Тромбоз синусов твёрдой мозговой оболочки
| Тромбоз синусов твёрдой мозговой оболочки | |
|---|---|
![]() Венозный отток от головного мозга | |
| МКБ-10 | I63.6, I67.6 |
| МКБ-9 | 325, 437.6 |
| DiseasesDB | 2242 |
| eMedicine | neuro/642 radio/105 |
| MeSH | D012851 |
Тромбоз синусов твёрдой мозговой оболочки — редкая форма нарушения мозгового кровообращения, представляющая собой ухудшение оттока крови от головного мозга из-за закупорки синусов кровяными сгустками (тромбами). Проявляется головной болью, нарушением зрения, гемипарезом лица или конечностей, судорогами и др. Диагноз устанавливается на основе данных компьютерной или магнитно-резонансной томографии с внутривенным контрастным усилением, позволяющих визуализировать обструкцию венозных синусов тромбом.[1] Для лечения применяется терапия антикоагулянтами, реже — тромболитиками. Так как данная патология обычно является осложнением другого заболевания, может потребоваться дополнительное обследование. Тромбоз венозных синусов может осложниться внутричерепной гипертензией, для купирования которой в некоторых случаях применяется хирургическое вмешательство (например, шунтирование).[1]
Изображения
-
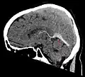
Синус-тромбоз при нативной компьютерной томографии (сагиттальная реконструкция) -
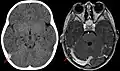
Синус-тромбоз при нативной компьютерной томографии (слева) и МРТ в режиме T1 с контрастным усилением (справа)
Примечания
- ↑ 1 2 Stam J. Thrombosis of the cerebral veins and sinuses (англ.) // The New England Journal of Medicine. — 2005. — Vol. 352, no. 17. — P. 1791—1798. — doi:10.1056/NEJMra042354. — PMID 15858188.
