Аппендицит
| Аппендицит | |
|---|---|
![]() Расположение аппендикса в брюшной полости | |
| МКБ-11 | DB10 |
| МКБ-10 | K35 — K37 |
| МКБ-10-КМ | K37 |
| МКБ-9 | 540-543 |
| МКБ-9-КМ | 540-543.99[1][2] и 541[1][2] |
| DiseasesDB | 885 |
| MedlinePlus | 000256 |
| eMedicine | med/3430 |
| MeSH | D001064 |
Аппендици́т (лат. appendicitis) — воспаление червеобразного отростка слепой кишки (аппендикса) разной степени выраженности. Одно из наиболее частых заболеваний брюшной полости, требующих хирургического лечения.
История
Внимание хирургов привлекали случаи воспалительных процессов в правой подвздошной области, однако они трактовались как воспаление мышц («псоит») или послеродовые осложнения («маточные нарывы») и, как правило, лечились консервативно[3]. Первую достоверную аппендэктомию выполнил в 1735 году в Лондоне королевский хирург, основатель госпиталя Святого Георгия Claudius Amyand[4]. Он оперировал 11-летнего мальчика, который вскоре поправился. В первой половине XIX века французский клиницист Гийом Дюпюитрен высказал предположение, что воспалительный процесс в правой подвздошной области развивается вследствие первичного воспаления слепой кишки; в рамках этой теории немецкий врач и патолог Иоганн Альбер предложил термин «тифлит» (от греч. typhlon), то есть воспаление слепой кишки, а его последователи — термины «паратифлит» и «перитифлит» (1838)[3]. Несколько позже британские хирурги Брайт и Аддисон в своём труде «Элементы практической медицины» (1839) подробно описали клинику острого аппендицита и привели доказательства существования данного заболевания и его первичности по отношению к воспалению кишки (ранее идею о самостоятельности воспаления аппендикса в 1820-е годы выдвигали французы Луи Филлерме и Франсуа Милер, однако тогда теория не была принята). Это коренным образом изменило тактику при лечении больных острым аппендицитом, поставив на первое место оперативное лечение. В 1886 году R. H. Fitz (1843—1913 гг.) ввёл термин «аппендицит» и пришёл к выводу, что лучшее лечение аппендицита — это удаление червеобразного отростка. Клиническую картину описал в 1889 г. Чарльз МакБурней (Charles McBurney) — один из симптомов аппендицита носит его имя. Первые операции удаления червеобразного отростка были проведены в 1884 году в Англии (Фредерик Махоумд) и в Германии (Рудольф Кренлейн) по поводу, соответственно, ограниченного гнойника и разлитого гнойного перитонита. Косой разрез, выполняемый хирургами для доступа к червеобразному отростку, также носит имя Макбурнея, однако впервые его применил Макартур. В России первая операция по поводу аппендикулярного гнойника была сделана в 1888 году, провёл её врач К. П. Домбровский в Петропавловской больнице — трёхлетнему ребёнку червеобразный отросток был перевязан у основания. А. А. Троянов в Обуховской больнице Санкт-Петербурга произвёл первую в России аппендэктомию (1890)[3]. Однако, российские хирурги продолжали придерживаться выжидательной тактики, прибегая к оперативному вмешательству лишь при появлении осложнений. Активно же оперировать по поводу аппендицита начали только в 1909 году, после IX Съезда российских хирургов[3].
В 1921 году 60-летний американский хирург Эван Кейн успешно произвёл себе аппендэктомию, изучая вопрос переносимости пациентами местной анестезии[5]. В 1961 году в Антарктиде, будучи единственным врачом в экспедиции, операцию аппендэктомии выполнил на себе хирург Л. И. Рогозов[6].
Частота и распространение
Аппендицит проявляется в любом возрасте, чаще в молодом и среднем; женщины болеют чаще мужчин. Заболеваемость острым аппендицитом составляет 4—5 случаев на 1000 человек в год. Среди острых хирургических заболеваний органов брюшной полости острый аппендицит составляет 89,1 %, занимая среди них первое место. Острый аппендицит — наиболее частая причина развития перитонита.
Этиология и патогенез
Механическая теория



- Экспериментальные данные свидетельствуют о том, что острый аппендицит, по-видимому, возникает в результате обтурации (закупоривания) просвета червеобразного отростка[7][8]. Обтурация приводит к переполнению просвета отростка дистальнее уровня обтурации слизистым секретом. Диаметр отростка возрастает с 4-6 мм в норме до 17-18 и более миллиметров, он становится напряжённым. Нарастающее внутрипросветное давление в течение нескольких часов приводит к сдавлению внутриорганных вен, нарушению венозного и лимфатического оттока, отёку стенки органа и пропотеванию транссудата в его просвет с дальнейшим увеличением внутрипросветного давления («порочный круг»), что приводит к острому воспалению и некрозу (омертвению), прежде всего в зоне давления инородного тела («декубитальная язва», «пролежень», «флегмонозно-язвенный аппендицит»). Иногда копролиты можно обнаружить в просвете червеобразного отростка при остром катаральном или хроническом аппендиците. Почему они не приводят к деструкции органа и как долго находятся в его просвете, пока не ясно.
