Цитомегаловирусная инфекция
| Цитомегаловирус | |
|---|---|
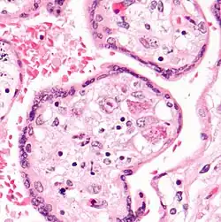
![]() Микрофотография плацентарной инфекции (плацентарный ЦМВ) | |
| МКБ-11 | 1D82 |
| МКБ-10 | B25 |
| МКБ-9 | 078.5 |
| MedlinePlus | 000568 |
| MeSH | D003586 |
Цитомегаловирусная инфекция[1] (ЦМВИ) — вирусное инфекционное заболевание человека, возбудителем которого является ДНК-содержащий цитомегаловирус человека из семейства герпесвирусов (Herpesviridae)[2].
В семействе Herpesviridae, HCMV принадлежит к подсемейству Betaherpesvirinae, которое также включает цитомегаловирусы, патогенные и для других млекопитающих[3].
Хотя вирусные частицы могут быть обнаружены по всему телу, HCMV чаще всего ассоциирован со слюнными железами[3]. В здоровом организме вирус никак себя не проявляет, но может быть смертельно опасен для людей с иммунодефицитами: для ВИЧ-инфицированных, реципиентов трансплантатов, новорождённых[2]. После заражения HCMV может очень долго латентно персистировать в организме. В конце концов это может привести к развитию мукоэпидермоидной карциномы и других злокачественных новообразований[4].
HCMV обнаружен во всех местах земного шара и во всех социально-экономических группах. В США процент инфицированных колеблется между 50 % и 80 % взрослых людей. Во всем мире заражено примерно 40 % людей,[5] на что указывает наличие антител у большей части населения в целом[2]. Доля сероположительных людей зависит от возраста: от 6 лет и старше инфицировано 58,9 % индивидов, в то время как после 80 лет это число составляет 90,8 %[6]. HCMV чаще всего поражает развивающийся плод и является наиболее распространённой вирусной причиной появления врождённых пороков развития в индустриальных странах. Он более распространён в развивающихся странах и среди людей, имеющих низкий социально-экономический статус. Вирус значительно воздействует на иммунную систему в дальнейшей жизни и может быть причиной повышенной заболеваемости и смертности[7].
Патогенез
Большинство здоровых людей, инфицированных HCMV после рождения, не имеют симптомов[2]. У других же появляется синдром, похожий на инфекционный мононуклеоз[8], с пролонгированной лихорадкой и мягким гепатитом. Часто болит горло. После инфицирования вирус остаётся латентным в теле человека на протяжении всей жизни. Он проявляет себя только при иммунодефиците, вызванном лекарствами, другой инфекцией или старостью.
Инфекциозный вирус имеется в биологических жидкостях любого заражённого человека, и может быть обнаружен в моче, слюне, крови, слезах, сперме и грудном молоке. Вирусовыделение может происходить периодически бессимптомно.

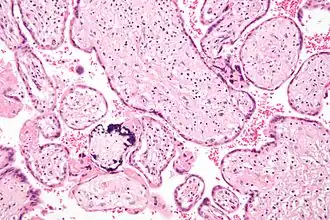
Инфекцию можно выявить микроскопически путём обнаружения внутриядерных включений. При окраске гематоксилин-эозином тельца включений становятся темно-розовыми, их называют «совиными глазами»[9].
Существуют группы риска, особенно подверженные вирусу[10]. Большую угрозу HCMV представляет для младенцев (даже ещё не рождённых) и людей с выраженными иммунодефицитами, такими как реципиенты трансплантатов, больные лейкемией или инфицированные ВИЧ. У ВИЧ-положительных людей проявление цитомегаловируса является индикатором того, что число Т-лимфоцитов снизилось до критического значения.
В течение литического цикла вирус повреждает цитоскелет, вызывая значительное увеличение клеток, благодаря чему вирус был и назван.
