Гастроэнтерология

- 11
- Пищевод
- 12
- Печень
- 13
- Желчный пузырь
- 14
- Общий желчный проток
- 15
- Желудок
- 16
- Поджелудочная железа
- 17
- Проток поджелудочной железы
- 18
- Тонкая кишка
- 22
- Аппендикс
- 23
- Ободочная кишка
- 24
- Поперечная ободочная кишка
- 25
- Восходящая ободочная кишка
- 26
- Слепая кишка
- 27
- Нисходящая ободочная кишка
- 28
- Сигмовидная кишка
- 29
- Прямая кишка
- 30
- Анус
Гастроэнтероло́гия (от др.-греч. γαστήρ, γαστρός — желудок + др.-греч. ἔντερον — кишка, кишки, кишечник + др.-греч. λόγος — учение) — раздел медицины, изучающий желудочно-кишечный тракт (ЖКТ) человека, его строение и функционирование, его заболевания и методы их лечения.
Раздел гастроэнтерологии, изучающий печень, желчный пузырь, желчные пути, их строение и функции, их заболевания и методы их лечения называется гепатология.
Раздел гастроэнтерологии, изучающий прямую кишку и задний проход, их строение и функции, их заболевания и методы их лечения называется проктология. Если изучаются все разделы толстой кишки (а не только прямая), то данная дисциплина называется колопроктология.
Гастроэнтерологическая помощь в Российской Федерации регламентируется приказами Минздравсоцразвития России № 539 2005 г.[1], № 615 2006 г.[2] и № 906н 2012 г.[3]
Область исследования гастроэнтерологии
Согласно «паспорту научной специальности „гастроэнтерология“», её областью исследования являются[4]:
- Эпидемиология заболеваний пищеварительной системы.
- Экспериментальная и клиническая (прижизненная и аутопсийная) морфология.
- Этиологические факторы — вирусные, микробные, простейшие, паразитарные, лекарственные, токсические, психические — заболеваний органов пищеварения.
- Регуляторные механизмы органов пищеварения, пути их повреждений при патологии органов пищеварения.
- Состояние органов пищеварения при других заболеваниях.
- Состояние других систем при заболеваниях органов пищеварения.
- Лечебные и профилактические методы при гастроэнтерологических заболеваниях.
- Диагностические методики при заболеваниях органов пищеварения.
- Заболевания пищевода, желудка и двенадцатиперстной кишки.
- Заболевания тонкого и толстого отделов кишечника.
- Заболевания прямой кишки.
- Заболевания печени и билиарной системы.
- Заболевания поджелудочной железы.
- Секреция и моторика органов пищеварения.
История
Хотя гастроэнтерология, как отдельная медицинская дисциплина, сформировалась сравнительно недавно, в начале XIX века, лечением органов пищеварения занимались с древности.
- В вавилонских и ассирийских медицинских сочинениях клинописью на обожжёных плитках встречаются симптомы заболеваний: боль в животе, изжога, рвота, рвота желчью, разные типы желтухи, метеоризм, понос, изменение цвета языка, потеря аппетита[5].
- В III веке до н. э. Эрасистрат изучал функции органов пищеварения на живых животных и наблюдал перистальтику желудка. Утверждал, что пищеварение происходит путём механического перетирания пищи желудком. Вскрывал человеческие трупы, описал печень и жёлчные протоки. Главной причиной болезней Эрасистрат считал излишества в пище и несварения её, которая засоряет сосуды, вследствие этого возникают воспаления, язвы и другие заболевания[6].
- В I веке нашей эры Клавдий Гален в своих трудах дал приблизительное описание язвы желудка, а также рекомендовал лечить её с помощью диеты.
XVII век
- В 1648 году Ян Баптиста ван Гельмонт в своей книге «Ortus Medicinae»[7] высказал предположение, что пищеварение — химический процесс, который происходит с участием химических реагентов, названных им «ферментами».
XVIII век
- В 1777 году Максимилиан Столл описал рак жёлчного пузыря[8][9].
