Компьютерная томография
| Компьютерная томография | |
|---|---|
| |
| МКБ-10-СКП | B?2 |
| МКБ-9-КМ | 88.38 |
| MeSH | D014057 |
| MedlinePlus | 003330 |
Компью́терная томогра́фия — метод неразрушающего послойного исследования внутреннего строения предмета, был предложен в 1972 году Годфри Хаунсфилдом и Алланом Кормаком, удостоенными за эту разработку Нобелевской премии. Метод основан на измерении и сложной компьютерной обработке разности ослабления рентгеновского излучения различными по плотности тканями. В настоящее время рентгеновская компьютерная томография является основным томографическим методом исследования внутренних органов человека с использованием рентгеновского излучения.
Появление компьютерных томографов
Первые математические алгоритмы для КТ были разработаны в 1917 году австрийским математиком И. Радоном (см. преобразование Радона). Физической основой метода является экспоненциальный закон ослабления излучения, который справедлив для чисто поглощающих сред. В рентгеновском диапазоне излучения экспоненциальный закон выполняется с высокой степенью точности, поэтому разработанные математические алгоритмы были впервые применены именно для рентгеновской компьютерной томографии.
В 1963 году американский физик А. Кормак повторно (но отличным от Радона способом) решил задачу томографического восстановления, а в 1969 году английский инженер-физик Г. Хаунсфилд из фирмы EMI сконструировал «ЭМИ-сканер» — первый компьютерный рентгеновский томограф, клинические испытания которого прошли в 1971 году, — разработанный только для сканирования головы. Средства на разработку КТ были выделены фирмой EMI, в частности, благодаря высоким доходам, полученным от контракта с группой The Beatles[1].
В 1979 году «за разработку компьютерной томографии» Кормак и Хаунсфилд были удостоены Нобелевской премии по физиологии или медицине.
Предпосылки метода в истории медицины
Изображения, полученные методом рентгеновской компьютерной томографии, имеют свои аналоги в истории изучения анатомии. В частности, Николай Иванович Пирогов разработал новый метод изучения взаиморасположения органов оперирующими хирургами, получивший название топографической анатомии. Сутью метода было изучение замороженных трупов, послойно разрезанных в различных анатомических плоскостях («анатомическая томография»). Пироговым был издан атлас под названием «Топографическая анатомия, иллюстрированная разрезами, проведёнными через замороженное тело человека в трёх направлениях». Фактически, изображения в атласе предвосхищали появление подобных изображений, полученных лучевыми томографическими методами исследования. Разумеется, современные способы получения послойных изображений имеют несравнимые преимущества: нетравматичность, позволяющая проводить прижизненную диагностику заболеваний; возможность аппаратного представления в различных анатомических плоскостях (проекциях) однократно полученных «сырых» КТ-данных, а также трёхмерной реконструкции; возможность не только оценивать размеры и взаиморасположение органов, но и детально изучать их структурные особенности и даже некоторые физиологические характеристики, основываясь на показателях рентгеновской плотности и их изменении при внутривенном контрастном усилении.
В нейрохирургии до внедрения компьютерной томографии применялись предложенные в 1918—1919 годах Уолтером Денди вентрикуло- и пневмоэнцефалография. Пневмоэнцефалография впервые позволила нейрохирургам проводить визуализацию внутричерепных новообразований с помощью рентгеновских лучей. Они проводились путём введения воздуха либо непосредственно в желудочковую систему мозга (вентрикулография), либо через поясничный прокол в субарахноидальное пространство (пневмоэнцефалография). Проведение вентрикулографии, предложенное Денди в 1918 году, имело свои ограничения, так как требовало наложения с диагностической целью фрезевого отверстия и вентрикулопункции. Пневмоэнцефалография, описанная в 1919 году, была менее инвазивным методом и широко использовалась для диагностики внутричерепных образований. Однако оба метода были инвазивными и сопровождались появлением у больных интенсивных головных болей, рвоты, несли целый ряд рисков. Поэтому со внедрением компьютерной томографии они перестали применяться в клинической практике. Эти методы были заменены более безопасными КТ-вентрикулографией и КТ-цистернографией, применяемыми значительно реже, по строгим показаниям[2], наряду с широко используемой бесконтрастной компьютерной томографией головного мозга.