В исследовании, опубликованном в 2009 году, изучали связь между CMV и гипертонией у мышей и предположили, что повреждение эндотелиальных клеток кровеносных сосудов, развивающееся при цитомегаловирусной инфекции, является одной из значимых причин в развитии атеросклероза[11]. Исследователи также обнаружили, что поражённые клетки синтезируют ренин — белок, являющийся компонентом ренин-ангиотензиновой системы и повышающий артериальное давление. Высокое артериальное давление в свою очередь относят к факторам риска развития атеросклероза.
Передача
Механизм передачи вируса от человека к человеку до конца ещё не известен, однако считается, что передача происходит через слюну, мочу, сперму и другие биологические жидкости[3]. Так или иначе, процесс передачи требует близкого, интимного контакта с человеком, выделяющим вирус. Цитомегаловирус может передаваться при половом акте и через молоко при грудном вскармливании, трансплантации органов или при переливании крови[12]. Хотя HCMV не слишком заразен, было показано, что он распространён в семьях и детских садах[2].
Вакцина
Опубликованные в 2009 году материалы по второй фазе клинических исследований цитомегаловирусной вакцины показали 50 % эффективность. Защита была не полной, и многие люди, несмотря на проведённую вакцинацию, были заражены. Зарегистрирован один случай врожденной CMV-инфекции[13].
В феврале 2021 года американская компания Moderna объявила о разработке исследовательской м-РНК вакцины против цитомегаловируса[14].
Заболевания, вызываемые цитомегаловирусной инфекцией
Цитомегаловирусные инфекции наиболее опасны в перинатальном периоде и у людей с иммунодефицитами.
Беременность и врожденная инфекция
HCMV относится к группе TORCH-инфекций, приводящих к врожденным патологиям. Это токсоплазмоз, краснуха, цитомегаловирус и простой герпес. Мать заражает ребёнка при первичной инфекции или реактивации вируса перед родами.
До 5/1000 новорожденных инфицированы. У 5 % развивается цитомегалия, напоминающая по симптомам краснуху. У других 5 % впоследствии развивается церебральная кальцификация, сопровождающаяся снижением коэффициента интеллекта, нейросенсорной глухотой и психомоторной заторможенностью.
Инфекция при иммунодефицитах
Первичная цитомегаловирусная инфекция у пациентов с ослабленной системой иммунитета может вызывать серьёзные заболевания. Однако, более частой проблемой является реактивация латентного вируса.
Цитомегаловирусная инфекция является основной причиной болезней и смертей у пациентов с иммунодефицитами, включая реципиентов трансплантатов, пациентов, требующих гемодиализ, пациентов со злокачественными новообразованиями, ВИЧ-положительных, а также принимающих иммунодепрессанты. Такие люди должны быть максимально защищены от внешних источников вируса, чтобы минимизировать риск возникновения острой инфекции. Если не предпринимать никаких мер, восприимчивые люди могут заразиться через продукты крови при переливании или при трансплантации заражённых органов.
У пациентов с ослабленной иммунной системой CMV-ассоциированные заболевания проходят более остро.
Заболевания, выявляемые у таких людей:
- Цитомегаловирусный гепатит, вызываемый острой печёночной недостаточностью
- Цитомегаловирусный ретинит (воспаление сетчатки)
- Цитомегаловирусный колит (воспаление толстой кишки)
- Цитомегаловирусный пневмонит
- Цитомегаловирусный эзофагит[15]
- Полирадикулопатия (корешковый синдром), поперечный миелит и подострый энцефалит.
Люди, не инфицированные CMV, но получающие органы от больного донора, должны пройти профилактическое лечение с валганцикловиром (в идеале) или ганцикловиром. Также потребуется серологический мониторинг для контроля за подъёмом титра CMV-специфичных антител. Лечение, начатое на ранней стадии, снижает риск для жизни реципиента.
Инфекция у иммунных людей
Цитомегаловирусная инфекция имеет клиническое значение для взрослого населения с хорошим иммунитетом.
