Синдром запертого человека

Жан-Доминик Боби — французский журналист, перенесший обширный инсульт в 43 года, после которого оказался полностью парализованным, сохранив способность двигать только левым веком. С помощью специальной системы коммуникации он продиктовал мемуары, описывающие свой опыт жизни с синдромом запертого человека

Синдро́м «за́пертого челове́ка» (синдром изоляции, синдром деэфферентации) (англ. locked-in syndrome) — синдром, который характеризуется отсутствием адекватной реакции больного на внешние, в том числе и словесные, стимулы из-за тетраплегии и паралича бульбарной, мимической и жевательной мускулатуры.

Он проявляется невозможностью говорить из-за паралича бульбарной мускулатуры (анартрия), параличом конечностей при полной сохранности сознания и чувствительности. При нём возможно общение с окружающими путём моргания и движения глаз в вертикальном направлении[1][2]. При длительном сохранении синдрома «запертого человека» больные могут быть обучены передавать глазами достаточно сложную информацию[a].

Эпидемиология

Синдром запертого человека очень редкая патология и оценить ее распространенность сложно. Согласно данным исследований, проведенных в Норвегии и Франции в 2023 году, распространенность заболевания составила 0,3-5,4 случая на 1 миллион человек.[4][5]

Этиология

Причиной развития синдрома является поражение в области моста мозга или среднего мозга[1]. Поражение этой области может развиваться вследствие инфаркта мозга, кровоизлияния в мозг, нервно-мышечных и демиелинизирующих заболеваний (Например: центральный понтинный миелинолиз), травмы[6], опухоли[7], инфекционного поражения.[8][9]

Самой частой причиной является ишемический инсульт и кровоизлияние в ствол мозга[5][10][11], травма головного мозга (непосредственное повреждение в области ствола мозга или вторичное из-за повреждения или тромбоза базилярной артерии, кровоснабжающей эту область, а также нарастающего отека головного мозга)[12][13], реже встречается синдром запертого человека вызванный нервно-мышечными заболеваниями (Например: Синдром Гийена-Барре[14], поздние стадии бокового амиотрофического склероза[15][16]), лекарственными препаратами и ядами[17][18]. Инфекции, как причина синдрома запертого человека встречаются крайне редко[19][20]. На фоне пандемии Covid-19 стали появляться сообщения, о случаях развития синдрома как осложнения коронавирусной инфекции (как вследствие тромбоза сосудов из-за повышенной склонности к тромбообразованию[21], так и в следствии тяжелого нервно-мышечного поражения)[22].

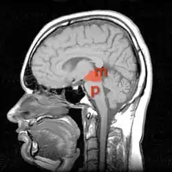
Кровоснабжение ствола головного мозга
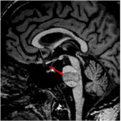
Средний мозг на МРТ (отмечен красным), а мост буквой Р(pons)

Патологическая анатомия. Классификация

Наиболее часто при синдроме запертого человека происходит повреждение ствола мозга в области передних отделов моста или среднего мозга. В этом регионе проходят: кортикоспинальный тракт иннервирующий мышцы конечностей, кортико-бульбарный путь к ядрам черепных нервов (тройничный нерв, лицевой нерв, языко-глоточный, блуждающий, добавочный и подъязычный нервы). Этим объясняется наличие в клинической картине паралича конечностей (поражение кортико-спинального пути), нарушение речи и глотания и мимики (поражение путей к черепным нервам). При этом пути проходящие в задних отделах остаются неповрежденными, так при сохранности ядер и путей глазодвигательного нерва возможны движения глаз по вертикали, также не нарушается слух. Ретикулярная формация, благодаря которой сохраняется сознание проходит в более задних отделах и не страдает. На основании сохранности тех или иных структур, создана классификация синдрома запертого человека.[23][8]

Классификация:

