Синдром осмотической демиелинизации
| Синдром осмотической демиелинизации | |
|---|---|
| |
| МКБ-11 | 8A45.31 |
| МКБ-10 | G37.2 |
| МКБ-10-КМ | G37.2 |
| МКБ-9-КМ | 341.8[1] |
| DiseasesDB | 2198 |
| MedlinePlus | 000775 |
| MeSH | D017590 |
| Синонимы | Центральный понтинный миелинолиз |
Синдром осмотической демиелинизации (СОД) — это острое демиелинизирующее заболевание центральной нервной системы, с поражением моста мозга или иных областей, связанное с осмотическим стрессом. Наиболее часто развитие СОД связывают с быстрой коррекцией гипонатриемии[2]
Синонимы: центральный понтинный миелинолиз (демиелинизация в основании моста головного мозга)/ экстрапонтинный миелинолиз (демиелинизация с вовлечением таких структур как мозжечок, наружная и внутренняя капсула, латеральное коленчатое тело, таламус, базальные ганглии, гиппокамп).
История
Первые описания не воспалительной демиелинизации в области моста головного мозга, сделаны в 1959 г., когда Р. Д. Адамс, М. Виктор и Э. Л. Манколл описали четырёх пациентов, злоупотребляющих алкоголем и с нарушением питания, у которых возникли псевдобульбарные нарушения и тетрапарез (слабость всех конечностей), а при вскрытии были обнаружены симметричные участки демиелинизации в основании моста головного мозга.[2][3] Внепонтинный миелинолиз (в сочетании с поражением моста или изолировано) описан в 1962 г.
К 70-м годам 20 века синдром осмотической демиелинизации связали с быстрой коррекцией сниженного уровня натрия в плазме крови. Так в 1976 г. Томлинсон описал два клинических случая развития СОД у женщин без указаний на злоупотребление алкоголем или истощение. У этих пациенток симптоматика появилась на фоне коррекции гипонатриемии.[4]
Лаурено и Кляйншмидт-Де Мастерс показали в экспериментах на животных зависимость между скорость повышения натрия и развитием демиелинизации.[5] В дальнейшем появились описания случаев СОД на фоне гипернатриемии у больных с ожогами и рвотой беременных.
Эпидемиология
Абсолютно достоверных данных о распространенности данного заболевания нет. Встречаемость может быть разной в зависимости от той патологии, на фоне которой развивается это осложнение.
Согласно ретроспективному исследованию, проведенному в 2015 г. у 2,5 % пациентов, поступивших в отделения интенсивной терапии, был диагностирован синдром осмотической демиелинизации. Если оценивать только пациентов с выраженной гипонатриемией, то после её быстрой коррекции неврологическая симптоматика развивалась у 25 % пациентов. В этом исследовании отмечена большая распространенность патологии у пациентов после трансплантации печени. Клинические симптомы связанные с осмотической демиелинизацией фиксировались, как правило, в первые 10 суток после трансплантации.[2] Прогноз у пациентов с СОД после трансплантации печени хуже, чем у других пациентов (совокупный уровень смертности и инвалидности составил 77,4 % по сравнению с 44,7 % у пациентов без трансплантации печени). Зависимости частоты развития симптомов от возраста, пола и признаков употребления алкоголя не выявлено.[6]
Ещё одно крупное исследование проведено в Канаде, где оценивались пациенты с гипонатриемией (с уровнем натрия менее 130 ммоль/л) и коррекцией уровня натрия со скоростью более 8 ммоль/л в сутки, поступавшие в стационары в период с 2010 по 2020 г. Синдром осмотической демиелинизации был установлен по данным медицинской документации и результатам нейровизуализации. Установлено, что быстрая коррекция уровня натрия у пациентов с гипонатриемией отмечена у 17,7 % пациентов, но СОД встречался редко — 0,05 %.[7]
Синдром осмотической демиелинизации у детей
Встречаемость данного синдрома у детей значительно ниже, чем во взрослой популяции.
