ДВС-синдром
| ДВС-синдром (диссеминированное внутрисосудистое свертывание) | |
|---|---|
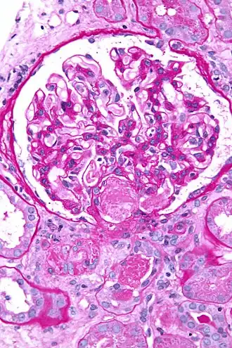
![]() Микрофотография биоптата почки при острой тромботической микроангиопатии, вызванной ДВС-синдромом. Тромб находится в воротах клубочков (центр изображения). | |
| МКБ-11 | 3B20 |
| МКБ-10 | D65 |
| МКБ-10-КМ | D65 |
| МКБ-9 | 286.6 |
| МКБ-9-КМ | 286.6[1][2] |
| DiseasesDB | 3765 |
| MedlinePlus | 000573 |
| eMedicine | med/577 emerg/150 |
| MeSH | D004211 |
ДВС-синдром (диссеминированное внутрисосудистое свёртывание, коагулопатия потребления, тромбогеморрагический синдром) — это патологический неспецифический процесс, характеризующийся образованием диссеминированных тромбов (фибринных, эритроцитарных и гиалиновых) в сосудах микроциркуляторного русла в сочетании с несвёртываемостью крови, приводящей к множественным массивным кровоизлияниям.
Может протекать бессимптомно или в виде остро развившейся коагулопатии. Часто встречается при различной акушерской патологии, различных видах шока, тяжёлых травмах, бактериальном сепсисе[3].
Классификация
Выделяют 3 основных типа течения заболевания.
- Острый ДВС синдром.
- Подострый ДВС синдром.
- Хронический ДВС синдром[4].
Также существует довольно большое количество классификаций по стадиям развития процесса.
По М. С. Мачабели выделяют 4 стадии[5]:
- I стадия — гиперкоагуляции;
- II стадия — коагулопатия потребления;
- III стадия — резкое снижение в крови всех прокоагулянтов, вплоть до полного отсутствия фибриногена;
- IV стадия — восстановительная.
По Фёдоровой З. Д. и др. (1979), Барышеву Б. А. (1981) классификация имеет следующий вид[5]:
- I стадия — гиперкоагуляции;
- II стадия — гипокоагуляции;
- III стадия — гипокоагуляции с генерализованной активацией фибринолиза;
- IV стадия — полное несвертывание крови.
Этиология
Этиологические формы острого и подострого ДВС-синдрома
- Инфекционно-септические:
- бактериальные;
- вирусные;
- токсически-шоковый (в том числе при абортах).
- Травматические и при деструкциях тканей:
- ожоговый;
- синдром длительного сдавления;
- массивные травмы;
- при некрозах тканей и органов (острая токсическая дистрофия печени, некротический панкреатит, острый инфаркт миокарда и др.);
- при остром внутрисосудистом гемолизе, в том числе при переливаниях несовместимой крови;
- при травматичных операциях;
- при массивных гемотрансфузиях;
- при гемобластозах, прежде всего при остром промиелоцитарном лейкозе;
- при острой лучевой болезни.
- Акушерские и гинекологические:
- Шоковые (при всех терминальных состояниях).
- В процессе интенсивной химиотерапии.
- При трансплантации органов.
Причинами хронического (затяжного) ДВС-синдрома чаще всего являются следующие виды патологии:
- хрониосепсис, включая затяжной септический эндокардит;
- хронические иммунные и иммунокомплексные болезни;
- хронические вирусные заболевания (гепатит, ВИЧ и др.);
- опухолевые процессы (рак, лимфомы, лейкозы и др.).
Фазы ДВС-синдрома:
- I фаза — гиперкоагуляция. Потеря факторов свертывающей системы в процессе обильного кровотечения приводит к удлинению времени образования сгустка и его ретракции, удлинению времени капиллярного кровотечения. Лабораторные показатели: уменьшение времени свертывания крови, тромбинового времени, положительный этаноловый тест.