  • МРТ человека с инфарктом головного мозга в области моста мозга (указан стрелкой), вследствие тромбоза базилярной артерии, у которого развился синдром запертого человека.
    Классическая форма: у пациентов сохранно сознание, способность к морганию и вертикальному движению глаз.
  • Неполная форма: когда помимо моргания и движения глаз по вертикали, возможны какие-либо иные движения.
  • Полный синдром запертого человека: включает полный паралич и отсутствие движений глаз. Наличие мозговой деятельности фиксируют по результатам электроэнцефалографии.[8][24][25]

Диагностика

Основными тестами для диагностики этого состояния являются:

  • Неврологический осмотр
  • Компьютерная и магнитно-резонансная томография — для выявления поражения ствола мозга, уточнения причин, вызвавших синдром запертого человека (тромбоз артерий и ишемический инсульт, кровоизлияние, признаки демиелинизации)[8][26]
  • Электроэнцефалография — для оценки функции коры головного мозга (что помогает отличить синдром запертого человека от комы)[24][27]
  • Электронейромиография — для выявления нейро-мышечных заболеваний, как причины развития синдрома.[8]

При необходимости могут проводится и другие тесты.

  • Функциональная МРТ и позитронно-эмиссионная томография (также помогает отличить синдром запертого человека от комы и хронических нарушений сознания. Особенно при полном синдроме запертого человека, когда коммуникация с помощью глаз невозможна).[5][28]
  • Исследование крови — снижение натрия в крови, а затем его быстрое повышение, может говорить о синдроме осмотический демиелинизации. Определение уровня глюкозы, для исключения поражение мозга, ассоциированного с гипогликемией.[8][29]
  • Исследование ликвора — для исключения инфекции или диагностики демиелинизирующих заболеваний центральной нервной системы.

Бывает, что при таком синдроме медицинский персонал, ошибочно диагностировав кому (утрату сознания), в присутствии пациента свободно обсуждает все профессиональные вопросы, в том числе и вероятность смерти больного, что может нанести ему тяжёлую психическую травму. По данным исследования, проведенного в 2002 году, время от начала заболевания до постановки диагноза в среднем составлял 2 месяца. Отчасти это может объясняться сложностью диагностики, особенно при полном синдроме запертого человека, а также тем, что часто люди переходят в это состояние после периода комы.[8][6]

Лечение

В остром периоде основой лечения является терапия того заболевания, которое лежит в основе развития синдрома запертого человека.[30] Например, при ишемическом инсульте своевременное проведение тромболитической терапии может привести к восстановлению утраченных функций.[31] А также поддержание жизненно-важных функций (обеспечение проходимости дыхательных путей, достаточной доставки кислорода, поддержание функции сердечно-сосудистой системы и так далее).[8]

В дальнейшем проводится поддерживающая терапия, профилактика осложнений, связанных с обездвиженностью и обеспечение возможности коммуникации с человеком.[5]

Для улучшения коммуникации с такими пациентами используются различные методы:

  • Специальный алфавит, где ряд букв сгруппирован по цветам.[6][32]
  • Приборы для отслеживания движений глаз с применением инфракрасных лучей или окулографии.[5]
  • Нейроинтерфейсы с применением неинвазивных методик (датчики, регистрирующие электрическую активность мозга с поверхности головы, спектроскопия в ближней инфракрасной области) или инвазивных методик (регистрация ЭЭГ с датчиков имплантированных в полость черепа и получающих сигналы непосредственно с коры головного мозга)[33][34]

Прогноз

Если пациенты выживают в первые 4 месяца с момента развития заболевания, то в дальнейшем они могут жить достаточно долго, при условии адекватного ухода. Согласно исследованию от 2003 года выживаемость в течение 5 и 10 лет составила 83%, в течение 20 лет 40%[35]. Если пациенты восстанавливаются, то это происходит в первые 6 месяцев после развития синдрома.[36] Однако в большинстве случаев полного восстановления утраченных функций не происходит.[37][35] По данным итальянского исследования 14 пациентов с синдромом запертого человека, на фоне лечения и реабилитации удалось добиться улучшения в состоянии таких больных. У 21% испытуемых отмечалось восстановление двигательной функции, у 28% — стала возможной вербальная коммуникация, у 42% — улучшилось глотание, у 42% — коммуникация осуществлялась с помощью устройств.[38]

иллюстрация романа А.Дюма "Граф Монте-Кристо". Валентина со своим дедом, господином Нуартье.