- Некроз сразу становится в высокой степени инфицированным внутрипросветной микрофлорой (микрофлора толстой кишки — самая разнообразная (около 500 видов бактерий и грибков) и многочисленная (более 10 миллионов микробных тел на грамм) в человеческом организме, поэтому процесс бактериального разрушения повреждённой стенки червеобразного отростка стремителен, часто развитие трансмурального (на всю толщу стенки) некроза занимает менее 12 часов (возможно, в отдельных, так называемых «молниеносных» случаях, ещё быстрее). На этой стадии аппендицита в просвете отростка имеется густой гной бело-розового цвета с колибациллярным (гнилостным) запахом. После того, как дно распространяющейся декубитальной язвы достигает серозной (наружной) оболочки отростка, нарастающее внутрипросветное давление выбивает некротическую пробку — возникает перфорация стенки отростка (прободение, возникновение отверстия, «аппендицит лопнул», по народной терминологии) — внутрибрюшная катастрофа, которая приводит к излиянию гнойного содержимого, содержащего огромное количество микробов, в стерильную брюшную полость. Возникает угрожающее жизни больного осложнение — разлитой гнойный перитонит.
- Причины, вызывающие обтурацию просвета: главная причина — копролиты, они же — «фекалиты», они же — «каловые камни» (причина почти 100 % случаев эмпиемы червеобразного отростка, гангренозного и гангренозно-перфоративного аппендицита)[9]. К обтурации просвета аппендикса могут привести также некоторые внешние факторы:
- перегиб отростка рубцовыми сращениями следствие различных хронических заболеваний органов брюшной полости:
- хронический колит
- хронический холецистит
- хронический энтерит
- хронический аднексит
- перитифлит
- спаечная болезнь брюшной полости и т. д.
- Обычно такие случаи протекают с меньшей остротой, появление деструктивных форм при этом не характерно (но не исключается).
- Казуистические причины обтурации червеобразного отростка:
- проглоченные инородные тела (виноградные косточки, рыбьи, птичьи и проч. мелкие кости, шелуха подсолнечных семечек, даже зубные коронки и другие мелкие твёрдые предметы) — встречаются чрезвычайно редко.
- В литературе начала XX века часто сообщалось об обнаружении в просвете воспалённого отростка гельминтов (глистов), в подавляющем большинстве случаев, аскарид. В наше время такие случаи встречаются очень и очень редко.
- Возможно другие, ещё более редкие причины острого аппендицита — например, опухоли червеобразного отростка (чаще всего встречается карциноид).
- Роль запоров и «ленивого кишечника»:
- Согласно некоторым статистическим данным, для тех больных, у которых впоследствии развился острый аппендицит, характерны хронические, многолетние запоры; стул бывает у них реже, чем у тех, кто не болеет острым аппендицитом[10]. Таким образом, на рубеже 1980-х и 1990-х годов в мировой литературе доминирует мнение, согласно которому копролиты червеобразного отростка возникают при задержке калового содержимого в правых отделах толстой кишки, при увеличенном времени пассажа кишечного содержимого[11]. Ограниченные эпидемиологические исследования обнаружили, что в группах населения, не страдавших аппендицитом, реже встречаются рак толстой кишки, дивертикулёз толстой кишки, железистые полипы толстой кишки[12][13]. Существует предположение (пока не имеющее веских доказательств), что острый аппендицит может быть ранним предшественником развития рака ободочной и прямой кишки, одним из основных факторов развития которых считаются хронические запоры[14].
- Есть данные, что заболеваемость острым аппендицитом связана с низким содержанием растительной клетчатки в рационе[15][16]. Действительно, растительная клетчатка возбуждает перистальтику кишечника, обладает послабляющим действием и сокращает время пассажа кишечного содержимого[17].
Инфекционная теория
Инфекционная теория считает, что некоторые инфекционные болезни такие как брюшной тиф, иерсиниоз, туберкулёз, паразитарные инфекции, амёбиаз самостоятельно вызывают аппендицит, однако специфической флоры для аппендицита до сих пор не выявлено.
Сосудистая теория
Сосудистая теория считает, что системные васкулиты — одна из причин острого аппендицита.
Эндокринная теория
Эндокринная теория отмечает, что в слизистой червеобразного отростка имеется множество ЕС-клеток АПУД-системы, секретирующих гормон серотонин — медиатор воспаления.
Классификация
Клинико-анатомические формы аппендицита
- Острый аппендицит acutis — острое воспалительно-некротическое заболевание червеобразного отростка слепой кишки, как правило, вызванное обтурацией просвета червеобразного отростка, и протекающее при участии микрофлоры, обитающей в просвете червеобразного отростка (факультативных и облигатных анаэробов).
- При возникновении острого аппендицита показана экстренная операция: аппендэктомия (удаление червеобразного отростка). Острый аппендицит давностью более двух суток — основная причина летальности при этом заболевании. Именно при остром аппендиците давностью более двух суток возникают осложнения: периаппендикулярный инфильтрат, периаппендикулярный абсцесс, разлитой гнойный перитонит, острый пилефлебит и другие.