- В 1780 году Ладзаро Спалланцани экспериментально доказал, что пищевые продукты могут перевариваться желудочным соком.

XIX век
- В 1806 году Филипп Боццини изобрёл первый эндоскоп, который он предполагал использовать для исследования мочевыделительных органов и прямой кишки, названный им «Lichtleiter» («проводник света»)[10].
- В 1816 году Фридрих (Фёдор Карлович) Уден в своём фундаментальном труде «Академические чтения о хронических болезнях» впервые описал симптомы и методы лечения язвы желудка.
- В 1824 году Уильям Праут доказал, что в желудке секретируется именно соляная кислота[11].
- Адольф Куссмауль в 1868 году ввёл в практику гастроскопию с помощью металлической трубки с гибким обтуратором, а 1869-м — предложил аспирацию желудочного содержимого с помощью желудочных зондов с целью исследования состояния желудка[12].
- В 1871 году Карл Штёрк продемонстрировал эндоскоп из двух металлических трубок, сделанный на основе высказанной в 1870 году Луисом Валенбургом идеи[13].
- В 1876 году Карл Вильгельм фон Купфер описал свойства клеток печени, названых впоследствии «клетки Купфера».
- В 1879 году Генрих Квинке впервые описал гастроэзофагеальный рефлюкс и гастроэзофагеальную рефлюксную болезнь[14].
- В 1884 году Гуго Кронекер и Самуэль Мельцер провели первые манометрические исследования пищевода человека[15].

XX век
- В 1915 году Джесси Макклендон впервые исследовал кислотность желудочного сока человека in vivo, сделав, тем самым, первую внутрижелудочную pH-метрию[16].
- В 1922 году Уолтер К. Альварес впервые сделал электрогастрографию животных и человека[17].
- В 1932 году Рудольф Шиндлер разработал конструкцию полугибкого линзового гастроскопа и описал эндоскопическую картину слизистой оболочки при некоторых заболеваниях желудка[13].
- В 1932 году Баррил Бернард Крон описал болезнь, названную его именем (болезнь Крона).
- В 1958 году Бэзил Хиршовиц с сотрудниками провёл первые исследования с помощью сконструированного ими фиброгастроскопа[13].
- В 1972 году Джэймс Блэк открыл новый класс противоязвенных препаратов — Н2-блокаторы[18].
- В 1979 году был синтезирован первый ингибитор протонного насоса — омепразол[18].
- В 1984 году Барри Маршалл и Робин Уоррен доказали, что Helicobacter pylori может быть причиной целого ряда заболеваний желудочно-кишечного тракта.
Ведущие гастроэнтерологические учреждения
Ведущие российские научные и лечебные учреждения, кафедры, отделения гастроэнтерологического профиля:
- Первый московский государственный медицинский университет имени И. М. Сеченова. Клинический центр. Гастроэнтерологическое отделение.
- Российский национальный исследовательский медицинский университет имени Н. И. Пирогова. Лечебный факультет: кафедра госпитальной хирургии № 1 (клиническая база — ГКБ № 15), кафедра госпитальной хирургии № 2 (клиническая база — ГКБ № 31). Педиатрический факультет: кафедра детских болезней № 2 (клиническая база — гастроэнтерологическое отделение Российской детской клинической больницы).
- Московский государственный медико-стоматологический университет. Лечебный факультет. Кафедра пропедевтики внутренних болезней и гастроэнтерологии (клиническая база: ЦКБ № 1 РЖД, МСЧ № 33).
- Центральный научно-исследовательский институт гастроэнтерологии [2].
- Центральная клиническая больница с поликлиникой УДП РФ. Гастроэнтерологическое отделение.
- НИИ Гастроэнтерологии СибГМУ им. Г. К. Жерлова [3], город Северск (Томская область).
Главный специалист гастроэнтеролог Минздравсоцразвития России — директор клиники пропедевтики внутренних болезней, гастроэнтерологии, гепатологии Первого Московского государственного медицинского университета им. И. М. Сеченова, академик РАМН В. Т. Ивашкин[19].
