Синдром MELAS
| Синдром MELAS | |
|---|---|
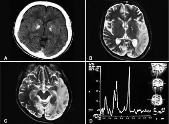
![]() Двусторонняя кальцификация базальных ганглиев, легкая атрофия мозжечка, ишемические изменения, повышение лактата. Abu-Amero et al., 2009[1] | |
| МКБ-10-КМ | E88.41 и G71.3 |
| МКБ-9 | 277.87 |
| МКБ-9-КМ | 277.87[2] |
| OMIM | 540000 |
| DiseasesDB | 8254 |
| eMedicine | ped/1406 |
| MeSH | D017241 |

Синдром MELAS (англ. Mitochondrial encephalomyopathy, lactic acidosis, and stroke-like episodes — «митохондриальная энцефаломиопатия, лактатацидоз, инсультоподобные эпизоды») — прогрессирующее нейродегенеративное заболевание, характеризующееся проявлениями, перечисленными в названии, и сопровождается полиморфной симптоматикой — диабетом, судорогами, снижением слуха, сердечными заболеваниями, низким ростом, эндокринопатиями, непереносимостью физических нагрузок и нейропсихиатрическими отклонениями. В каждом конкретном случае набор симптомов и их тяжесть может сильно отличаться, поскольку синдром связан с мутациями во многих генах: MTTL1, MTTQ, MTTH, MTTK, MTTS1, MTND1, MTND5, MTND6, MTTS2. Мутации могут возникать впервые у конкретного пациента, либо наследоваться по материнской линии. Всего к 2009 году было обнаружено 23 миссенсных точечных мутаций и 4 делеции мтДНК, приводящих к MELAS, однако продолжаются сообщения о новых пациентах с симптомами расстройства при отсутствии известных мутаций[1].
Распространённость
Синдром MELAS является одним из наиболее распространенных состояний в группе митохондриальных заболеваний. Распространённость сложно оценить из-за разнообразия проявлений и связанной с этим трудностью диагностики. Среди взрослого населения Финляндии число лиц с синдромом и мутацией A3243G было оценено в 10.2 человека на 100000. На севере Англии распространённость этой же мутации оценена в 1 на 13000 человек. Как предполагается, митохондриальные заболевания связаны с большой пропорцией нейрогенетических повреждений у взрослых, возможно, являясь одной из наиболее частых причин таких расстройств.[3] Распространённость собственно мутации A3243G, ответственной за большую часть случаев синдрома, оценивается гораздо выше,[4] но мутация не всегда ведёт к заболеванию, поскольку из-за гетероплазмии большинство митохондрий у человека могут быть "здоровыми".
Терапия
Лечение синдрома пока не известно, зачастую он отягощается, приводя в итоге к гибели пациента. Предпринимаются попытки замедлить его течение. Исследуется применение L-аргинина для уменьшения повреждений мозга при инсультоподобных эпизодах,[5][6][7][8] причём исследователи сообщают, что до принятия препарата уровень аргинина в крови пациентов был значительно снижен во время эпизодов.[5] Предварительные результаты обнадёживают, однако нужны дополнительные исследования. L-аргинин провоцирует выделение NO - газа, имеющего как положительный эффект - расширение сосудов, так и отрицательный: избыток может быть токсичным. Известно, например, что при инфаркте L-аргинин изначально показал положительные результаты, однако более крупные и длительные исследования не подтвердили ранние находки и к тому же выявили повышенную смертность среди тех, кто принимал это средство.[9][10]
Также применяется кофермент Q, в отсутствие результатов адекватных клинических исследований; такое исследование по состоянию на конец 2000-х ещё не завершено.[11]
Лекарственные взаимодействия
Поскольку MELAS может сопровождаться судорогами и не всегда адекватно диагностируется, он может быть принят за «простую» эпилепсию. При этом назначение вальпроата - антиконвульсанта, известного своим негативным воздействием на митохондриальную дыхательную цепь - лишь усугубляет судороги.[12][13][14]
История
Синдром MELAS был впервые описан в 1984 году Павлакисом и коллегами[15]; десять лет спустя Павлакис и Мицио Хирано опубликовали обзор 110 случаев заболевания[16].
См. также
Примечания
- 1 2 3 Abu-Amero K.K., Al-Dhalaan H., Bohlega S., Hellani A., Taylor R.W. A patient with typical clinical features of mitochondrial encephalopathy, lactic acidosis and stroke-like episodes (MELAS) but without an obvious genetic cause: a case report (англ.) // J Med Case Reports : journal. — 2009. — Vol. 3. — P. 77. — doi:10.1186/1752-1947-3-77. — PMID 19946553. — PMC 2783076.
- ↑ Monarch Disease Ontology release 2018-06-29 — 2018-06-29 — 2018.
