Матка человека

Матка
лат. uterus
Грубая схема частей матки
Грубая схема частей матки
Расположение матки в тазовой области, фронтальная проекция
Расположение матки в тазовой области, фронтальная проекция
Кровоснабжение маточная артерия
Венозный отток вены матки
Лимфа внутренние подвздошные лимфатические узлы
Прекурсор Мюллеров проток
Каталоги
Логотип Викисклада Медиафайлы на Викискладе
Положение матки в полости таза на схеме сагиттального среза

Ма́тка (лат. uterus, греч. ὑστέρα) — непарный гладкомышечный полый орган, в котором развивается эмбрион, вынашивается плод[1]. Матка расположена в средней части полости малого таза, мочевой пузырь лежит спереди, а прямая кишка сзади, мезоперитонеально. Снизу тело матки переходит в округлённую часть — шейку матки. Длина матки у женщины репродуктивного возраста в среднем равна 4—7 см, ширина — 4 см, толщина — 4—5 см. Масса матки у нерожавших женщин колеблется от 40 до 60 г, а у рожавших достигает 80 г. Подобные изменения возникают из-за гипертрофии мышечной оболочки во время беременности. Объём полости матки составляет ≈ 5—6 см³.

Матка как орган в значительной степени подвижна и в зависимости от состояния соседних органов может занимать различное положение. В норме продольная ось матки ориентирована вдоль оси таза (антефлексио). Наполненный мочевой пузырь и прямая кишка наклоняют матку вперёд, в положение антеверзио. Большая часть поверхности матки покрыта брюшиной, за исключением влагалищной части шейки. Матка имеет грушевидную форму, уплощена в дорсовентральном (переднезаднем) направлении. Слои стенки матки (начиная с наружного слоя): периметрий, миометрий и эндометрий. Тело чуть выше перешейка и абдоминальная часть шейки матки снаружи покрыты адвентицией.

Анатомия

Части матки

Анатомический препарат сагиттального среза матки после недавних родов
Фотография женской матки, маточных труб и яичников во время оперативного вмешательства. Вид со стороны дна матки, наружной поверхности

Матка состоит из следующих частей:

  • Дно матки — это верхняя выпуклая часть матки, выступающая выше линии впадения в матку маточных труб.
  • Тело матки — средняя (бо́льшая) часть органа, имеет конусовидную форму.
  • Шейка матки — нижняя суженная округлённая часть матки.
  • Придатки матки — маточные трубы, яичники, придатки яичников.

Нижняя часть шейки матки вдаётся в полость влагалища, поэтому называется влагалищной частью, а верхняя часть шейки матки, лежащая выше влагалища, называется надвлагалищной частью. Между шейкой матки и телом находится перешеек матки. Влагалищная часть шейки матки несёт на себе отверстие матки, ведущее из влагалища в канал шейки матки и продолжающееся в её полость. У нерожавших женщин отверстие матки имеет округлую или овальную форму, а у рожавших — форму поперечной щели. Толстые края влагалищной части шейки матки, ограничивающие наружное отверстие, называют губами — передней и задней. Задняя губа более тонкая, стенка влагалища прикрепляется к ней выше, чем к передней губе.

Поверхности матки

Матка имеет переднюю и заднюю поверхности. Передняя поверхность матки, обращённая к мочевому пузырю, носит название пузырной, а задняя, обращённая к прямой кишке, — кишечной. Пузырная и кишечная поверхности матки отделены друг от друга правым и левым краями, к которым в месте перехода тела в дно подходят маточные трубы. Верхние углы полости матки сужаются в виде воронкообразных углублений, в которые открываются маточные отверстия труб.