Инструментальные методы исследований в гастроэнтерологии
Современные методы исследования органов пищеварения включают: эндоскопию желудочно-кишечного тракта, ультразвуковые исследования, внутрижелудочную pH-метрию, манометрию органов ЖКТ, электрогастроэнтерографию, биопсию, лучевую диагностику и другие[20][21].
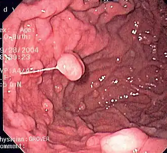
Гастроинтестинальная эндоскопия
Эндоскопические исследования выполняются с помощью специальных аппаратов-эндоскопов, вводимых пациенту через естественные отверстия — рот или задний проход и передающих изображение в исследуемом органе или на окуляр эндоскопа или на монитор. В современной практике используются два типа гибких эндоскопов: волоконно-оптические фиброэндоскопы и видеоэндоскопы, оцифровывающие видимую в объектив картинку и передающие её в таком виде на монитор или окуляр. Эзофаго-, гастро-, дуодено- и/или еюноскопия показаны при подозрении на воспаление или язву, а также другие заболевания пищевода, желудка, тонкой кишки, фатерова сосочка. Колоноскопия — эндоскопическое исследование толстой кишки, показана при наличии клинических признаков, указывающих на поражение толстой кишки, наблюдении за пациентом в процессе лечения, при осмотрах, направленных на выявление на ранней стадии онкологических и других заболеваний[22].
- Эндоскопические исследования пищевода, желудка и кишечника
-
Гибкий волоконно-оптический фиброэндоскоп -
Эндоскопия пищевода пациента с варикозным расширением вен пищевода -
Полипы фундальных желёз желудка. Изображение получено с помощью фиброгастроскопа -
Дуоденоскопия пациента с аденокарциномой двенадцатиперстной кишки
См. также
Исследование кислотности верхних отделов ЖКТ
Внутрижелудочная pH-метрия играет важнейшую роль при диагностике и лечении кислотозависимых заболеваний, при исследовании гастроэзофагеальных, дуоденогастральных, фаринголарингеальных рефлюксов. В клинической практике нашли применение несколько методов внутрижелудочной pH-метрии:эндоскопическая (длительность измерений 5 минут), экспресс-pH-метрия (около 30 минут), кратковременная стимулированная (до 2—3 часов) и длительная (24 часа и более) pH-метрия. pH-метрия также применяется для оценки действия кислотоподавляющих препаратов. Измерения выполняется с помощью специальных pH-метрических зондов, вводимых пациенту перорально (при кратковременной pH-метрии), трансназально (при суточной pH-метрии)[21][23], через инструментальный канал эндоскопа (при эндоскопической pH-метрии)[24] или с помощью прикрепляемых к стенке пищевода pH-метрических капсул[25]. Исследование некислых рефлюксов выполняется с помощью импеданс-pH-метрии пищевода[26]. Для дифференциальной диагностики загрудинных болей неясной этиологии применяется гастрокардиомониторинг — одновременное исследование кислотности ЖКТ и электрокардиограммы[21].
- pH-метрия верхних отделов ЖКТ
-
Ацидогастромонитор для суточной pH-метрии пищевода и желудка -
24-х часовая pH-метрия пищевода (фрагмент pH-граммы больного ГЭРБ) -
pH-грамма желудка при подборе ингибиторов протонной помпы -
Прикрепляемая к стенке пищевода капсула «Bravo» для исследования ГЭР
См. также
- Внутрижелудочная pH-метрия
- Суточная pH-метрия
- Импеданс-pH-метрия пищевода
- Эндоскопическая pH-метрия
Гастроинтестинальная манометрия
Для непосредственной регистрации моторной активности органов желудочно-кишечного тракта наибольшее распространение получила манометрия, выполняемая с помощью многоканального водно-перфузионного катетера. Выделяют следующие виды манометрии: манометрию пищевода, антродуоденальную манометрию, манометрию сфинктера Одди, толстокишечную и аноректальную манометрию. Манометрия пищевода показана перед операционными вмешательствами в области гастроэзофагеального перехода, при аномалиях верхнего пищеводного сфинктера (ВПС) и глотки, исследовании давления нижнего пищеводного сфинктера (НПС), первичных расстройствах моторики пищевода (кардиоспазм, ахалазия кардии, дискинезия пищевода, диффузный спазм пищевода, гипертонус НПС), оценке дефектов перистальтики[15]. Показаниям к проведению манометрии сфинктера Одди: постхолецистэктомический синдром, холангит, спазм сфинктера Одди, закупорка жёлчного протока и др. Аноректальная и/или толстокишечная манометрия проводится по следующим показаниям: запоры, резистентные к проводимой терапии, дифференциальная диагностика хронической кишечной псевдообструкции, необъяснимые причины нарушения моторики толстой кишки, отсутствие расслабления внутреннего сфинктера заднего прохода, перед и после оперативного вмешательства, в процессе биофидбэк-терапии по поводу недержания кала и функциональных запорах[21][27].