- ↑ MELAS Syndrome Архивная копия от 12 февраля 2010 на Wayback Machine статья Fernando Scaglia в eMedicine.
- ↑ Manwaring N., Jones M.M., Wang J.J., Rochtchina E., Howard C., Mitchell P., Sue C.M. Population prevalence of the MELAS A3243G mutation (неопр.) // Mitochondrion. — 2007. — May (т. 7, № 3). — С. 230—233. — doi:10.1016/j.mito.2006.12.004. — PMID 17300999.
- 1 2 Koga Y., Akita Y., Junko N., Yatsuga S., Povalko N., Fukiyama R., Ishii M., Matsuishi T. Endothelial dysfunction in MELAS improved by l-arginine supplementation (англ.) // Neurology : journal. — 2006. — June (vol. 66, no. 11). — P. 1766—1769. — doi:10.1212/01.wnl.0000220197.36849.1e. — PMID 16769961. Архивировано 16 октября 2019 года.
- ↑ Koga Y. [L-arginine therapy on MELAS] (яп.) // Rinsho Shinkeigaku. — 2008. — Ноябрь (т. 48, № 11). — С. 1010—1012. — PMID 19198147.
- ↑ Koga Y., Akita Y., Nishioka J., Yatsuga S., Povalko N., Katayama K., Matsuishi T. MELAS and L-arginine therapy (неопр.) // Mitochondrion. — 2007. — Т. 7, № 1—2. — С. 133—139. — doi:10.1016/j.mito.2006.11.006. — PMID 17276739. Архивировано 1 апреля 2019 года.
- ↑ Finsterer J. Management of mitochondrial stroke-like-episodes (неопр.) // Eur. J. Neurol.. — 2009. — November (т. 16, № 11). — С. 1178—1184. — doi:10.1111/j.1468-1331.2009.02789.x. — PMID 19780807. (недоступная ссылка)
- ↑ Arginine Therapy in Acute Myocardial Infarction JAMA. 2006 Jan; Vol.295 #1: 58-64; PMID 16391217 Abstract Архивная копия от 18 января 2010 на Wayback Machine
- ↑ This study has been discussed in some detail in : "Reverse Heart Disease Now" by Stephen T Sinatra MD and James C Roberts MD, publ. Wiley 2006 ISBN 0-471-74704-1 at pp 111-113.
- ↑ Kerr D.S. Treatment of mitochondrial electron transport chain disorders: A review of clinical trials over the past decade (англ.) // Mol Genet Metab : journal. — 2009. — November. — doi:10.1016/j.ymgme.2009.11.005. — PMID 20060349. Архивировано 15 августа 2020 года.
- ↑ Lam C.W., Lau C.H., Williams J.C., Chan Y.W., Wong L.J. Mitochondrial myopathy, encephalopathy, lactic acidosis and stroke-like episodes (MELAS) triggered by valproate therapy (англ.) // Eur. J. Pediatr. : journal. — 1997. — July (vol. 156, no. 7). — P. 562—564. — PMID 9243242. Архивировано 14 октября 2000 года.
- ↑ Lin C.M., Thajeb P. Valproic acid aggravates epilepsy due to MELAS in a patient with an A3243G mutation of mitochondrial DNA (англ.) // Metab Brain Dis : journal. — 2007. — March (vol. 22, no. 1). — P. 105—109. — doi:10.1007/s11011-006-9039-9. — PMID 17226098.
- ↑ Hsu Y.C., Yang F.C., Perng C.L., Tso A.C., Wong L.J., Hsu C.H. Adult-onset of mitochondrial myopathy, encephalopathy, lactic acidosis, and stroke-like episodes (melas) syndrome presenting as acute meningoencephalitis: a case report (англ.) // J Emerg Med : journal. — 2009. — December. — doi:10.1016/j.jemermed.2009.10.021. — PMID 20036095.
- ↑ Pavlakis S.G., Phillips P.C., DiMauro S., De Vivo D.C., Rowland L.P. Mitochondrial myopathy, encephalopathy, lactic acidosis, and strokelike episodes: a distinctive clinical syndrome (англ.) // Ann. Neurol. : journal. — 1984. — October (vol. 16, no. 4). — P. 481—488. — doi:10.1002/ana.410160409. — PMID 6093682.
- ↑ Hirano M., Pavlakis S.G. Mitochondrial myopathy, encephalopathy, lactic acidosis, and strokelike episodes (MELAS): current concepts (англ.) // J. Child Neurol. : journal. — 1994. — January (vol. 9, no. 1). — P. 4—13. — PMID 8151079.
Ссылки
- Синдром MELAS — medbiol.ru
- Инсультоподобное течение митохондриальной энцефаломиопатии (синдром MELAS) - И.Н. Смирнова, Б.А. Кистенёв, М.В. Кротенкова, З.А. Суслина. Клинический разбор Института Неврологии РАМН, 2006 год.