Прилегающие органы

Строение стенки матки

Миометрий матки, гистологический препарат
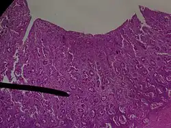
Эндометрий матки, гистологический препарат

Стенка матки состоит из трёх слоёв:

  • Периметрий (Серозная оболочка) — представляет собой непосредственное продолжение серозного покрова мочевого пузыря. На большом протяжении передней и задней поверхностей и дна матки она плотно сращена с миометрием; на границе перешейка брюшинный покров прикрепляется рыхло.
  • Миометрий (Мышечная оболочка) — наиболее толстый слой маточной стенки, состоит из трёх слоёв гладких мышечных волокон с примесью волокнистой соединительной ткани и эластических волокон;
    • Наружный продольный (подсерозный) — с продольно расположенными волокнами и в небольшом количестве с круговыми, как было сказано, плотно сращён с серозным покровом.
    • Средний круговой — является самым мощным слоем, наиболее сильно развит в области шейки матки. Он состоит из колец, расположенных в области трубных углов перпендикулярно к их оси, в области тела матки в круговом и косом направлениях. Этот слой содержит большое количество сосудов, преимущественно венозных, поэтому его ещё называют сосудистым слоем.
    • Внутренний продольный (подслизистый) — самый тонкий, с продольно идущими волокнами.
  • Эндометрий (Слизистая оболочка) — образует внутренний слой стенок матки. Состоит из слоя цилиндрического эпителия, выстилающего поверхность и железы, и собственной пластинки соединительной ткани, связанной с миометрием. Она пронизана простыми трубчатыми железами, которые открываются на поверхность эпителия, самые глубокие их части достигают миометрия. Среди секреторных клеток рассеяны группки реснитчатых цилиндрических клеток. Эндометрий состоит из двух слоёв — поверхностного, толстого слоя, называемого функциональным, и глубже расположенного — базального слоя.

Шейка матки

Шейка матки (влагалищная часть). Вид из влагалища

Это относительно узкий сегмент матки, стенка которой состоит преимущественно из плотной коллагеновой ткани и лишь небольшого количества гладких мышц и эластической ткани. Канал шейки уплощён, а его слизистая оболочка состоит из высокого цилиндрического эпителия, продуцирующего слизь, и соединительнотканной собственной пластинки, которая представляет собой фиброзную соединительную ткань, содержащую клетки. На передней и задней поверхности канала имеются два продольных гребня и отходящие от них под острым углом более мелкие пальмовидные складки. Соприкасаясь друг с другом при впадении канала, пальмовидные складки препятствуют проникновению в полость матки содержимого из влагалища. Помимо гребней и складок в канале имеются многочисленные ветвящиеся трубчатые железы. Влагалищная часть шейки матки покрыта плоским неороговевающим эпителием, который обычно простирается на небольшое расстояние в шеечный канал, где переходит в характерный для него цилиндрический эпителий. Таким образом, у зрелых девушек и женщин граница перехода цилиндрического эпителия в плоский неороговевающий — гистологическая граница — соответствует наружному зеву шейки матки. У девушек же до 21 года цилиндрический эпителий может спускаться ниже границы наружного зева и заходить на влагалищную часть шейки, создавая картину эрозии шейки матки, поэтому подобный диагноз несостоятелен у молодых в силу естественных анатомических особенностей.

Связки матки

Связки и околоматочные пространства, вид с верхней апертуры таза

По краям матки листки брюшины, покрывающие её пузырную и кишечную поверхности, сближаются и образуют правую и левую широкие связки матки (лат. lig. latum uteri). Широкая связка матки состоит из двух листков брюшины — переднего и заднего. Правая и левая широкие связки матки направляются к боковым стенкам малого таза, где переходят в пристеночный листок брюшины. В свободном верхнем крае широкой связки матки, между её листками, располагается маточная труба. Несколько ниже прикрепления к матке маточной трубы и собственной связки яичника (лат. lig. ovarii proprium), от переднебоковой поверхности матки берёт начало круглая связка матки (лат. lig. teres uteri). Эта связка представляет собой плотный фиброзный тяж округлой формы толщиной 3—5 мм, содержащий мышечные пучки и расположенный между листками широкой связки матки. Круглая связка матки направляется вниз и кпереди к глубокому отверстию пахового канала, проходит через него и в виде отдельных фиброзных пучков вплетается в подкожную клетчатку больших половых губ и лобкового возвышения, не прикрепляясь к лобковому симфизу. Прямокишечно-маточная связка (лат. lig. rectouterinum) пролегающая в правом и левом прямокишечно-маточных складках и включающая в себя волокна прямокишечно-маточной мышцы (лат. m. rectouterinus) соединяет шейку матки с боковыми поверхностями прямой кишки и далее с медиальной поверхностью крестца[2]. В основании широких связок матки между маткой и стенками таза залегают пучки фиброзных волокон и мышечных клеток, которые образуют кардинальные связки матки (лат. lig. cardinalium). Своими нижними краями кардинальные связки соединяются с фасцией мочеполовой диафрагмы и удерживают матку от боковых смещений.