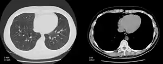
Шкала Хаунсфилда
Для визуальной и количественной оценки плотности визуализируемых методом компьютерной томографии структур используется шкала ослабления рентгеновского излучения, получившая название шкалы Хаунсфилда (её визуальным отражением на мониторе аппарата является чёрно-белый спектр изображения). Диапазон единиц шкалы («денситометрических показателей, англ. Hounsfield units»), соответствующих степени ослабления рентгеновского излучения анатомическими структурами организма, составляет от −1024 до +3071, то есть 4096 чисел ослабления. Средний показатель в шкале Хаунсфилда (0 HU) соответствует плотности воды, отрицательные величины шкалы соответствуют воздуху и жировой ткани, положительные — мягким тканям, костной ткани и более плотным веществам (металл). В практическом применении измеренные показатели ослабления могут несколько отличаться на разных аппаратах.
«Рентгеновская плотность» — усреднённое значение поглощения тканью излучения; при оценке сложной анатомо-гистологической структуры измерение её «рентгеновской плотности» не всегда позволяет с точностью утверждать, какая ткань визуализируется (например, насыщенные жиром мягкие ткани имеют плотность, соответствующую плотности воды).
Изменение окна изображения
Обычный компьютерный монитор способен отображать до 256 оттенков серого цвета, некоторые специализированные медицинские аппараты способны показывать до 1024 оттенков. В связи со значительной шириной шкалы Хаунсфилда и неспособностью существующих мониторов отразить весь её диапазон в чёрно-белом спектре, используется программный перерасчёт серого градиента в зависимости от выбранного интервала шкалы. Чёрно-белый спектр изображения можно применять как в широком диапазоне («окне») денситометрических показателей (визуализируются структуры всех плотностей, однако невозможно различить структуры, близкие по плотности), так и в более-менее узком с заданным уровнем его центра и ширины («лёгочное окно», «мягкотканное окно» и т. д.; в этом случае теряется информация о структурах, плотность которых выходит за пределы диапазона, однако хорошо различимы структуры, близкие по плотности). Изменение центра окна и его ширины можно сравнить с изменением яркости и контрастности изображения соответственно.
Средние денситометрические показатели

| Вещество | HU |
|---|---|
| Воздух | −1000 |
| Жир | −120 |
| Вода | 1 |
| Мягкие ткани | +40 |
| Кости | +400 и выше |
Развитие современного компьютерного томографа

Современный компьютерный томограф представляет собой сложный программно-технический комплекс. Механические узлы и детали выполнены с высочайшей точностью. Для регистрации прошедшего через среду рентгеновского излучения используются сверхчувствительные детекторы. Конструкция и материалы, применяемые при их изготовлении, постоянно совершенствуются. При изготовлении компьютерного томографа предъявляются самые жёсткие требования к рентгеновским излучателям. Неотъемлемой частью аппарата является обширный пакет программного обеспечения, позволяющий проводить весь спектр компьютерно-томографических исследований (КТ-исследований) с оптимальными параметрами, проводить последующую обработку и анализ КТ-изображений.
С математической точки зрения построение изображения сводится к решению системы линейных уравнений. Так, например, для получения томограммы размером 200×200 пикселей система включает 40 000 уравнений. Для решения подобных систем разработаны специализированные методы, основанные на параллельных вычислениях.
Поколения компьютерных томографов: от первого до четвёртого
Прогресс КТ напрямую связан с увеличением количества детекторов, то есть с увеличением числа одновременно собираемых проекций.