- Цитомегаловирусный мононуклеоз (некоторые источники применяют термин «мононуклеоз» только для мононуклеоза, вызванного вирусом Эпштейна — Барр)
- Пост-трансфузионный CMV — похож на предыдущий
- Исследования 2009 года показывают, что цитомегаловирусная инфекция может быть связана с развитием артериальной гипертензии[11]. У мышей, питавшихся пищей с высоким содержанием холестерина и зараженных CMV, гипертензия и сосудистые повреждения проявлялись в значительно большей степени, чем у не зараженных. Инфекция стимулировала цитокины — интерлейкин 6, фактор некроза опухоли и CCL2, и у инфицированных мышей отмечался воспалительный ответ в сосудах и других тканях. Далее возрастает выделение ренина и ангиотензина II, как дополнительных факторов, приводящих к гипертензии. CMV был также найден в гладких миоцитах аорты у пациентов с абдоминальной аневризмой аорты, вследствие чего можно предположить, что CMV индуцирует сосудистые заболевания[16][17].
Диагностика
Большинство цитомегаловирусных инфекций не диагностируются из-за невыраженной симптоматики, а редкие вспышки проходят зачастую без каких-либо внешних проявлений. Тем не менее, система иммунитета людей, заражённых CMV, вырабатывает антитела к вирусу, которые сохраняются на протяжении жизни человека. Существует ряд лабораторных тестов, способных иммунологически выявить эти антитела и, соответственно, определить, произошло заражение или нет. Возможен также вирусологический метод исследования: культивирование вируса для выявления активной инфекции, обнаруженного в образцах мочи, мазках из горла, бронхиальных смывов и тканей. Кроме того, можно использовать ПЦР не только для выявления вируса, но и для определения вирусной нагрузки. Также эффективен метод непрямой иммунофлуоресценции для выявления РР65-белков цитомегаловируса в лейкоцитах периферической крови.
Цитомегаловирусная pp65-проба широко используется для мониторинга цитомегаловирусной инфекции, в том числе и у беременных, и контроля во время противовирусной терапии у пациентов с иммунодефицитами. Реакция с антителами позволяет выявить инфекцию за пять дней по появления первых симптомов болезни. Преимуществом этого метода является скорость (результат становится известным в течение нескольких часов) и то, что определение pp65-антигена позволяет врачу своевременно назначить лечение. Недостатком является то, что за один раз можно проверить сравнительно небольшое количество образцов. Данный тест безопасен и может легко применяться у беременных. Однако из-за высокой стоимости постоянное тестирование всех беременных женщин невозможно, и необходимость диагностики рассматривается индивидуально в каждом случае.
Для лучшего диагностического эффекта лабораторные тесты должны выполняться с использованием парных серологических сывороток. Первый образец крови должен быть взят сразу, на две недели позже. При выраженных симптомах культуру можно брать в любое время.
Цитомегаловирусную инфекцию можно заподозрить у человека с симптомами инфекционного мононуклеоза, но дающего негативный результат при анализе на мононуклеоз и вирус Эпштейна — Барр, а также если пациент отрицателен на гепатиты A, B и C, хотя имеет характерную симптоматику.
Серологическая диагностика
Иммуноферментный анализ является наиболее доступным методом диагностики и чаще всего используется для измерения титра антител. Полученный результат может быть использован для установления факта начальной, острой инфекции или наличия антител, полученных от матери. Другие тесты предполагают использование разнообразных флуоресцентных сывороток, РНГА, а также ПЦР и реакцию связывания латекса.
