Внутричерепное кровоизлияние

Внутричерепное кровоизлияние
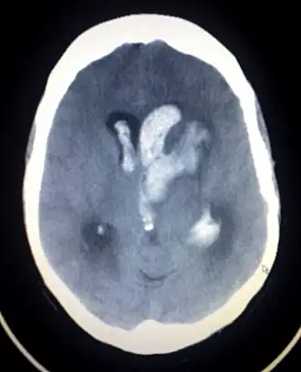
Компьютерная томограмма спонтанного внутримозгового кровоизлияния с прорывом крови в желудочки головного мозга
Компьютерная томограмма спонтанного внутримозгового кровоизлияния с прорывом крови в желудочки головного мозга
МКБ-10 I60.0-I62, S06
МКБ-9 430-432, 850-854
МКБ-9-КМ 432.9[1]
DiseasesDB 6870
MedlinePlus 000796
eMedicine neuro/177 
MeSH D020300
Логотип Викисклада Медиафайлы на Викискладе

Внутричерепное кровоизлияние — кровоизлияние в полости черепа. Является серьёзной патологией, требующей неотложной медицинской помощи, так как излившаяся в полость черепа кровь вызывает повышение внутричерепного давления, что может привести к повреждению нервной ткани, нарушению её кровоснабжения и дислокации структур головного мозга (с риском вклинения в большое затылочное отверстие).

Этиология

Внутричерепное кровоизлияние развивается при повреждении кровеносного сосуда в полости черепа в результате травмы или по иным причинам (например, вследствие разрыва артериальной аневризмы). Терапия антикоагулянтами и нарушения свёртываемости крови повышают риск развития внутричерепного кровоизлияния[2].

Диагностика

Компьютерная томография — метод выбора в диагностике внутричерепных кровоизлияний.

Классификация

Внутричерепные кровоизлияния условно делятся на интрааксиальные и экстрааксиальные. Кровоизлияние относится к локальной мозговой травме (то есть повреждающей головной мозг не диффузно). По размерам различают малые (до 50 мл), среднего объёма (51 — 100 мл) и большие (более 100 мл) гематомы.

Интрааксиальные кровоизлияния

Интрааксиальное кровоизлияние — кровоизлияние в пределах головного мозга. К этой категории относятся внутрипаренхиматозное кровоизлияние (кровоизлияние в ткань мозга) и внутрижелудочковое кровоизлияние (кровоизлияние в желудочковую систему), типичное у недоношенных детей. Интрааксиальные кровоизлияния более опасны и хуже поддаются лечению, чем экстрааксиальные[3].

Экстрааксиальные кровоизлияния

Экстрааксиальные кровоизлияния — кровоизлияния в полости черепа, но снаружи головного мозга. Различают три их подтипа:

  • Эпидуральная гематома — травматическая гематома между твёрдой мозговой оболочкой (наиболее поверхностной) и черепом. Может быть обусловлена разрывом артерии причиненным переломом черепа, как правило средней оболочечной. Этот тип кровоизлияния крайне опасен в связи с поступлением крови из артериальной системы под большим давлением, что вызывает скорое (в течение минут, часов) повышение внутричерепного давления. Однако, этот тип кровоизлияния наименее распространён и наблюдается в 1 %-3 % случаев черепно-мозговых травм. В течение эпидуральных гематом выделяется период потери сознания, который сменяется «светлым промежутком», после чего наступает резкое ухудшение состояния (рвота, беспокойство, нарушение сознания), вызванное сдавлением мозга. В большинстве случаев требует хирургического удаления.
    • КТ головного мозга демонстрирует поверхностную гематому двояковыпуклой формы.
  • Субдуральная гематома развивается при разрыве мостиковых вен в субдуральном пространстве между твёрдой и паутинной мозговыми оболочками в результате перелома черепа или ушиба, её объём нарастает в течение нескольких часов.
    • При КТ головного мозга выявляется поверхностная гематома вогнутой (серповидной) формы.
    • При наличии существенной компрессии мозга показана краниотомия с удалением гематомы. Компрессия головного мозга сопровождается дислокацией и вторичной ишемией, очаговой (соответствующей локализации) и общемозговой симптоматикой.

Дифференциальный диагноз

Тип гематомыЭпидуральнаяСубдуральная
Локализация Между черепом и твёрдой мозговой оболочкойМежду твёрдой мозговой и паутинной оболочками
Повреждённый сосуд Теменновисочная область (наиболее часто) — средняя менингеальная артерия
Лобная область — передняя решётчатая артерия
Затылочная область — поперечный или сигмовидный синусы
Вертекс — верхний сагиттальный синус
Мостиковые вены
Симптоматика Светлый промежуток с последующей утратой сознанияПостепенно нарастающая головная боль, возможен эпизод потери сознания
КТ-картина Двояковыгнутая линзаСерповидная форма

Примечания

  1. Monarch Disease Ontology release 2018-06-29 — 2018-06-29 — 2018.
  2. Kushner D. Mild Traumatic Brain Injury: Toward Understanding Manifestations and Treatment (англ.) // JAMA : journal. — 1998. Vol. 158, no. 15. P. 1617—1624. doi:10.1001/archinte.158.15.1617. PMID 9701095. Архивировано 14 мая 2008 года.
  3. Seidenwurm D. I. Introduction to brain imaging // Fundamentals of Diagnostic Radiology (неопр.) / Brant W. E., Helms C. A.. — Philadelphia: Lippincott, Williams & Wilkins, 2007. — С. 53. — ISBN 0-7817-6135-2.

Ссылки