- Гастроинтестинальная манометрия
-
Гастроманограф для перфузионной гастроинтестинальной манометрии -
Балонный катетер для аноректальной манометрии -
Манометрия пищевода. Показано прохождение глотка воды -
Условный график давления при манометрии сфинктера Одди
См. также
- Эзофагоманометрия
- Антродуоденальная манометрия
- Аноректальная манометрия
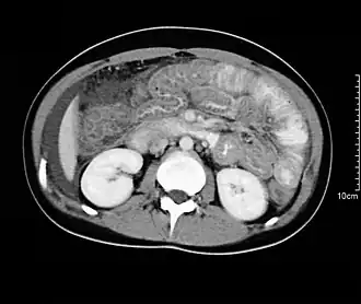
Лучевая диагностика
При исследовании печени, поджелудочной железы и жёлчных протоков ведущую роль занимают ультразвуковые исследования (УЗИ), компьютерная томография (КТ) и магнитно-резонансная томография (МРТ). При диагностике состояния пищевода распространено рентгеновское исследование с барием, при котором прохождение глотков бариевой взвеси регистрируется флюороскопически в реальном масштабе времени. Рентгенография пищевода применяется для выявления грыж пищеводного отверстия диафрагмы, опухолей, дивертикулов, стриктур, варикозного расширения вен, инородных тел. Рентгенография или рентгеноскопия с двойным контрастированием или без него применяется при исследовании желудка и двенадцатиперстной кишки с целью выявления язв, опухолей, стриктур, обтураций, контроля результатов оперативных вмешательств. Для диагностики опухолей кишечника, воспалительных заболеваний, причин непроходимости кишки, стриктур, обструкции применяется контрастная рентгенография, компьютерная или магнито-резонансная томография[28].
- Лучевая диагностика болезней ЖКТ
-
Магнито-резонансный томограф
-
Рентгенография пищевода с контрастной бариевой взвесью -

-
МРТ-изображение содержащих камни жёлчного пузыря и протоков
См. также
- Контрастная рентгенография
- Компьютерная томография
- Магнитно-резонансная томография
Электрогастроэнтерография
Электрогастроэнтерография основана на записи электрических потенциалов гладкомышечных органов ЖКТ. В клинической практике используют два варианта: электрогастрографию, когда оценивается сократительная активность только желудка и запись ведётся с поверхности живота[27][29] и периферическая электрогастроэнтерография, когда исследуется моторика не только желудка, но и кишечника, и запись ведётся с конечностей пациента[30][31]. Периферическая электрогастрография применяется при диагностике функциональной диспепсии, пилоробульбарного стеноза, спаечной болезни брюшной полости, мезентериального тромбоза. Для диагностики и коррекции моторно-эвакуаторной функции ЖКТ у пациентов, находящихся в реанимации в послеоперационный период, используется длительная электрогастроэнтерография (18—24 часа) с применением парентеральных стимуляторов (прокинетики, прозерин, дистигмина бромид) вместо пищевого[30].
- Периферическая электрогастроэнтерография
-
Двухканальный носимый суточный электрогастро-
энтерограф -
Электрогастроэнтеро- грамма человека -
Космонавт Сергей Волков с прибором для электрогастроэнтерографии «Спланхограф» на борту Международной космической станции.
