Некариозные поражения зубов
| Некариозные поражения зубов | |
|---|---|
![]() II группы (эрозия зубов) |
Некарио́зные пораже́ния зубо́в (или дестру́кция твёрдых тканей зубов некарио́зного происхождения) — суммирующий термин, который объединяет большую группу болезней (и повреждений) твёрдых тканей зубов (эмали, дентина, цемента), имеющих различные клинические проявления, возникновение и развитие которых, однако, непосредственно не связано с микробным фактором, в отличие от кариозного поражения.[1]:9
Классификация
Все некариозные поражения зубов принято разделять в соответствии с их сроком формирования на две большие группы:
I. Поражения зубов, возникшие в период фолликулярного развития их тканей (до прорезывания зубов):
- 1.1. Гипоплазия тканей зубов.
- 1.2. Гиперплазия тканей зубов.
- 1.3. Флюороз зубов.
- 1.4. Наследственные нарушения развития зубов.
- 1.5. Медикаментозные нарушения развития тканей зубов.
II. Поражения зубов, возникшие после их прорезывания:
- 1.1. Патологическая (повышенная) стираемость зубов.
- 1.2. Клиновидный дефект зубов.
- 1.3. Эрозия зубов.
- 1.4. Медикаментозные и токсические повреждения тканей зубов.
- 1.5. Травма зубов.
- 1.6. Гиперестезия (повышенная чувствительность) зубов.
При том следует понимать, что само по себе понятие «некариозные поражения зубов» и приведённая классификация используется только в отечественной литературе. В зарубежной науке и стоматологической практике каждая форма проявления болезни определяется как самостоятельная нозологическая единица. Согласно Международной классификации болезней (МКБ – 10) эта патология твёрдых тканей зубов соответствует:
Классу XI – Болезни органов пищеварения,
Блоку К00–К14 – Болезни полости рта, слюнных желёз и челюстей, однако далее каждый диагноз имеет свой отдельный код (рубрику).
Распространённость и причины развития
Среди учёных и медиков нет единого взгляда на возникновение и развитие большинства некариозных поражений зубов (как I, так и II группы).
Распространённость некариозных поражений зубов первой группы в популяции, как правило, невелика и по данным разных авторов составляет от 5 до 14%.[2]:45 Они формируются у детей в пренатальном и младенческом периоде на стадии закладки и развития зачатков зубов (зубных фолликулов), то есть до прорезывания зубов в полость рта. Эти поражения являются результатом нарушения дифференцировки и формирования твёрдых тканей зубов, либо их минерализации.[3]:199-200
Часто сочетаются все перечисленные этапы, к примеру, вследствие воздействия неблагоприятных факторов. Такими факторами служат некоторые генетические нарушения, различные физические и химические агенты (превышающие нормативные пределы как по силе, так и длительности действия), оказывающие иногда прямое, либо опосредованное влияние на развивающийся организм ребёнка и в частности, формирующийся в этот период времени зубной зачаток. Патогенными могут стать лекарственные препараты (в первую очередь антибиотики и гормоны, а также тяжёлые металлы), которые попадают в организм матери во время беременности, или ребёнка в первые годы жизни. Примером тому служит: нарушение минерализации эмали, обусловленное гипервитаминозом D, либо его недостатком (рахит); флюороз зубов (где токсическим фактором выступает фтор); а также так называемые «тетрациклиновые зубы» (нарушение развития эмали которых связано с приёмом тетрациклина).[4]:18-21
Патогенез
При воздействии повреждающих агентов может нарушаться как амелогенез, так и дентиногенез, с формированием различных тканевых дисплазий (гипоплазия, гиперплазия),а также могут нарушаться процессы минерализации тканей зубов, что приводит к изменению минеральной структуры и плотности тканей в разной степени выраженности (от гипоминерализации до гиперминерализации).[3]:200
Дисплазия и гипоплазия
Дисплазия (лат. dysplasia) — это нарушение созревания (дифференцировки) твёрдых тканей зуба, обусловленное различными патогенными факторами, в том числе генетическими. Она наблюдается при таких наследственных заболеваниях как болезнь Стейнтона—Капдепона, несовершенный амелогенез и несовершенный дентиногенез, а также возникает под воздействием других эндогенных факторов при рахите, флюорозе зубов, является одним из факторов формирования зубов Гетчинсона, Фурнье, Пфлюгера, Тёрнера.[4]:23-24