Аппарат 1-го поколения появился в 1973 году. КТ-аппараты первого поколения были пошаговыми. Была одна трубка, направленная на один детектор. Сканирование производилось шаг за шагом, делая по одному обороту на слой. Каждый слой обрабатывался около 4 минут.
Во 2-м поколении КТ-аппаратов использовался веерный тип конструкции. На кольце вращения напротив рентгеновской трубки устанавливалось несколько детекторов. Время обработки изображения составило 20 секунд.
3-е поколение компьютерных томографов ввело понятие спиральной компьютерной томографии. Трубка и детекторы за один шаг стола синхронно осуществляли полное вращение по часовой стрелке, что значительно уменьшило время исследования. Увеличилось и количество детекторов. Время обработки и реконструкций заметно уменьшилось.
4-е поколение имеет 1088 люминесцентных датчиков, расположенных по всему кольцу гентри. Вращается лишь рентгеновская трубка. Благодаря этому методу время вращения сократилось до 0,7 секунды.
Спиральная компьютерная томография
Спиральная КТ используется в клинической практике с 1988 года, когда компания «Siemens Medical Solutions» представила первый спиральный компьютерный томограф. Спиральное сканирование заключается в одновременном выполнении двух действий: непрерывного вращения источника — рентгеновской трубки, генерирующей излучение, вокруг тела пациента, и непрерывного поступательного движения стола с пациентом вдоль продольной оси сканирования z через апертуру гентри. В этом случае траектория движения рентгеновской трубки относительно оси z (направления движения стола с телом пациента) примет форму спирали.
В отличие от последовательной КТ скорость движения стола с телом пациента может принимать произвольные значения, определяемые целями исследования. Чем выше скорость движения стола, тем больше протяжённость области сканирования. Важно то, что длина пути стола за один оборот рентгеновской трубки может быть в 1,5—2 раза больше толщины томографического слоя без ухудшения пространственного разрешения изображения.
Технология спирального сканирования позволила значительно сократить время, затрачиваемое на КТ-исследование и существенно уменьшить лучевую нагрузку на пациента.
Многослойная компьютерная томография

Многослойная («мультиспиральная», «мультисрезовая» компьютерная томография — МСКТ) была впервые представлена компанией Elscint Co. в 1992 году. Принципиальное отличие МСКТ от спиральных томографов предыдущих поколений в том, что по окружности гентри расположены не один, а два и более ряда детекторов. Для того, чтобы рентгеновское излучение могло одновременно приниматься детекторами, расположенными на разных рядах, была разработана новая — объёмная геометрическая форма пучка.
В 1992 году появились первые двухсрезовые (двухспиральные) МСКТ с двумя рядами детекторов, а в 1998 году — четырёхсрезовые (четырёхспиральные), с четырьмя рядами детекторов соответственно. Кроме вышеотмеченных особенностей, было увеличено количество оборотов рентгеновской трубки с одного до двух в секунду. Таким образом, четырёхспиральные МСКТ пятого поколения на сегодняшний день в восемь раз быстрее, чем обычные спиральные КТ четвёртого поколения. В 2004—2005 годах были представлены 32-, 64- и 128-срезовые МСКТ, в том числе — с двумя рентгеновскими трубками. В 2007 году Toshiba вывела на рынок 320-срезовые компьютерные томографы, в 2013 году — 512- и 640-срезовые. Они позволяют не только получать изображения, но и дают возможность практически в «реальном» времени наблюдать физиологические процессы, происходящие в головном мозге и в сердце.
Особенность подобной системы — возможность сканирования целого органа (сердце, суставы, головной мозг и т. д.) за один оборот рентгеновской трубки, что сокращает время обследования, а также возможность сканирования сердца у пациентов, страдающих аритмиями.
Преимущества МСКТ перед обычной спиральной КТ
- улучшение временного разрешения
- улучшение пространственного разрешения вдоль продольной оси z
- увеличение скорости сканирования
- улучшение контрастного разрешения
- увеличение отношения сигнал/шум
- эффективное использование рентгеновской трубки
- большая зона анатомического покрытия
- уменьшение лучевой нагрузки на пациента
Все эти факторы значительно повышают скорость и информативность исследований.
