Окраска гематоксилином и эозином


Окраска гематоксилином и эозином (окраска гематоксилин-эозином) — один из самых распространённых методов окраски в гистологии. Широко используется в медицинской диагностике, в частности в онкологии для окраски удаленной или полученной при биопсии ткани.
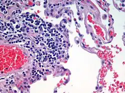
Окраска включает использование основного красителя гематоксилина, окрашивающего базофильные клеточные структуры ярко-синим цветом, и спиртового кислого красителя эозина Y, окрашивающего эозинофильные структуры клетки красно-розовым цветом. Базофильные структуры, как правило, это те, которые содержат нуклеиновые кислоты (ДНК и РНК): клеточное ядро, рибосомы и РНК-богатые участки цитоплазмы. Эозинофильные структуры содержат внутри- и внеклеточные белки, например, тельца Леви. Цитоплазма является эозинофильной средой. Эритроциты всегда прокрашиваются ярко-красным цветом.
Техника окраски гематоксилин-эозином
- Удаляют парафин из срезов в орто-ксилоле или толуоле, проводят по спиртам нисходящей концентрации и доводят до воды (две порции ксилола или толуола — 3-5 минут, 96° этанол — 3 минуты, 80° этанол — 3 минуты, 70° этанол — 3 минуты, дистиллированная вода — 5 минут).
- Окрашивают гематоксилином 7-10 минут (в зависимости от зрелости красителя).
- Промывают в дистиллированной воде — 5 минут.
- Дифференцируют в 1 % соляной кислоты на 70° этаноле до побурения срезов.
- Промывают дистиллированной водой, а затем слабым (0,5 %) раствором аммиака до посинения срезов.
- Окрашивают водным раствором эозина 0,5-1 минуту (в зависимости от желаемой окраски).
- Промывают в трех порциях дистиллированной воды для удаления избытка эозина.
- Удаляют воду из срезов в одной порции 70° этанола, двух порциях 96° этанола. Экспозиция в каждой порции спирта — 2 минуты.
- Просветляют срезы в двух порциях карбол-ксилола (смесь расплавленного фенола и ксилола либо толуола в соотношении 1:4 или 1:5) — 1 минута.
- Производят окончательное обезвоживание срезов в двух порциях ксилола или толуола. Пребывание срезов 2 минуты.
- Заключают срезы в канадский бальзам или синтетическую среду для заключения гистологических срезов.
Некоторые структуры плохо прокрашиваются гематоксилином и эозином (как правило, гидрофобные) и требуют иных методов окраски. Например, участки клеток, богатые липидами и миелином, остаются неокрашенными: адипоциты, миелиновая оболочка аксонов нейронов, мембрана аппарата Гольджи и др.
См. также
Ссылки
- SIGMA-ALDRICH H&H Informational Primer Архивная копия от 26 сентября 2007 на Wayback Machine
- Routine Mayer’s Hematoxylin and Eosin Stain (H&E)
- Hematoxylin & Eosin (H&E) Staining Protocol Архивная копия от 5 марта 2022 на Wayback Machine
- Rosen Lab, Department of Molecular and Cellular Biology, Baylor College of Medicine) Step by step protocol