Остеоид-остеома

Остеоид-остеома
МКБ-11 XH61J9
МКБ-О 9191/0
OMIM 259550
DiseasesDB 31488
MeSH D010017
Логотип Викисклада Медиафайлы на Викискладе

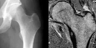
Остео́ид-остео́ма - остеоидная остеома, доброкачественная медленно развивающая опухоль составляет 9-10% среди всех доброкачественных опухолей костей. У мужчин встречается в 4 раза чаще, чем у женщин, болеют преимущественно люди молодого возраста (от 10 до 20 лет).

Клиника и диагностика

Клиника: Ведущим симптомом является боль, особенно выраженная по ночам. При губчатых остеоид-остеомах интенсивность болевого синдрома менее выражена, чем при кортикальных В случае поражения эпифизов могут возникать суставные боли. Иногда определяются припухлость и болезненность при давлении. Со стороны периферической крови отклонений от нормы нет.

Лечение: Единственным методом лечения остеоидной остеомы является оперативное вмешательство. Возможно выполнение резекции кости с удалением «гнезда» опухоли и прилежащей зоны склероза единым блоком. К рецидивам заболевания приводят, как правило, неадекватные оперативные вмешательства, заключающиеся в частичном удалении опухоли. Радикальное удаление остеоидной остеомы ведет к полному выздоровлению. Случаев озлокачествления не наблюдается. После радикального удаления, как правило, остеоид-остеома не рецидивирует.

Альтернативным методом лечения, по радикализму сопоставимым с резекцией кости, является радиочастотная абляция остеоид-остеомы. Под наведением компьютерной томографии через кожу в пораженный участок кости вводится тонкая игла-электрод. Под действием радиочастотных волн происходит локальный нагрев ткани, в результате чего остеоид-остеома разрушается.[1]

Преимуществом радиочастотной абляции является ее малая инвазивность. При данном типе вмешательств нет необходимости в применении наркоза - анестезиологическим пособием является местная или регионарная анестезия. Реабилитационный период отсутствует - пациент может вставать с постели и вести обычный образ жизни через несколько часов после процедуры. За счет этого пациент покидает лечебное учреждение в день абляции или на следующие сутки. Также радиочастотная абляция дает лучший косметический эффект, чем при "традиционном" иссечении участка кости, так как нет послеоперационного рубца.

Успешность радиочастотной абляции - 79-97%[2]

См. также

Примечания

  1. U. N. Wiesmann, S. DiDonato, N. N. Herschkowitz. Effect of chloroquine on cultured fibroblasts: release of lysosomal hydrolases and inhibition of their uptake // Biochemical and Biophysical Research Communications. — 1975-10-27. — Т. 66, вып. 4. — С. 1338–1343. — ISSN 1090-2104. — doi:10.1016/0006-291x(75)90506-9. Архивировано 9 августа 2021 года.
  2. Roberto Cioni, Nicola Armillotta, Irene Bargellini, Virna Zampa, Carla Cappelli. CT-guided radiofrequency ablation of osteoid osteoma: long-term results // European Radiology. — 2004-03-10. — Т. 14, вып. 7. — ISSN 1432-1084 0938-7994, 1432-1084. — doi:10.1007/s00330-004-2276-6.