Желудок человека


Желу́док (лат. ventriculum, gaster, др.-греч. γαστήρ) — полый мышечный орган, часть пищеварительного тракта, расположен между пищеводом и двенадцатиперстной кишкой[1][2].
Объём пустого желудка составляет около 0,5 л (0,8—1,5 л). После принятия пищи он обычно растягивается до 1 л, но может увеличиться и до 5 л.
Размеры желудка варьируются в зависимости от типа телосложения и степени наполнения. Умеренно наполненный желудок имеет длину 24—26 см, наибольшее расстояние между большой и малой кривизной не больше 10—12 см, а передняя и задняя стенки отделены друг от друга на 8—9 см. У пустого желудка длина — 18—20 см, а расстояние между большой и малой кривизной — 7—8 см.
Строение


2. большая кривизна
3. тело
4. нижний полюс желудка
5. привратниковая (пилорическая) часть
6. отверстие привратника
7. угловая вырезка
8. малая кривизна
9. складки слизистой оболочки
D. двенадцатипёрстная кишка
E. пищевод

В желудке выделяют входную — кардиальную часть (лат. pars cardiaca), слева от которой желудок расширяется, образуя дно (свод) желудка (лат. fundus (fornix) ventriculi), который далее книзу и вправо переходит непосредственно в тело желудка (corpus ventriculi). Левый (нижний) выпуклый край желудка образует собой большую кривизну (curvatura major), а правый вогнутый верхний формирует малую кривизну (лат. curvatura minor). В верхней левой части малой кривизны находится кардиальное отверстие (лат. ostium cardiacum) — место перехода пищевода в желудок.
Правая суженная часть желудка носит название пилорической (лат. pars pylorica). В её составе выделяют более широкую часть, называемую привратниковой пещерой (лат. antrum pyloricum) и более узкую — канал привратника (лат. canalis pyloricus). Последний переходит в двенадцатиперстную кишку. Границей между желудком и двенадцатиперстной кишкой считается круговая борозда — привратник (лат. piloros), который соответствует отверстию канала привратника. Он снабжен сфинктером (кольцевой мышцей). Желудок человека имеет две стенки: переднюю (лат. paries anterior), являющуюся обращенной вперёд, несколько вверх и вправо, и заднюю (лат. paries posterior), обращенную назад, вниз и влево. Передняя и задняя стенки переходят одна в другую по большой и малой кривизне желудка.
Форма желудка подвержена изменениям в зависимости от количества съеденной пищи, положения тела человека и некоторых других факторов. Длина пустого желудка обычно составляет около 18—20 см, расстояние между большой и малой кривизной составляет 7—8 см. Умеренно наполненный желудок имеет длину 24—26 см, максимальное расстояние между кривизнами увеличивается до 10—12 см, между передней и задней стенками — 8—9 см. Объём желудка у взрослого человека может варьироваться в зависимости от количества принятой пищи и жидкости. Объём пустого желудка равняется около 0,5 л. После принятия пищи он растягивается от 1,5 до 4 л.
- Кровоснабжение и лимфоотток
- Иннервация
Связки желудка

- Брюшинные связки желудка со стороны малой кривизны относятся к малому сальнику
Печеночно-желудочная связка (лат. lig. hepatogastricum), являющаяся продолжением влево печеночно-дуоденальной связки, подходит к пилорической части и малой кривизне желудка со стороны ворот печени. Здесь её передний и задний листки переходят на соответствующие стенки желудка.
- Со стороны большой кривизны желудка располагаются связки, входящие в состав большого сальника
- Желудочно-диафрагмальная связка (лат. lig. gastrophrenicum) переходит с диафрагмы на дно желудка.
- Желудочно-селезеночная связка (лат. lig. gastrosplenicum) от верхней части большой кривизны подходит к воротам селезёнки.
- Желудочно-ободочная связка (лат. lig. gastrocolicum), связывает большую кривизну желудка с поперечной ободочной кишкой на протяжении от привратника до нижнего полюса селезёнки. С передней стенкой поперечной ободочной кишки она связана рыхло, что позволяет бескровно отделять большую кривизну желудка вместе с большим сальником от поперечной ободочной кишки при резекции желудка по поводу рака.