История

Александр Дюма в романе «граф Монте-Кристо» (1844 г.) приводит описание господина Нуартье де Вильфора используя фразу «труп с живыми глазами», в дальнейшем этот отрывок часто использовался в различных статьях для художественного описания сути феномена запертого человека.[5][25] Также Дюма указывает на возможную причину этого состояния, связывая симптомы с кровоизлиянием в мозг. «Господин Нуартье, сочетание самой блестящей отваги с самым крепким телосложением, был уничтожен в одну секунду разрывом кровеносного сосуда в мозгу; он, некогда грозный, теперь не мог пошевелить ни рукой, ни ногой, не мог говорить и едва мог видеть, но он мыслил, он желал, он действовал, насколько это было в его власти.»[36][39]

Еще одним литературным описанием синдрома изоляции можно считать роман Эмиля Золя, написанный в 1868 году «Тереза Ракен», где симптомами, сходными с синдромом запертого человека страдает приемная мать Терезы.[40]

Первое описание синдрома врачами было сделано в 1875 г. Во Франции на конференции парижского анатомического общества, которую проводил знаменитый невролог Жан-Мартен Шарко. Врач-стажер Камилл Дароллес под руководством Франсуа Дамаскино представил клинический случай молодой женщины у которой, через 6 дней после эпизода головной боли, появилась слабость в правых конечностях, а затем состояние ее еще более ухудшилось, что проявлялось анартрией, нарушением глотания, спастической тетраплегией в сочетании с децеребрационной ригидностью, наблюдался парез горизонтального взора. При этом женщина оставалась в сознании и была доступна контакту за счет сохранного движения глаз по вертикали. Была предпринята попытка лечения, путем постановки пиявок для извлечение крови, но на третий день от развития симптомов женщина умерла. При вскрытии был выявлен инфаркт в вентральной части моста мозга.[5][40][41]

Новый всплеск интереса к этому состоянию произошел в шестидесятые годы двадцатого столетия, когда стали активно изучаться такие явления как смерть мозга и хронические нарушения сознания.[42] И пациенты с синдромом запертого человека отличались от этих состояний. С развитием медицины и улучшением возможности поддержания жизнедеятельности и ухода в 60-70-е годы 20 века, продолжительность жизни таких пациентов значительно увеличилась. Итальянские неврологи Каппа и Виньоло описали пациента, который прожил, с синдромом изоляции, 12 лет.[2] Термин “синдром «запертого человека»” (locked-in syndrome) был предложен в 1966 г. В публикации F. Plum, J.B. Posner. До того, как термин «синдром запертого человека» стал общеупотребительным, это состояния в разных источниках имело различные названия. Такие как состояние деафферентации, псевдокома, вентральный синдром моста, мостовая псевдокома и так далее.[36] В 1986 году синдром был определен как квадриплегия (паралич всех четырёх конечностей) и анартрия с сохранением сознания, в отличие от определения 1966 года, где для описания нарушения речи использовалось слово мутизм. В дальнейшем ученые хотели подчеркнуть, что больной с синдромом запертого человека не может говорить именно из-за проблем с речевым аппаратом, а при мутизме речь хотя отсутствует, но физиологически этот процесс возможен. Кроме того локализация поражения при мутизме и синдроме запертого человека различны.[43][44][45]

