Мозговой песок
_in_cerebral_white_matter.jpg)
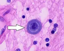
Мозговой песок[1] (лат. асеrvulus cerebralis, corpora arenacea) — мелкие тельца слоистой структуры, появляющиеся в ходе дистрофического обызвествления и накапливающиеся с возрастом в сосудистых сплетениях желудочков головного мозга, паутинной и твёрдой мозговой оболочке и шишковидной железе (эпифизе)[1].
Также они могут встречаться в некоторых опухолях (фибромах и фиброэндотелиомах) твёрдой мозговой оболочки, которые в подобных случаях носят название псаммомы. Наиболее часто локализуется в шишковидной железе[2][3][4].
Первоначальная противоречивость данных о химическом составе и механизмах образования мозгового песка обусловили появление многочисленных научных работ, направленных на проведение анализа полученного материала на различных уровнях. Способность мозгового песка излучать голубой свет в ультрафиолетовом свете позволила отнести его к структурам, содержащим соли кальция[5]. Образуется в результате послойного отложения солей кальция, магния и аммония в уплотнённых и гиалинизированных очагах. По-видимому основой таких очагов являются отмирающие и концентрически наслаивающиеся клетки эндотелия, гиалинизированные пучки соединительной ткани и заросшие мелкие кровеносные сосуды. Химический анализ показывает, что песчинки состоят из фосфата кальция, карбоната кальция, фосфата магния и фосфата аммония[6][7].
Размеры кристаллов мозгового песка эпифиза составляют в пределах от 20 мкм до 2 мм. При этом в эпифизах разных людей в разных возрастных группах они имеют неодинаковые размеры. Форма преимущественно овальная или округлая, но встречается также и кубовидная. Наиболее крупные кристаллы мозгового песка отмечаются у больных, причиной смерти которых послужила острая ишемия головного мозга. Количество мозгового песка в эпифизах людей различных возрастных групп значительно отличается, наибольшее его количество отмечается в возрастной группе от 40 до 65 лет[5]. Частота и количество мозгового песка, как полагают, увеличивается с возрастом[8]. Также в случае ишемии заметно повышается количество и размер песчинок в эпифизе, что свидетельствует о его более активной инволюции при данном заболевании[5]. У больных шизофренией мозговой песок в шишковидной железе практически отсутствует даже у людей среднего возраста, тогда как в норме он обнаруживается уже у детей 7—8 лет, что свидетельствует о замедлении инволюции шишковидной железы. Отсутствие мозгового песка у детей до трёх лет, а также у лиц с расстройствами психики, может являться косвенным свидетельством значения эпифиза в формировании сознания[9].
Давно изученными являются вопросы о связи мозгового песка с процессами старения, производством мелатонина и неврологическими расстройствами[10][11][12][13].
В популярной культуре
В литературном проекте Scp foundation название "corpora arenacea" присвоено объекту 4923[14]
Примечания
- ↑ 1 2 Большая медицинская энциклопедия / гл. ред. Б. В. Петровский. — 3-е изд. — М. : Советская энциклопедия, 1988. — 150 000 экз.
- ↑ Kodaka, T.,Mori, R., Debari, K. & Yamada, M. Scanning electron microscopy and electron probe microanalysis studies of human pineal concretions. J Electron Microsc (Tokyo) 43, 307—317 (1994).
- ↑ Krstic, R. Pineal calcification: its mechanism and significance. J Neural Transm Suppl 21, 415—432 (1986).
- ↑ Vigh, B. et al. Comparative histology of pineal calcification. Histol Histopathol 13, 851—870 (1998).
- ↑ 1 2 3 Гульков А. Н., Рева И. В., Рева Г. В. Мозговой песок эпифиза при ишемии мозга Фундаментальные исследования № 10-4 / 2014
- ↑ Bocchi, Giancarlo; Valdre, Giovanni; Valdre, Giovanni (1993). «Physical, chemical, and mineralogical characterization of carbonate-hydroxyapatite concretions of the human pineal gland». Journal of Inorganic Biochemistry. 49 (3): 209-20. doi:10.1016/0162-0134(93)80006-U. PMID 8381851
- ↑ Baconnier, Simon; Lang, Sidney B.; Polomska, Maria; Hilczer, Bozena; Berkovic, Garry; Meshulam, Guilia (2002). «Calcite microcrystals in the pineal gland of the human brain: First physical and chemical studies». Bioelectromagnetics. 23 (7): 488-95. doi:10.1002/bem.10053. PMID 12224052
- ↑ MG, W. Pineal calcification: Structural and functional aspects. Pineal Res Rev 3, 41-68 (1985).
- ↑ Балдаев С. Н. Онтогенез эпифиза человека // Материалы VIII Международной студенческой электронной научной конференции «Студенческий научный форум».
- ↑ Sandyk, R. Calcification of the pineal gland: relationship to laterality of the epileptic foci in patients with complex partial seizures. Int J Neurosci 65, 167—175 (1992).
- ↑ Kunz, D. et al. A new concept for melatonin deficit: on pineal calcification and melatonin excretion. Neuropsychopharmacology 21, 765—772 (1999).
- ↑ Kunz,D., Bes, F., Schlattmann, P. &Herrmann, W. M. On pineal calcification and its relation to subjective sleep perception: a hypothesis-driven pilot study. Psychiatry Res 82, 187—191 (1998)
- ↑ Turgut, A. T. et al. Age-related changes in the incidence of pineal gland calcification in Turkey: A prospective multicenter CT study. Pathophysiology 15, 41-48 (2008).
- ↑ SCP-4923 - Corpora arenacea. SCP Foundation. Дата обращения: 16 февраля 2025. Архивировано 28 апреля 2025 года.