Основным недостатком метода остаётся высокая лучевая нагрузка на пациента, несмотря на то, что за время существования КТ её удалось значительно снизить.
- Улучшение временного разрешения достигается за счёт уменьшения времени исследования и количества артефактов из-за непроизвольного движения внутренних органов и пульсации крупных сосудов.
- Улучшение пространственного разрешения вдоль продольной оси z, связано с использованием тонких (1—1,5 мм) срезов и очень тонких, субмиллиметровых (0,5 мм) срезов. Чтобы реализовать эту возможность, разработаны два типа расположения массива детекторов в МСКТ:
- матричные детекторы (matrix detectors), имеющие одинаковую ширину вдоль продольной оси z;
- адаптивные детекторы (adaptive detectors), имеющие неодинаковую ширину вдоль продольной оси z.
Преимущество матричного массива детекторов заключается в том, что количество детекторов в ряду можно легко увеличить для получения большего количества срезов за один оборот рентгеновской трубки. Так как в адаптивном массиве детекторов меньше количество самих элементов, то меньше и число зазоров между ними, что даёт снижение лучевой нагрузки на пациента и уменьшение электронного шума. Поэтому три из четырёх мировых производителей МСКТ выбрали именно этот тип.
Все вышеотмеченные нововведения не только повышают пространственное разрешение, но благодаря специально разработанным алгоритмам реконструкции позволяют значительно уменьшить количество и размеры артефактов (посторонних элементов) КТ-изображений.
Основным преимуществом МСКТ по сравнению с односрезовой СКТ является возможность получения изотропного изображения при сканировании с субмиллиметровой толщиной среза (0,5 мм). Изотропное изображение возможно получить, если грани вокселя матрицы изображения равны, то есть воксель принимает форму куба. В этом случае пространственные разрешения в поперечной плоскости x—y и вдоль продольной оси z становятся одинаковыми.
- Увеличение скорости сканирования достигается уменьшением времени оборота рентгеновской трубки, по сравнению с обычной спиральной КТ, в два раза — до 0,45—0,5 с.
- Улучшение контрастного разрешения достигается вследствие увеличения дозы и скорости введения контрастных средств при проведении ангиографии или стандартных КТ-исследований, требующих контрастного усиления. Различие между артериальной и венозной фазой введения контрастного средства прослеживается более чётко.
- Увеличение отношения сигнал/шум достигнуто благодаря конструктивным особенностям исполнения новых детекторов и используемых при этом материалов; улучшению качества исполнения электронных компонентов и плат; увеличению тока накала рентгеновской трубки до 400 мА при стандартных исследованиях или исследованиях тучных пациентов.
- Эффективное использование рентгеновской трубки достигается за счёт меньшего времени работы трубки при стандартном исследовании. Конструкция рентгеновских трубок претерпела изменения для обеспечения лучшей устойчивости при больших центробежных силах, возникающих при вращении за время, равное или менее 0,5 с. Используются генераторы большей мощности (до 100 кВт). Конструктивные особенности исполнения рентгеновских трубок, лучшее охлаждение анода и повышение его теплоёмкости до 8 млн единиц также позволяют продлить срок службы трубок.
- Зона анатомического покрытия увеличена благодаря одновременной реконструкции нескольких срезов полученных за время одного оборота рентгеновской трубки. Для МСКТ-установки зона анатомического покрытия зависит от количества каналов данных, шага спирали, толщины томографического слоя, времени сканирования и времени вращения рентгеновской трубки. Зона анатомического покрытия может быть в несколько раз больше за одно и то же время сканирования по сравнению с обычным спиральным компьютерным томографом.