См. также

Примечания

Комментарии

  1. Жан-Доминик Боби, бывший редактор журнала Elle, впавший в такое состояние после геморрагического инсульта, написал с помощью сигналов, передаваемых морганием, книгу — «Скафандр и бабочка»[3]

Источники

  1. 1 2 Под ред. Е. И. Гусева, А. Н. Коновалова, В. И. Скворцовой, А. Б. Гехт. Неврология: Национальное руководство. — ГЭОТАР-Медиа, 2010. — С. 525. — ISBN 978-5-9704-1714-0.
  2. 1 2 Stefano F. Cappa, Luigi A. Vignolo. Locked‐in syndrome for 12 years with preserved intelligence (англ.) // Annals of Neurology. — 1982-05. Vol. 11, iss. 5. P. 545–545. ISSN 0364-5134. doi:10.1002/ana.410110521.
  3. Сет, 2023, с. 57.
  4. Orphanet: Locked-in syndrome. www.orpha.net. Дата обращения: 15 февраля 2025.
  5. 1 2 3 4 5 6 7 Зайцев Михаил Игоревич, Фоменко Сергей Сергеевич, Бакулин Илья Сергеевич, Сергеев Дмитрий Владимирович, Хижникова Анастасия Евгеньевна, Гнедовская Елена Владимировна. Синдром “запертого человека”. — 2023. doi:10.24412/2226-0757-2023-12850.
  6. 1 2 3 José León-Carrión, Philippe van Eeckhout, María del Rosario Domínguez-Morales, Francisco Javier Pérez-Santamaría. Survey: The locked-in syndrome: a syndrome looking for a therapy // Brain Injury. — 2002-01. Т. 16, вып. 7. С. 571–582. ISSN 0269-9052. doi:10.1080/02699050110119781.
  7. Servet INCI, Tuncalp ÖZGEN. Locked-in Syndrome Due to Metastatic Pontomedullary Tumor-Case Report- // Neurologia medico-chirurgica. — 2003. Т. 43, вып. 10. С. 497–500. ISSN 0470-8105. doi:10.2176/nmc.43.497.
  8. 1 2 3 4 5 6 7 8 Joe M. Das, Kingsley Anosike, Ria Monica D. Asuncion. Locked-in Syndrome // StatPearls. — Treasure Island (FL): StatPearls Publishing, 2025.
  9. Marie-Christine Rousseau, Karine Baumstarck, Marine Alessandrini, Véronique Blandin, Thierry Billette de Villemeur, Pascal Auquier. Quality of life in patients with locked-in syndrome: Evolution over a 6-year period // Orphanet Journal of Rare Diseases. — 2015-07-19. Т. 10, вып. 1. ISSN 1750-1172. doi:10.1186/s13023-015-0304-z.
  10. R. F. Kohnen, J. C. M. Lavrijsen, J. H. J. Bor, R. T. C. M. Koopmans. The prevalence and characteristics of patients with classic locked-in syndrome in Dutch nursing homes (англ.) // Journal of Neurology. — 2013-06. Vol. 260, iss. 6. P. 1527–1534. ISSN 0340-5354. doi:10.1007/s00415-012-6821-y.
  11. Kajsa Svernling, Marie Törnbom, Åsa Nordin, Katharina S Sunnerhagen. Locked-in syndrome in Sweden, an explorative study of persons who underwent rehabilitation: a cohort study (англ.) // BMJ Open. — 2019-04. Vol. 9, iss. 4. P. e023185. ISSN 2044-6055. doi:10.1136/bmjopen-2018-023185.
  12. Edward S. Ahn, Bizhan Aarabi. Posttraumatic Locked-In Syndrome from a Pontomedullary Contusion: Case Report // Journal of Trauma: Injury, Infection & Critical Care. — 2007-08. Т. 63, вып. 2. С. 420–423. ISSN 0022-5282. doi:10.1097/01.ta.0000174727.59241.cb.