Иммуноферментный анализ для CMV-специфических иммуноглобулинов M является доступным, но не слишком достоверным методом, так как может давать ложноположительный результат, если не удалить ревматоидный фактор или большую часть IgG перед началом исследования. В случае реактивации вируса CMV-специфический IgM может присутствовать в слишком малом количестве, и его наличие не всегда свидетельствует о первичной инфекции. Только выделение вируса из материала, полученного из поражённого органа, например лёгких, даёт однозначное доказательство того, что заболевание вызвано именно цитомегаловирусом. Если серологические тесты определяют положительный или высокий титр IgG, то это не обязательно значит, что это активная CMV-инфекция. Но если тесты в парных сыворотках показывают четырехкратное повышение антител IgG и значительный уровень антител IgM (составляет не менее 30 % от IgG), вирус культивируется в посевах мочи или других мазков, все эти результаты указывают на присутствие активной цитомегаловирусной инфекции.
Диагностика у доноров
Хотя риски, как указывалось выше, низки, цитомегаловирусные сывороточные тесты являются частью стандартного набора скрининг-тестов для анонимных доноров в США, Великобритании и многих других странах.
CMV-негативные препараты крови далее выделяются для переливания младенцам или пациентам с иммунодефицитами. Некоторые центры переливания крови ведут учёт таких доноров на случай чрезвычайных ситуаций[18].
Наличие у доноров костного мозга (гемопоэтических стволовых клеток) IgG-антител к цитомегаловирусу является благоприятным фактором, так как, попадая в организм реципиента, донорские клетки производят антитела, предохраняющие ослабленного пациента от цитомегаловирусной инфекции.
Лечение
Для лечения применяют гипериммунный цитомегаловирусный (человеческий) иммуноглобулин (CMV-IGIV). Это иммуноглобулин класса G (IgG), содержащий стандартное количество антител к цитомегаловирусу. Он может быть использован для профилактики цитомегаловирусной инфекции, ассоциированной с трансплантацией почек, печени, легких, поджелудочной железы и сердца.
Механизм действия CMV-IGIV основан на блокировании способности цитомегаловируса индуцировать внутриклеточную активацию сигнальных систем NF-kappaB, Sp-1, P13-K и выработки немедленных, ранних и поздних вирусных протеинов[19].
При отдельном применении или в комбинации с противовирусным препаратами было показано, что CMV-IGIV:
- Снижает риск CMV-ассоциированных заболеваний и смертей у пациентов групп риска (реципиентов трансплантатов)
- Статистически достоверно увеличивает выживаемость
- Имеет минимальные побочные эффекты[20].
Терапия ганцикловиром (англ. Cytovene) проводится у пациентов с иммунодефицитами или имеющими другие ассоциированные или опасные для жизни заболевания. Валганцикловир (англ. Valcyte) — противовирусный препарат, эффективный при пероральном применении. Однако его эффективность часто снижается из-за появления резистентных штаммов вируса. Резистентность связывают с вариабельностью аминокислотных остатков в UL97-протеинкиназе и вирусной ДНК-полимеразе. Фоскарнет или цидофовир (англ. Cidofovir) применяют только у пациентов с цитомегаловирусом, резистентным к ганцикловиру, так как эти препараты являются нефротоксичными и вызывают колебания уровня Ca2+ или P, снижается Mg2+.
Лекарственная устойчивость
Резистентность цитомегаловируса (ЦМВ) к противовирусным препаратам является хорошо признанным явлением, которое наблюдается как в лабораторных, так и в клинических условиях. Инфекции, вызванные устойчивым к противовирусным препаратам ЦМВ, были обнаружены исключительно у лиц с ослабленным иммунитетом, включая больных СПИДом, реципиентов трансплантата костного мозга и твердых органов, а также пациентов с гематологическими злокачественными новообразованиями и лиц с первичными иммунодефицитами. Большинство этих инфекций, как было описано, возникают у пациентов со СПИДом, получающих длительную противовирусную терапию для лечения ЦМВ-заболевания конечных органов. Противовирусные препараты, которые в настоящее время лицензированы для лечения ЦМВ-инфекций, включают ганцикловир, фоскарнет и цидофовир. Резистентность ЦМВ к ганцикловиру связана с мутациями в области UL97 вирусного генома и / или мутациями в вирусной ДНК-полимеразе. Резистентность к фоскарнету и цидофовиру связана с мутациями в вирусной ДНК-полимеразе. Противовирусная восприимчивость штаммов ЦМВ, содержащих мутации ДНК-полимеразы, зависит от области ДНК-полимеразы, в которой расположены мутации. Некоторые ДНК-полимеразные мутантные вирусы обладают перекрестной устойчивостью к ганцикловиру, фоскарнету и цидофовиру. Признание того, что специфические мутации UL97 и UL54 связаны с устойчивостью к противовирусным препаратам, привело к разработке молекулярных методов обнаружения мутантных вирусов. В данной статье рассматриваются механизмы резистентности ЦМВ к противовирусным препаратам, лабораторные методы выявления резистентных ЦМВ, а также клинические аспекты инфекций, вызванных противовирусно-резистентными ЦМВ.