Гипоплазия (лат. hypoplasia) — это недоразвитие твёрдых тканей зуба, порок развития которых проявляется количественными и качественными изменениями.[5]:38 При гипоплазии происходит нарушение формирования белковой матрицы зуба и процессов минерализации. Причины этого процесса лежат как в области поломки генов и передаются по наследству, так и в сфере внешних факторов, а, следовательно, являются приобретёнными (внутриутробные инфекции и токсические состояния, нарушение метаболизма, гормональные расстройства, действие лекарственных препаратов в пренатальном и постнатальном периодах).[4]:21-23 Проявляться гипоплазия может на всех зубах системно – системная гипоплазия, на группе зубов – очаговая гипоплазия, а также локально на отдельных зубах (один, два зуба) – местная гипоплазия. В процесс вовлекается либо весь зуб (при системной гипоплазии зубов), либо отдельные его ткани – эмаль, дентин и цемент (чаще при очаговой и особенно местной гипоплазии). Гипоплазии подвержены как молочные, так и постоянные зубы. Клинические проявления гипоплазии могут быть в виде пятен (пятнистая форма), чашеобразных углублений различной величины и формы (эрозивная форма), линейных бороздок разной глубины и ширины, опоясывающих зуб параллельно режущему краю (бороздчатая форма).[5]:42 Кроме того наблюдается сочетание различных проявлений гипоплазии как на разных зубах, так и в пределах одного зуба (смешанная форма).[2]:46-47
Расположение гипоплазированного участка на зубе позволяет судить о периоде онтогенеза, в который произошло воздействие повреждающего фактора, а ширина участка поражения указывает на длительность действия этого фактора. Если поражены молочные зубы и режущая часть центральных постоянных резцов, то нарушения приходятся на пренатальный период. Воздействие патогена в первые полгода жизни ребёнка повреждает молочные моляры, первые постоянные зубы и бугры шестых зубов. При локализации очагов гипоплазии в области резцов, клыков и бугров первых моляров, а также боковых резцах нижней челюсти, патогенное воздействие следует искать в период от 6 мес. до 1 года жизни ребёнка. В возрасте 1–2 года поражается пришеечная область фронтальных зубов и жевательная поверхность премоляров. Далее до 4 лет происходит поражение коронок премоляров и второго моляра.[5]:45,80
Гиперпластические процессы
Гиперплазия (лат. hyperplasia) – избыточное образование твёрдых тканей зуба неопухолевого характера. Она может быть наследственной или приобретённой. Примером гиперплазии дентина и эмали служат эмалевые капли или «эмалевые жемчужины». Это образования округлой формы, размером от 1 до 4 мм в диаметре, состоят либо из эмали, либо дентина, покрытого эмалью. Иногда внутри такой капли находится полость, заполненная пульпой. Структура тканей таких капель не является изменённой. Располагаться они могут снаружи, в области шейки зуба или бифуркации, либо внутри – в толще тканей или в полости зуба. Встречаются примерно у 1,5-2,0% населения.[2]:49
Гиперцементоз – один из видов гиперплазии, избыточное отложение цемента зуба. Процесс может быть локальным, диффузным и генерализованным. Локальный гиперцементоз характеризуется отложением цемента местно, в какой либо части корня зуба (чаще в бифуркации или у верхушки). При диффузной форме усиленное отложение цемента отмечается по всей поверхности корня одного или нескольких зубов, что часто приводит к сращению корня с костной альвеолой. Диффузный гиперцементоз встречается в 2,5 раза чаще в зубах нижней челюсти, особенно в премолярах и молярах.[3]:108-109 Генерализованный гиперцементоз характеризуется избыточным отложением цемента во всех зубах. Эта форма гиперплазии цемента часто является наследственной.
Наследственные поражения
К наследственным нарушениям развития зубов относятся: болезнь Стейнтона—Капдепона (синдром Стейнтона – Капдепона, дисплазия Капдепона, бескоронковые зубы, наследственное потемнение зубов и др.), несовершенный амелогенез (коричневая дистрофия эмали), несовершенный дентиногенез (несовершенное костеобразование, внутриутробный рахит, периостальная дистрофия, наследственная гипоплазия мезенхимы, болезнь «стеклянных мужчин»), мраморная болезнь, гипофосфатезия.[5]:87-99. В основе этих заболеваний лежат наследственные нарушения амелогенеза и дентиногенеза, часто в сочетании с несовершенным остеогенезом, связанные с дефектами генов коллагена и коллаген-ассоциированных белков. Различные клинические проявления определяются совокупностью дефектов коллагенов разных типов (1-й, 2-й, 5-й тип) связанных с генными нарушениями в разных хромосомах (22-я, 4-я, 4q хромосома), они генетически идентифицируются и выделяются в отдельные коллагенопатии и нозологические формы.