  13. Tjerk J. Lagrand, Vincent A.J. Bruijnes, A.M. Madelein Van der Stouwe, Eric A. Deckers, Aryan Mazuri, Bram Jacobs. Locked-In Syndrome after Traumatic Basilar Artery Entrapment within a Clivus Fracture: A Case Report and Review of the Literature // Neurotrauma Reports. — 2020-01-01. Т. 1, вып. 1. С. 73–77. ISSN 2689-288X. doi:10.1089/neur.2020.0015.
  14. Conrado Medici, Gabriel Gonzalez, Alfredo Cerisola, Cristina Scavone. Locked-In Syndrome in Three Children With Guillain-Barré Syndrome // Pediatric Neurology. — 2011-08. Т. 45, вып. 2. С. 125–128. ISSN 0887-8994. doi:10.1016/j.pediatrneurol.2011.03.005.
  15. Mariska J. Vansteensel, Elmar G.M. Pels, Martin G. Bleichner, Mariana P. Branco, Timothy Denison, Zachary V. Freudenburg, Peter Gosselaar, Sacha Leinders, Thomas H. Ottens, Max A. Van Den Boom, Peter C. Van Rijen, Erik J. Aarnoutse, Nick F. Ramsey. Fully Implanted Brain–Computer Interface in a Locked-In Patient with ALS // New England Journal of Medicine. — 2016-11-24. Т. 375, вып. 21. С. 2060–2066. ISSN 0028-4793. doi:10.1056/nejmoa1608085.
  16. Elmar G. M. Pels, Erik J. Aarnoutse, Nick F. Ramsey, Mariska J. Vansteensel. Estimated Prevalence of the Target Population for Brain-Computer Interface Neurotechnology in the Netherlands // Neurorehabilitation and Neural Repair. — 2017-06-22. Т. 31, вып. 7. С. 677–685. ISSN 1545-9683. doi:10.1177/1545968317714577.
  17. Zia Durrani, Alon P. Winnie. Brainstem Toxicity With Reversible Locked-In Syndrome After Intrascalene Brachial Plexus Block: (англ.) // Anesthesia & Analgesia. — 1991-02. Vol. 72, iss. 2. P. 249–252. ISSN 0003-2999. doi:10.1213/00000539-199102000-00020.
  18. Philip Lee. Locked-In Syndrome as a Result of Cyclizine Administration // Journal of Pain and Symptom Management. — 2013-05. Т. 45, вып. 5. С. e5–e7. ISSN 0885-3924. doi:10.1016/j.jpainsymman.2013.02.005.
  19. M J Murphy, D W Brenton, C A Aschenbrener, J C Van Gilder. Locked-in syndrome caused by a solitary pontine abscess. // Journal of Neurology, Neurosurgery & Psychiatry. — 1979-11-01. Т. 42, вып. 11. С. 1062–1065. ISSN 0022-3050. doi:10.1136/jnnp.42.11.1062.
  20. Q. Mathais, P. Esnault, A. Montcriol, S. Gazzola, B. Prunet, E. Meaudre. Locked-in syndrome following meningitis with brainstem abscess // Revue Neurologique. — 2019-01. Т. 175, вып. 1—2. С. 88–89. ISSN 0035-3787. doi:10.1016/j.neurol.2018.01.375.
  21. Akshay Avula, Arshpal Gill, Ra'ed Nassar, Krishna Nalleballe, Suman Siddamreddy, Michel Chalhoub. Locked-In with COVID-19 // Journal of Clinical Neuroscience. — 2020-09. Т. 79. С. 80–83. ISSN 0967-5868. doi:10.1016/j.jocn.2020.07.014.
  22. Thomas Pfefferkorn, Rainer Dabitz, Thomas von Wernitz-Keibel, Johannes Aufenanger, Martina Nowak-Machen, Hendrik Janssen. Acute polyradiculoneuritis with locked-in syndrome in a patient with Covid-19 // Journal of Neurology. — 2020-05-12. Т. 267, вып. 7. С. 1883–1884. ISSN 0340-5354. doi:10.1007/s00415-020-09897-y.
