Окрашивание (гистология)


Окрашивание — гистологический метод, используемый для усиления контраста в микроскопических препаратах. Методы окрашивания используются в гистологии (микроскопическое исследование тканей), цитологии (микроскопическое исследование отдельных клеток), а также в таких областях медицины, как гистопатология, гематология и цитопатология.
Изучение неокрашенного образца под световым микроскопом вызывает затруднения, так как различные структуры ткани преломляют свет сходным образом. Поэтому перед микроскопией гистологический препарат окрашивают специально подобранными красителями, которые избирательно красят соответствующие клетки, ядра и структуры. [1][2]
Когда были изобретены первые световые микроскопы, исследователям пришлось научиться окрашивать образцы чтобы наблюдать их морфологические особенности. Развитие текстильной промышленности в XIX веке и возросшая необходимость покраски одежды привело к появлению большого разнообразия красителей и пигментов. Многие из этих веществ использовались в гистологии с середины XIX по наши дни. За это время гистологическое окрашивание претерпело огромное развитие благодаря новым методам и синтетическим красителям, которые удовлетворяют большую часть потребностей исследователей.[3]
Перед окрашиванием образец подвергается предварительной обработке. В связи с тем, что красители плохо проникают в парафиновые ткани, проводят депарафинизацию. Она проводится в орто-ксилоле, далее следует регидратация в спиртах нисходящей крепости (от 100 % до 70 %), затем материал помещают в дистиллированную воду[4]. Это в первую очередь касается парафиновых срезов, для замороженных депарафинизация не требуется. После вышеуказанной подготовки срезы могут быть окрашены практически любым красителем.
Основные виды гистологического окрашивания:
- Простые гистологические окрашивания — наиболее традиционные методы, в основе которых лежат физико-химические процессы, не селективные к конкретным химическим компонентам образца, но селективные к структурам клеток[5].
- Гистохимические окрашивания — основаны на специфической реакции между химическим реактивом и определённым компонентом образца ткани.
- Иммуногистологические окрашивания — нанесение полученных искусственным путем антител против известного белка на гистологический срез и детектирование сформировавшихся иммунных комплексов «антиген-антитело»[5].
Для простых гистологических окрасок выделяют три группы красителей:
- Основные — основания и их соли, окрашивающие клеточные структуры кислой природы (ядрышко, хроматин ядер) и называются базофильными (гематоксилин, тионин, метиловый зелёный, кармин)[2][4].
- Нейтральные — метиленовый синий, судан III, орсеин, осмиевая кислота[2][4].
- Кислые — это кислоты или их соли, с помощью которых выявляются основные структуры (цитоплазма, эритроциты) и называются оксифильными. Таковыми являются эозин, эритрозин, кислый фуксин, пикриновая кислота, индигокармин[2][4].
Процесс окраски условно подразделяют на прогрессивный и регрессивный.
- Прогрессивный — процесс идёт до достижения интенсивного проникновения красителя в ткань. Срез помещают в слабый раствор красителя и окрашивают довольно продолжительное время, процесс идёт до достижения интенсивного проникновения красителя в ткань[2][6].
- Регрессивный — препарат заведомо перекрашивают в концентрированном красителе, а затем удаляют его избыток путем дифференциации — отмывании образца в соответствующем растворителе до нужного уровня[2][6].
По действию красителя на ткани различают[5][4]:
- Прямое окрашивание — если раствор красителя непосредственно действует на ткани.
- Непрямое окрашивание — требуется предварительная обработка образцов специальными протравными красителями.
По количеству красителей[5] :
- Простое — окрашивание одним красителем.
- Сложное — использование нескольких красителей.
По области окрашивания разделяют[4]:
- Обзорные красители — для получения общего представления об образце (окрашиваются цитоплазма, ядра).
- Специальные красители — окрашиваются именно те структуры и ткани, которые интересуют исследователя.