Анализ 106 случаев педиатрического СОД по литературным данным, в период с 1960 по 2018 год, показал что большая часть описанных случаев отмечалось в возрастной группе от 1 до 5 лет.[8] Считалось, что эти случаи, как и у взрослых, возникли после слишком быстрой коррекции гипонатриемии (более 12 мэкв/л в течение 24 часов). При оценке прогноза заболевания установлено, что 60 % детей имели полное или частичное выздоровление, а 39 % умерли. Но после 2000 года, количество детей погибших от синдрома осмотической демиелинизации было значительно меньше и составило 9 %. Клиническая картина у детей также была вариабельна, встречались как поражения моста, так и экстрапонтинные очаги демиелинизации. У детей описаны такие симптомы как бульбарные нарушения, глазодвигательные, двигательные нарушения и другие. Поражения вне моста головного мозга часто давали неспецифические симптомы (Например: когнитивные нарушения, судороги, нарушения походки, глухота).[9]
Этиология
Считается, что основной причиной развития осмотической демиелинизации является быстрая коррекция хронической гипонатриемии (хронической является гипонатриемия существующая более 48 часов), у людей с состояниями и заболеваниями, предрасполагающими к развитию СОД.
К группе риска по развитию осмотической демиелинизации относятся люди:
- Страдающие алкоголизмом
- Пациенты после трансплантации печени,
- Люди с серьёзными заболеваниями печени и почек (в том числе описаны случаи развития синдрома осмотической демиелинизации у пациентов с болезнью Вильсона-Коновалова)[10]
- После перенесенной лучевой терапии головного мозга
- Пациенты с истощением на фоне тяжелого заболевания
- Пациенты с ожогами (за счет гипернатриемии)[11]
- Пациенты с неукротимой рвотой (в том числе рвотой беременных)
Существует теория, что у пациентов с тяжелым поражением печени может развиваться синдром осмотической демиелинизации на фоне гипераммонемии и без гипонатриемии.[12]
В отдельных описаниях клинических случаев синдром осмотической демиелинизации развивался и на фоне другой патологии
Ятрогенно обусловленные электролитные нарушения с развитием СОД на фоне применения некоторых групп препаратов и веществ: нейролептики, антидепрессанты (например: селективные ингибиторы обратного захвата серотонина (SSRI), нестероидные противовоспалительные препараты из группы коксибов, ингибиторы протонной помпы, антиконвульсанты (включая прегабалин), иммунологические, лекарственные препараты используемые в онкологии, кардиологические препараты, опиаты, экстази и другие психотропные вещества.[13]
Патофизиология клеточного повреждения
В зависимости от длительности гипонатриемии, последовательно включаются два механизма поддержания осмолярности. Первый работает в течение нескольких часов и заключается в том, что из клетки выходят электролиты. Если этого недостаточно, то в дальнейшем запускается второй, отсроченный механизм. Его суть в том, что из клетки выходят органические осмолиты (миоинозитол, фосфокреатин, креатин и другие). Это более долговременный процесс и, при быстрой коррекции длительно существующей гипонатриемии, клетка не может начать вырабатывать эти осмолиты с необходимой скоростью.[14][2] В результате при быстром введении значительного количества натрия извне, вода по градиенту концентрации выходит из клеток, и они сморщиваются.
Сморщивание клетки может произойти и при быстром нарастании уровня натрия (более 170 ммоль/л), без предшествующей гипонатриемии.
Есть небольшое исследование о роли аквапориновых каналов (AQP1 и AQP4) в патогенезе развития осмотической демиелинизации[15]

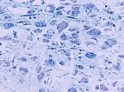
- Микроскопические изменения нервной ткани при осмотической демиелинизации
При гистологическом исследовании в очаге поражения отмечается не воспалительная демиелинизация, инфильтрация макрофагами и снижение количества олигодендроцитов за счет их апоптоза, астроглиоз и микроглиоз. При этом структура нейронов и аксонов сохранена.
Типичная локализация поражения в области моста может объясняться морфологической структурой данного региона, особенностью которого является высокая концентрация олигодендроцитов, компактное расположение и переплетение волокон серого и белого вещества. Схожая морфология есть и у регионов, которые могут вовлекаться в процесс вне моста. Это такие области головного мозга как мозжечок (поражается в 33 % случаев экстрапонтинного миелинолиза), наружная и внутренняя капсула, латеральное коленчатое тело, таламус, базальные ганглии и гиппокамп.[16]
Клиническая картина
Симптомы заболевания появляются обычно в течение 2-3 дней после коррекции гипонатриемии (но могут быть и отклонения от этих сроков до 1-2 недель).
