Окрашивание по Романовскому — Гимзе
Окрашивание по Романовскому — Гимзе — цитологический метод окрашивания микроорганизмов, клеточных структур и тканей различных видов (в том числе крови) для изучения методом световой микроскопии. Предложена в 1904[1] году Густавом Гимзой. В авторской версии название красителя — «Giemsasche Lösung für die Romanowsky Färbung» (Раствор Гимзы для окраски по Романовскому)[2]. Окрашивает ацидофильные образования в различные оттенки красного цвета, базофильные — в цвета от пурпурного до синего.
Приготовление красителя
Готовый жидкий краситель перед окрашиванием мазков разводят из расчёта 1—2 капли красителя на 1 мл дистиллированной воды. Мазки окрашивают 20—25 минут при 37 °C во влажной камере (закрытая чашка Петри с увлажнённым фильтром на дне). После окрашивания мазки промывают в проточной воде, сушат на воздухе и исследуют при масляной иммерсии.
Красящую смесь Романовского-Гимзы, которая имеет в основе краску Романовского-Райта, в виде порошка (коммерческий краситель) растворяют в смеси равных объёмов метилового спирта и глицерина (800 мг красителя на 100 мл растворителя). Краситель растворяется плохо, поэтому лучше его растереть с растворителем в количестве 300 мг на 100 мл, а затем, помешивая, добавлять краситель до получения нужной концентрации. Приготовление красителя часто занимает несколько дней. Важно в качестве растворителей использовать химически чистый метиловый спирт и глицерин, так как примеси ухудшают свойства красителя. Вместо метилового спирта можно применять 100 % этиловый спирт. Приготовленную красящую смесь хранят в сухом прохладном месте в плотно закрытом сосуде.
Специальный стандартный раствор Гимза
- Состав красителя:
- Азур II — 3,772 г
- Эозин — 2,165 г
- Метиленовый синий — 1,563 г
- Метанол (ЧДА) — 750,0 мл
- Глицерин (ЧДА) — 256,0 мл
Методика окраски
- Мазки, фиксированные в метиловом спирте, окрашивают раствором (1 мл готовой жидкой краски + 2 мл основного буферного раствора + 47 мл дистиллированной воды) в течение 40—120 мин (продолжительность окрашивания подбирают эмпирически). Пользуются фосфатным буфером, но рН буфера зависит от вида мазка: для мазка костного мозга — 5,8—6,0, для мазка крови — 6,4—6,5, для выявления простейших — 6,8, малярийного плазмодия — 7,0—7,2.
- Ополаскивают в дистиллированной воде, высушивают и исследуют при иммерсии[уточнить].
Результат окраски



Бактерии окрашиваются в фиолетово-красный цвет, цитоплазма клеток — в голубой, ядра — в красный. При окрашивании простейших их цитоплазма приобретает голубой цвет, а ядра — красно-фиолетовый.
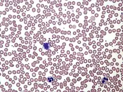
Результаты окрашивания мазков крови:
- цитоплазма лимфоцитов окрашивается в сине-голубой цвет, их ядра — в цвета от интенсивно пурпурного до фиолетового;
- цитоплазма моноцитов окрашивается в мутный голубовато-серый цвет, их ядра — в более светлый пурпурно-красный, нежная азурофильная зернистость;
- гранулы базофилов окрашиваются в интенсивный сине-фиолетовый цвет;
- гранулы эозинофилов окрашиваются в оранжево-розовый цвет;
- гранулы нейтрофилов окрашиваются в цвета от пурпурного до фиолетового;
- ядра лейкоцитов фиолетово-красного цвета с хорошо видимой структурой хроматина; хорошо выделяются ядрышки;
- грануломеры тромбоцитов окрашиваются в красный, гиаломеры — в голубой;
- розовая окраска гемоглобина.
См. также
Примечания
- ↑ Giemsa G. Eine Vereinfachung und Vervollkommnung meiner Methylenazur-Methylenblau-Eosin-Färbemethode zur Erzielung der Romanowsky-Nochtschen Chromatinfärbung. (нем.) // Centralbl f Bakt etc : magazin. — 1904. — Bd. 37. — S. 308—311.
- ↑ Безруков А. В. Окраска по Романовскому: к вопросу о приоритете / К 120-й годовщине открытия эффекта Романовского. – 12 с. (недоступная ссылка)