Иллюстрации
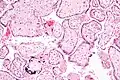
Микрофотография цитомегаловирусного плацентита.
Источники
- ↑ Г.В. Яцык, Н.Д. Одинаева, И.А. Беляева, ГУ Научный центр здоровья детей РАМН. Цитомегаловирусная инфекция // Практика педиатра. В помощь врачу.. — 2009/10. — С. 5—12. Архивировано 13 октября 2011 года.
- 1 2 3 4 5 Ryan K. J., Ray CG (editors). Sherris Medical Microbiology (неопр.). — 4th. — McGraw-Hill Education, 2004. — С. 556; 566—9. — ISBN 0838585299.
- 1 2 3 Koichi Yamanishi; Arvin, Ann M.; Gabriella Campadelli-Fiume; Edward Mocarski; Moore, Patrick; Roizman, Bernard; Whitley, Richard. Human herpesviruses: biology, therapy, and immunoprophylaxis (англ.). — Cambridge, UK: Cambridge University Press, 2007. — ISBN 0-521-82714-0.
- ↑ Melnick M., Sedghizadeh P. P., Allen C. M., Jaskoll T. Human cytomegalovirus and mucoepidermoid carcinoma of salivary glands: cell-specific localization of active viral and oncogenic signaling proteins is confirmatory of a causal relationship. (англ.) // Experimental and molecular pathology. — 2012. — Vol. 92, no. 1. — P. 118—125. — doi:10.1016/j.yexmp.2011.10.011. — PMID 22101257.
- ↑ Offermanns S., Rosenthal W. Encyclopedia of Molecular Pharmacology (неопр.). — 2nd. — Springer, 2008. — С. 437—438. — ISBN 978-3-540-38916-3.
- ↑ Staras S.A., Dollard S.C., Radford K.W., Flanders W.D., Pass R.F., Cannon M.J. Seroprevalence of cytomegalovirus infection in the United States, 1988–1994 (англ.) // Clinical Infectious Diseases : journal. — 2006. — November (vol. 43, no. 9). — P. 1143—1151. — doi:10.1086/508173. — PMID 17029132.
- ↑ Caruso C., Buffa S., Candore G., et al. Mechanisms of immunosenescence (неопр.) // Immun Ageing. — 2009. — Т. 6. — С. 10. — doi:10.1186/1742-4933-6-10. — PMID 19624841. — PMC 2723084. Архивировано 24 сентября 2015 года.
- ↑ Bottieau E., Clerinx J., Van den Enden E., et al. Infectious mononucleosis-like syndromes in febrile travelers returning from the tropics (англ.) // J Travel Med : journal. — 2006. — Vol. 13, no. 4. — P. 191—197. — doi:10.1111/j.1708-8305.2006.00049.x. — PMID 16884400.
- ↑ Mattes F.M., McLaughlin J.E., Emery V.C., Clark D.A., Griffiths P.D. Histopathological detection of owl's eye inclusions is still specific for cytomegalovirus in the era of human herpesviruses 6 and 7 (англ.) // Journal of Clinical Pathology : journal. — 2000. — August (vol. 53, no. 8). — P. 612—614. — doi:10.1136/jcp.53.8.612. — PMID 11002765. — PMC 1762915. Архивировано 7 декабря 2006 года.