Перечисленные связки желудка часто называют поверхностными.
Функции желудка
Желудок служит резервуаром для проглоченной пищи, которая в нём перемешивается и обеззараживается (препятствование проникновению в организм болезнетворных бактерий и микробов) под влиянием желудочного сока, содержащего в своём составе пепсин, липазу, соляную кислоту, слизь и другие активные соединения. Кроме химической обработки пищи желудок также выполняет эндокринную функцию путём секреции целого ряда биологически активных веществ — гистамина, мотилина, гастрина, вещества Р, серотонина и др., а также функцию всасывания — в нём происходит всасывание сахаров, спирта, воды, соли. В слизистой оболочке желудка образуется антианемический фактор, который способствует усвоению поступающего с пищей витамина В12.
- накопление пищевой массы, её механическая обработка и продвижение в кишечник (эвакуаторно-моторная);
- секреторная и пищеварительная функция (выделение желудочного сока, содержащего воду, слизи, бикарбонаты, соляную кислоту, минеральные вещества и ферменты — пепсин, химозин и липазу);
- всасывательная функция;
- секреция противоанемического фактора Касла (в середине XX века было замечено, что после резекции желудка возникает анемия), способствующего всасыванию из пищи витамина В12;
- экскреторная (усиливается при почечной недостаточности);
- эндокринная (за счёт наличия одиночных эндокринных клеток — диффузная эндокринная система);
- защитная (бактерицидная) — за счёт соляной кислоты[3].
Развитие желудка
Развивается из переднего отдела туловищной части передней кишки. Эпителий из энтодермы кишечной трубки, т.е. слизистая кишечного типа.
На 5—6 неделе происходит дифференцировка кишечной трубки: появляется веретенообразное расширение, которое подвешивается на вентральной и дорсальной брыжейках. Начинает формироваться сальниковая сумка. В области большой кривизны происходит усиленный рост дорсальной брыжейки.
На 5—10 неделе происходит формирование желудочных ямок, закладка желез (сначала в виде почек, после формируются клетки; сначала париетальные, потом главные и слизистые).
На 7—8 неделе передняя кишка в области желудка (каудальный конец) совершает повороты: вокруг вертикальной оси слева направо (правая стенка становится задней, левая — передней) и вокруг сагиттальной оси снизу вверх (малая кривизна обращается кверху, большая — книзу). Вентральная и дорсальная брыжейки атрофируются.
Из мезенхимы образуется кольцевой слой мышечной оболочки (средний) и мышечная пластинка слизистой. Затем — внутренний косой и наружный продольный слои мышечной оболочки[4].
На 9—10 неделе дифференцируются ткани желудка, а к концу 3 месяца — желудок сформирован.
Анатомические характеристики
Топография желудка
Желудок на три четверти располагается в левом подреберье и на одну четверть в области эпигастрия. Кардиальное отверстие находится слева от тела желудка на уровне X—XI грудных позвонков. Отверстие привратника располагается у правого края позвоночного столба на уровне XII грудного — I поясничного позвонков. Кардиальная часть, дно и тело желудка прилежат к диафрагме, малая кривизна соприкасается с висцеральной поверхностью левой доли печени. К передней брюшной стенке посредственно прилежит небольшой участок тела желудка треугольной формы. Сальниковая сумка, расположенная позади желудка отделяет его от органов, находящихся забрюшинно. В области большой кривизны задняя поверхность желудка прилежит к поперечной ободочной кишке и её брыжейке, дно желудка — к селезёнке. Позади тела желудка в забрюшинном пространстве располагаются поджелудочная железа, а также верхний полюс левой почки и левый надпочечник.
Скелетотопия желудка
- кардиальный отдел, лат. pars cardiaca — на уровне VII ребра слева;
- дно желудка (свод), лат. fundus (fornix) ventricul — на уровне хряща V ребра слева;
- тело желудка, лат. corpus ventriculi — между дном желудка и пилорическим отделом, соответственно;
- пилорический отдел (привратниковый), лат. pars pylorica — на уровне Th12-L1 позвонка справа.
