Цитомегаловирус человека
| Цитомегаловирус человека | ||||||
|---|---|---|---|---|---|---|
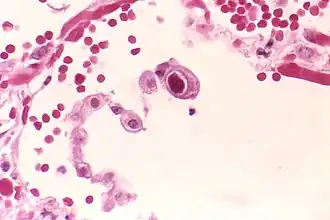
![]() Цитомегаловирусная инфекция клетки лёгкого (клетка с увеличенным ядром, в центре) | ||||||
| Научная классификация | ||||||
|
Реалм: Царство: Тип: Peploviricota Класс: Herviviricetes Порядок: Семейство: Подсемейство: Род: Вид: Цитомегаловирус человека |
||||||
| Международное научное название | ||||||
| Human betaherpesvirus 5 | ||||||
| Синонимы | ||||||
| Группа по Балтимору | ||||||
| I: дцДНК-вирусы | ||||||
| ||||||
Цитомегаловирус[4] (человека), или герпесвирус человека тип 5[4] (ГВЧ-5, англ. Human betaherpesvirus 5, ранее Human herpesvirus 5) — вид герпесвирусов, принадлежащих к роду цитомегаловирус (Cytomegalovirus), способных инфицировать человека наряду с другими видами герпеса человека, такими как HSV-1, HSV-2 и вирус Эпштейна — Барр. Вирус был открыт в 1956 году[5], в 1979 году зарегистрирован в Международном комитете по таксономии вирусов (ICTV)[2], в 2016 году сменил научное название, как и все герпесвирусы[6].
Является возбудителем цитомегаловирусной инфекции человека. Представляет опасность только для отдельных категорий людей с подавленной или несформированной системой иммунитета, обычно вирусу характерна пожизненная персистенция.
В настоящее время известно три штамма цитомегаловируса человека[5]. Развитие вируса происходит в фибробластах человека. Поражённые клетки приобретают гигантские размеры, накапливая скопления частиц возбудителя. Процесс репликации вируса идёт в лейкоцитах, завершается образованием дочерних вирусных частиц, которые, выходя из поражённой клетки, воздействуют на рецепторы ближайших клеток и атакуют их.
Вирусология
Морфология
Цитомегаловирус — это обернутый вирус с аморфным тегументом, сферическим и многосоставным капсидом, образованным 162 капсомерами. В среднем он имеет 150-200 Нм, гликопротеиновые комплексы входят в состав мембранной оболочки.
Геном
Геном — несегментированный, линейный в обычном состоянии, цепочка ДНК длиной 200 кб, содержащий окончания и внутренние повторяющиеся последовательности.
Экспрессия генов
Каждый вирусный транскрипт, в основном один белок, содержит промоторную/нормативную последовательность, TATA box, руководитель последовательности 30-300 bp (неизменённая) на 5' конце, завершающий символ незаменённой последовательность 10-30 bp на 3' конце и поли -, И сигнал. Многие гены перекрываются, вирус содержит только несколько отдельных. Некоторые ORF противоречат друг другу, некоторые из них могут быть транскрибированы из нескольких промоторную, а некоторые гены не кодируются.
Жизненный цикл
Репликация происходит в ядре. Он может проходить открытый или скрытый путь.
Открытый путь
- Вирус связывается с рецепторами хозяина.
- Мембрана вируса сливается с мембраной клетки и запускает так вирусные ядра и сегментарных белков в цитоплазму.
- Капсид транспортируется к ядерной поре, где в ДНК попадает внутрь.
- Выражаются непосредственные гены, которые инициируют экспрессию ранних генов.
- С помощью принимающих, таких как II транскрипция ранняя вирусная МРНК, которая переносится в цитоплазму и в соответствии с ней транслируют ранние белки.
- Ранние белки участвуют в репликации ДНК, поэтому они переносятся обратно в ядро.
- Синтез большого количества в ДНК с помощью вирусной ДНК зависимой ДНК полимеразы.
- С помощью принимающей, таких как II transkribována конце вирусной мрнк, которая переносится в цитоплазму и в соответствии с ней транслируются конечные белки.
