Полип толстой кишки
| Полип толстой кишки | |
|---|---|
![]() Полип аденоматозной структуры сигмовидной кишки, выявленный во время колоноскопии. Диаметр около 1 см. Удалён диатермической петлей | |
| МКБ-10 | K63.5 & various |
| МКБ-10-КМ | K63.5 |
| MedlinePlus | 000266 |
| eMedicine | med/414 |
| MeSH | D003111 |
Полип толстой кишки, или колоректальный полип, — это полип (нарост), образующийся на внутренней поверхности ободочной или прямой кишок. Полипы толстой кишки обычно не ассоциируются с какими-либо симптомами. Иногда могут становиться причиной выделения крови с калом. Полипы толстой кишки требуют повышенного внимания из-за вероятности наличия в них злокачественных сегментов и риска перерождения доброкачественных полипов толстой кишки (аденом) через некоторое время в злокачественные новообразования.
Так как большинство полипов не вызывают каких-либо симптомов, то их, как правило, обнаруживают во время медицинского обследования: ректороманоскопии, колоноскопии, ирригоскопии.
По установившейся практике обнаруженные полипы размером до 5 мм удаляются во время колоноскопии при помощи щипцов или петли. В случае, если во время ректороманоскопии или во время какой-либо другой диагностической процедуры были обнаружены аденоматозные полипы, то пациенту придётся пройти и процедуру колоноскопии с последующим удалением аденом в условиях хирургического стационара. Несмотря на то что злокачественные сегменты, как правило, не выявляются в полипах размером менее 2,5 см, удалению подлежат все обнаруженные аденоматозные полипы, чтобы снизить в будущем вероятность образования рака толстой кишки.
Российских стандартов регулярности осмотров после удаления доброкачественных неоплазий (аденом) в толстой кишке не существует. Если обратиться к иностранным рекомендациям, то при удалении тубулярных аденом срок контрольного осмотра — 10 лет, при удалении ворсинчатых — 5лет. Такие длительные сроки связаны с экономическими причинами, российские врачи рекомендуют период 3—5 лет.
Полипы прямой и сигмовидной кишок, которые представляют собой плоские очаги гиперплазии (что выявляется либо при изучении биопсийного материала либо при эндоскопии высокого разрешения с использованием узкоспектрального режима) удалению не подлежат.
| Синдромы наследственного полипоза | Синдромы ненаследственного полипоза | Общая типология полипов |
|---|---|---|
| Семейный аденоматозный полипоз (англ.) | Синдром Кронкайта-Канады (англ.) | Неопластический (аденоматозный и злокачественный) |
| Синдром Пейца-Джигерса (англ.) | Eversmeyerous Polypius | Гамартомный (англ.) |
| Синдром Турко (англ.) | Гиперпластический | |
| Синдром ювенильного полипоза (англ.) | Воспалительный | |
| Синдром Каудена (англ.) | ||
| Синдром Баньяна-Рили-Рувалкаба (англ.) | ||
| Синдром Гарднера (англ.) |
Таблица полипов толстой кишки
В таблице представлена типология полипов на основе специфики их гистологического строения [1][2]
| Тип полипа | Гистологическое строение | Риск злокачественного развития | Микроснимок[3] | Синдром |
|---|---|---|---|---|
| Гиперпластический полип | Зазубренные неветвистые крипты | Нет | ![]() |
Синдром гиперпластического полипоза (множественные полипы) |
| Традиционная зазубренная аденома | Зазубренные крипты, структура обычно напоминает ворсинчатую аденому с цитологической атипией и эозинофильными клетками | Да | ![]() |
|
| Зазубренная аденома на широком основании | Напоминает гиперпластический полип с гиперзазубренностью, расширенное/ветвистое основание крипта, выступающие клетки муцина (англ. prominent mucin cells) в основании крипта | Да[4][5] | ![]() |