Классические проявления демиелинизации в области моста включают бульбарные нарушения, такие как, дисфагия и дизартрия (анатомически связаны с повреждением кортико-бульбарных волокон) и тетрапарез (вследствие повреждения волокон кортикоспинального тракта)
Клиническая картина может включать такие симптомы как:
- Нарушения сознания (иногда до комы), когнитивные и психические нарушения (делирий, галлюцинации) -анатомически связаны с повреждением покрышки моста и/или таламуса
- Бульбарные нарушения
- Глазодвигательные нарушения (горизонтальный и вертикальный парез взора)
- Слабость в конечностях (вплоть до тетрапареза), также может развиться «синдром запертого человека» («locked-in» syndrome)[10]
- Нарушения координации, тремор[17]
- Чувствительные нарушения
- Паралич лицевой мускулатуры
Диагностика
- Неврологический осмотр
- Стандартные лабораторные исследования (в первую очередь уровень натрия сыворотки крови и его изменения, уровень калия, тесты для оценки работы печени и почек)
- Нейровизуализация: компьютерная томография как скрининговый метод. В первую очередь для исключения другой патологии головного мозга. Магнитно-резонансная томография. Возможно использование позитронно-эмиссионной томографии (ПЭТ).
- Иногда слуховые вызванные потенциалы (как и ПЭТ, в настоящее время, не является рутинным методом обследования)[17]
- Визуализация головного мозга при синдроме осмотической демиелинизации[18]
- Компьютерная томография (КТ)
На КТ могут быть выявлены очаги сниженной плотности (более темной окраски) области в нижней части моста. Но КТ не является методом выбора для визуализации изменений ассоциированных с миелинолизом. Это связано с тем, что чаще всего изменения локализуются в мосту мозга, которых окружен костной тканью, дающей артефакты на изображении.
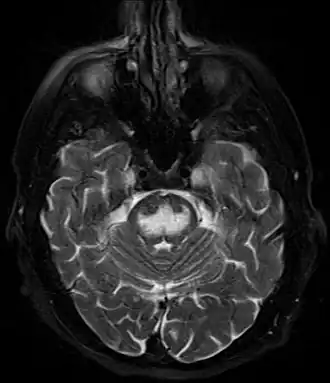
- Магнитно-резонансная томография (МРТ)
Чаще изменения локализуются в нижней части моста имеют вид трезубца или бабочки. Но могут быть также в базальных ганглиях, среднем мозге и белом веществе субкортикальных областей. Накопление контрастного вещества возможно.
Ранние изменения (в первые 24 часа от развития тетрапареза): гиперинтенсивный сигнал (что говорит об ограничении диффузии) в режиме DWI. Изменения в режимах Т1- (гипоинтенсивный сигнал) и Т2-ВИ (гиперинтенсивный) могут развиваться не сразу (до 2 недель). Другие последовательности: FLAIR: гиперинтенсивный, ADC: низкий сигнал
Вначале может быть высокое накопление 18-ФДГ, которое сменяется гипометаболизмом. (ПЭТ не является обязательным и рутинным методом исследования)
Дифференциальная диагностика
- Другие демиелинизирующие заболевания (такие как рассеянный склероз);[2]
- опухоли мостовой локализации (астроцитомы, метастазы, лимфома центральной нервной системы);
- инсульт;
- Мультифокальная лейкоэнцефалопатия
- Острые аутоимунные и инфекционные энцефалиты
- Васкулиты центральной нервной системы
- гипертензивная энцефалопатия, Синдром Гайе — Вернике
- токсичность вигабатрина[18]
Терапия
Специфической терапии развившегося синдрома осмотической демиелинизации не разработано. Проводится поддерживающая терапия, коррекция осложнений. Пациентам с алкогольным анамнезом дополнительно назначают витамины (в первую очередь тиамин)
Физиотерапия для профилактики контрактур, мышечной атрофии, дыхательных нарушений и так далее.[17]
Основным методом предотвращения развития синдрома осмотической демиелинизации является медленная коррекция хронической гипонатриемии (в первые сутки не более 10 ммоль/л и не более 8 ммоль/л в последующие). При быстром повышении уровня натрия, проводят его коррекцию с использованием раствора глюкозы (вводят 5% раствор глюкозы 10 мл/кг/час), данная терапия требует контроля диуреза.[19]
Для предотвращения избыточной коррекции гипонатриемии, на фоне применения гипертонического раствора хлорида натрия, может использоваться десмопрессин, который вводится подкожно или внутривенно 1-2 мкг внутривенно или подкожно каждые 6-8 часов в течение 24 часов.[2]
Экспериментальные методы терапии
Это методы, которые применялись в отдельных клинических случаях с положительным результатов, но крупных исследований по ним не проводилось. Все эти методы мало изучены и нужны дополнительные исследования для подтверждения их эффективности.
