Пентасомия по X-хромосоме
| Пентасомия по X-хромосоме | |
|---|---|
| |
| МКБ-10 | Q97.1 |
| МКБ-10-КМ | Q97.1 |
| DiseasesDB | 32625 |
| MeSH | C535319 |
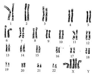
Пентасомия по X-хромосоме (49,XXXXX) — наследственное нарушение, обусловленное наличием дополнительных X хромосом, является частным случаем анеуплоидии. Представляет собой хромосомную аномалию, при которой у женщины пять Х-хромосом вместо двух[1]. Признаки могут включать умственную отсталость, низкий рост, низко посаженные уши, мышечную гипотонию и задержку развития[1][2]. Осложнения могут включать врожденные пороки сердца[3].
Состояние связано с проблемами при формировании репродуктивных клеток у родителей такого человека[1]. Факторы риска включают пожилой возраст родителей на момент зачатия[1]. Диагноз подозревается на основании симптомов и подтверждается хромосомным анализом[1].
Лечение производится симптоматически[1]. Впервые пентасомия была обнаружена в 1963 году[1].
Частота
Состояние крайне редкое, по состоянию на 2011г. было зарегистрировано менее сорока случаев[2][3].
Симптомы
Основными симптомами пентасомии по X хромосоме являются умственная отсталость, низкий рост и черепно-лицевые аномалии[4]. Другие физические черты включают в себя следующее:
- Микроцефалия[5]
- Аномалии ушей[5]
- Гипертелоризм с наклонными вверх глазными щелями и эпикантусом[5]
- Короткая шея[5]
- Широкий нос с вдавленной носовой перемычкой[4]
- Гиперэкстензия локтей[4][5]
- Зубные аномалии и расщепление нёба[4][5]
- Клинодактилия пятого пальца[4][5]
- Деформации стоп[4][5]
- Пороки сердца[5][6]
Причины
Считается, что анеуплоидия вызвана проблемами, возникающими во время мейоза, либо у матери, либо у матери и отца. Последовательные несоответствия наблюдались у матери по крайней мере одного пациента[4][6].
Особенности синдрома, вероятно, возникают из-за недостаточности инактивации X-хромосомы и наличия нескольких X-хромосом от одного и того же родителя, что вызывает проблемы с геномным импринтингом. Теоретически, инактивации X-инактивация должна происходить и оставлять только одну активную X-хромосому в каждой клетке. Однако сбой этого процесса наблюдался у одного исследованного человека. Предполагается, что причиной этого является наличие необычно большого и несбалансированного числа Х-хромосом, мешающих процессу[6].
См. также
Примечания
- 1 2 3 4 5 6 7 Penta X Syndrome (англ.). NORD (National Organization for Rare Disorders). Дата обращения: 27 мая 2019. Архивировано 27 мая 2019 года.
- 1 2 49,XXXXX syndrome | Genetic and Rare Diseases Information Center (GARD) – an NCATS Program. rarediseases.info.nih.gov. Дата обращения: 27 мая 2019. Архивировано 27 мая 2019 года.
- 1 2 Theresa A. Beery, M. Linda Workman. Genetics and Genomics in Nursing and Health Care. — F. A. Davis Company, 2011-12-22. — 416 с. — ISBN 9780803629967. Архивировано 13 октября 2022 года.
- 1 2 3 4 5 6 7 Y G Cho, D S Kim, H S Lee, S C Cho, S I Choi. A case of 49,XXXXX in which the extra X chromosomes were maternal in origin // Journal of Clinical Pathology. — 2004-9. — Т. 57, вып. 9. — С. 1004—1006. — ISSN 0021-9746. — doi:10.1136/jcp.2004.017475. Архивировано 12 ноября 2020 года.
- 1 2 3 4 5 6 7 8 9 A Monheit, U Francke, B Saunders, K L Jones. The penta-X syndrome // Journal of Medical Genetics. — 1980-10. — Т. 17, вып. 5. — С. 392—396. — ISSN 0022-2593.
- 1 2 3 Lucia M Moraes, Leila CA Cardoso, Vera LS Moura, Miguel AM Moreira, Albert N Menezes. Detailed analysis of X chromosome inactivation in a 49,XXXXX pentasomy // Molecular Cytogenetics. — 2009-10-07. — Т. 2. — С. 20. — ISSN 1755-8166. — doi:10.1186/1755-8166-2-20.