- ↑ Bennekov T., Spector D., Langhoff E. Induction of immunity against human cytomegalovirus (англ.) // Mount Sinai Journal of Medicine : journal. — 2004. — March (vol. 71, no. 2). — P. 86—93. — PMID 15029400. Архивировано 10 сентября 2006 года.
- 1 2 Cheng J., Ke Q., Jin Z., et al. Cytomegalovirus infection causes an increase of arterial blood pressure (англ.) // PLOS Pathogens : journal. — 2009. — May (vol. 5, no. 5). — P. e1000427. — doi:10.1371/journal.ppat.1000427. — PMID 19436702. — PMC 2673691. Архивировано 12 ноября 2011 года.
- ↑ Taylor G.H. Cytomegalovirus (англ.) // American Family Physician. — 2003. — February (vol. 67, no. 3). — P. 519—524. — PMID 12588074.
- ↑ Pass R.F., Zhang C., Evans A., et al. Vaccine prevention of maternal cytomegalovirus infection (англ.) // The New England Journal of Medicine : journal. — 2009. — March (vol. 360, no. 12). — P. 1191—1199. — doi:10.1056/NEJMoa0804749. — PMID 19297572. — PMC 2753425.
- ↑ Moderna. Moderna is developing an investigational mRNA vaccine against cytomegalovirus (англ.). Twitter (5 февраля 2021). Дата обращения: 5 февраля 2021. Архивировано 5 февраля 2021 года.
- ↑ Meinhard Classen; Guido N. J. Tytgat; M.D. Ph.D.; Charles J. Lightdale. Gastroenterological Endoscopy (неопр.). — Thieme, 2010. — С. 490—. — ISBN 9783131258526.
- ↑ Gredmark-Russ S., Dzabic M., Rahbar A., Wanhainen A., Björck M., Larsson E., Michel J.B., Söderberg-Nauclér C. Active cytomegalovirus infection in aortic smooth muscle cells from patients with abdominal aortic aneurysm (англ.) // J Mol Med. 2009 Apr;87(4):347-56. Epub 2008 Dec 16. : journal. — 2009. — Vol. 87, no. 4. — P. 347—356. — doi:10.1007/s00109-008-0413-4. — PMID 19083194.
- ↑ Yonemitsu Y., Nakagawa K., Tanaka S., Mori R., Sugimachi K., Sueishi K. In situ detection of frequent and active infection of human cytomegalovirus in inflammatory abdominal aortic aneurysms: possible pathogenic role in sustained chronic inflammatory reaction (англ.) // Lab Invest. 1996 Apr;74(4):723-36. : journal. — 1996. — Vol. 74, no. 4. — P. 723—736. — PMID 8606483.
- ↑ United Blood Services FAQs. Дата обращения: 23 мая 2007. Архивировано 19 мая 2007 года.
- ↑ K. A. Andreoni, X. Wang, S. M. Huong, E. S. Huang. Human CMV-IGIV (CytoGam) neutralizes human cytomegalovirus (HCMV) infectivity and prevents intracellular signal transduction after HCMV exposure // Transplant Infectious Disease: An Official Journal of the Transplantation Society. — 2001. — Т. 3 Suppl 2. — С. 25—30. — ISSN 1398-2273. Архивировано 16 ноября 2018 года.
- ↑ Cytogam Prescribing Info Архивная копия от 26 апреля 2012 на Wayback Machine CSL Behring AG
Ссылки по теме
- Цитомегаловирусная инфекция в каталоге ссылок Curlie (dmoz)
- Цитомегаловирус US Центры по контролю и профилактике заболеваний США (CDC). May 22, 2009
- Цитомегаловирус Clinical DNA Information Resource (CDIR)
- Онлайн-инструмент для анализа лекарственной сопротивляемости HCV