  23. Триумфов А. В. Топическая диагностика заболеваний нервной системы. М.: ООО «МЕДпресс», 1998.
  24. 1 2 Damien Lesenfants, Dina Habbal, Camille Chatelle, Andrea Soddu, Steven Laureys, Quentin Noirhomme. Toward an Attention-Based Diagnostic Tool for Patients With Locked-in Syndrome // Clinical EEG and Neuroscience. — 2016-11-10. Т. 49, вып. 2. С. 122–135. ISSN 1550-0594. doi:10.1177/1550059416674842.
  25. 1 2 G. Bauer, F. Gerstenbrand, E. Rumpl. Varieties of the locked-in syndrome // Journal of Neurology. — 1979-08. Т. 221, вып. 2. С. 77–91. ISSN 0340-5354. doi:10.1007/bf00313105.
  26. Locked-In Syndrome - Neurologic Disorders (англ.). MSD Manual Professional Edition. Дата обращения: 15 февраля 2025.
  27. C. H. Hawkes, L. Bryan-Smyth. The electroencephalogram in the “locked‐in” syndrome (англ.) // Neurology. — 1974-11. Vol. 24, iss. 11. P. 1015–1015. ISSN 0028-3878. doi:10.1212/WNL.24.11.1015.
  28. D. Kondziella, A. Bender, K. Diserens, W. van Erp, A. Estraneo, R. Formisano, S. Laureys, L. Naccache, S. Ozturk, B. Rohaut, J. D. Sitt, J. Stender, M. Tiainen, A. O. Rossetti, O. Gosseries, C. Chatelle. European Academy of Neurology guideline on the diagnosis of coma and other disorders of consciousness // European Journal of Neurology. — 2020-02-23. Т. 27, вып. 5. С. 741–756. ISSN 1351-5101. doi:10.1111/ene.14151.
  29. Philip E. Cryer. Hypoglycemia, functional brain failure, and brain death // Journal of Clinical Investigation. — 2007-04-02. Т. 117, вып. 4. С. 868–870. ISSN 0021-9738. doi:10.1172/jci31669.
  30. Locked-in Syndrome (LiS): What It Is, Causes & Symptoms (англ.). Cleveland Clinic. Дата обращения: 15 февраля 2025.
  31. Thomas M. Johnson, Cynthia S. Romero, Austin T. Smith. Locked-in syndrome responding to thrombolytic therapy // The American Journal of Emergency Medicine. — 2018-10. Т. 36, вып. 10. С. 1928.e5–1928.e7. ISSN 0735-6757. doi:10.1016/j.ajem.2018.07.003.
  32. Monique T. Barakat, Subhas Banerjee, Timothy Angelotti. Anesthetic Considerations for Patients with Locked-In Syndrome Undergoing Endoscopic Procedures (англ.) // American Journal of Case Reports. — 2024-01-05. Vol. 25. ISSN 1941-5923. doi:10.12659/AJCR.942906.
  33. Jennifer E. Doble, Andrew J. Haig, Christopher Anderson, Richard Katz. Impairment, Activity, Participation, Life Satisfaction, and Survival in Persons With Locked-In Syndrome for Over a Decade // Journal of Head Trauma Rehabilitation. — 2003-09. Т. 18, вып. 5. С. 435–444. ISSN 0885-9701. doi:10.1097/00001199-200309000-00005.
  34. Mariska J. Vansteensel, Mariana P. Branco, Sacha Leinders, Zac F. Freudenburg, Anouck Schippers, Simon H. Geukes, Michael A. Gaytant, Peter H. Gosselaar, Erik J. Aarnoutse, Nick F. Ramsey. Methodological Recommendations for Studies on the Daily Life Implementation of Implantable Communication-Brain–Computer Interfaces for Individuals With Locked-in Syndrome (англ.) // Neurorehabilitation and Neural Repair. — 2022-11. Vol. 36, iss. 10-11. P. 666–677. ISSN 1545-9683. doi:10.1177/15459683221125788.