- Лучевая нагрузка при многослойном спиральном КТ-исследовании при сопоставимых объёмах диагностической информации меньше на 30 % по сравнению с обычным спиральным КТ-исследованием. Для этого улучшают фильтрацию спектра рентгеновского излучения и производят оптимизацию массива детекторов. Разработаны алгоритмы, позволяющие в реальном масштабе времени автоматически уменьшать ток и напряжение на рентгеновской трубке в зависимости от исследуемого органа, размеров и возраста каждого пациента.
Компьютерная томография с двумя источниками излучения
В 2005 году компанией «Siemens Medical Solutions» представлен первый аппарат с двумя источниками рентгеновского излучения (Dual Source Computed Tomography). Теоретические предпосылки к его созданию были ещё в 1979 году, но технически его реализация в тот момент была невозможна.
По сути он является одним из логичных продолжений технологии МСКТ. Дело в том, что при исследовании сердца (КТ-коронарография) необходимо получение изображений объектов, находящихся в постоянном и быстром движении, что требует очень короткого периода сканирования. В МСКТ это достигалось синхронизацией ЭКГ и обычного исследования при быстром вращении трубки. Но минимальный промежуток времени, требуемый для регистрации относительно неподвижного среза для МСКТ при времени обращения трубки, равном 0,33 с (≈3 оборота в секунду), равен 173 мс, то есть времени полуоборота трубки. Такое временное разрешение вполне достаточно для нормальной частоты сердечных сокращений (в исследованиях показана эффективность при частотах менее 65 ударов в минуту и около 80, с промежутком малой эффективности между этими показателями и при больших значениях). Некоторое время пытались увеличить скорость вращения трубки в гентри томографа. В настоящее время достигнут предел технических возможностей для её увеличения, так как при обороте трубки в 0,33 с её вес возрастает в 28 раз (перегрузки 28 g). Чтобы получить временное разрешение менее 100 мс, требуется преодоление перегрузок более чем 75 g.
Использование же двух рентгеновских трубок, расположенных под углом 90°, даёт временное разрешение, равное четверти периода обращения трубки (83 мс при обороте за 0,33 с). Это позволило получать изображения сердца независимо от частоты сокращений.
Также такой аппарат имеет ещё одно значительное преимущество: каждая трубка может работать в своём режиме (при различных значениях напряжения и тока, кВ и мА соответственно). Это позволяет лучше дифференцировать на изображении близкорасположенные объекты различных плотностей. Особенно это важно при контрастировании сосудов и образований, находящихся близко от костей или металлоконструкций. Данный эффект основан на различном поглощении излучения при изменении его параметров у смеси крови и йодосодержащего контрастного вещества при неизменности этого параметра у гидроксиапатита (основа кости) или металлов.
В остальном аппараты являются обычными МСКТ-аппаратами и обладают всеми их преимуществами.
Массовое внедрение новых технологий и компьютерных вычислений позволили внедрить в практику такие методы, как виртуальная эндоскопия, в основе которых лежит РКТ и МРТ.
Контрастное усиление
Для улучшения дифференцировки органов друг от друга, а также нормальных и патологических структур, используются различные методики контрастного усиления (чаще всего, с применением йодсодержащих контрастных препаратов).
Двумя основными разновидностями введения контрастного препарата являются пероральное (пациент с определённым режимом выпивает раствор препарата) и внутривенное (производится медицинским персоналом). Главной целью первого метода является контрастирование полых органов желудочно-кишечного тракта; второй метод позволяет оценить характер накопления контрастного препарата тканями и органами через кровеносную систему. Методики внутривенного контрастного усиления во многих случаях позволяют уточнить характер выявленных патологических изменений (в том числе достаточно точно указать наличие опухолей, вплоть до предположения их гистологической структуры) на фоне окружающих их мягких тканей, а также визуализировать изменения, не выявляемые при обычном («нативном») исследовании.
В свою очередь, внутривенное контрастирование можно проводить двумя способами: «ручное» внутривенное контрастирование и болюсное контрастирование.