- Хронический аппендицит — редкая форма аппендицита, развивающаяся после перенесённого острого аппендицита, характеризующаяся склеротическими и атрофическими изменениями в стенке червеобразного отростка. Некоторыми исследователями допускается возможность развития первично-хронического аппендицита (без ранее перенесённого острого), но в то же время, многими авторами исключается наличие хронического аппендицита.
Морфологическая классификация видов острого аппендицита
- Катаральный (простой, поверхностный);
- Деструктивный:
- флегмонозный,
- апостематозный,
- флегмонозно-язвенный,
- гангренозный,
- перфоративный.
Клинико-морфологическая классификация аппендицита по В. И. Колесову
- Острый аппендицит (лат. appendicitis acutis)
- Поверхностный (простой) аппендицит.
- Деструктивный аппендицит:
- флегмонозный (с перфорацией, без перфорации);
- гангренозный (с перфорацией, без перфорации).
- Осложнённый аппендицит (аппендикулярный инфильтрат, распространённый или тотальный перитонит, абсцессы брюшной полости, пилефлебит, абсцессы печени, сепсис).
- Хронический аппендицит (лат. appendicitis chronica)
- Первично-хронический;
- Хронический рецидивирующий;
- Резидуальный.
По расположению:
- классический;
- ретроцекальный;
- ретроперитонеальный;
- подпеченочный (восходящий);
- тазовый (нисходящий);
- левосторонний (при трансположении органов).
Патологическая анатомия
Катаральный — лейкоцитарная инфильтрация только слизистой оболочки.
Поверхностный — образование первичного аффекта треугольной формы, основанием обращённого в просвет, лейкоцитарная инфильтрация только слизистой оболочки. В просвете кровь, лейкоциты.
Флегмонозный — лейкоцитарная инфильтрация всех слоёв ч.о., в том числе и серозной оболочки, в просвете кровь, лейкоциты, на серозной оболочке фибрин, лейкоциты.
Флегмонозно-язвенный — лейкоцитарная инфильтрация всех слоёв отростка, в том числе и серозной оболочки. Изъязвление слизистой. В просвете кровь, лейкоциты, на серозной оболочке фибрин, лейкоциты.
Апостематозный — как и флегмонозный, но в стенке образуются мелкие абсцессы, представленные некротизированной тканью и нейтрофильными лейкоцитами.
Гангренозный — некроз стенки отростка, диффузная нейтрофильная инфильтрация, перитонит.
Перфоративный — края разрыва представлены некротизированной тканью с наложениями фибрина, лейкоцитов и эритроцитов.
Диагностика
Клиника
Боль в животе, сначала в эпигастральной области или околопупочной области; нередко она имеет нелокализованный характер (боли «по всему животу»), через несколько часов боль мигрирует в правую подвздошную область — симптом «перемещения» или симптом Кохера (или Кохера — Волковича). Несколько реже болевое ощущение появляется сразу в правой подвздошной области. Боли носят постоянный характер; интенсивность их, как правило, умеренная. По мере прогрессирования заболевания они несколько усиливаются, хотя может наблюдаться и их стихание за счёт гибели нервного аппарата червеобразного отростка при гангренозном воспалении. Боли усиливаются при ходьбе, кашле, перемене положения тела в постели. Когда пристеночная брюшина все более раздражается боль локализуется в правом нижнем квадранте. Эта стадия называется острым аппендицитом. Иррадиация при типичной форме острого аппендицита не наблюдается и характерна лишь для атипичных форм. Важно отличать спастическую (спазматическую) и интермиттирующую (прерывистую) боль живота и прогрессивирующую усиливающуюся боль. Если у пациента тошнота, рвота или диарея за которой следует спастическая (спазматическая) и интермиттирующая (прерывистая) боль живота, существует большая вероятность гастроэнтерита. Если первым проявлением становится лихорадочное состояние, аппендицит менее вероятен. При аппендиците может происходить незначительное повышение температуры в течение 24 часов, последующее более значительное повышение температуры может свидетельствовать о перфоративном аппендиците[18];
- Отсутствие аппетита (анорексия);
- Тошнота, рвота 1-2 кратная и носит рефлекторный характер. Появление тошноты и рвоты до возникновения болей не характерно для острого аппендицита;
- Подъём температуры до 37-38 °C (субфебрильная лихорадка) (Триада Murphy — анорексия, рвота, температура).
- Возможны: жидкий стул, частые мочеиспускания, повышение числа сердечных сокращений и повышение давления (очень редко)
- Существуют «атипичные» проявления аппендицита при его атипичном расположении, а также у детей, пожилых и при беременности.
- Клинические проявления зависят от расположения аппендикса. Если аппендикс ретроцекальный (расположенный позади слепой кишки), боль носит приглушённый характер. Если отросток находится в тазу проявляется атипическая боль.
- Дети могут испытывать дизурию (расстройства мочеиспускания) из-за раздражения воспалённым аппендиксом мочевого пузыря.
Физикальное обследование
При обследовании важно исключить другие источники инфекции. Инфекции верхних дыхательных путей могут приводить к мезадениту, который также может быть причиной боли в животе. Полнота пациента, ретроцекально расположенный червеобразный отросток, небольшой размер кишки затрудняют постановку диагноза.
