Очаг Гона
| Очаг Гона | |
|---|---|
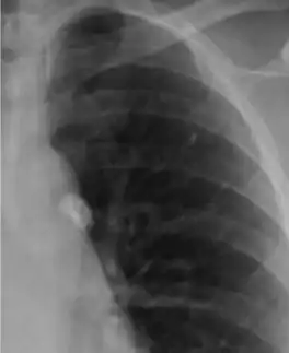
![]() Рентген грудной клетки со следами очага Гона |
Очаг Гона (англ. Ghon's focus, Ghon focus) — очаг первичного поражения лёгких при туберкулёзе, обычно в рамках первичного туберкулёзного комплекса (то есть в сочетании с регионарной лимфаденопатией). Первоначально представляет собой небольшой (размером от булавочной головки до плода вишни) очаг гранулёматозного воспаления, который можно обнаружить на рентгенограмме грудной клетки[1]. В большинстве случаев зарубцовывается, оставляя после себя капсулу из соединительной ткани, в которой впоследствии откладываются соли кальция, но в некоторых случаях может развиться в полноценный туберкулёз, особенно если у пациента ослабленный иммунитет[1].
Первым характеристику данного очага в 1912 году дал патологоанатом профессор Антон Гон[2].
В активном состоянии чаще всего встречается у детей. О распространённости этого вида поражения свидетельствует тот факт, что зажившие очаги Гона встречаются у 90—97 % всех трупов взрослых людей[2].