См. также
Научные и научно-практические журналы по гастроэнтерологии
В список изданий, рекомендуемых для опубликования основных научных результатов диссертации на соискание учёной степени кандидата и доктора наук, включены, согласно решению Президиума ВАК № 6/6 от 19 февраля 2010[32], три гастроэнтерологических журнала: Вестник хирургической гастроэнтерологии, Клинические перспективы гастроэнтерологии, гепатологии[33], Российский журнал гастроэнтерологии, гепатологии и колопроктологии[34]. Кроме того, в России издаются следующие профессиональные гастроэнтерологические журналы: Клиническая гастроэнтерология и гепатология[35], Экспериментальная и клиническая гастроэнтерология[36], Гастроэнтерология Санкт-Петербурга[37].
Ведущим украинским гастроэнтерологическим журналом является Сучасна гастроэнтерологія. В нём часть статей публикуется на украинском, часть на русском языках, аннотации статей — на украинском (для русскоязычных статей), русском (для украиноязычных) и английском языках[38].
Наибольшее число научных журналов по гастроэнтерологии издаётся на английском языке. Это входящий в «Список 100 самых влиятельных журналов биологии и медицины за последние 100 лет»[39] Gastroenterology[40], а также журналы: American Journal of Gastroenterology[41], Clinical Gastroenterology and Hepatology[42], Current Opinion in Gastroenterology[43], European Journal of Gastroenterology and Hepatology[44], Gastroenterology Nursing[45], Gut[46], Journal of Clinical Gastroenterology[47], Nature Reviews Gastroenterology & Hepatology[48], Scandinavian Journal of Gastroenterology[49], The Turkish Journal of Gastroenterology[50] и другие.
Объединения и ассоциации гастроэнтерологов
Международные
- Всемирная организация гастроэнтерологов (англ. The World Gastroenterology Organisation; WGO).
- Всемирная организация эндоскопии пищеварительной системы (англ. The World Organisation for Digestive Endoscopy; OMED).
- Европейское общество гастроинтенсинальной эндоскопии (англ. The European Society of Gastrointestinal Endoscopy; ESCE) — европейская зона OMED.
Российские
- Российская гастроэнтерологическая ассоциация (РГА) — член WGO.
- Научное общество гастроэнтерологов России (НОГР) — член WGO.
- Российское общество эндоскопии пищеварительной системы (РОЭПС) — член Европейско-средиземноморской зоны (ESCE) OMED.
Иностранные
- Американская гастроэнтерологическая ассоциация (англ. The American Gastroenterological Association; AGA) — член WGO.
- Американская коллегия гастроэнтерологов (англ. The American College of Gastroenterology; ACG) — член WGO.
- Американское общество гастроинтенсинальной эндоскопии (англ. The American Society for Gastrointestinal Endoscopy; ASGE) — член Интерамериканской зоны (SIED) OMED.
- Британское общество гастроэнтерологов (англ. The British Society of Gastroenterology; BSG) — член WGO.
29 мая — Всемирный день здорового пищеварения
29 мая Всемирной организацией гастроэнтерологов объявлен Всемирным днём здорового пищеварения (англ. World Digestive Health Day)[51]. Каждый год Всемирный день здорового пищеварения посвящается какой-нибудь одной серьёзной гастроэнтерологической проблеме. В 2009 году — синдрому раздражённого кишечника, в 2010 — воспалительным болезням кишечника (болезни Крона и язвенному колиту), 2011 — кишечным инфекциям, 2012 — общим гастроинтенсинальным симптомам («от изжоги до запора») , 2013 — раку печени, 2014 — кишечной микробиоте[52].
Дата 29 мая выбрана потому, что в этот день, в 1958 году, был принят Устав Всемирной организации гастроэнтерологов.
Лекарственные препараты для лечения гастроэнтерологических заболеваний

В анатомо-терапевтическо-химической классификации выделен «Раздел А. Препараты, влияющие на пищеварительный тракт и обмен веществ», в который включены лекарственные средства для лечения гастроэнтерологических заболеваний.