Дно желудка прилежит к ребрам, пилорический отдел — к позвоночному столбу.
Синтопия желудка
К желудку прилежат:
- спереди — левая доля печени;
- сзади, слева, сверху — селезёнка;
- сзади — поджелудочная железа;
- снизу — петли тонкой (тощей) кишки.
Голотопия желудка
Покрыт брюшиной со всех сторон (интраперитонеально), проецируется в надчревье (regio epigastrica).
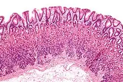
Гистологические характеристики
Гистологически выделяют только 3 отдела желудка, так как слизистая оболочка дна и тела желудка имеют сходное строение и рассматриваются как единое целое.
Желудок — слоистый орган, поэтому стенка образована четырьмя оболочками: слизистой, подслизистой, мышечной и серозной[5].
Слизистая оболочка


Для рельефа слизистой оболочки (СО) желудка характерны продольные складки, поля, ямочки. Состоит из трёх слоёв: эпителиальной, собственной и мышечной пластинок.
Эпителий
Однослойный высокопризматический (столбчатый) железистый энтеродермального типа, выстилает желудочные ямки, одинаков во всех отделах желудка. Все его клетки секретируют на поверхность СО особый слизистый секрет, покрывающий СО непрерывным слоем толщиной 0,5 мм. Бикарбонат, образующийся париетальными клетками и диффундирующий в слизь, нейтрализует соляную кислоту (также секрет париетальных желез). Для секреции ферментов и соляной кислоты в просвет желудка в слое слизи формируются временные каналы. Слизь образует защитный барьер, предотвращающий механические повреждения СО и её переваривание желудочным соком. Этот барьер повреждается алкоголем и нестероидными противовоспалительными препаратами.
Покровный эпителий полностью обновляется в течение 1—3 суток.
Собственная пластинка
Образована рыхлой волокнистой неоформленной соединительной тканью с большим количеством кровеносных и лимфатических сосудов, содержит диффузные скопления лимфоидной ткани и отдельные лимфатические узелки. В виде тонких прослоек проходит между железами желудка, занимающими основную часть этого слоя.
Железы желудка
Количество желез около 15 млн — простые, трубчатые, разветвлённые и неразветвлённые (в области дна желудка); подразделяются на кардиальные, собственные (фундальные) и пилорические[6].
- кардиальные — трубчатые, с сильно разветвлёнными концевыми отделами, часто имеющими широкий просвет. Располагаются в кардиальном отделе желудка, сходны с кардиальными железами пищевода. Содержат слизистые клетки (со светлой ЦП, уплощённым ядром, лежащим базально), которые вырабатывают мукоидный секрет, бикарбонаты и хлориды калия и натрия. Встречаются также отдельные главные, париетальные и эндокринные клетки (см. ниже).
- собственные (фундальные) железы — неразветвленные, располагаются в теле и дне желудка и численно преобладают над другими типами желез. Группами по 3—7 впадают в небольшие желудочные ямки. В них выделяют суженную шейку, удлинённое тело и дно. Состоят из клеток 5х типов: главных, париетальных (обкладочных), шеечных, добавочных слизистых и эндокринных[4].
- главные клетки — наиболее многочисленны в области тела и дна железы. Имеют пирамидную или цилиндрическую форму и крупное ядро, расположенное базально. ЦП — базофильная, зернистая, в базальной части клетки и вокруг ядра содержит много грЭПС, хорошо развитый КГ, в котором образуются крупные секреторные зимогенные гранулы (содержат пепсиноген и другие проферменты), накапливающиеся в апикальной части клетки и выделяющиеся в просвет железы. В просвете желудка пепсиноген под влиянием соляной кислоты превращается в активный пепсин.