Клинические признаки. Симптомы раздражения брюшины
- болезненность в правой подвздошной области при пальпации. Болезненность при внезапном ослаблении давления при пальпации в правом нижнем квадранте трудно устанавливать у детей. Более простой и аккуратный метод определения степени раздражения брюшины состоит в том, чтобы попросить пациента пройтись или подпрыгнуть.
- повышенная болезненность в точке Мак-Бурнея[19] (точка проекции основания отростка, на границе наружной 1/3 воображаемой линии, соединяющей переднюю верхнюю подвздошную ость правой подвздошной кости с пупком);
- напряжение мышц в правой подвздошной области при пальпации;
- болезненность передней стенки ампулы прямой кишки за счёт наличия выпота в кармане Дугласа, или в дугласовом пространстве при ректальном исследовании;
- симптом Аарона (Aaron) — боль, чувство распирания в эпигастрии или прекардиальной области при надавливании в точке Макбурнея[20] ;
- симптом Бартомье-Михельсона (Bartomier) — болезненность при пальпации слепой кишки усиливается в положении больного на левом боку;
- симптом Басслера (Bassler) — болезненность при надавливании по линии от пупка к передней верхней ости правой подвздошной кости усиливается по мере приближения к кости;
- симптом Брауна (Brown) — на передней брюшной стенке в положении лежа на спине отмечают место наибольшей болезненности, после чего больного укладывают на левый бок. Через 15-20 минут место болезненности перемещается на 2,5 — 5 см медиальнее или болезненность усиливается;
- симптом Брендо (Brindeau) — болезненность справа при надавливании на левое ребро беременной матки;
- симптом Бриттена (Brittain) — при пальпации живота в зоне наибольших болей в правой подвздошной области наблюдается напряжение мышц и подтягивание правого яичка к верхней части мошонки. С прекращением пальпации яичко опускается;
- симптом Вахенгейма-Редера (Wachenheim-Reder) — появление болей в правой подвздошной области при пальцевом исследовании прямой кишки;
- симптом Видмера (Widmer) — температура в правой подмышечной впадине выше, чем в левой;
- симптом Воскресенского — врач левой рукой натягивает рубашку больного за нижний край (для равномерного скольжения). Во время вдоха больного кончиками пальцев с умеренным давлением на живот осуществляют быстрое скользящее движение сверху вниз по направлению к правой подвздошной области. В момент окончания движения больной отмечает резкое усиление болезненности;
- симптом Габая — в области треугольника Пти справа осуществляют давление пальцем, а затем быстро отнимают палец. В этот момент появляется усиление боли. Признак острого аппендицита при ретроцекальном расположении отростка;
- симптом Долинова — усиление болей в правой подвздошной области при втягивании живота;
- симптом Донелли (Donnelli) — появление болезненности при пальпации над и под точкой Мак-Бурнея при одновременном разгибании больным правой ноги. Признак острого аппендицита при ретроцекальной локализации отростка;
- триада симптомов Дьелафуа (Dieulafoy) — боль, мышечное напряжение и гиперестезия кожи в правой подвздошной области;
- симптом Затлера (Sattler) — боль в правой подвздошной области при поднятии сидящим больным выпрямленной правой ноги;
- симптом Иванова — расстояние от пупка до передней верхней ости подвздошной кости справа меньше, чем слева, за счёт сокращения мышц в правой подвздошной области;
- симптом Икрамова — усиление болей в правой подвздошной области при прижатии правой бедренной артерии;
- симптом Клемма (Klemm) — скопление газа в илеоцекальном отделе кишечника, определяемое при рентгенологическом исследовании;
- симптом Коупа (Соре) — усиление болей в правой подвздошной области при разгибании бедра в положении на левом боку (при тазовой локализации червеобразного отростка);
- симптом Кохера (Kocher, Волковича-Кохера) — боль первоначально возникает в подложечной области непосредственно под мечевидным отростком, а спустя 1-3 часа перемещается в правую подвздошную область;
- симптом Крымова — появление или усиление боли в правой подвздошной области при исследовании пальцем наружного отверстия правого пахового канала;
- симптом Крымова-Думбадзе — болезненность при пальпации пупочного кольца, свидетельствующая о раздражении брюшины;
- симптом Ларока (Larock) — подтянутое положение правого или обоих яичек, возникающее самопроизвольно или при пальпации передней брюшной стенки;
- симптом Леннандера (Lennander) — разность подмышечной и ректальной температур более 1 °C;
- симптом Мерфи (Murphy) — из-за наличия выпота в правой подвздошной области при перкуссии в этом районе определяется притупление;
- симптом Михельсона — усиление болей в правой половине живота у беременных в положении на правом боку, когда матка давит на очаг воспаления;