- Поздние белки являются структурными компонентами вирусного ядра и таким образом переносятся обратно в ядро.
- Выпирание ядерной мембраной, которая пополнилась герпетическими гликопротеинами через Голджио аппарат и, наконец, они выпускаются через плазматическую мембрану.
- При открытом пути вирус предпочитает эпителиальные слизистые клетки.
Скрытый путь
Репликация вируса находится в тандеме с репликацией клетки-хозяина.
Эпидемиология
Распространение
Цитомегаловирус человека распространён по всему миру. В человеческой популяции находится преимущественно в латентной фазе. По некоторым оценкам, вирусом заражено 50—80 % населения. В подавляющем большинстве случаев вирус остаётся в организме, не вызывая никаких видимых проявлений.
Вирус передаётся через выделения организма (слюну, мочу, сперму, кровь), имеет тенденцию заражать без симптомов и поэтому легко распространяется. Однако во внешней среде под воздействием температуры и других факторов быстро теряет свою вирулентность. Под воздействием 20 % раствора этилового спирта вирус полностью инактивируется. В организме человека, заражённого вирусом, вырабатываются антитела, которые сохраняются на протяжении всей жизни.
Подозрения на ЦМВ (цитомегаловирус) рассматриваются только после положительного нахождения мононуклеоза, при котором антитела к вирусу Эпштейна-Барра или гепатита[уточнить] не обнаружены. Для выявления этих специфических антител используется техника ELISA (Иммуноферментный анализ) , но в случае ЦМВ она сложна и может обозначать индивида как ложноположительного.
Опасность
Инфекция представляет опасность для детей, которым она передалась от матери в ходе беременности. У них проявляется общая инфекция, сопровождающаяся увеличением печени и селезёнки и желтухой, что может привести к летальному исходу. Существуют методы лечения, которые эту возможность исключают, но 80-90 % детей страдают от осложнений, таких как глухота, нарушения зрения и умственная отсталость.
Эти риски, однако, относятся только к женщинам, которые заразились цитомегаловирусом во время беременности, и даже в этом случае риск передачи равен примерно 33 %, причем у этих 33 % перечисленные осложнения появляются только в 10-15 % случаях (3,3–5 % от общего числа детей). У женщин, инфицированных как минимум за 6 месяцев до беременности, риск передачи составляет 1 %.
У лиц с иммунной недостаточностью ЦМВ проявляется в гораздо более агрессивной форме, которая может привести к печеночной недостаточности. Пациенты, которые не инфицированы вирусом, должны превентивно проходить лечение препаратом валганцикловир (возможно, ганцикловир).
Примечания
- ↑ Таксономия вирусов (англ.) на сайте Международного комитета по таксономии вирусов (ICTV).
- 1 2 ICTV Taxonomy History for Human betaherpesvirus 5 Архивная копия от 10 августа 2016 на Wayback Machine на сайте ICTV (англ.) (Дата обращения: 27 июня 2016).
- ↑ Human herpesvirus 5 (англ.) на сайте Национального центра биотехнологической информации (NCBI). (Дата обращения: 27 июня 2016).
- 1 2 Атлас по медицинской микробиологии, вирусологии и иммунологии : Учебное пособие для студентов медицинских вузов / Под ред. А. А. Воробьёва, А. С. Быкова. — М. : Медицинское информационное агентство, 2003. — С. 109. — ISBN 5-89481-136-8.
- 1 2 Яцык Г. В., Одинаева Н. Д., Беляева И. А., ГУ Научный центр здоровья детей РАМН. Цитомегаловирусная инфекция // Практика педиатра. В помощь врачу. — 2009. — Октябрь. — С. 5—12. Архивировано 13 октября 2011 года.
- ↑ Davison A., Pellett P., Stewart J. Rename species in the family Herpesviridae to incorporate a subfamily designation : [англ.] : [арх. 23 июня 2016] // ICTVonline. — Code assigned: 2015.010aD. — 2015. — 5 p.
