Окрашивание по Папаниколау

Окраска по Папаниколау (англ. Papanicolaou stain, Pap stain) — цитологический метод окрашивания, разработанный Георгиосом Папаниколау в 1942 г.[1] Окраска по Папаниколау является одним из наиболее широко используемых диагностических методов в цитологии. Этот метод окрашивания широко применяется для проведения Пап-теста (мазка Папаниколау), выявляющего рак шейки матки. Помимо гинекологических мазков, по методике Папаниколау окрашивают препараты мокроты, мочи, ликвора, плевральной жидкости, синовиальной жидкости, спермы, тонкоигольной аспирационной пункционной биопсии и других биоматериалов[2]. Папаниколау опубликовал три варианта окраски — в 1942, 1954 и 1960 г. На сегодняшний день существует множество модификаций[3].
Фиксация препаратов
Как правило, для фиксации мазка применяются 95 % этанол. Реже применяется 100 % метанол, 80 % изопропанол или 80 % пропанол. Мазки фиксируются в течение 20-30 минут[4].
Классическое окрашивание по Папаниколау
Классическая процедура окраски по Папаниколау включает пять окрашиваний в трех растворах.
- Первый раствор содержит гематоксилин, который окрашивает клеточные ядра.
- Второй окрашивающий раствор (OG-6) содержит Оранжевый Ж в 95 % этаноле с небольшим количеством фосфорновольфрамовой кислоты.
- Третий окрашивающий раствор состоит из трех красителей: эозина Y, Светло-зеленого SF желтоватого и Красителя Бисмарка Коричневого Y в 95 % этиловом спирте с небольшим количеством фосфорновольфрамовой кислоты и карбоната лития[3].
Сверхбыстрое окрашивание по Папаниколау
Сверхбыстрое окрашивание по Папаниколау — это альтернативный вариант процедуры окрашивания для препаратов тонкоигольной аспирационной пункционной биопсии. Процесс отличается регидратацией высушенного на воздухе мазка физраствором, использованием для фиксации 4 % формальдегида в 65 % этаноле, гематоксилин и коммерческий краситель Cyto-Stain. Данная модификация окрашивания по Папаниколау позволяет производить окраску препарата за 90 секунд[5].
Результат

В результате окрашивания по Папаниколау клетки остаются прозрачными. Ядра клеток принимают цвет от синего до чёрного. Цитоплазма окрашивается в сине-зеленый цвет; кератин — в оранжевый.
Эозин Y окрашивает поверхностный плоский эпителий, ядрышки, реснички и эритроциты. Светло-зеленый SF желтоватый придает голубое окрашивание цитоплазме призматических, парабазальных плоских и промежуточных плоских клеток. Поверхностные клетки окрашиваются от оранжевого до розового, а промежуточные и парабазальные клетки становятся бирюзово-зелеными или голубыми[6].
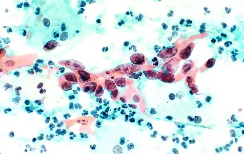
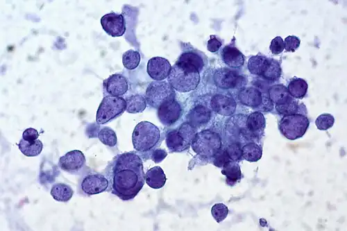
Галерея
Плоскоклеточная карцинома, бронхоальвеолярный лаваж.
Клетки меланомы, тонкоигольная аспирационная пункционная биопсия печени.
Трёхполюсный митоз в препарате бронхоальвеолярного лаважа.
Папиллярный рак щитовидной железы, тонкоигольная аспирационная биопсия.
Плоскоклеточная карцинома шейки матки.
Филяриевидная личинка при стронгилоидозе в препарате бронхоальвеолярного лаважа.
См. также
Примечания
- ↑ Schulte E. K. W. Standardization of biological dyes and stains: pitfalls and possibilities (англ.) // Histochemistry. — 1991. — February (vol. 95, no. 4). — P. 319—328. — ISSN 0301-5564. — doi:10.1007/BF00266958.
- ↑ Wärnmark A., Treuter E., Wright A.P., Gustafsson J-Å. Robbins basic pathology (9th ed.) (англ.). — 2003. — ISBN 978-1-4377-1781-5.
- 1 2 Gill Gary W. Papanicolaou Stain (англ.) // Essentials in Cytopathology. — 2012. — 13 September. — P. 143—189. — ISBN 9781461449324. — ISSN 1574-9053. — doi:10.1007/978-1-4614-4933-1_10.
- ↑ Sathawane Prajakta, Kamal Meherbano M., Deotale Pramodini R., Mankar Hirkini. Nuances of the Papanicolaou stain (англ.) // Cytojournal. — 2022. — 14 June (vol. 19). — P. 43. — ISSN 0974-5963. — doi:10.25259/CMAS_03_18_2021.
- ↑ Yang G. C., Alvarez I. I. Ultrafast Papanicolaou stain. An alternative preparation for fine needle aspiration cytology. (англ.) // Acta Cytologica. — 1995. — January (vol. 39, no. 1). — P. 55—60. — PMID 7531380.
- ↑ Dey Pranab. Routine Staining in Cytology Laboratory (англ.) // Basic and Advanced Laboratory Techniques in Histopathology and Cytology. — 2018. — P. 133—138. — ISBN 9789811082511. — doi:10.1007/978-981-10-8252-8_14.