- симптом Р. В. Мяконького — пациент находится в положении лежа на животе (на левом боку — полубоком), его правая нижняя конечность согнута в коленном и тазобедренном суставах, приведена к животу (создается расслабление мышц передней брюшной стенки в правой подвздошной области). Врач находится сзади пациента стоя или сидя. II—IV пальцы правой кисти врача помещаются в правую подвздошную область (в проекции типичного расположения аппендикса, точка Мак-Бурнея), I палец опирается на гребень подвздошной кости. Во время вдоха пациента (при наиболее расслабленной брюшной стенке) II—IV пальцами правой кисти врач совершает легкие толчкообразные движения передней брюшной стенки в правой подвздошной области. При положительном симптоме возникает или усиливается боль в правой подвздошной области, что объясняется механическим раздражением воспаленной висцеральной брюшины аппендикса и париетальной брюшины правой подвздошной ямки;[21],[22][23]
- симптом Образцова — усиление болезненности при давлении на слепую кишку и одновременном поднимании выпрямленной в коленном суставе правой ноги;
- симптом Островского — больной поднимает вверх выпрямленную правую ногу и удерживает её в таком положении. Врач быстро разгибает её и укладывает горизонтально. Появляется боль в правой подвздошной области;
- симптом Пайра (Payr) — гиперэстезия анального сфинктера с тенезмами и спазмами при дефекации. Положителен при тазовом расположении отростка;
- симптом Пшевальского (Przewalsky) — больному трудно поднять правую ногу;
- симптом Раздольского (Менделя-Раздольского) — при перкуссии брюшной стенки определяется болезненность в правой подвздошной области;
- симптом Ризвана — усиление болей в правой подвздошной области при глубоком вдохе;
- симптом Ровзинга (Rovsing) — появление или усиление болей в правой подвздошной области при сдавлении сигмовидной кишки и толчкообразном давлении на нисходящий отдел ободочной кишки;
- симптом Самнера (Samner) — повышение тонуса мышц передней брюшной стенки при лёгкой пальпации;
- симптом Ситковского — возникновение или усиление болей в правой подвздошной области в положении больного на левом боку;
- симптом Сорези (Soresi) — боль в правой подвздошной области, возникающая при покашливании и одновременной пальпации в правом подреберье у больного, лежащего на спине с согнутыми ногами;
- симптом Хорна (Horn) — болезненность в правом яичке при лёгком потягивании за основание мошонки;[24]
- симптом Чейса (Chase) — боль, возникающая в правой подвздошной области при быстрой и глубокой пальпации по ходу поперечного отдела ободочной кишки при прижатии другой рукой нисходящего отдела;
- симптом Черемских-Кушниренко (Караваевой) — усиление болей в правой подвздошной области при кашле;
- симптом Чугаева — при пальпации передней брюшной стенки прощупываются напряжённые пучки наружной косой мышцы живота («струны аппендицита»);
- симптом Шиловцева — в положении лежа на спине определяют место наибольшей болезненности в правой подвздошной области и затем предлагают больному повернуться на левый бок. Боль при этом смещается ниже и левее;
- симптом Щёткина — Блюмберга — обратная чувствительность, усиление боли при резком отнятии руки, по сравнению с пальпацией;
- симптом Яуре-Розанова — болезненность при давлении пальцем в треугольнике Пти.
Лабораторные признаки
Диагноз «острый аппендицит» — клинический (обычно его ставит врач-хирург, определяя показания к экстренной операции).

Точная морфологическая форма заболевания (катаральный, флегмонозный, гангренозный) выявляется только интраоперационно, во время диагностической лапароскопии или первом этапе лапаротомии (в отечественной традиции такой диагноз называется «Послеоперационный диагноз»).
- Удалённый червеобразный отросток исследуется гистологически (обычно требуется 5-7 рабочих дней) для подтверждения и детализации интраоперационного диагноза.
- Достоверных лабораторных изменений крови, мочи, других биологических жидкостей, позволяющих определить диагноз острого аппендицита без хирургического вмешательства, в настоящее время не существует.
При остром аппендиците наблюдаются неспецифические изменения анализов крови, характерные для воспалительной реакции как таковой: повышение числа лейкоцитов в крови, повышение скорости оседания эритроцитов, подъём С-реактивного белка после первых 12 часов, небольшое количество эритроцитов и лейкоцитов в моче («токсические изменения мочи»). Значительное повышение числа лейкоцитов может свидетельствовать о перфорации.
- В зарубежной литературе последних 2-3х лет появились сообщения, что при деструктивных формах острого аппендицита может быть характерным повышение общего билирубина сыворотки крови более 18,5 мкмоль/л. Возможное объяснение гипербилирубинемии — всасывания токсических продуктов из червеобразного отростка в вены отростка, поступление по портальной системе в печень, токсические изменения гепатоцитов, которые ведут к повышению уровня билирубина. В настоящее время эти сведения нуждаются в подтверждении. В любом случае, эти данные носят вспомогательный характер и не специфичны для острого аппендицита, так как могут присутствовать при целом ряде острых и хронических заболеваний.
Инструментальное обследование
Ультразвуковое исследование — дилятация просвета (диаметр более 6 мм), отсутствие перистальтики, иногда может лоцироваться копролит. Ультразвуковое исследование должно быть первым инструментальным обследованием при подозрении на аппендицит. Обнаруживаются наполненная жидкостью, несжимаемая трубчатая конструкция с диаметром, превышающим 6 мм, аппендиколит, околоаппендикулярная перицекальная жидкость.