Сосуды и нервы матки

Артерии матки

Кровоснабжение матки происходит за счёт парной маточной артерии, ветвей внутренней подвздошной артерии. Каждая маточная артерия проходит вдоль бокового края матки между листками широкой связки матки, отдавая ветви к передней и задней её поверхностям. Возле дна матки маточная артерия делится на ветви, идущие к маточной трубе и яичнику. Венозная кровь оттекает в правое и левое маточное венозное сплетение, из которого берут начало маточная вена, а также вены, впадающие в яичниковые, внутренние подвздошные вены и венозные сплетения прямой кишки.

Лимфатические сосуды от дна матки направляются в поясничные лимфатические узлы, от тела и шейки матки — во внутренние подвздошные лимфатические узлы, а также в крестцовые и паховые лимфатические узлы.

Иннервация матки осуществляется из нижнего подчревного сплетения по тазовым внутренностным нервам.

Функции

Рисунок. Беременная матка в разрезе, головное предлежание плода, предлежание плаценты

Матка является органом, в котором происходит развитие эмбриона и вынашивание плода. Благодаря высокой эластичности стенок матка может увеличиваться в объёме в несколько раз за период беременности. Наряду с «растяжением» стенок матки в период беременности за счёт гипертрофии миоцитов и переобводнения соединительной ткани матка значительно увеличивается в своих размерах. Будучи органом с развитой мускулатурой, матка активно участвует в изгнании плода в процессе родов.

Онтогенез

Матка является производным дистальной части парамезонефральных (Мюллеровых) протоков[3]. На 8-й неделе эмбриогенеза дистальная часть этих протоков вертикально срастается, чем даёт начало матке и влагалищу.

Вначале полость матки разделена срединной перегородкой матки, однако к концу 20-й недели она обычно рассасывается. В случае её сохранения проиходит образование аномалии – внутриматочной перегородки. Круглая связка матки является производной гибернакулума. К концу 3-го триместра внутриутробного развития формирование матки завершается[4].

У новорожденных матка имеет форму трубки, при этом стенка шейки матки толще, чем стенка её дна. Длина матки составляет около 3,5 см, ширина – около 1,4 см[5]. В период полового созревания дно утолщается, матка увеличивается в размерах. Начинает происходить слущивание эндометрия вследствие появления менструального цикла.

Патологии

Аномалии развития

Перегородка, двурогая, двойная, однорогая матка — атавизмы, приводящие к бесплодию у человека
  • Аплазия (агенезия) матки — крайне редко матка может отсутствовать совсем. Может иметь место маленькая инфантильная матка, обычно с выраженным передним загибом.
  • Удвоение тела матки — дефект развития матки, который характеризуется удвоением матки или её тела, что происходит вследствие неполного слияния двух мюллеровых протоков на этапе раннего эмбрионального развития. Как результат у женщины с двойной маткой могут быть одна или две шейки матки и одно влагалище. При полном неслиянии этих протоков развиваются и две матки с двумя шейками и двумя влагалищами.
  • Внутриматочная перегородка — неполное слияние эмбриональных зачатков матки в различных вариантах, может приводить к наличию в матке перегородки — «двурогой» матке с хорошо заметным сагиттальным углублением на дне или «седловидной» матке без перегородки в полости, но с выемкой на дне. При двурогой матке один из рогов может быть очень маленьким, рудиментарным, а иногда и отшнурованным.
  • Гипоплазия — недоразвитие данного органа у женщины. В этом случае матка имеет меньшие размеры, чем должно быть в норме.

Заболевания

Маточный зонд
Бимануальное гинекологическое исследование матки

Симптомом многих заболеваний матки могут быть маточные бели.

