Болезнь моямоя
| Болезнь моямоя | |
|---|---|
| |
| МКБ-10 | I67.5 |
| МКБ-10-КМ | I67.5 |
| МКБ-9 | 437.5 |
| МКБ-9-КМ | 437.5[1] |
| OMIM | 252350 |
| DiseasesDB | 8384 |
| eMedicine | neuro/616 |
| MeSH | D009072 |
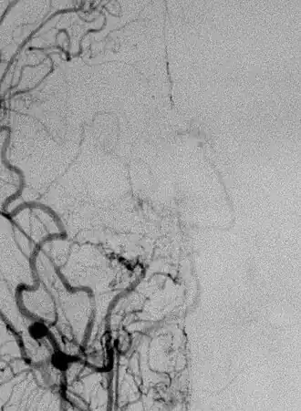
Боле́знь моямоя (от яп. もやもや — клуб дыма, туман) (БММ) — редкое хроническое прогрессирующее заболевание сосудов головного мозга, для которого характерно медленное (в течение месяцев и лет) сужение просвета внутричерепных сегментов внутренних сонных артерий (ВСА) и начальных отделов передних мозговых артерий и средних мозговых артерий вплоть до их окклюзии. Яркая отличительная черта заболевания — формирование сети коллатеральных сосудов на основании мозга, что на ангиограммах создает впечатление легкой дымки (G. Sébire и др., 2004)[2]. Именно этот признак в 1969 году дал современное название заболеванию: в переводе с японского «моямоя» обозначает «клуб дыма» (J. Suzuki и др., 1969)[3]. Первое описание БММ относится к 1957 году и принадлежит Takeuchi и Shimizu (K. Takeuchi и др., 1957) [4].
По МКБ-10 недуг относится к цереброваскулярным заболеваниям.
Важной особенностью БММ является неуклонно прогрессирующее течение: без лечения у пациентов возникают повторные нарушения мозгового кровообращения (транзиторные ишемические атаки, ишемические инсульты), нарастает необратимый неврологический дефицит, формируется дисциркуляторная энцефалопатия. При этом нейрохирургическая реваскуляризация головного мозга, прекращая симптомы ишемии и нарастание неврологического дефицита, обеспечивает приемлемое качество жизни [27] (E.S. Roach и др., 2008)[5]. Своевременное выявление и лечение БММ требует бдительности и надлежащей осведомленности врачей первичного звена медицинской помощи.
Причина утолщения стенок артерий неизвестна, хотя нельзя исключить связь с генетическими и семейными факторами (Y. Kaneko et al., 1998)[6]. Заболевание встречается редко, но всё же регистрируется в Европе, США, странах Африки, но наибольшее число случаев отмечено в Японии. Болеют как дети, так и взрослые.
Стадирование
По Suzuki and Takaku, впервые описавшим данную болезнь, выделяют следующие стадии [7]:
- стадия I – сужение места бифуркации внутренней сонной артерии (ВСА);
- стадия II – расширенные передние и средние мозговые артерии с сужением бифуркации ВСА с характерными изменениями;
- стадия III – дальнейшее изменение бифуркации ВСА и сужение передних и средних мозговых артерий;
- стадия IV – уменьшение изменений, характерных для БММ, с окклюзивными преобразованиями ВСА и ослаблением передних и средних мозговых артерий;
- стадия V – дальнейшее уменьшение изменений, характерных для БММ, с окклюзией ВСА, передних и средних мозговых артерий;
- стадия VI – ВСА выключается из снабжения головного мозга, кровоснабжение из наружной сонной артерии.
Клиническая картина
Заболевание проявляется двигательными и чувствительными параличами и парезами, головными болями, нистагмом, афазией и дисфазией, атаксией, замедленным умственным развитием, внутричерепными кровоизлияниями (чаще в старших возрастных группах), гемианопсией, квадрианопсией, Borchgrave V et al., 2002.
Диагностика
Диагностику заболевания строят исходя из клинической картины и дополнительных исследований. Наиболее информативны ангиография сосудов головного мозга, компьютерная томография, магнитно-резонансная томография, магнитно-резонансная ангиография, однофотонная эмиссионная компьютерная томография.
По Фукуи М. (1997)[8], радиологические критерии болезни следующие:
- наличие стеноза или окклюзии терминальных концов ВСА и проксимальных отделов передней и средней мозговых артерий;
- появление патологической сосудистой сети, видимой в области окклюзии;
- выявление при краниальной ангиографии признаков сосудистых изменений, типичных для БММ и носящих двусторонний характер.