При первом способе контраст вводится вручную рентгенлаборантом или процедурной медсестрой, время и скорость введения не регулируются, исследование начинается после введения контрастного вещества. Этот способ применяется на «медленных» аппаратах первых поколений, при МСКТ «ручное» введение контрастного препарата уже не соответствует значительно возросшим возможностям метода.
При болюсном контрастном усилении контрастный препарат вводится внутривенно шприцем-инжектором с установленными скоростью и временем подачи вещества. Цель болюсного контрастного усиления — разграничение фаз контрастирования. Время сканирования различается на разных аппаратах, при разных скоростях введения контрастного препарата и у разных пациентов; в среднем при скорости введения препарата 4—5 мл/сек сканирование начинается примерно через 20—30 секунд после начала введения инжектором контраста, при этом визуализируется наполнение артерий (артериальная фаза контрастирования). Через 40—60 секунд аппарат повторно сканирует эту же зону для выделения портально-венозной фазы, в которую визуализируется контрастирование вен. Также выделяют отсроченную фазу (180 секунд после начала введения), при которой наблюдается выведение контрастного препарата через мочевыделительную систему.
КТ-ангиография

КТ-ангиография позволяет получить послойную серию изображений кровеносных сосудов; на основе полученных данных посредством компьютерной постобработки с 3D-реконструкцией строится трёхмерная модель кровеносной системы.
Спиральная КТ-ангиография — одно из последних достижений рентгеновской компьютерной томографии. Исследование проводится в амбулаторных условиях. В локтевую вену вводится йодсодержащий контрастный препарат в объёме около 100 мл. В момент введения контрастного вещества делают серию сканирований исследуемого участка.
КТ-перфузия
Метод, позволяющий оценить прохождение крови через ткани организма, в частности:
- перфузию головного мозга
- перфузию печени
Показания к компьютерной томографии
Компьютерная томография широко используется в медицине для нескольких целей:
- КТ не используется как скрининговый тест, то есть это не метод для рутинного массового использования при диспансеризации, медосмотрах и т. д.
- Исключение рака лёгких
- В случае использования компьютерной томографии для скрининга исследование делается в плановом порядке.
- Для диагностики по экстренным показаниям — экстренная компьютерная томография
- Экстренная КТ головного мозга — наиболее часто проводимая экстренная КТ, являющаяся методом выбора при следующих состояниях[3]:
- Впервые развившийся судорожный синдром
- Судорожный синдром с судорожным расстройством в анамнезе, в сочетании с хотя бы одним из перечисленного:
- сопутствующей симптоматикой, подозрительной на органическое поражение головного мозга
- стойкими изменениями психического статуса
- лихорадкой
- недавней травмой
- стойкой головной болью
- онкологическим анамнезом
- приёмом антикоагулянтов
- предполагаемым или подтверждённым СПИД
- изменением характера судорог
- Травма головы, сопровождающаяся хотя бы одним из перечисленного:
- потерей сознания
- проникающей травмой черепа
- другими травмами (политравма)
- нарушением свёртываемости крови
- очаговым неврологическим дефицитом
- Головная боль в сочетании с хотя бы одним из перечисленного:
- острым, внезапным началом
- очаговым неврологическим дефицитом
- стойкими изменениями психического статуса
- когнитивными нарушениями
- предполагаемой или доказанной ВИЧ-инфекцией
- возрастом старше 50 лет и изменением характера головной боли
- Нарушение психического статуса в сочетании с хотя бы одним из перечисленного:
- головной болью
- предполагаемой или доказанной ВИЧ-инфекцией
- приёмом антикоагулянтов
- хроническим алкоголизмом
- значительным подъёмом артериального давления
- значительной гиповентиляцией
- очаговым непрологическим дефицитом, в том числе анизокорией, точечными зрачками или отёком диска зрительного нерва
- менингизмом
- Подозрение на повреждение сосуда (например, расслаивающая аневризма аорты)
- Подозрение на повреждение лёгких по типу «матового стекла» в результате пневмонии, сопровождающей такие коронавирусные ОРВИ как COVID-19
- Подозрение на некоторые другие «острые» поражения полых и паренхиматозных органов (осложнения как основного заболевания, так и в результате проводимого лечения) — по клиническим показаниям, при недостаточной информативности нерадиационных методов.