- Наиболее частый эхопризнак острого аппендицита — наличие свободной жидкости в правой подвздошной ямке (то есть, вокруг отростка) и (или) в полости малого таза (наиболее отлогом месте брюшной полости) — симптомы местного перитонита.
- Ультразвуковое исследование при остром аппендиците не всегда специфично. Для лоцирования (обнаружения) червеобразного отростка требуются: наличие обтурации отростка, опыт и аппарат экспертного класса. При гангренозно-перфоративном аппендиците, содержимое отростка изливается в брюшную полость, дилятация исчезает, отросток может не лоцироваться. Вместе с тем, обязательно лоцируется свободная жидкость в брюшной полости, может лоцироваться «свободный газ» в брюшной полости, паретичные петли тонкой кишки.
Усложняют ультразвуковое исследование кишечные газы, ожирение, защитная фиксация, движения. Обнаружение нормального аппендикса при ультразвуковом исследовании является основанием для исключения аппендицита.
Рентгенография брюшной полости на ранних стадиях заболевания не информативна, возможно выявление лишь косвенных признаков патологического процесса в брюшной полости (симптом «сторожевой петли»). При развитии распространённого перитонита (по классификации Симоняна — на паралитической и терминальной стадиях перитонита) — появляются признаки паралитической кишечной непроходимости: «чаши Клойбера», «тонкокишечные арки», исчезает пневматизация толстой кишки. В 10 % — 20 % случаев рентгенография показывает копролит.
Рентгеноскопия (ирригоскопия) показана при подозрении на хронический аппендицит. Признаками хронического аппендицита считаются отсутствие заполнения просвета отростка контрастным веществом, чёткообразный контур или нет червеобразный отросток контрастом, может быть припаян к соседним петлям кишечника (пальпаторно проверить смещаемость)
Диагностическая лапароскопия показана в сомнительных случаях, может переходить в лечебную лапароскопию при технической возможности, когда имеются условия для лапароскопической аппендэктомии; требуется письменное согласие пациента на удаление червеобразного отростка.
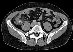
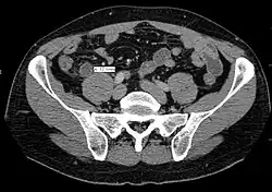
Компьютерная томография информативна при наличии спирального томографа, когда выявляется обтурация червеобразного отростка, расширение его просвета, утолщение стенки (> 1 мм) признаки свободной жидкости (воспалительного выпота) в брюшной полости.
Радионуклидное исследование с лейкоцитами меченными 99Тс.
Наблюдение
Если история болезни, физикальное и лабораторное обследование не позволяют подтвердить или исключить аппендицит, рекомендуется придерживаться диеты и произвести повторный общий анализ крови с повторным клиническим обследованием с пальпацией следующим утром. В большинстве случаев при отсутствии аппендицита наступает улучшение и пациента можно отправить домой. У детей с аппендицитом наблюдается усиление боли, поэтому применяют антибиотики внутривенно пока не будет произведена аппендэктомия[25].
Аппендицит при беременности
Острый аппендицит — самая частая причина неотложных хирургических вмешательств у беременных. Частота острого аппендицита у беременных: 1 случай на 700—2000 беременных.
Анатомо-физиологические особенности женского организма затрудняют своевременную диагностику аппендицита. Это приводит к большей частоте развития осложнённых форм, что может привести к прерыванию беременности и гибели плода.
Правильной хирургической тактикой является ранняя аппендэктомия у беременных. Она позволяет избежать осложнений и спасает как жизнь матери, так и ребёнка.
Особенности организма женщины при беременности, влияющие на постановку диагноза и хирургическую тактику:
- стёртая клиническая картина «острого живота» вследствие гормональных, метаболических, физиологических изменений;
- прогрессирующее ослабление мышц передней брюшной стенки за счёт их растяжения растущей маткой;
- смещение внутренних органов растущей маткой: аппендикс и слепая кишка смещаются краниально, брюшная стенка поднимается и отодвигается от отростка.
У беременных при остром аппендиците отмечается острая боль в животе, которая приобретает постоянный ноющий характер и перемещается в место локализации отростка (правый боковой отдел живота, правое подреберье). Отмечают наличие положительного симптома Тараненко — усиление боли в животе при повороте с левого бока на правый.
Дифференциальный диагноз
Аппендицит необходимо дифференцировать со следующими заболеваниями: вирусный мезаденит, вирусный гастроэнтерит, тубоовариальные патологические процессы, Меккелев дивертикул, запор, правосторонний пиелонефрит, почечная колика справа, острый правосторонний сальпингоофорит (аднексит), апоплексия яичника, разрыв кисты яичника, прогрессирующая или прерваная внематочная беременность, острый эндометрит, воспаление дивертикула Меккеля, прободная язва, обострение язвенной болезни, энтерит, колит, кишечная колика, холецистит, кетоацидоз, кишечная непроходимость, нижнедолевая пневмония или выпотной плеврит, болезнь Крона, геморрагический васкулит (болезнь Шенляйна - Геноха), пищевое отравление и др.