В зарубежной литературе такие генетически обусловленные нарушения известны как системная дисплазия соединительной ткани марфаноподобного типа или MASS-фенотип. MASS-фенотип включает в себя множество аномалий развития и других органов и систем производных мезенхимы.[4]:20-21.
Для всех наследственных дисплазий тканей зубов характерным является изменение цвета зубов, истончение эмали, через которую просвечивает дентин, ослабление соединения дентина с эмалью, в результате чего эмаль легко скалывается.[4]:22. Также отмечается снижение минерализации зубов и повышение их стираемости.[2]:56-58. Часто имеет место изменение величины и формы зубов. Во многих случаях зубы быстро разрушаются и могут выпадать.[5]:88-91.
Некариозные поражения второй группы
Некариозные поражения зубов второй группы развиваются после прорезывания зубов, когда естественные процессы их формирования и минерализации завершены. Общая распространённость этих заболеваний весьма высока, к тому же имеется тенденция к её увеличению,[6] особенно таких форм, как клиновидные дефекты, эрозии эмали, патологическая стираемость, гиперестезия зубов, что по данным разных авторов составляет от 55 до 75%.[1]:11
Существуют различия в распространённости этой патологии среди женского и мужского контингента, а также у лиц разной возрастной категории. Значительно чаще (в 2 – 3 раза) эрозии эмали, клиновидные дефекты, патологическая стираемость и гиперестезия зубов встречаются у женщин, чем у мужчин. Эти заболевания превалируют у пациенток после 40 – 45 лет. Однако по последним данным возрастной аспект пациентов с этой группой поражений резко снижается, и у молодых людей (преимущественно женщин), начиная с 20 лет, распространённость некариозных поражений возрастает.[1]:12
Патогенез некариозных поражений зубов второй группы характеризуется убылью (разрушением, деструкцией) твёрдых тканей зубов, без участия микрофлоры в этом процессе.
Причины возникновения медикаментозных и токсических повреждений, а также травмы зубов очевидны и говорят сами за себя. Некоторые лекарственные препараты, в том числе содержащие тяжёлые металлы (висмут и др.), могут встраиваться в структуру твёрдых тканей зубов и вызывать их окрашивание (изменение цвета). Агрессивные химические вещества (кислоты, щёлочи), а также пары́ этих соединений при непосредственном контакте с зубами разрушают эмаль, вызывая деминерализацию и некроз тканей.[5]:128-129.
Механическая травма
Механическая травма зуба возникает вследствие действия внешних факторов. Она может быть острой (при ударе или падении) или хронической (при слабом, но длительном воздействии).[2]:95-96. Частой причиной хронической травмы зубов является травматическая окклюзия, супраконтакты, завышение прикуса не точно поставленными зубными пломбами, а также ортопедическими и ортодонтическими конструкциями.[7]:220-221.
Такой же причиной могут служить вредные привычки, заключающиеся в систематическом употреблении одной пары зубов-антагонистов (противоположных) для раскусывания семечек или орехов, покусывания карандаша и других твёрдых предметов, удержании зубами курительного мундштука или трубки. Некоторые особенности профессиональной деятельности стеклодувов, музыкантов (играющих на духовых инструментах), швей (перекусывающих зубами нить), художников и реставраторов (удерживающих зубами кисти) также могут приводить к хронической травме зубов.
Следствием острой травмы, как правило, является ушиб, вывих, перелом зуба (корня или коронки), либо откол части коронки зуба.[7]:407 При хронической травме чаще возникают трещины и сколы эмали, развивается травматический периодонтит, появляются дефекты твёрдых тканей зубов (истирание тканей) в месте приложения силы, которые имеют различную форму, соответственно воздействующему фактору. Так возникают типические «зубы любителя семечек» с характерными, треугольной формы дефектами, которые располагаются на режущих (жевательных) краях двух зубов антагонистов (чаще резцов). Длительное воздействие на зуб силы перпендикулярного или косого направления к его оси, приводит к постепенному смещению зуба или нескольких зубов в ту или иную сторону, что часто наблюдается при травматической окклюзии.[7]:218-219
Эрозии и клиновидный дефект
Причины же развития (этиология) эрозии, клиновидного дефекта и патологической (повышенной) стираемости зубов гораздо сложнее и до конца не ясны, что служит поводом для дискуссий среди исследователей. Существуют разные направления во взглядах учёных на причины развития этих поражений:
- Механические причины — состоят в использовании жёстких зубных щёток и высоко абразивных средств гигиены (паст и порошков),[8]:4,8 а также слишком частом (более двух раз с сутки) их применении и неправильной техники чистки зубов [9]
- Воздействие на зубы агрессивной кислой среды, возникающей при частом употреблении продуктов питания с повышенным содержанием кислот [6] (цитрусовых фруктов и соков, уксуса, газированных напитков, вина и квашеной капусты).[10];[11]:1-8.