  35. 1 2 Jennifer E. Doble, Andrew J. Haig, Christopher Anderson, Richard Katz. Impairment, Activity, Participation, Life Satisfaction, and Survival in Persons With Locked-In Syndrome for Over a Decade: Follow-Up on a Previously Reported Cohort (англ.) // Journal of Head Trauma Rehabilitation. — 2003-09. Vol. 18, iss. 5. P. 435–444. ISSN 0885-9701. doi:10.1097/00001199-200309000-00005.
  36. 1 2 3 J R Patterson, M Grabois. Locked-in syndrome: a review of 139 cases. // Stroke. — 1986-07. Т. 17, вып. 4. С. 758–764. ISSN 0039-2499. doi:10.1161/01.str.17.4.758.
  37. Taras Halan, Juan Fernando Ortiz, Dinesh Reddy, Abbas Altamimi, Abimbola O Ajibowo, Stephanie P Fabara. Locked-In Syndrome: A Systematic Review of Long-Term Management and Prognosis (англ.) // Cureus. — 2021-07-29. ISSN 2168-8184. doi:10.7759/cureus.16727.
  38. Emanuela Casanova, Rosa E Lazzari, Sergio Lotta, Anna Mazzucchi. Locked-in syndrome: improvement in the prognosis after an early intensive multidisciplinary rehabilitation11No commercial party having a direct financial interest in the results of the research supporting this article has or will confer a benefit upon the author(s) or upon any organization with which the author(s) is/are associated. (англ.) // Archives of Physical Medicine and Rehabilitation. — 2003-06. Vol. 84, iss. 6. P. 862–867. doi:10.1016/S0003-9993(03)00008-X.
  39. Laura Schnetzer, Mark McCoy, Jürgen Bergmann, Alexander Kunz, Stefan Leis, Eugen Trinka. Locked-in syndrome revisited (англ.) // Therapeutic Advances in Neurological Disorders. — 2023-01. Vol. 16. ISSN 1756-2864. doi:10.1177/17562864231160873.
  40. 1 2 H.A.G. Teive, M.G. Ferreira, L. Coutinho, C.H.F. Camargo, R.P. Munhoz, O. Walusinski. The locked-in syndrome: The early French descriptions (англ.) // Revue Neurologique. — 2022-12. Vol. 178, iss. 10. P. 996–998. doi:10.1016/j.neurol.2022.03.017.
  41. Joost Haan. Locked-in // Progress in Brain Research. — Elsevier, 2013. С. 19–34.
  42. Jerome B. Posner, Clifford B. Saper, Nicholas D. Schiff, Fred Plum. Structural Causes of Stupor and Coma // Plum and Posner's Diagnosis of Stupor and Coma. — Oxford University Press, 2008-02. С. 88–118.
  43. Stephen T. Casper. A History of the Locked-In-Syndrome: Ethics in the Making of Neurological Consciousness, 1880-Present (англ.) // Neuroethics. — 2020-07. Vol. 13, iss. 2. P. 145–161. ISSN 1874-5490. doi:10.1007/s12152-018-9374-7.
  44. Andrew J. Haig. The locked-in syndrome // Journal of General Internal Medicine. — 1998-08. Т. 13, вып. 8. С. 575–576. ISSN 0884-8734. doi:10.1007/s11606-998-0023-4.
  45. Голубев В.Л., Вейн А.М. Неврологические синдромы. Руководство для врачей. — С.: «Эйдос Медиа», 2002. — С. 570-571. — 832 с. — ISBN 5-94501-008-1.

Литература