  • Опущение и выпадение матки — выпадение матки или изменение её положения в полости таза и смещение её вниз во влагалищный канал[6]. В редких случаях матка соскальзывает прямо во влагалище, закрывая его просвет полностью. В лёгких случаях пролапса матки, шейка матки выдаётся вперёд в нижней части половой щели. В некоторых случаях шейка матки выпадает в половую щель, а в особо тяжёлых случаях выпадает вся матка целиком. Выпадение матки описывают в зависимости от того, какая часть матки выдаётся вперёд. Больные часто жалуются на ощущение инородного тела в половой щели. Лечение может быть как консервативным, так и хирургическим, в зависимости от конкретного случая.
  • Миома матки — доброкачественная опухоль, которая развивается из мышечной оболочки матки. Состоит в основном из элементов мышечной ткани, и частично — из ткани соединительной, также носит название фибромиомы.
  • Полипы матки — патологическая пролиферация железистого эпителия, эндометрия или эндоцервикса на фоне хронически протекающего воспалительного процесса. В генезе полипов, особенно маточных, играют роль гормональные нарушения.
  • Рак матки — злокачественные новообразования в области матки.
    • Рак тела матки — под раком тела матки подразумевают рак эндометрия (слизистой оболочки матки), который распространяется на стенки матки.
    • Рак шейки матки — злокачественная опухоль, локализуется в районе шейки матки.
  • Эндометриоз — заболевание, при котором клетки эндометрия (внутреннего слоя стенки матки) разрастаются за пределами этого слоя. Поскольку эндометриоидная ткань имеет рецепторы к гормонам, в ней возникают те же изменения, что и в нормальном эндометрии, проявляющиеся ежемесячными кровотечениями. Эти небольшие кровотечения приводят к воспалению в окружающих тканях и вызывают основные проявления заболевания: боль, увеличение объёма органа, бесплодие. Лечение эндометриоза проводят агонистами гонадотропин-релизинг гормонов (Декапептил депо, Диферелин, Бусерелин-депо).
  • Эндометрит — воспаление слизистой оболочки матки. При этом заболевании поражаются функциональный и базальный слои слизистой оболочки матки. Когда к нему присоединяется воспаление мышечного слоя матки, говорят о эндомиометрите.
  • Эрозия шейки матки — дефект эпителиального покрова влагалищной части шейки матки. Различают истинную и ложную эрозии шейки матки:
    • Истинная эрозия — относится к острым воспалительным заболеваниям женских половых органов и является частым спутником цервицита и вагинита. Возникает она, как правило, на фоне общего воспаления в шейке матки, вызванном половыми инфекциями или условно-болезнетворной флорой влагалища, под влиянием механических факторов, нарушения питания ткани шейки матки, нарушении менструального цикла, гормонального фона.
    • Эктопия (псевдоэрозия). Существует распространённое заблуждение, что эктопия является ответной реакцией организма на появление эрозии так как организм пытается заместить дефект слизистой оболочки влагалищной (наружной) части шейки матки цилиндрическим эпителием, выстилающим маточную (внутреннюю) часть цервикального канала. Зачастую такая путаница возникает из-за устаревшей точки зрения некоторых врачей. На самом деле эктопия — самостоятельное заболевание, мало связанное с истинной эрозией. Разделяют следующие виды псевдоэрозий:
      • Врождённая эктопия, при которой цилиндрический эпителий может располагаться снаружи от наружного зева шейки матки у новорождённых или перемещаться туда в период полового созревания.
      • Приобретённая эктопия — разрывы шейки матки при абортах ведут к деформации цервикального канала, вследствие чего возникает посттравматическая эктопия цилиндрического эпителия (эктопион). Часто (но не всегда) сопровождается воспалительным процессом.

Операции

Советский плакат, агитирующий против криминальных абортов
  • Искусственный аборт (не путать с термином «самопроизвольный аборт», означающим «выкидыш») — операция, направленная на прерывание беременности. Выполняется обычно в первые 20 недель (иногда вплоть до 9 месяца при обстоятельствах, разрешённых законом, или криминальном характере аборта) в условиях стационара.
  • Вакуум-аспирация или так называемый «мини-аборт» — вмешательство, направленное на прерывание беременности на сверхраннем сроке — от двадцати до двадцати пяти дней отсутствия предполагаемой менструации. Относится к малоинвазивным операциям, может проводиться амбулаторно.
  • Кесарево сечение (лат. caesarea «королевский» и sectio «разрез») — проведение родов с помощью полостной операции, при которой новорождённый извлекается не естественными родовыми путями, а через разрез брюшной стенки матки.
  • Гистерэктомия — (греч. hystera матка + греч. ectome эктомия, удаление; возможно написание гистероэктоми́я; другое распространённое название — экстирпация матки) — гинекологическая операция, при которой удаляется матка женщины.

