Диффузное аксональное повреждение головного мозга
| Диффузное аксональное повреждение мозга | |
|---|---|
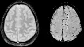
![]() Диффузное аксональное повреждение на МРТ в режиме GRE (слева) и SWI (справа) | |
| eMedicine | radio/216 |
| MeSH | D020833 |
Диффузное аксональное повреждение головного мозга (ДАП) — распространённый вид черепно-мозговой травмы, при которой резкое ускорение либо торможение головы, например, в момент ДТП, приводит к натяжению и разрыву аксонов. Другими, менее распространёнными причинами ДАП могут быть падения, удары при драке или избиении, а у маленьких детей аксональное повреждение отмечается при «синдроме сотрясения».
При диффузном аксональном повреждении головного мозга микроскопические мелкоочаговые кровоизлияния выявляются в мозолистом теле, полуовальном центре, верхних отделах ствола мозга. Клинически оно проявляется длительной комой, которая в большинстве случаев переходит в вегетативное состояние. Последнее характеризуется отсутствием корковой деятельности и длится месяцы и годы.
Дети с данным повреждением могут иметь нормальный или неспецифический срез КТ[1].
Лечение
Лечение проводится врачом-неврологом. Диагностируют состояние с помощью стандартной и функционально магнитно-резонансной томографии. Для выходы из комы практикуется ИВЛ и интенсивная терапия. Обычно после выхода из комы врачи назначают ряд препаратов разной направленности для полного восстановления организма. К ним относятся ноотропные, сосудистые и метаболические препараты. Также используются лечебные упражнения.
Примечания
- ↑ Berkowitz’s Pediatrics: A Primary Care Approach, 5th Edition Copyright © 2014 American Academy of Pediatrics p.399
Литература
- Лекция по нейрохирургии (недоступная ссылка)
- Губарев Ю. Д., Чефранова Ж. Ю., Яценко Е. Л. Диффузное аксональное повреждение в практике врача-невролога // Актуальные проблемы медицины. — 2012. — № 22 (141). Архивировано 7 сентября 2023 года.
