Рак верхушки лёгкого с синдромом Панкоста
| Рак верхушки лёгкого с синдромом Панкоста | |
|---|---|
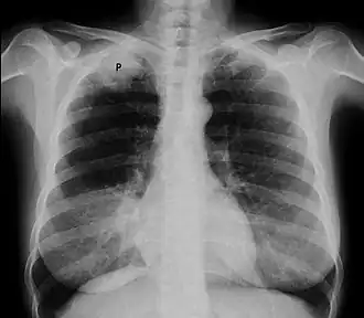
![]() Рентгенограмма органов грудной клетки, опухоль Панкоста (обозначена P, немелкоклеточная карцинома правого лёгкого) у курящей женщины 47 лет. | |
| МКБ-10 | C34.1 |
| МКБ-9 | 162.3 |
| МКБ-О | 8010/3 |
| DiseasesDB | 31266 |
| eMedicine | med/3418 |
| MeSH | D010178 |
Опухоль Панкоста или опухоль верхней борозды лёгкого (это название чаще употребляется в англоязычной литературе) — рак первого (верхушечного) сегмента лёгкого с синдромом Панкоста.
Растущая опухоль может сдавливать или прорастать плечеголовную вену (лат. v. brachiocephalica), подключичную артерию (лат. a. subclavicularis), диафрагмальный нерв (лат. n. phrenicus), возвратный гортанный нерв (лат. n. laryngeus recurrens), блуждающий нерв (лат. n. vagus); типично сдавление или прорастание звездчатого ганглия (лат. ganglium cervicotoracicum s. stellatum), что обуславливает симптоматику синдрома Горнера.
Опухоль названа в честь Генри К. Панкоста (англ. H. K. Pancoast, американский рентгенолог, 1875—1939), описавшего её в 1924 году (вначале под названием «апикальная опухоль грудной стенки»), а затем в 1932 году (изменив название на «опухоль верхней борозды лёгкого»).
Клиника
Помимо основных симптомов рака, таких как недомогание, лихорадка, потеря массы тела и усталость, опухоль Панкоста в тяжёлых случаях может проявляться полным синдромом Горнера: миоз (сужение зрачка), птоз (опущение верхнего века), энофтальм (западение глазного яблока) и ангидроз (недостаточность потовыделения) на стороне поражения. При прогрессировании (прорастании опухоли через купол плевры) также вовлекается плечевое нервное сплетение, возникают боли и слабость в плечевом суставе и плече, предплечье и кисти. При сдавливании или прорастании опухолью правого возвратного гортанного нерва наблюдается охриплость голоса и грубый кашель.
Синдром верхней полой вены при её обструкции опухолью проявляется отёком лица, цианозом и расширением вен шеи и головы. В анамнезе у пациентов с опухолью Панкоста обычно отмечается длительное курение. Синдром Панкоста можно спутать с нейроваскулярными нарушениями в области верхней апертуры грудной клетки (лат. apertura thoracis superior, англ. thoracic outlet), в частности, обусловленными так называемым синдромом лестничной мышцы. Длительное курение пациента, быстрое появление клинических симптомов, плевральная боль позволяют предположить наличие апикальной (верхушечной) опухоли. Опухоль Панкоста может дать развитие как синдрому Панкоста, так и синдрому Горнера. Синдром Панкоста предполагает вовлечение в патологический процесс плечевого сплетения; вовлечение симпатических волокон с уровня сегмента Th1 до верхнего шейного ганглия (лат. ganglium cervicalis superior) влечёт за собой появление синдрома Горнера.
Лечение
Лечение опухоли Панкоста может отличаться от лечения других типов немелкоклеточного рака лёгких. Её положение, близкое к жизненно важным структурам (спинному мозгу и нервным сплетениям), затрудняет проведение хирургического лечения. В связи с этим, тактика лечения определяется стадией рака. Лечение включает в себя лучевую и химиотерапию с последующим хирургическим лечением (неоадъювантная терапия). Хирургическое вмешательство предполагает удаление лёгкого (пульмонэктомию) с вовлечёнными в злокачественный процесс структурами (подключичными артерией и веной, ветвями плечевого сплетения, рёбрами и телами позвонков), а также медиастинальную лимфаденэктомию[1] (удаление лимфатических сосудов и узлов, находящихся в средостении). Доступ к опухоли осуществляется с помощью торакотомии со спины (по Паульсону[2]) (Paulson) или со стороны грудины (по Дартвиллю[3] (Dartevelle) или его модификациям[4][5][1]).
-
На КТ-скане визуализируется опухоль Панкоста у курящей женщины 47 лет (опухоль обозначена "Р", по гистологическим данным — немелкоклеточная карцинома правого лёгкого).
Прогноз
Благоприятность прогноза зависит от стадии заболевания, на ранних стадиях при своевременном адекватном лечении прогноз условно благоприятный, на поздних стадиях прогноз безусловно неблагоприятный.
Примечания
- ↑ Трахтенберг, Александр Хунович «Медиастинальная лимфаденэктомия при немелкоклеточном раке лёгкого» (с Г. А. Франком, Н. Н. Волченко, М. А. Стукаловым и К. М. Колбановым, 2003)
- ↑ Ann Surg 1961;54:29-40
- ↑ J Thorac Cardiovasc Surg 1993;105:1025-1034
- ↑ J Thorac Cardiovasc Surg 1996;112:558-9.
- ↑ Ann Thorac Surg 1997;63:563-6
Ссылки
- Черных А. В. Современные варианты лечения немелкоклеточного рака легкого УДК 616.24:616-006:617-089 (недоступная ссылка)
- Tumor 515, раздел Pancoast Tumor (англ.) на сайте EMedicine
Литература
Большая медицинская энциклопедия. Главный редактор Б. В. Петровский. Изд. 3-е. М., «Сов. энциклопедия», 1977. Т. 6.