В современной микроскопии используют более 3500 видов красителей, в каждой лаборатории как правило применяют несколько видов окрашивания[4].
Основные методы окрашивания
Окраска гематоксилином и эозином

Окраска гематоксилин-эозином — один из наиболее распространённых методов окрашивания. Он позволяет установить отношения между частями органов, хорошо выявляя все клеточные структуры. Эта окраска является сложной: гематоксилин как основной краситель окрашивает ядра, эозин — кислый краситель — красит протоплазму клеток и различные неклеточные структуры[2].
Гематоксилин — краситель, получаемый из эфирного экстракта кампешевого дерева. Сам по себе не является красящим веществом, поэтому чтобы приготовить краску, гематоксилин подвергают окислению, в результате чего он превращается в красящее вещество — гематеин. Соединяясь с некоторыми солями, гематеин даёт хорошее окрашивание ядер (гематоксилин Эрлиха, Майера, железный гематоксилин Гейденгайна)[2].
Эозин — искусственный протоплазматический краситель.
В результате окрашивания гематоксилин-эозином получаются синие ядра, розовые цитоплазма и межклеточное вещество[2].
Окраска железным гематоксилином по Гейденгайну
Используется главным образом для выявления ядерных структур, хотя железный гематоксилин окрашивает и цитоплазму, но значительно слабее. Окраска гематоксилином Гейденгайна требует предварительной протравы и последующей дифференцировки. В качестве протравы используют 4 % водный раствор железоаммиачных квасцов.
Результат окраски — отчётливое и контрастное изображение таких структур как ядрышки, хроматин, митохондрии, клеточные гранулы[7], хорошо выявляются границы клеток и мышечные волокна.
Окраска по Ван Гизону
Данная методика используется для изучения структуры соединительной ткани и выявления коллагеновых волокон[4] и степени фиброза. Краситель — смесь растворов пикриновой кислоты и кислого фуксина. Коллагеновые волокна окрашиваются в ярко-красный цвет, а мышечные и эластические структуры — в буровато-жёлтый или жёлто-зелёный цвет, ядра становятся чёрными и тёмно-бурыми[8].
Окраска по Массону
Окрашивание трихромом Массона представляет собой сочетание трёх красителей:
- Фиолетовое ядерное окрашивание (гематоксилин).
- Красная окраска цитоплазмы (смесь ксилидина пунцового и фуксиновой кислоты).
- Окраска коллагеновых волокон: анилиновый синий.
В результате ядра окрашиваются в темно-синий или чёрный цвет, цитоплазма — в розовый или красный, коллагеновые волокна — в синий, а фибрин, мышечные волокна и эритроциты — в красный[9].
Аналогичной трихроматической окраской является окраска по Гомори[10].
Окраска по методу Маллори
Краситель является трёхцветным — в этом методе применяются 3 различных красителя: карболфуксин для окрашивания ядер, оранжевый G для цитоплазмы и анилиновый синий для избирательного окрашивания коллагена.
Коллагеновые волокна соединительной ткани окрашиваются в тёмно-синий цвет, многие другие структуры (ядра, мышечные волокна, эритроциты) — в красный или оранжевый цвет, миелиновые волокна — в жёлтый[1].
Импрегнация серебром
Импрегнация серебром по методу Гольджи выявляет нейроны и детали их функционирования.
Метод основан на способности различных волокнистых структур соединительной ткани восстанавливать и осаждать ионы серебра. Восстановление (редукция) металлического серебра приводит его осаждению на элементах нервной системы, которые приобретают чёрный или коричневый цвет[11]
Окрашивание по Папаниколау
Окрашивание по Паниколау используется в цитологической диагностике. Этот сложный метод окраски оставляет клетки прозрачными, при этом выделяя структуру хроматина в ядре. Ядра принимают цвет от синего до чёрного, цитоплазма окрашивается в сине-зелёный цвет, а кератин - в оранжевый.
Метод позволяет точчно различить степень злокачественности клеток и используется при проведении Пап-теста.
