Синдром детского сотрясения
| Синдром детского сотрясения | |
|---|---|
| |
| МКБ-10 | Y07.9 и T74.1 |
| МКБ-9 | 995.55 |
| MedlinePlus | 000004 |
| MeSH | D038642 |
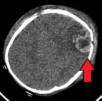
Синдром детского сотрясения (СДС) (синдром встряхнутого ребёнка, SBS) — комплекс органических нарушений, которые могут возникнуть, если организм ребёнка испытает сотрясение. Незафиксированная головка болтается, из-за чего разрываются мембраны клеток головного мозга, и повреждается мозг в целом — кровоизлияния под оболочки головного мозга (без наружных признаков повреждения). СДС служит одной из основных причин гибели младенцев. СДС не обязательно возникает из-за грубого обращения с малышом. Он может случиться во время игры с малышами, например, когда взрослые подбрасывают ребёнка высоко в воздух или слишком резко его встряхивают, при несчастных случаях на транспорте в результате наезда на машину сзади. Впервые СДС был обнаружен нейрохирургом Н. Гутхельгом в 1971 году. В 2003 году в Эдинбурге прошёл первый конгресс по СДС. Первый судебный процесс по СДС был в Швейцарии в 2003 году.
«Травма головы, возникшая из-за неосторожного обращения с ребёнком, является одной из основных причин заболеваемости, инвалидизации и смертности у новорождённых детей.
У большинства грудных детей, пострадавших от травмы, возникшей в результате сильного встряхивания, сохраняются стойкие неврологические нарушения, и более 25 % их умирает»
Симптомы СДС
- Сонливость
- Судороги
- Снижение мышечного тонуса
- Снижение аппетита
- Нарушения дыхания;
- Потеря сознания
- Рвоты
- Головные боли
- Возбудимость
- Увеличение окружности головы к 4 месяцам.
Последствия СДС
Статистика
В США от СДС умирает ежегодно 2000 младенцев, в Англии — 100. В мировом масштабе происходит в среднем 27 случаев СДС на 100 тыс. младенцев. Высокие показатели СДС в Эстонии (40,5 на 100 тыс.). По многим странам пока нет точных данных. На основании проведённых в США и Англии исследований чаще всего виновниками СДС являются отцы-отчимы (68-83 %), далее следуют няни (8-17 %) и матери (9-13 %). Даже лёгкое встряхивание младенца приводит к таким повреждениям его головного мозга, от которых 10-20 % грудных детей умирает, а 75 % на всю жизнь получают мозговые травмы с непредсказуемыми последствиями в течение всей жизни.
Рекомендации по снижению случаев СДС
- Никогда ни по какому поводу нельзя трясти ребёнка, который не достиг двухлетнего возраста.
- Когда берёте новорождённого на руки, поддерживайте его голову.
- Важно понимать, что ребёнок плачет не потому, что хочет вас взбесить. Он может быть голоден, болен или у него есть другие важные причины.
- Если ребёнок не перестаёт кричать, то выйдите на несколько минут в другую комнату. Когда вы успокоитесь, вернитесь к нему, чтобы окончательно разобраться с ситуацией.
- Со временем ребёнок вырастет и перестанет кричать. А пока вам необходимо справляться с этой ситуацией, не теряя самообладания.
См. также
Литература
- Stephen Lazoritz, Vincent J. Palusci. The Shaken Baby Syndrome: A Multidisciplinary Approach. Haworth Press, 2002. ISBN 0789013525, ISBN 9780789013521
- Guthkelch A.N., Infantile subdural haematoma and its relationship to whiplash injuries. Br Med, 1971, S. 430—431