Лечение
На догоспитальном этапе запрещается: применять местное тепло (грелки) на область живота, вводить наркотики и другие болеутоляющие средства, давать больным слабительное и применять клизмы.
Лечение начинается со введения физиологического раствора и антибиотиков широкого спектра действия внутривенно. Антибиотики одинарного и двойного действия так же эффективны, как и антибиотики тройного действия. Дальнейшие действия зависят от того, наблюдается ли перфорированный или неперфорированный аппендицит. Если у пациента симптомы наблюдаются менее 24 часов, риск перфорированности незначителен. Для них терапия антибиотиками и растворами приводит к остановке прогресса заболевания в сторону перфорации и даже к улучшению состояния. Такие пациенты должны подготавливаться к аппендэктомии. В отношении пациентов, у которых симптомы наблюдаются до 5—7 суток, лечение производится подобным же образом. Если симптомы наблюдаются более 7 суток, вероятность перфорации с абсцессом или без него значительна. Если симптомы проявлялись в течение длительного срока, аппендектомия усложняется и усиливаются постоперационные осложнения. Это повышает требования к консервативному лечению. Консервативное лечение включает применение антибиотиков внутривенно, обеспечение оттока внутрибрюшного абсцесса при наличии, с использованием хирургической радиологической техники. В то же время применение консервативного лечения является спорным и многие врачи практикуют немедленную аппендэктомию без применения консервативного лечения.
Пациенты с неперфорированным аппендиксом получают лечение антибиотиками в течение максимум суток. Единичная предоперационная доза должна быть такой, чтобы уменьшить риск раневой инфекции. Лечение антибиотиками пациентов с перфорированным аппендиксом продолжается до устранения клинических симптомов (устранение лихорадки, восстановление функций желудочно-кишечного тракта, нормализация лейкоцитарной формулы). Если лечение антибиотиками внутривенно дало результаты менее чем через 5 дней, можно перейти на пероральный приём антибиотиков для того, чтобы закончить 7-дневный курс.
Постановка диагноза острого аппендицита является показанием к проведению экстренного оперативного лечения. При отсутствии явлений разлитого перитонита используется доступ Макбурнея (McBurney), иногда называемый в отечественной литературе доступом Волковича-Дьяконова. Основной этап операции при остром аппендиците — аппендэктомия (удаление червеобразного отростка).
Осложнения
Разрыв червеобразного отростка, периаппендикулярный инфильтрат или же аппендикулярный инфильтрат, периаппендикулярный абсцесс, перитонит, абсцесс брюшной полости, флегмона забрюшинного пространства, пилефлебит, тромбофлебит вен малого таза, гнойный пилефлебит (восходящий септический тромбофлебит системы воротной вены), сепсис.
Прогноз
При своевременной операции прогноз благоприятный. Летальность составляет 0,1 % в случае непрободного острого аппендицита, 3 % — при перфорации и 15 % — при прободном аппендиците у пожилых больных.
См. также
Примечания
- 1 2 Disease Ontology (англ.) — 2016.
- 1 2 Monarch Disease Ontology release 2018-06-29 — 2018-06-29 — 2018.
- 1 2 3 4 В.И. Колесов. Клиника и лечение острого аппендицита. — Ленинград: Медицина, 1972.
- ↑ Claudius Amyand. Дата обращения: 22 января 2012. Архивировано 21 апреля 2014 года.
- ↑ Dr. Evan Kane dies of pneumonia at 71. New York Times. 2 апреля 1932. p. 23.
- ↑ Рогозов Л. И. Операция на себе // Бюллетень советской антарктической экспедиции. Москва, 1962. Вып. 37. Стр. 42—44.
- ↑ Wangensteen O.H., Bowers W.F. Significance of the obstructive factor in the genesis of acute appendicitis (англ.) // Arch Surg : journal. — 1937. — Vol. 34. — P. 496—526.
- ↑ Pieper R., Kager L., Tidefeldt U. Obstruction of appendix vermiformis causing acute appendicitis. An experimental study in the rabbit (англ.) // Acta Chir Scand : journal. — 1982. — Vol. 148, no. 1. — P. 63—72. — PMID 7136413.
- ↑ Hollerman, J., et al. (1988). Acute recurrent appendicitis with appendicolith. Am J Emerg Med 6:6 614-7.
- ↑ Jones B.A., Demetriades D., Segal I., Burkitt D.P. The prevalence of appendiceal fecaliths in patients with and without appendicitis. A comparative study from Canada and South Africa (англ.) // Ann. Surg. : journal. — 1985. — Vol. 202, no. 1. — P. 80—2. — doi:10.1097/00000658-198507000-00013. — PMID 2990360. — PMC 1250841.
- ↑ Nitecki S., Karmeli R., Sarr M.G. Appendiceal calculi and fecaliths as indications for appendectomy (англ.) // Surg Gynecol Obstet : journal. — 1990. — Vol. 171, no. 3. — P. 185—188. — PMID 2385810.
- ↑ Arnbjörnsson E. Acute appendicitis related to faecal stasis (неопр.) // Ann Chir Gynaecol. — 1985. — Т. 74, № 2. — С. 90—3. — PMID 2992354.