Гистохимические методы окрашивания
Гистохимические методы основаны на специфической реакции между химическим реактивом и определённым компонентом препарата, помогают установить локализацию определённых химических веществ и продуктов их метаболизма в тканях и клетках
ШИК-реакция (PAS или реакция Шифф-йодной кислотой)
ШИК-реакция используется для определения содержания полисахаридов (гликогена) в таких тканях, как печень, сердце и скелетные мышцы, на срезах тканей, зафиксированных в формалине и залитых парафином, а также может использоваться для замороженных срезов[12].
В целом метод предназначен для окрашивания структур, содержащих высокую долю углеводных макромолекул (гликоген , гликопротеин), которые обычно встречаются в соединительных тканях, слизи. Основной реагент — реактив Шиффа, взаимодействующий со свободными альдегидными группами. ШИК-положительные вещества окрашиваются в красный цвет различных оттенков. Нейтральные мукополисахариды становятся пурпурно-красными, гликоген окрашивается в темно-красный цвет.
Окраска толуидиновым синим
Толуидиновый синий используется для обнаружения тучных клеток в препаратах. Метод основан на взаимодействии тулоидинового синего с гепарином, находящимся в гранулах тучных клеток. При этом наблюдается метахроматическое окрашивание гранул (метахромазия — свойство красителя окрашивать различные ткани и клетки в цвет, отличный от цвета самого красителя)[13].
Окраска по Браше
Реакция Браше — окраска пиронином и метиловым зелёным. Метод заключается в избирательном связывании основных красителей с нуклеиновыми кислотами:
- пиронина к РНК (даёт красное окрашивание);
- метилового зелёного к ДНК (даёт зелёное окрашивание).
Для контроля РНК перед окрашиванием препарат обрабатывается рибонуклеазой[14].
Метод Фёльгена
Окрашивание нуклеиновых кислот по Фёльгену — специфическая реакция выявления ДНК бактерий и в клетках животных и растительных организмов. Окрашиваются клеточные ядра и хромосомы. Подготовленные препараты исследуемых тканей подвергают воздействию соляной кислоты, а затем около часа выдерживают в реактиве Шиффа. При этом ядерные структуры, содержащие ДНК, приобретают пурпурную окраску[15].
Выявление суммарных белков с использованием бромфенолового синего
Количество связанного бромфенолового синего в срезах препаратов пропорционально содержанию в них белков, что позволяет проводить количественный фотометрический анализ на содержание белков в тканях. Реакция позволяет обнаружить белки и в структурах, содержащих нуклеиновые кислоты, после их удаления окраска усиливается. Реакция окрашивания белков при помощи бромфенолового синего проводится в присутствии сулемы[16], белки приобретают тёмно-фиолетовую окраску[17].
Выявление белков с использованием реакции нингидрин — реактив Шиффа
Реакция со смесью нингидрина и реактива Шиффа позволяет выявить аминокислоты, белки в тканях приобретают красный цвет[17].
Выявление жиров с использованием реакции с Судан-III
Обнаружение жиров в клетках и тканях проводится с помощью группы красителей под общим названием Суданы, которые легко проникают в жиросодержащие структуры клеток и не взаимодействуют с белками. Наиболее часто применяется Судан III, он выявляет все жиры в клетке, окрашивая их в яркий оранжево-красный цвет[17][18].
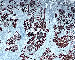
Иммуногистохимические окрашивания

Иммуногистохимия (ИГХ) — это метод, который позволяет выявить точную локализацию того или иного антигена благодаря связыванию его с мечеными антителами (реакция антиген — антитело). Применяется дополнительно к классическим методам окрашивания для постановки более точной постановки диагноза и назначения лечения, а также для выявления опухолей, инфекционных заболеваний[19].
Для иммуногистохимического окрашивания применяется как ручной метод окраски, так и полуавтоматический, для этих видов окраски используются различная аппаратура (иммуностейнеры). Существуют семейства различных иммуностейнеров, которые делятся на полуавтоматические и автоматические.