Лечение
Лечение БММ хирургическое; фармакотерапия имеет лишь вспомогательное значение и не прекращает прогрессию заболевания.
Назначают антитромбоцитарные препараты и лекарственные средства, относящиеся к блокаторам кальциевых каналов.
Цель оперативного вмешательства — улучшить кровоснабжение головного мозга. Показания к операции выбирают на основании исследования перфузии головного мозга одним из методов (однофотонная эмиссионная томография с ацетазоламидом, МРТ-перфузия, КТ-перфузия). Гипоперфузия участков головного мозга в покое или после введения ацетозоламида является показанием к проведению оперативного вмешательства. Хирургическое лечение состоит в создании анастомоза внечерепных и внутричерепных артерий одним из методов: прямой анастомоз (ЭИКМА) и непрямые анастомозы — синангиозы.
При прямом шунтировании соединяют поверхностную височную артерию (superficial temporal artery) со средней мозговой артерией (middle cerebral artery) (STA–MCA bypass, brain bypass). При создании синангиоза богатокровоснабженные мягкие ткани скальпа фиксируют к поверхности мозга, тем самым создавая условия для формирования новых сосудов — неоангиогенеза. Из синангиозов применяют: энцефало-дуро-артерио-синангиоз (encephalo-duro-arterio-synangiosis, EDAS) и его разновидность — пиальный синангиоз. Реже в настоящее время используются энцефало-мио-синангиоз (encephalo-myo-synangiosis, EMS), энцефало-мио-артерио-синангиоз (encephalo-myo-arterio-synangiosis. (T. Imaizumi и др., 1996). Для реваскуляризации зоны кровоснабжения передних мозговых артерий используется бифронтальный энцефало-дуро-галео-периостео-синангиоз (encephalo-duro-galeo (periosteal)-synangiosis (Neil N Patel и др., 2010). Возможно сочетание прямого и непрямого анастомозов. Как правило, к прямым анастомозам прибегают у взрослых, тогда как у детей результаты лечения лучше при использовании непрямых анастомозов. Как правило, для полноценной реваскуляризации головного мозга требуется несколько операций.
Прогноз
Без лечения прогноз неблагоприятный. После хирургического лечения, как правило, прекращаются эпизоды ишемии головного мозга и прогрессия неврологического дефицита. В то же время неврологические выпадения, имевшиеся до операции, сохраняются.
Веб-сайты для людей с БММ
- moyamoya.com — англоязычный сайт поддержки людей с БММ
- moyamoya.ru — русскоязычный сайт для общения родителей детей с БММ
Литература
- ↑ Disease Ontology (англ.) — 2016.
- ↑ Sébire G, Fullerton H, Riou E, deVeber G. Toward the definition of cerebral arteriopathies of childhood. Curr Opin Pediatr. 2004 Dec;16(6):617-22.
- ↑ Suzuki J, Takaku A. Cerebrovascular «moyamoya» disease. Disease showing abnormal net-like vessels in base of brain. Arch Neurol 1969; 20: 288-99.
- ↑ Takeuchi K, Shimizu K. Hypoplasia of the bilateral internal carotid arteries. Brain Nerve 1957; 9: 37-43.
- ↑ Roach ES, Golomb MR, Adams R, Biller J, Daniels S, Deveber G, Ferriero D, Jones BV, Kirkham FJ, Scott RM, Smith ER; American Heart Association Stroke Council; Council on Cardiovascular Disease in the Young. Management of stroke in infants and children: a scientific statement from a Special Writing Group of the American Heart Association Stroke Council and the Council on Cardiovascular Disease in the Young. Stroke. 2008 Sep;39(9):2644-91.
- ↑ Kaneko, Y., Imamoto, N., Mannoji, H., Fukui, M., 1998. Familial occurence of Moya moya disease in the mother and four daughters including identical twins. Neurol. Med. Chir. 38, 349—354
- ↑ Стадирование болезни Мойя-Мойя по Suzuki и Takaku. Радиография (2017). Дата обращения: 29 апреля 2017. Архивировано 1 октября 2020 года.
- ↑ Fukui, M., 1997. Current State of Study on Moya moya Disease in Japan. Surg. Neurol. 47, 138—143.