В Фармакологическом указателе в разделе «Органотропные средства» имеется подраздел «Желудочно-кишечные средства», который включает в себя следующие группы лекарств: «Антациды и адсорбенты», «Ветрогонные средства», «Гепатопротекторы», «Желчегонные средства и препараты жёлчи», «H2-антигистаминные средства», «Ингибиторы протонного насоса», «Противодиарейные средства», «Противорвотные средства», «Регуляторы аппетита», «Слабительные средства», «Средства, нормализующие микрофлору кишечника», «Стимуляторы моторики ЖКТ, в том числе рвотные средства», «Стоматологические средства», «Другие желудочно-кишечные средства».
Примечания
- ↑ Приказ Минздравсоцразвития России от 25.08.2005 г. № 539 «О мерах по совершенствованию организации гастроэнтерологической помощи населению Российской Федерации» Архивная копия от 21 ноября 2011 на Wayback Machine.
- ↑ Приказ Минздравсоцразвития России от 29.08.2006 г. № 615 «О мерах по совершенствованию организации гастроэнтерологической помощи детскому населению Российской Федерации» Архивная копия от 21 ноября 2011 на Wayback Machine.
- ↑ Приказ Минздрава России от 12 ноября 2012 г. № 906н «Об утверждении Порядка оказания медицинской помощи населению по профилю „гастроэнтерология“» Архивная копия от 3 апреля 2013 на Wayback Machine.
- ↑ * Высшая аттестационная комиссия Министерства образования и науки Российской Федерации. Перечень научных специальностей. Медицинские науки Архивная копия от 22 декабря 2008 на Wayback Machine
- 14.00.47. Гастроэнтерология Архивная копия от 1 июня 2009 на Wayback Machine
- Портал для аспирантов. Паспорта научных специальностей. 14.00.47. Гастроэнтерология Архивная копия от 7 августа 2007 на Wayback Machine
- ↑ Пашков К. А. Медицина в рабовладельческих государствах Древнего Востока Архивная копия от 26 апреля 2009 на Wayback Machine. История медицины. МГМСУ, 2006.
- ↑ Пашков К. А. Медицина в Древней Греции, Александрии и Древнем Риме Архивная копия от 26 апреля 2009 на Wayback Machine. История медицины. МГМСУ, 2006.
- ↑ «Ortus Medicinae», 1648 (Origin of Medicine) Архивная копия от 26 апреля 2009 на Wayback Machine.
- ↑ Edgardo Rivera, MD James L. Abbruzzese, MD; Pancreatic, Hepatic, and Biliary Carcinomas, MEDICAL ONCOLOGY: A COMPREHENSIVE REVIEW [1] Архивная копия от 12 декабря 2007 на Wayback Machine
- ↑ DeStoll M: Rationis Mendendi, in Nosocomio Practico vendobonensi. Part 1 LugduniBatavarum, Haak et Socios et A et J Honkoop 1788, OCLC: 23625746
- ↑ Хацевич Т. Н., Михайлов И. О. Эндоскопы. История развития Архивная копия от 14 мая 2008 на Wayback Machine.
- ↑ Prout, W. On the nature of the acid and saline matters usually existing in the stomachs of animals. — Philos. Transactions, 1824, 1, 45.
- ↑ Rosenfeld L. Gastric tubes, meals, acid, and analysis: rise and decline. Архивная копия от 4 октября 2008 на Wayback Machine Clinical Chemistry. 1997; 43:837-842.
- ↑ 1 2 3 История развития эндоскопии Архивная копия от 13 декабря 2016 на Wayback Machine.
- ↑ Quincke H. Esophageal ulcers from digestive juice (ulcus oesophagi ex digestione). Dtsch Arch Klin Med. 1879;24:72.
- ↑ 1 2 Бордин Д. С., Валитова Э. Р. Методика проведения и клиническое значение манометрии пищевода Архивная копия от 22 ноября 2010 на Wayback Machine / Под ред. д.м.н., проф. Л. Б. Лазебника. — М.: ИД «МЕДПРАКТИКА-М», 2009, — 24 с.