Женская матка в культуре

Терракотовая матка. Этрурия, III—II вв. до н. э.

См. также

Примечания

  1. Матка // Большая советская энциклопедия : в 66 т. (65 т. и 1 доп.) / гл. ред. О. Ю. Шмидт. — М. : Советская энциклопедия, 1926—1947.
  2. Синельников Р. Д., Синельников Я. Р., Синельников А. Я. Атлас анатомии человека. Том 2: Учение о внутренностях и эндокринных железах / Изд. 7-е, перераб. В 4-х томах // М.: Новая волна, 2009. — 248 с. ISBN 978-5-7864-0200-2. С. 197.
  3. Mariana Moncada-Madrazo, Cristobal Rodríguez Valero. Embryology, Uterus // StatPearls. — Treasure Island (FL): StatPearls Publishing, 2023.
  4. Jessica B. Robbins, Christy Broadwell, Lawrence C. Chow, John P. Parry, Elizabeth A. Sadowski. Müllerian duct anomalies: Embryological development, classification, and MRI assessment: MDA and MRI (англ.) // Journal of Magnetic Resonance Imaging. — 2015-01. — Vol. 41, iss. 1. — P. 1–12. — doi:10.1002/jmri.24771. Архивировано 26 августа 2023 года.
  5. Casper P. Hagen, Annette Mouritsen, Mikkel G. Mieritz, Jeanette Tinggaard, Christine Wohlfahrt-Veje, Eva Fallentin, Vibeke Brocks, Karin Sundberg, Lisa Neerup Jensen, Anders Juul, Katharina M. Main. Uterine volume and endometrial thickness in healthy girls evaluated by ultrasound (3-dimensional) and magnetic resonance imaging (англ.) // Fertility and Sterility. — 2015-08. — Vol. 104, iss. 2. — P. 452–459.e2. — doi:10.1016/j.fertnstert.2015.04.042. Архивировано 16 апреля 2016 года.
  6. Chen CJ, Thompson H. Uterine Prolapse. // StatPearls. — Treasure Island (FL): StatPearls Publishing, 2024.

Литература

  • Персианинов Л. С., Савельева Г. М.; Волкова О. В., Малиновский М. С. (ан., гист.), Железнов Б. И. (пат. ан.), Киселева В. Н. (рад.), Побединский H. М. (рент.), Серебров А. И. (онк.). Матка // Большая медицинская энциклопедия : в 30 т. / гл. ред. Б. В. Петровский. — 3-е изд. — М. : Советская энциклопедия, 1980. — Т. 13 : Ленин и здравоохранение — Мединал. — С. 476—497. — 552 с. : ил.
  • Матка // Большая советская энциклопедия : [в 30 т.] / гл. ред. А. М. Прохоров. — 3-е изд. — М. : Советская энциклопедия, 1969—1978.
  • Любимова А. И. Невынашивание беременности // Большая медицинская энциклопедия : в 30 т. / гл. ред. Б. В. Петровский. — 3-е изд. — М. : Советская энциклопедия, 1981. — Т. 16 : Музеи — Нил. — С. 264—267. — 512 с. : ил.
  • Персианинов Л. С., Савельева Г. М.; Алейникова Т. П. (злокачественные опухоли), Волкова О. В., Малиновский М. С. (ан., гист.), Новикова Л. А. (доброкачественные опухоли). Матка // Краткая Медицинская Энциклопедия / Гл. ред. Б. В. Петровский. — 2-е изд. — М.: Советская энциклопедия, 1989. — Т. 2: Криз гипертонический — Риккетсии. — С. 101—107. — 608 с. — ISBN 5-85270-056-8.