- ↑ Raahave D., Christensen E., Moeller H., Kirkeby L.T., Loud F.B., Knudsen L.L. Origin of acute appendicitis: fecal retention in colonic reservoirs: a case control study (англ.) // Surg Infect (Larchmt) : journal. — 2007. — Vol. 8, no. 1. — P. 55—62. — doi:10.1089/sur.2005.04250. — PMID 17381397.
- ↑ Burkitt D.P. The aetiology of appendicitis (неопр.) // Br J Surg. — 1971. — Т. 58, № 9. — С. 695—699. — doi:10.1002/bjs.1800580916. — PMID 4937032.
- ↑ Adamis D., Roma-Giannikou E., Karamolegou K. Fiber intake and childhood appendicitis (неопр.) // Int J Food Sci Nutr. — 2000. — Т. 51, № 3. — С. 153—157. — doi:10.1080/09637480050029647. — PMID 10945110.
- ↑ Hugh T.B., Hugh T.J. Appendicectomy--becoming a rare event? (неопр.) // Med. J. Aust.. — 2001. — Т. 175, № 1. — С. 7—8. — PMID 11476215. Архивировано 26 августа 2006 года.
- ↑ Gear J.S., Brodribb A.J., Ware A., Mann J.I. Fibre and bowel transit times (неопр.) // Br. J. Nutr.. — 1981. — Т. 45, № 1. — С. 77—82. — doi:10.1079/BJN19810078. — PMID 6258626.
- ↑ Berkowitz’s Pediatrics: A Primary Care Approach, 5th Edition Copyright © 2014 American Academy of Pediatrics p.385
- ↑ Точка Мак-Бурнея. Дата обращения: 13 августа 2015. Архивировано из оригинала 28 мая 2020 года.
- ↑ Аарона симптом. Дата обращения: 13 августа 2015. Архивировано из оригинала 28 мая 2020 года.
- ↑ Краюшкин С.И., Мяконький Р.В., Каплунов К.О. [DOI: 10.17238/issn2072-3180.2021.1.10-15 МАЛОИЗВЕСТНЫЕ ОТЕЧЕСТВЕННЫЕ АППЕНДИКУЛЯРНЫЕ ПАЛЬПАТОРНЫЕ ДИАГНОСТИЧЕСКИЕ ТЕХНИКИ У ВЗРОСЛЫХ: ИХ ЭФФЕКТИВНОСТЬ И ПРАКТИЧЕСКАЯ ЗНАЧИМОСТЬ НА ДОГОСПИТАЛЬНОМ ЭТАПЕ] (рус.) // Московский хирургический журнал 1 (75) 2021. — 2021. — № 1 (75) 2021. — С. 10—15. — ISSN 2072-3180 (Print) ISSN 2072-3180 (Print).
- ↑ Мяконький Р.В., Краюшикин С.И., Быков А.В., Полянцев А.А. [https://painrussia.ru/russian-Journal-of-Pain/SE%2020.pdf ВАЛИДАЦИЯ НОВЫХ ПАЛЬПАТОРНЫХ АППЕНДИКУЛЯРНЫХ ДИАГНОСТИЧЕСКИХ ТЕХНИК ПРИ АБДОМИНАЛЬНОМ БОЛЕВОМ СИНДРОМЕ У ВЗРОСЛЫХ] (рус.) // Российский журнал боли : журнал. — 2020. — Т. 18, № Специальный выпуск. — С. 89—90. — ISSN 2618-9860 (ONLINE), ISSN 2219-5297 (PRINT) ISSN 2618-9860 (ONLINE), ISSN 2219-5297 (PRINT). Архивировано 14 января 2023 года.
- ↑ Совцов С.А.,Мяконький Р.В., Каплунов К.О.,Краюшкин С.И. МЕСТО АППЕНДИКУЛЯРНОГО СИМПТОМА Р.В. МЯКОНЬКОГО КАК МАРКЕРА АБДОМИНАЛЬНОЙ БОЛИ В ФИЗИКАЛЬНОЙ ДИАГНОСТИКЕ ОСТРОГО АППЕНДИЦИТА У ВЗРОСЛЫХ ПАЦИЕНТОВ С НОВОЙ КОРОНАВИРУСНОЙ ИНФЕКЦИЕЙ COVID-19 (рус.) // Российский журнал боли : журнал. — 2021. — Специальный выпуск (т. 19). — С. 55—56. — ISSN 2219-5297 (PRINT), ISSN 2618-9860 (ONLINE) ISSN 2219-5297 (PRINT), ISSN 2618-9860 (ONLINE). Архивировано 14 января 2023 года.
- ↑ Хирургия Клинические симптомы. Симптом Horn. Дата обращения: 2 ноября 2009. Архивировано 14 июня 2010 года.
- ↑ Berkowitz’s Pediatrics: A Primary Care Approach, 5th Edition Copyright © 2014 American Academy of Pediatrics p.397
Литература
- Петров С. В. Общая хирургия: Учебник для вузов. — 2-е изд. — 2004. — 768 с. — ISBN 5-318-00564-0.
Ссылки
- Appendicitis: Acute Abdomen and Surgical Gastroenterology (англ.) from the Merck Manual Professional