На фоне использования плазмафереза исследователи отмечали положительный клинический эффект, без влияния на картину магнитно-резонансной томографии. Влияние плазмафереза связывают с удалением из сыворотки высокомолекулярных веществ повреждающих миелиновую оболочку нервных волокон.
Есть исследования по применению дексаметазона в экспериментальных моделях осмотического стресса на животных, в которых отмечено меньше очагов поражения головного мозга на фоне терапии, по сравнению с группой не получавшей лечения глюкокортикостероидами. Описаны единичные случаи использования глюкокортикостероидов в лечении синдрома осмотической демиелинизации у людей.[2]
Также имеются сообщения о использовании в терапии селективного антагониста V2 рецепторов Толваптана для лечения хронической гипонатриемии.[16][20]
Прогноз
Ранее считалось, что синдром осмотической демиелинизации состояние с высокой летальностью. Но по мере улучшения возможностей диагностики и выявления менее тяжелых форм заболевания, данные по прогнозу также претерпели изменения.[21]
По данным исследований проведенных в 2000—2010 годах выживаемость среди пациентов с синдромом осмотической демиелинизации достигает 94 %, при этом 25-40 % без неврологического дефицита, а 25-30 % становятся нетрудоспособными.[2]
К факторам неблагоприятного исхода относят:
- Уровень натрия менее 120 ммоль/л
- Гипокалиемию
- Низкий балл по шкале ком Глазго
- Состояние после трансплантации печени
При этом клинические проявления и данные визуализации головного мозга не оказывали значительного влияния на прогноз.
Выявление пациентов из группы риска, которым требуется осторожная коррекция уровня натрия, а также профилактика и терапия вторичных осложнений (таких как аспирационная пневмония, тромбоэмболические осложнения, инфекция мочевыводящих путей и другие) может предотвратить развитие синдрома осмотической демиелинизации и улучшить прогноз для таких больных.[22]
Примечания
- ↑ Monarch Disease Ontology release 2018-06-29 — 2018-06-29 — 2018.
- 1 2 3 4 5 6 7 8 Aunie Danyalian, Daniel Heller. Central Pontine Myelinolysis (англ.). National library of medicine (2023).
- ↑ RAYMOND D. ADAMS. Central Pontine Myelinolysis // A.M.A. Archives of Neurology & Psychiatry. — 1959-02-01. — Т. 81, вып. 2. — С. 154. — ISSN 0096-6886. — doi:10.1001/archneurpsyc.1959.02340140020004.
- ↑ Central Pontine Myelinolysis<subtitle>TWO CASES WITH ASSOCIATED ELECTROLYTE DISTURBANCE</subtitle> // QJM: An International Journal of Medicine. — 1976-07. — ISSN 1460-2393. — doi:10.1093/oxfordjournals.qjmed.a067468.
- ↑ Robert Laureno. Myelinolysis after Correction of Hyponatremia (англ.) // Annals of Internal Medicine. — 1997-01-01. — Vol. 126, iss. 1. — P. 57. — ISSN 0003-4819. — doi:10.7326/0003-4819-126-1-199701010-00008.
- ↑ T. D. Singh, J. E. Fugate, A. A. Rabinstein. Central pontine and extrapontine myelinolysis: a systematic review // European Journal of Neurology. — 2014-09-15. — Т. 21, вып. 12. — С. 1443–1450. — ISSN 1351-5101. — doi:10.1111/ene.12571.
- ↑ Thomas E. MacMillan, Saeha Shin, Joel Topf, Janice L. Kwan, Adina Weinerman, Terence Tang, Afsaneh Raissi, Radha Koppula, Fahad Razak, Amol A. Verma, Michael Fralick. Osmotic Demyelination Syndrome in Patients Hospitalized with Hyponatremia // NEJM Evidence. — 2023-03-28. — Т. 2, вып. 4. — ISSN 2766-5526. — doi:10.1056/evidoa2200215.
- ↑ Lalit R. Bansal, Timothy Zinkus. Osmotic Demyelination Syndrome in Children // Pediatric Neurology. — 2019-08. — Т. 97. — С. 12–17. — ISSN 0887-8994. — doi:10.1016/j.pediatrneurol.2019.03.018.