- париетальные (обкладочные) клетки — преобладают в области тела железы. Крупнее главных. Имеют округлую форму с узкой вершиной, обращённой в просвет железы, которой они вдаются между главными клетками, располагаясь кнаружи от них. Ядро лежит в центре клетки. В оксифильной ЦП много крупных МТХ с развитыми кристами и особые внутриклеточные секреторные канальцы в виде узких щелей, в которые обращены многочисленные микроволоски.
- По периферии канальцев располагается тубуло-везикулярный комплекс — система мембранных пузырьков и трубочек (резерв мембраны, содержащей ионные насосы), которые сливаются с канальцами при активной секреции.
Париетальные клетки через апикальный полюс секретируют ионы водорода и хлора, которые, в совокупности своей, представляют соляную кислоту, создающую в просвете желудка кислую (pH<2) среду. Последняя обеспечивает:- разрушение белков;
- превращение пепсиногена в пепсин и оптимум pH для активности последнего;
- угнетение роста патогенных микроорганизмов.
- Через базальную плазмалемму париетальная клетка выделяет ионы гидрокарбоната, которые капиллярами собственной пластинки приносятся к базальной поверхности покровных клеток, транспортирующих их в слизь, где они нейтрализуют соляную кислоту.
Также париетальные клетки синтезируют и выделяют антианемический фактор, который, образовав комплекс с витамином В12, всасывается в подвздошной кишке и необходим для нормального кроветворения. При недостаточности этого фактора (в результате аутоиммунного повреждения париетальных клеток или после удаления желудка) развивается злокачественная анемия.
Секреция париетальных клеток стимулируется гистамином, гастрином и ацетилхолином.
- Через базальную плазмалемму париетальная клетка выделяет ионы гидрокарбоната, которые капиллярами собственной пластинки приносятся к базальной поверхности покровных клеток, транспортирующих их в слизь, где они нейтрализуют соляную кислоту.
- слизистые шеечные клетки — немногочисленны, располагаются в шейке, небольших размеров. Цитоплазма — слабобазофильная, зернистая, содержит умеренно развитую грЭПС и крупный надъядерный КГ, от которого отделяются крупные слизистые гранулы, накапливающиеся у апикального полюса. Эти клетки часто делятся и рассматриваются как камбиальные элементы эпителия желез и покровного эпителия желудка, куда они, дифференцируясь, мигрируют. Обновление клеток в железах происходит гораздо медленнее, чем в покровном эпителии (малодифференцированные клетки). Слизь, вырабатываемая шеечными клетками, возможно, предохраняет их от повреждения.
- добавочные слизистые клетки — располагаются в теле собственных желез и имеют уплотнённое ядро в базальной части клеток. В апикальной части этих клеток обнаружено множество круглых и овальных гранул, небольшое количество Мх и КГ.
- эндокринные клетки — располагаются в дне желез. Светлые, форма — разнообразная (треугольная, овальная или полигональная). Апикальный полюс содержит ядро, не всегда достигает просвета железы. В базальном полюсе находятся плотные секреторные гранулы, выделяющиеся в кровь. Гранулы покрыты мембраной, окрашиваются солями серебра и хрома и содержат пептидные гормоны и амины.
Относятся к ДЭС и APUD-системе, делятся на EC-, ECL- и G-клетки. Вырабатывают гормоны, влияющие на секреторную деятельность и моторику пищеварительного тракта:
- D: соматостатин (тело, пилорический отдел) — угнетает секрецию клеток ГЭП и желез желудка;
- EC: серотонин, мотилин, вещество Р (тело, пилорический отдел) — усиливает моторику кишки;
- ECL: гистамин (тело) — усиливает секрецию соляной кислоты желудком;
- пилорические железы — трубчатые, с сильно разветвлёнными и извитыми концевыми отделами. Располагаются в пилорическом отделе. Впадают в очень глубокие желудочные ямки. Образованы слизистыми клетками, секрет которых защищает СО от кислого желудочного сока. Большинство желез не содержат париетальных клеток. В основном представлены эндокринными клетками (см. выше):
- D: соматостатин (тело, пилорический отдел) — угнетает секрецию клеток ГЭП и желез желудка;
- EC: серотонин, мотилин, вещество Р (тело, пилорический отдел) — усиливает моторику кишки;
- G: гастрин (пилорический отдел) — усиливает секрецию соляной кислоты и пепсиногена желудком;
- L: энтероглюкагон (пилорический отдел) — стимулирует гликогенолиз в печени.
