Синовиальная саркома
| Злокачественная синовиома | |
|---|---|
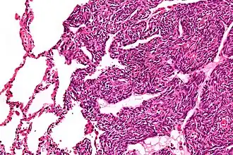
![]() Микрофотография из монофазной синовиальной саркомы | |
| МКБ-11 | XH9B22 |
| МКБ-10 | C49 |
| МКБ-10-КМ | C49.9 |
| МКБ-9-КМ | 171.9[1] |
| МКБ-О | M9040/3-9043/3 |
| OMIM | 300813 |
| DiseasesDB | 34577 |
| MeSH | D013584 |
Синовиа́льная сарко́ма — злокачественная синовиома, довольно редкая опухоль, возникающая из синовиальной оболочки суставов, сухожильных влагалищ и фасций верхних и нижних конечностей. Встречается как у мужчин, так и женщин в любом возрасте, но преимущественно до 50 лет, очень редко после 55-60 лет. Излюбленая локализация синовиом — нижние и верхние конечности в области крупных суставов, редко область шеи или груди[2].
Патологическая анатомия
Опухоль обычно плотна или эластична на ощупь, на разрезе от светло-коричневого или серо-розового цвета (рыбье мясо), до жёлто-коричневого, иногда с полостями, заполненными слизеподобными массами.
Опухоль состоит из разнообразных по форме клеток (то округлых, то напоминающих эпителий), среди которых расположены щели и полости различной формы и размеров, заполненные слизеподобными массами. Отмечается образование сосочковых структур, напоминающих синовиальные ворсинки (волокнистая саркома). Иногда опухоль имеет железистое строение и напоминает аденокарциному. В некоторых случаях (единичных) встречаются гигантские клетки.
Типы синовиом
Морфологически различают несколько типов:
- Волокнистая (похожая на фибросаркому)
- Целлюлярная (железистоподобная)
- Монофазная
- Бифазная
Этиология
Причины злокачественной синовиомы составляют в основном предраковые состояния (дисплазии прилежащих тканей, шванномы), сильные повреждения суставов (травматика), канцерогены, ионизирующее излучение, инородные тела (осколки и др.).
Клиника и диагностика
Лечение
Обычно включает в себя:
- Удаление опухоли хирургическим путём. Хирургия в данном случае является очень частой процедурой (до 70 %), в связи с высокой степенью рецидивов у больных. При больших опухолях крупных суставов (коленного или тазобедренного) с инфильтарцией в крупные кровеносные или лимфатические сосуды и частыми рецидивами (что не редкость) необходимо производить ампутацию (экзартикуляцию) конечностей. При увеличенных регионарных лимфатических узлах рекомендуется их удаление.
- В постоперационном периоде всегда желательно применять лучевую терапию, которая намного лучше уменьшает риск рецидивов, чем химиотерапия (особенно при монофазном типе синовиальной саркомы).
- Химиотерапия (например, доксорубицина гидрохлоридом или ифосфамидом) также проводится в постоперационном периоде (исключения составляют неоперабельные опухоли). Приём химиотерапевтических средств помогает снизить количество микроскопических злокачественных клеток. Но, в отличие от лучевой терапии, до сих пор неясно действие химиотерапии на общую выживаемость больных синовиальной саркомой, хотя недавние исследования показали, что выживаемость пациентов с поздними стадиями, со слабодифференцированными клетками опухоли, незначительно улучшается при лечении доксорубицином/ифосфамидом.
- В 2024 г. была одобрена генная терапия: afamitresgene autoleucel.
Прогноз
Зависит от типа саркомы:
- при монофазной саркоме — в основном плохой, редки случаи (единичны), когда больные выздоравливают полностью, часты метастазирующие стадии в лёгкие (до 60 % случаев).
- при бифазной саркоме — более благоприятный — до 45 % случаев больные живут долго.
Высокая степень рецидивов, происходящих при монофазной саркоме делает её крайне злокачественной опухолью[3].
См. также
- Синовиома
- Злокачественные опухоли
Литература
- Справочник по онкологии / под редакцией проф. Б. Е. Петерсона. — Ташкент: Медицина, 1966. — 500 с.
- Петерсон Б.Е.. Онкология (учебник для мед. ин-тов). — М.: Медицина, 1980. — 447 с.
Примечания
Ссылки
- Синовиальная саркома. РОНЦ им. Н. Н. Блохина РАМН (ronc.eesg.ru). Дата обращения: 27 октября 2012. Архивировано из оригинала 4 марта 2016 года.