- Экстренная КТ головного мозга — наиболее часто проводимая экстренная КТ, являющаяся методом выбора при следующих состояниях[3]:
- Компьютерная томография для плановой диагностики
- Большинство КТ-исследований делается в плановом порядке, по направлению врача, для окончательного подтверждения диагноза. Как правило, перед проведением компьютерной томографии делаются более простые исследования — рентген, УЗИ, анализы и т. д.
- Для контроля результатов лечения
- Для проведения лечебных и диагностических манипуляций, например пункции под контролем компьютерной томографии и др.
- Преоперативные изображения, полученные с помощью компьютерной томографии, используются в гибридных операционных во время хирургических операций.
При назначении КТ-исследования, как при назначении любых рентгенологических исследований, необходимо учитывать следующие аспекты[4]:
- приоритетное использование альтернативных (нерадиационных) методов;
- проведение рентгенодиагностических исследований только по клиническим показаниям;
- выбор наиболее щадящих методов рентгенологических исследований;
- риск отказа от рентгенологического исследования должен заведомо превышать риск от облучения при его проведении.
Окончательное решение о целесообразности, объёме и виде исследования принимает врач-рентгенолог[5].
Некоторые абсолютные и относительные противопоказания
Без контраста:
- Беременность
- Масса тела слишком велика для прибора
С контрастом:
- Наличие аллергии на контрастный препарат
- Почечная недостаточность
- Тяжёлый сахарный диабет
- Беременность (тератогенное воздействие рентгеновского излучения)
- Тяжёлое общее состояние пациента
- Масса тела более максимальной для прибора
- Заболевания щитовидной железы
- Миеломная болезнь
Также проведение компьютерной томографии увеличивает частоту возникновения повреждений в ДНК. При проведении компьютерной томографии доза излучения оказалась в 150 раз выше, чем при однократном рентгенологическом исследовании грудной клетки[6].
См. также
Примечания
- ↑ Matt Rosoff. How the Beatles funded the CT scan // Cnet. — 2008. Архивировано 27 сентября 2014 года.
- ↑ Т. П. Тиссен, И. Н. Шевелев — Применение неионных рентгеноконтрастных веществ в нейрохирургии. Дата обращения: 4 марта 2010. Архивировано из оригинала 18 апреля 2009 года.
- ↑ Показания к экстренной КТ головного мозга. Hudson Valley Radiology Associates. Дата обращения: 2 декабря 2015. Архивировано 8 декабря 2015 года.
- ↑ Министерство здравоохранения Российской Федерации. СанПиН 2.6.1.1192-03, п.2.2.2. Дата обращения: 1 декабря 2015. Архивировано 8 декабря 2015 года.
- ↑ Министерство здравоохранения Российской Федерации. СанПиН 2.6.1.802-99, п. 9.4. Дата обращения: 1 декабря 2015. Архивировано 8 декабря 2015 года.
- ↑ DNA damage seen in patients undergoing CT scanning, study finds — ScienceDaily. Дата обращения: 29 июля 2015. Архивировано 1 августа 2015 года.
Литература
- Cormack A. M. Early two-dimensional reconstruction and recent topics stemming from it // Nobel Lectures in Physiology or Medicine 1971—1980. — World Scientific Publishing Co., 1992. — P. 551—563
- Hounsfield G. N. Computed Medical Imaging // Nobel Lectures in Physiology or Medicine 1971—1980. — World Scientific Publishing Co., 1992. — P. 568—586
- Вайнберг Э. И., Клюев В. В., Курозаев В. П. Промышленная рентгеновская вычислительная томография // Приборы для неразрушающего контроля материалов и изделий: Справочник / под ред. В. В. Клюева. — 2-е изд. — M., 1986. — Т. 1.