Мышечная пластинка
Мышечная пластинка СО — образована тремя слоями гладкомышечных клеток (внутренним косым, наружным продольным и средним круговым). От неё в промежутки между железами направляются тонкие пучки гладкомышечных клеток[7].
Подслизистая основа
Подслизистая основа желудка хорошо развитая. Образована рыхлой волокнистой неоформленной соединительной тканью, которая богата в своем строении эластическими волокнами, кровеносными и лимфатическими сосудами (артериальное, венозное и лимфатическое сплетения) и нервами (подслизистое сплетение, так называемое мейснерово сплетение)[8]. Подслизистая основа участвует в образовании желудочных складок.
Мышечная оболочка
Мышечная оболочка желудка образована гладкой мышечной тканью, образующей 3 слоя: наружный — продольный, средний — циркулярный, внутренний — косой. Первые два из них представляют собой продолжение одноимённых слоев мышечной оболочки пищевода. Продольные мышечные пучки располагаются преимущественно около малой и большой кривизны желудка. Отдельные мышечные пучки являются более развитыми в области привратника.
Циркулярный слой является максимально развитым в пилорическом отделе, где его волокна образуют сжиматель (сфинктер) привратника (толщина 3-5 мм). При его сокращении закрывается выход из желудка. Косо ориентированные мышечные волокна в составе строения стенок пищеварительного канала имеются только у желудка. Они «перекидываются» через кардиальную часть желудка слева от кардиального отверстия и затем направляются вниз и вправо в толще стенок желудка по направлению к большой кривизне. Между мышечными слоями располагается мышечное нервное сплетение (так называемое ауэрбаховское сплетение)[9].
Серозная оболочка
Наружная серозная оболочка представлена брюшиной. Она образована слоем мезотелия (снаружи) и подлежащей соединительной тканью (РВНСТ). Только узкие полоски стенок желудка, располагающиеся на малой и большой кривизне лишены серозного покрова. В этих местах к желудку подходят кровеносные сосуды и нервы. Серозная оболочка отделена от мышечной тонкой подсерозной основой[10].
Физиология

Железы слизистой оболочки желудка выделяют желудочный сок, содержащий пищеварительные ферменты пепсин, химозин и липазу, а также соляную кислоту и другие вещества. Желудочный сок расщепляет белки и частично жиры, оказывает бактерицидное действие.
За счёт мышечного слоя желудок перемешивает пищу и желудочный сок, образуя химус — жидкую кашицу, которая удаляется отдельными порциями из желудка через привратниковый канал. В зависимости от консистенции поступившей пищи, она задерживается в желудке от 20 минут (фруктовые соки, а также овощные соки и бульоны) до 6 часов (свинина).
Кроме того, стенка желудка всасывает углеводы, этанол, воду и некоторые соли.
Некоторые патологии желудка
- Ахлоргидрия, гиперхлоргидрия, ахилия
- Гастрит, гастродуоденит, гастроэнтерит, гастроэнтероколит
- ЯБЖ
- Гастропарез
- Портальная гипертензионная гастропатия
- Гастроптоз
- Агастрия
- Микрогастрия
- Безоар
- Опухоли желудка
См. также
- Гастроэнтерология
- Кардиальная вырезка образующая разные углы Гиса
- Урчание
- Грыжа пищеводного отверстия диафрагмы
- Электрогастроэнтерография
- Зондирование желудка
- Промывание желудка
- Гастроскопия
- Гастростомия
- Бандажирование желудка
- Ваготомия
- Гастрэктомия
- Гастрошунтирование
Примечания
- ↑ Желудок : [арх. 3 января 2023] // Большая российская энциклопедия [Электронный ресурс]. — 2016. (Желудок // Железное дерево — Излучение. — М. : Большая российская энциклопедия, 2008. — С. 23-24. — (Большая российская энциклопедия : [в 35 т.] / гл. ред. Ю. С. Осипов ; 2004—2017, т. 10). — ISBN 978-5-85270-341-5.).