- ↑ Dominique Gagnon. Hyponatremia, osmotic demyelination syndrome, and the importance of the patient’s history // The Southwest Respiratory and Critical Care Chronicles. — 2021-01-28. — Т. 9, вып. 37. — С. 45–53. — ISSN 2325-9205. — doi:10.12746/swrccc.v9i37.797.
- 1 2 Central Pontine Myelinolysis // Definitions. — Qeios, 2020-02-07.
- ↑ Central Pontine Myelinolysis (Osmotic Demyelination Syndrome) (англ.). clevelandclinic. Дата обращения: 2 марта 2024. Архивировано 2 марта 2024 года.
- ↑ Srijan Tandukar, Richard H. Sterns, Helbert Rondon-Berrios. Osmotic Demyelination Syndrome following Correction of Hyponatremia by ≤10 mEq/L per Day // Kidney360. — 2021-09. — Т. 2, вып. 9. — С. 1415–1423. — ISSN 2641-7650. — doi:10.34067/kid.0004402021.
- ↑ Burger Lichtenstein. Etiology Falls Short // Deutsches Ärzteblatt international. — 2020-01-17. — ISSN 1866-0452. — doi:10.3238/arztebl.2020.0041c.
- ↑ M.P. Limarenko, N.G. Logvinenko, A.P. Mayorenko. Аутоиммунная энтеропатия у детей: обзор литературы и собственное наблюдение // CHILD`S HEALTH. — 2013-06-07. — Вып. 3.46. — С. 159–163. — ISSN 2307-1168. — doi:10.22141/2224-0551.3.46.2013.89070.
- ↑ Bogdan F Gh Popescu, Reem F Bunyan, Yong Guo, Joseph E Parisi, Vanda A Lennon, Claudia F Lucchinetti. Evidence of aquaporin involvement in human central pontine myelinolysis (англ.) // Acta Neuropathologica Communications. — 2013-12. — Vol. 1, iss. 1. — ISSN 2051-5960. — doi:10.1186/2051-5960-1-40. Архивировано 2 марта 2024 года.
- 1 2 Johann Lambeck, Maren Hieber, Andrea Dreßing, Wolf-Dirk Niesen. Central Pontine Myelinosis and Osmotic Demyelination Syndrome // Deutsches Ärzteblatt international. — 2019-09-02. — ISSN 1866-0452. — doi:10.3238/arztebl.2019.0600.
- 1 2 3 Osmotic demyelination syndrome (англ.). medline. Дата обращения: 2 марта 2024. Архивировано 21 августа 2024 года.
- 1 2 Muhammad Waqar Sharif, Arjan Singh, Joud Enabi, Roman Karkee, Raghavendra Sanivarapu. Delayed Presentation of Osmotic Demyelination Syndrome Treated With Plasmapheresis // Cureus. — 2023-10-20. — ISSN 2168-8184. — doi:10.7759/cureus.47399.
- ↑ Г.Р. Рамазанов, Е.В. Шевченко, Э.А. Ковалева, И.Г. Желев, В.Н. Степанов, С.Ж. Шахпазов, Х.В.Коригова, С.С. Петриков. Осмотический демиелинизирующий синдром // Журнал им. Н.В. Склифосовского «Неотложная медицинская помощь».. — 2020. — Сентябрь.
- ↑ Tomas Berl, Friederike Quittnat-Pelletier, Joseph G. Verbalis, Robert W. Schrier, Daniel G. Bichet, John Ouyang, Frank S. Czerwiec. Oral Tolvaptan Is Safe and Effective in Chronic Hyponatremia (англ.) // Journal of the American Society of Nephrology. — 2010-04. — Vol. 21, iss. 4. — P. 705–712. — ISSN 1046-6673. — doi:10.1681/ASN.2009080857.
- ↑ Е. В. Исакова, Е. А. Степанова, С. В. Котов, Ю. А. Белова. Синдром осмотической демиелинизации: центральный понтинный и экстрапонтинный миелинолиз у пациентки в раннем послеродовом периоде. Клиническое наблюдение // Neurology, Neuropsychiatry, Psychosomatics. — 2023.
- ↑ King JD, Rosner MH. Osmotic demyelination syndrome (англ.) // Am J Med Sci.. — 2010. — June.