Автоматический иммуностейнер осуществляет полный цикл ИГХ окраски, все этапы предварительной обработки (депарафинизация парафиновых срезов, демаскировка антигенов, нанесение первичного и вторичного антител, инкубация) проходят на борту аппарата. В полуавтоматическом иммуностейнере все этапы предобработки осуществляются в ручном режиме до загрузки стекол на борт.
Локализация антигена в гистологическом препарате определяется с помощью прямого и непрямого метода иммуногистохимической реакции.
Прямой метод иммуногистохимической окраски основан на использовании меченых антител, которые непосредственно связываются с искомым антигеном. Недостатком прямого метода является слабая интенсивность окраски. Повысить чувствительность можно с использованием непрямого метода иммуногистохимической окраски, который использует меченные вторичные антитела, непосредственно взаимодействующих с первичным антителом после его связывания с антигеном[20].
Наиболее широко распространено непрямое иммуноокрашивание с использованием биотинавидинового комплекса. Биотин (витамин H) стоек к высоким температурам, к кислой и щелочной среде, а также хорошо растворим в воде и спирте, является коферментом во многих реакциях присоединения. Биотин легко вступает в стойкое соединение с различными белками, в том числе с ферментами и иммуноглобулинами. Биотин образует с авидином чрезвычайно стойкий комплекс.
Преимущества данного ИГХ метода:
- чувствительность определения антигена в сотни раз выше при использовании вторичных антител;
- необходимо гораздо меньше первичных антител;
- возможность проведения реакции в течение 3 часов;
- готовый биотинавидиновый комплекс можно использовать в течение нескольких дней.
Недостатки:
- обязательное блокирование эндогенного биотина для предотвращения его неспецифического взаимодействия с авидином;
- иногда эндогенный биотин может давать фон — неспецифическое окрашивание, из-за чего возможны сложности с определением искомого антигена[19].
Примечания
- 1 2 Семченко В.В., Барашкова С.А., Ноздрин В.Н., Артемьев В.Н. Гистологическая техника: учебное пособие. — 3-е изд. — Омск-Орёл: Омская областная типография, 2006. — 290 с. — ISBN 5-87367-025-0.
- 1 2 3 4 5 6 7 8 9 И.Ю. Домницкий, В.В. Салаутин, А.А. Терентьев. Секционный курс и методы патогистологических исследований: метод. пособие по выполнению лабораторных работ для студентов по специальности 36.05.01 Ветеринария. — Саратов: ФГБОУ ВО «Саратовский ГАУ», 2017. — 50 с.
- ↑ Atlas of Plant and Animal Histology. Departamento de Bioloxía Funcional e Ciencias da Saúde (англ.). Universidad de Vigo. Дата обращения: 8 мая 2024. Архивировано 8 мая 2024 года.
- 1 2 3 4 5 6 7 8 В. А. Корьяк, Л. А. Николаева. Основы гистологической техники : учебное пособие. — Иркутск: ФГБОУ ВО ИГМУ Минздрава России, Институт сестринского образования, 2020. — 85 с. — ISBN 53.45я723.
- 1 2 3 4 Мавликеев М.О., Архипова С.С., Чернова О.Н., Титова А.А., Певнев Г.О., Шафигуллина А.К., Киясов А.П. Краткий курс гистологической техники. Учебно-методическое пособие / под научной редакцией кандидата медицинских наук, доцента Р.В. Деева. — Казань: Казан. у-нт, 2020. — 107 с. — ISBN УДК 57.086.1, ББК 28с.
- 1 2 Бетехтина А.А., Уткина И.А. Микротехнические исследования на базе современного оборудования. Руководство к практическим занятиям. — Уральский государственный университет, 2008. — 110 с.