- ↑ McClendon J. F. New hydrogen electrodes and rapid methods of determining hydrogen ion concentrations. — Amer. J. Physoil., 1915, 38, 2, 180.
- ↑ Alvarez W. C. The electrogastrogram and what it shows. JAMA, 78(15):1116-18, 1922.
- ↑ 1 2 Бельмер С. В. Медикаментозная коррекция кислотозависимых состояний Архивная копия от 9 ноября 2006 на Wayback Machine. Доктор. Ру. — 2004. — № 6. — с. 6-9.
- ↑ Официальный сайт МЗиСР. Главные специалисты Архивная копия от 29 декабря 2011 на Wayback Machine.
- ↑ Руководство по гастроэнтерологии / Под. ред. Ф. И. Комарова , С. И. Рапопорта. — М.: ООО «Медицинское информационное агентство», 2010. — 864 с. ISBN 978-5-89481-812-2.
- ↑ 1 2 3 4 Ступин В. А. Функциональная гастроэнтерология. Инструментальные методы исследования Архивная копия от 2 ноября 2010 на Wayback Machine. — Пособие для врачей. — М.: 2009 — 28 c. ISBN 978-5-98803-177-2.
- ↑ Никифоров П. А.. Методы гастроинтестинальной эндоскопии. В кн. «Руководство по гастроэнтерологии» / Под. ред. Ф. И. Комарова , С. И. Рапопорта. — М.: ООО «Медицинское информационное агентство», 2010, — сс. 45-60. ISBN 978-5-89481-812-2.
- ↑ Рапопорт С. И., Ракитин Б. В.. pH-метрия пищевода и желудка при заболеваниях верхних отделов пищеварительного тракта. В кн. «Руководство по гастроэнтерологии» / Под. ред. Ф. И. Комарова , С. И. Рапопорта. — М.: ООО «Медицинское информационное агентство», 2010, — сс. 88-95. ISBN 978-5-89481-812-2.
- ↑ Сотников В. Н., Дубинская Т. К., Волова А. В., Яковлев Г. А. Значение эндоскопической pH-метрии в определении кислотопродуцирующей функции желудка Архивная копия от 19 ноября 2011 на Wayback Machine. Пособие для врачей. М.: РМАПО. — 2005. — 35с.
- ↑ Корниенко Е. А., Дмитриенко М. А., Никулин Ю. А., Филюшкина Е. И., Филюшкин И. П. Применение медицинской техники при функциональной диагностике в гастроэнтерологии Архивная копия от 4 ноября 2010 на Wayback Machine. Учебно-методическое пособие. — СПб. — 2006. −103 с.
- ↑ Трухманов А. С., Кайбышева В. О. pH-импедансометрия пищевода Архивная копия от 10 мая 2013 на Wayback Machine. Пособие для врачей / Под ред. акад. РАМН, проф. В. Т. Ивашкина — М.: ИД «МЕДПРАКТИКА-М», 2013. 32 с. ISBN 978-5-98803-288-5.
- ↑ 1 2 Stendal, Charlotte. Practical guide to gastrointestinal function testing (англ.). — Oxford: Blackwell Science, 1997. — ISBN 0-632-04918-9.
- ↑ Синицын В. Е. Лучевая диагностика. В кн. «Руководство по гастроэнтерологии» / Под. ред. Ф. И. Комарова , С. И. Рапопорта. — М.: ООО «Медицинское информационное агентство», 2010. — сс. 13-45. ISBN 978-5-89481-812-2.
- ↑ Выскребенцева С. А., Алфёров В. В., Ковалёва Н. А., Бобрышев Д. В., Пасечников В. Д. Электрическая активность желудка у больных ГЭРБ Архивная копия от 22 ноября 2011 на Wayback Machine. Материалы III научно-практической конференции с международным участием, посвящённой памяти заслуженного деятеля науки РФ профессора Л. И. Геллера. — 2002. — № 1. — C. 76-83.