- ↑ Желудок / Алиев Б. М., Аруин Л. И., Габуния Р. И., Кишковский А. Н., Меликова М. Ю., Гераськин В. И., Дорофеев Г. И., Клименков А. А., Коротько Г. Ф., Лисицын К. М., Михайлов C. С., Розанов Б. С. и др. // Большая медицинская энциклопедия : в 30 т. / гл. ред. Б. В. Петровский. — 3-е изд. — М. : Советская энциклопедия, 1978. — Т. 8 : Евгеника — Зыбление. — 528 с. : ил.
- ↑ Мяделец О. Д. Гистология, цитология и эмбриология человека. — Витебск: ВГМУ, 2007. — С. 250—251. — 349 с. — ISBN 978-985-466-195-7.
- ↑ 1 2 Гистология.mp3 - Пищеварительная система (часть 6). morphology.dp.ua. Дата обращения: 7 октября 2021. Архивировано 7 октября 2021 года.
- ↑ Сулаева О.Н. УЧЕБНОЕ ПОСОБИЕ ПО ГИСТОЛОГИИ. — Запорожье: Запорожский государственный медицинский университет, 2015. — 21 с. Архивировано 15 апреля 2022 года.
- ↑ С. Л. Кузнецов, Н. Н. Мушкамбаров. Гистология, цитология и эмбриология: краткий курс. — М.: ООО «Издательство «Медицинское информационное агентство»»,, 2012. — 180 с. — ISBN 978-5-9986-0084-5. Архивировано 7 октября 2021 года.
- ↑ Anatomy of the Stomach - Health Encyclopedia - University of Rochester Medical Center. www.urmc.rochester.edu. Дата обращения: 8 октября 2021. Архивировано 19 ноября 2021 года.
- ↑ МЕЙСНЕРОВО СПЛЕТЕНИЕ : [арх. 24 сентября 2020] // Маниковский — Меотида. — М. : Большая российская энциклопедия, 2012. — С. 611. — (Большая российская энциклопедия : [в 35 т.] / гл. ред. Ю. С. Осипов ; 2004—2017, т. 19). — ISBN 978-5-85270-353-8.
- ↑ АУЭРБАХОВСКОЕ СПЛЕТЕНИЕ : [арх. 7 октября 2021] // Анкилоз — Банка. — М. : Большая российская энциклопедия, 2005. — С. 500. — (Большая российская энциклопедия : [в 35 т.] / гл. ред. Ю. С. Осипов ; 2004—2017, т. 2). — ISBN 5-85270-330-3.
- ↑ Stomach histology (англ.). Kenhub. Дата обращения: 8 октября 2021. Архивировано 8 октября 2021 года.
Литература
- Привес М. Г., Лысенков Н. К. Анатомия человека. — 11-е переработанное и дополненное. — Гиппократ. — 704 с. — 5000 экз. — ISBN 5-8232-0192-3.
- Афанасьев Ю.И., Юрина Н.А. Гистология, цитология и эмбриология. — 5-е переработанное и дополненное. — М.: Медицина, 2002. — 744 с. — 10 000 экз. — ISBN 5-225-04523-5.
- Быков В. Л. Частная гистология человека. (Краткий обзорный курс). Учебник. — СПб.: СОТИС, 1999. — 304 с. — ISBN 5-85503-116-0
- Сапин М. Р., Билич Г. Л. Анатомия человека: учебник в 3 т. — М.: ГЭОТАР-Медиа, 2008. — Том 2. — 496 с.: ил. ISBN 978-5-9704-0602-1 (т.2)
Ссылки
- Желудок, анатомия // Энциклопедический словарь Брокгауза и Ефрона : в 86 т. (82 т. и 4 доп.). — СПб., 1890—1907.
- Желудок, физиология // Энциклопедический словарь Брокгауза и Ефрона : в 86 т. (82 т. и 4 доп.). — СПб., 1890—1907.