Дети с данным повреждением могут иметь нормальный или неспецифический срез КТ[1].

Лечение

Лечение проводится врачом-неврологом. Диагностируют состояние с помощью стандартной и функционально магнитно-резонансной томографии. Для выходы из комы практикуется ИВЛ и интенсивная терапия. Обычно после выхода из комы врачи назначают ряд препаратов разной направленности для полного восстановления организма. К ним относятся ноотропные, сосудистые и метаболические препараты. Также используются лечебные упражнения.

Примечания

  1. Berkowitz’s Pediatrics: A Primary Care Approach, 5th Edition Copyright © 2014 American Academy of Pediatrics p.399

Литература

См. также