- ↑ 1 2 Смирнова Г. О. , Силуянов С. В. Периферическая электрогастроэнтерография в клинической практике Архивная копия от 15 декабря 2010 на Wayback Machine. — Пособие для врачей. / Под ред. профессора В. А. Ступина — М.: 2009 — 20 c. ISBN 978-5-98803-169-7.
- ↑ Рапопорт С. И., Ракитин Б. В.. Периферическая электрогастроэнтерография. В кн. «Руководство по гастроэнтерологии» / Под. ред. Ф. И. Комарова , С. И. Рапопорта. — М.: ООО «Медицинское информационное агентство», 2010. — сс. 97-98. ISBN 978-5-89481-812-2.
- ↑ Высшая аттестационная комиссия Министерства образования и науки Российской Федерации. Перечень ведущих периодических изданий Архивировано 8 ноября 2010 года..
- ↑ Сайт журнала «Клинические перспективы гастроэнтерологии, гепатологии» Архивная копия от 12 апреля 2009 на Wayback Machine.
- ↑ Сайт журнала «Российский журнал гастроэнтерологии, гепатологии и колопроктологии» Архивная копия от 17 апреля 2009 на Wayback Machine.
- ↑ Сайт журнала «Клиническая гастроэнтерология и гепатология» Архивная копия от 8 апреля 2010 на Wayback Machine.
- ↑ Сайт журнала «Экспериментальная и клиническая гастроэнтерология» Архивная копия от 31 мая 2009 на Wayback Machine.
- ↑ Сайт журнала «Гастроэнтерология Санкт-Петербурга» Архивная копия от 11 июня 2022 на Wayback Machine.
- ↑ Сайт журнала «Сучасна гастроэнтерологія» Архивная копия от 29 марта 2008 на Wayback Machine. (укр.)
- ↑ 100 most influential journals of Biology & Medicine over the last 100 years Архивная копия от 3 июля 2009 на Wayback Machine. (англ.)
- ↑ Сайт журнала «Gastroenterology» Архивная копия от 16 мая 2008 на Wayback Machine. (англ.)
- ↑ Сайт журнала «American Journal of Gastroenterology» Архивная копия от 16 декабря 2008 на Wayback Machine. (англ.)
- ↑ Сайт журнала «Clinical Gastroenterology and Hepatology» Архивная копия от 16 мая 2008 на Wayback Machine. (англ.)
- ↑ Сайт журнала «Current Opinion in Gastroenterology» Архивная копия от 9 мая 2012 на Wayback Machine. (англ.)
- ↑ Сайт журнала «European Journal of Gastroenterology and Hepatology» Архивная копия от 2 февраля 2011 на Wayback Machine. (англ.)
- ↑ Сайт журнала «Gastroenterology Nursing» Архивная копия от 28 января 2011 на Wayback Machine. (англ.)
- ↑ Сайт журнала «Gut» Архивная копия от 9 июля 2009 на Wayback Machine. (англ.)
- ↑ Сайт журнала «Journal of Clinical Gastroenterology» Архивная копия от 11 августа 2011 на Wayback Machine. (англ.)
- ↑ Сайт журнала «Nature Reviews Gastroenterology & Hepatology» Архивная копия от 4 октября 2017 на Wayback Machine. (англ.)
- ↑ Сайт журнала «Scandinavian Journal of Gastroenterology» Архивная копия от 22 мая 2013 на Wayback Machine. (англ.)
- ↑ Сайт журнала «The Turkish Journal of Gastroenterology» Архивная копия от 20 сентября 2005 на Wayback Machine. (англ.)
- ↑ Полищук Н. Е., Харченко Н. В., Кухар О. Всемирному дню здорового пищеварения посвящается… Архивная копия от 14 января 2010 на Wayback Machine Медицинская газета «Здоровье Украины», № 6/1, апрель 2008 года, на стр. 48-49.
- ↑ Сайт Всемирной организации гастроэнтерологов. World Digestive Health Day/Year Архивная копия от 12 июня 2015 на Wayback Machine. (англ.)