- ↑ Янин В.Л., Бондаренко О.М., Сазонова Н.А. Учебно-методическое пособие для аспирантов заочной формы обучения к практическим занятиям по дисциплине «Методы исследования в цитологии и гистологии». — Ханты-Мансийск: БУ «Ханты-Мансийская государственная медицинская академия», 2015. — 65 с. — ISBN БКК 28.706. Архивировано 31 октября 2020 года.
- ↑ О. В. Волкова, Ю. К. Елецкий. Основы гистологии с гистологической техникой : учебник для медицинских училищ. — 2-е изд. — М.: Медицина, 1982. — 304 с.
- ↑ Masson trichrome - Histalim. Дата обращения: 22 сентября 2015. Архивировано из оригинала 2 сентября 2018 года.
- ↑ GoMori, George (1 июля 1950). A Rapid One-Step Trichrome Stain*. American Journal of Clinical Pathology. 20 (7_ts). Oxford University Press (OUP): 661–664. doi:10.1093/ajcp/20.7_ts.661. ISSN 0002-9173.
- ↑ Большая Медицинская Энциклопедия / под редакцией Петровского Б.В.. — 3-е издание. Архивировано 15 мая 2024 года.
- ↑ PAS (Periodic Acid Schiff) Staining Protocol. University of Rochester Medical center.
- ↑ Гистохимические окраски, применяемые в патоморфологических исследованиях. Интерактивный атлас для студентов младших курсов медицинских вузов.
- ↑ Профессор кафедры, д-р мед. наук Л.Р. Мустафина. Устройство микроскопов. Методика приготовления гистологических препаратов (микротехника). МЕТОДИЧЕСКИЕ УКАЗАНИЯ на практическое занятие по учебной дисциплине гистология, цитология, эмбриология / Заведующий кафедрой, профессор С.В. Логвинов. — Томск: ГОУ ВПО СибГМУ Росздрава, 2016. — 15 с.
- ↑ Петрова А. С., Полонская Н. Ю. Глава 17. Основные методы окрашивания цитологических препаратов // Микроскопическая техника: руководство / Под ред. Д. С. Саркисова, Л. Ю. Перова. — М.: Медицина, 1996. — С. С. 289—298. — 544 с. — ISBN 5-225-02820-9.
- ↑ Барыкина P.IL, Веселова Т.Д., Девятое А.Г., Джалилова Х.Х., Ильина Г.М., Чубатова Н.В. Основы микротехнических исследований в ботанике. Справочное руководство. — М.: каф. высш. растений биол. ф-та Моск. гос. ун-та, 2000. — 127 с. — ISBN ББК 28.56.
- 1 2 3 Дмитричева Л.Е., Глушковская Н.Б. Практикум по анатомии и гистологии организмов. — Санкт-Петербург: РГГМУ, 2022. — 132 с. — ISBN 978-5-86813-541-5.
- ↑ Применение дополнительных гистологических методов окраски в доклинических исследованиях | Лабораторные животные для научных исследований. labanimalsjournal.ru. Дата обращения: 24 июня 2024. Архивировано 24 июня 2024 года.
- 1 2 А.О. Иванцов, Д.Е. Мацко. ВОЗМОЖНОСТИ ИММУНОГИСТОХИМИЧЕСКОГО ИССЛЕДОВАНИЯ В ДИАГНОСТИКЕ ОПУХОЛЕЙ // Практическая онкология. — ФГБУ НИИ онкологии им. Н.Н. Петрова Минздравсоцразвития России, Санкт-Петербург, 2011. — Т. 12, № 4. — С. 185. — ISSN Р 5647 ББК Р 5647.
- ↑ Артемьева А. С., Мурашкина А. А., Рогачев М. В. Иммуногистохимия: основы, методические подходы, группы маркёров: учебное пособие для врачей и обучающихся в системе высшего и дополнительного профессионального образования.. — СПб.: НМИЦ онкологии им. Н.Н. Петрова, 2020. — 76 с. — ISBN 978-5-6045022-6-6.