- II фаза — гипокоагуляция. При геморрагическом шоке в фазе спазма венул и артериол (клинические проявления: дегидратация, бледные и холодные кожные покровы, признаки острой почечной недостаточности) в капиллярах развивается расслоение плазмы и форменных элементов — «сладж»-феномен. Агрегация форменных элементов, обволакивание их фибрином сопровождаются потреблением факторов свертывания крови и активацией фибринолиза. Лабораторные показатели: умеренная тромбоцитопения (до 120×109/л), тромбиновое время 60 с и больше, резко положительный этаноловый тест.
- III фаза — потребления с активацией местного фибринолиза. Афибриногенемия в сочетании с выраженной активацией фибринолиза. При этой фазе рыхлые сгустки крови в месте кровотечения быстро (в течение 15-20 мин) лизируются на 50 %. Лабораторные показатели: увеличение времени свертывания крови, тромбинового времени, уменьшение тромбоцитов до 100×109/л, быстрый лизис сгустка.
- IV фаза — генерализованный фибринолиз. Капиллярная кровь не свертывается, отмечаются паренхиматозное кровотечение, петехиальные высыпания на коже и внутренних органах, гематурия, выпот в синовиальные полости и терминальные изменения в органах и системах.
Патогенез
Основные звенья патогенеза ДВС-синдрома
1. Начальная активация гемокоагуляционного каскада и тромбоцитов эндогенными факторами: тканевым тромбопластином, лейкоцитарными протеазами, продуктами распада тканей, опухолевыми прокоагулянтами;
2. Персистирующая тромбинемия с повышением уровня её маркеров в крови (РФМК и D-димеров);
3. Истощение системы физиологических антикоагулянтов со значительным снижением содержания в плазме антитромбина III, протеина С, плазминогена и повышением уровня тромбомодулина в плазме крови;
4. Системное поражение сосудистого эндотелия и снижение его антитромботического потенциала;
5. Образование микросгустков крови и блокада микроциркуляции в органах-мишенях (мозг, надпочечники, почки, печень, желудок и кишечник (субсиндром полиорганной недостаточности) с развитием дистрофических и деструктивных нарушений в них).
6. Активация фибринолиза в зоне блокады микроциркуляции и истощение его резервов в общей циркуляции;
7. Потребление факторов гемокоагуляции и тромбоцитопения (и — патия) потребления, приводящие к системной кровоточивости и терминальной гипокоагуляции вплоть до полной несвертываемости крови (геморрагическая фаза синдрома);
8. Нарушение барьерной функции слизистой оболочки желудка и кишечника с трансформацией асептического ДВС-синдрома в септический;
вторичная тяжелая эндогенная интоксикация.
Клиническая картина
В клинической картине ДВС-синдрома отмечаются:
- в 1-й стадии — симптомы основного заболевания и признаки тромбогеморрагического синдрома (с преобладанием проявлений генерализованного тромбоза), гиповолемия, нарушение метаболизма;
- во 2-й стадии появляются признаки полиорганного повреждения и блокады системы микроциркуляции паренхиматозных органов, геморрагический синдром (петехиально-пурпурный тип кровоточивости);
- в 3-й стадии к указанным нарушениям присоединяются признаки полиорганной недостаточности (острая дыхательная, сердечно-сосудистая, печеночная, почечная, парез кишечника) и метаболические нарушения (гипокалиемия, гипопротеинемия, метаболический синдром по смешанному типу (петехии, гематомы, кровоточивость из слизистых оболочек, массивные желудочно-кишечные, легочные, внутричерепные и другие кровотечения, кровоизлияния в жизненно важные органы);
- в 4-й стадии (при благоприятном исходе) основные витальные функции и показатели гемостаза постепенно нормализуются.
Диагностика
Проводится диагностика свертывания крови и нарушения фибринолиза.