|
| Воспалительный полип | Выпуклая слизистая/подслизистая с воспалением | Да, если имеет место дисплазия | См.: [1] Архивная копия от 28 октября 2012 на Wayback Machine, [2] Архивная копия от 28 октября 2012 на Wayback Machine, [3] Архивная копия от 28 октября 2012 на Wayback Machine, [4] Архивная копия от 28 октября 2012 на Wayback Machine | Воспалительные заболевания кишечника, язвы, инфекции, пролапс (выпадение слизистой) |
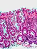
| Трубчатая аденома | Трубчатые железы с удлинёнными ядрами (как минимум незначительная атипия) | Да | ![]() |
|
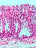
| Ворсинчатая аденома | Пальцеобразные выступы, вытянутые от поверхности полипа с минимальным ответвлением, незначительная дисплазия с потерей муцина, удлиненные ядра с гиперхроматизмом.[6] | Да | ![]() |
|
| Трубчато-ворсинчатая аденома | Смешанный тип: различная степень клеточной дисплазии и преобладания трубчатого и ворсинчатого компонентов (на снимке: трубчатый компонент — слева, ворсинчатый — справа). | Да | ![]() |
|
| Полип Пейца-Джигерса | Связки гладкой мышцы посреди неопухолевого эпителия, тип строения — «новогодняя ёлка»[7] | Да | ![]() |
Синдром Пейца-Джигерса |
| Ювенильный полип | Увеличенные гланды с увеличенной базальной пластиной (лат. lamina propria) | По своей природе нет, но возможна дисплазия | ![]() |
Синдром ювенильного полипоза, идентичные полипы в синдроме Кронкайта-Канады |
| Гамартомный полип (синдром Каудена) | Строение разнообразное: как правило, это мягко фиброзный полип (англ. mildly fibrotic polyp) с дезорганизованной слизистой и расширением мышечной пластинки слизистой оболочки (англ. splaying of muscularis mucosae), но бывает похож на воспалительный и ювенильный полипы, липому, ганглионеврому, лимфоидный полип | Нет | Синдром Каудена |
Таблица соответствия медицинских терминов
| Термин, используемой в англоязычной литературе | Русский перевод, принятый в данной статье | Термины, встречающиеся в русскоязычных текстах |
|---|---|---|
| Serrated adenoma | Зазубренная аденома | Зубчатая аденома Пилообразная аденома |
| Tubular adenoma | Трубчатая аденома | Тубулярная аденома |
| Villous adenoma | Ворсинчатая аденома | Виллёзная аденома Папиллярный полип |
| Tubulovillous adenoma | Трубчато-ворсинчатая аденома | Тубулярно-ворсинчатая аденома Тубуло-ворсинчатая аденома Тубуловиллёзная аденома Тубулярно-папиллярный полип |
| Juvenile polyp | Ювенильный полип | Ювенильная аденома Юношеский полип |
| Peutz-Jeghers Polyp | Полип Пейца-Джигерса | Полип Пейтца-Егерса [5] Архивная копия от 3 июля 2013 на Wayback Machine Полип Пейтца-Йегерса |
Примечания
- ↑ Fletcher’s Diagnostic Histopathology of Tumors, Third Edition.
- ↑ Sternberg’s Diagnostic Surgical Pathology, 4th Edition. Volume 1/ Senior editor Stacey E. Mills. — Philadelphia: Lippincott Williams & Wilkins, 2004. — («Диагностическая хирургическая патология Штернберга»)
- ↑ Окраска гематоксилином и эозином.
- ↑ Rüschoff J., Aust D., Hartmann A. [Colorectal serrated adenoma: diagnostic criteria and clinical implications] (нем.) // Verh Dtsch Ges Pathol. — 2007. — Т. 91. — С. 119—125. — PMID 18314605.
- ↑ Mäkinen M.J. Colorectal serrated adenocarcinoma (англ.) // Histopathology. — Wiley-Blackwell, 2007. — January (vol. 50, no. 1). — P. 131—150. — doi:10.1111/j.1365-2559.2006.02548.x. — PMID 17204027.
- ↑ Medscape: Medscape Access. Дата обращения: 2 марта 2013. Архивировано 24 марта 2009 года.
- ↑ Sternberg’s diagnostic surgical … — Google Книги