ЭКСПРЕСС-ДИАГНОСТИКА НАРУШЕНИЯ ГЕМОСТАЗА.
| показатель | норма | 1 фаза | 2 фаза | 3 фаза | 4 фаза |
|---|---|---|---|---|---|
| время свертывания | 5-12 | менее 5 | 5-12 | более 12 | более 60 |
| лизис сгустка | нет | нет | нет | быстрый | сгусток не образуется |
| число тромбоцитов | 175-425 | 175-425 | менее 120 | менее 100 | менее 60 |
Гиперкоагуляционная фаза ДВС-синдрома
При наличии заболевания или состояния, которое может вызвать гиперкоагуляционный синдром, необходимо определить ряд лабораторных показателей коагулограммы и тенденции их изменения с течением времени. АЧТВ может сокращаться, уровень тромбоцитов падает, уровни D-димеров, тромбин-антитромбиновых комплексов, фрагментов протромбина растут.
Гипокоагуляционная фаза ДВС-синдрома
Для этой фазы характерно сочетание геморрагических проявлений в результате полной несвертываемости крови с выраженной полиорганной недостаточностью. Лабораторные показатели на этой стадии демонстрируют выраженную гипокоагуляцию: сгусток в пробирке не образуется, резко удлиняется АЧТВ и ПВ, снижается уровень антитромбина III, в крови резко повышается уровень D-димеров, развивается выраженная тромбоцитопения, и тромбоциты перестают полноценно агрегировать (тромбоцитопатия ДВС-синдрома).
Лечение
- Терапия основного заболевания – устранение причины ДВС-синдрома.
- Стабилизация гемодинамики, адекватная вентиляционная поддержка, обеспечение диуреза.
- Лечение нарушений свертываемости крови – прерывание активации гемокоагуляционного каскада и восполнение недостающих компонентов с целью достижения эффективного уровня факторов свертывания крови, фибриногена и тромбоцитов:
- Тромбоконцентрат – для поддержания оптимального количества тромбоцитов > 50×109/л;
- Свежезамороженная плазма – при проявлениях кровотечения и удлинении ПТВ;
- Фибриноген – при его концентрации ниже 1 г/л;
- Антитромбин – при хронической форме ДВС-синдрома с целью достижения 100-120% нормы;
- Гепарин – применяется при хронической форме ДВС-синдрома, противопоказан при кровотечении (действует только при достаточной концентрации антитромбина III – более 70% нормы);
- Активированный протеин С;
- Рекомбинантный активированный фактор VII [6].
Прогноз
Прогноз варьируется в зависимости от основной патологии и степени внутрисосудистого тромбоза. Так на 1 и 2 стадии он благоприятный, но лишь при наличии адекватного лечения; сомнительный на 3; и летальный на 4. Для пациентов с ДВС-синдромом, независимо от причины вызвавшей его, прогноз часто мрачен: от 20 % до 50 % пациентов умирают. ДВС-синдром осложненный сепсисом имеет значительно более высокий уровень смертности, чем не осложненный.
См. также
Примечания
- ↑ Disease Ontology (англ.) — 2016.
- ↑ Monarch Disease Ontology release 2018-06-29 — 2018-06-29 — 2018.
- ↑ medbiol.ru ДВС-синдром: общие сведения. Дата обращения: 29 апреля 2009. Архивировано 2 января 2018 года.
- ↑ monomed.ru Медицинский справочник. ДВС-синдром(Синдром диссеминированного внутрисосудистого свертывания крови, Тромбогеморрагический синдром). Дата обращения: 29 апреля 2009. Архивировано из оригинала 11 августа 2017 года.
- 1 2 kid.ru Синдром диссеминированного внутрисосудистого свертывания крови. Дата обращения: 29 апреля 2009. Архивировано 23 января 2018 года.
- ↑ Jan Lebl, Jan Janda, Petr Pohunek. Klinická pediatrie (чешск.). — Galén. — С. 562-564. — 698 с. — ISBN 978-80-7262-772-1.
Ссылки
- Цикл Видеолекций по ДВС-синдрому Архивная копия от 11 января 2018 на Wayback Machine