- Есть мнение о патогенном воздействие на зубы (развитие эрозий) содержимого желудка, попадающего в полость рта при частых отрыжках, рвотах и рефлюкс-эзофагите.[12];[13] Рабочие химических предприятий также могут быть подвержены вредному влиянию вдыхаемых паров при контакте с кислотами.
- Повышенная функциональная нагрузка на зубы [14];[15], которая возникает при неправильном (аномальном) прикусе, наличие супраконтактов, бруксизм, преобладание в рационе питания слишком жёсткой пищи, либо вследствие банальной булимии.[16]
- Ряд авторов связывает возникновение некариозных поражений зубов с имеющимися у пациента различными общими заболеваниями (болезни почек, сердечно-сосудистой системы, желудочно-кишечного тракта, остеопороз[17] и др.). Однако в этих случаях ни причина, ни собственно механизм развития некариозных поражений не уточняются.
Системный подход в обосновании этиопатогенеза некариозных поражений зубов (эрозий, клиновидных дефектов, патологической стираемости и гиперестезии), их дальнейшего развития, а также полный алгоритм обследования и лечения пациенток впервые был представлен Г.Е. Соловьёвой-Савояровой в диссертации «Некариозные поражения зубов как маркеры гормонально-метаболических нарушений у женщин» (2006-2009), а затем в профильной монографии «Эстрогены и некариозные поражения зубов» (2012). Последние исследования российских учёных и медиков указывают на то, что важнейшую роль в патогенезе некариозных поражений зубов у женщин играют системные гормонально-метаболические нарушения, и в первую очередь – снижение базального уровня эстрадиола в крови.[1]:53-54.
Поражение зубов при остеопорозе
У женщин с некариозными поражениями зубов выявлено пониженное содержание ионизированного кальция и магния в крови, повышение биохимических маркёров костной резорбции, снижение показателей минеральной плотности костной ткани (по данным денситометрии).[18]:152 [19] Низкая концентрация эстрогенов в крови является ведущей патогенетической причиной развития эрозий, клиновидных дефектов и патологической стираемости зубов у женщин. В то же время женщины, имеющие эту патологию, входят в группу риска развития остеопороза. Именно вследствие этого сами некариозные поражения зубов (эрозии, клиновидные дефекты, патологическая стираемость) считаются ранними маркёрами, «сигналами тревоги» формирования остеопении и остеопороза.[1]:131
Клинические проявления
Среди некариозных поражений зубов второй группы в клинической практике наиболее часто встречаются эрозии, клиновидные дефекты и патологическая стираемость зубов. Общими и характерными проявлениями этих форм поражения зубов является убыль твёрдых тканей зубов с прогрессирующим течением заболевания, которое относится к категории хронических и имеет циклический характер развития.
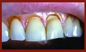
_no211.jpg)
II группы,
(эрозия зубов)
Выделяют две стадии (фазы) их клинического течения: острую (или обострения) и стабилизации (или ремиссии), которые могут иметь различную временну́ю продолжительность, но непременно одна будет сменять другую.[1]:19,28. В отличие от кариозного процесса, дно некариозных дефектов, как правило, плотное. Часто некариозные поражения сопровождаются повышенной чувствительностью (гиперестезией) твёрдых тканей зубов. Во многих случаях эти формы некариозных поражений зубов сочетаются, и у одного пациента одновременно имеет место две или все три формы поражения – эрозия, клиновидный дефект, патологическая стираемость тканей зубов.[5]:118.
Эрозия зубов — дефекты округлой, овальной, но чаще неправильной формы в твёрдых тканях зуба, как правило, расположенные на фронтальной или щёчной поверхности симметрично на одноимённых зубах.[8]:4 Преимущественно поражаются резцы верхней челюсти,[20] а также клыки и премоляры обеих челюстей. Дно эрозии, как правило, плотное, гладкое и блестящее. В начале развития эрозия чаще всего имеет вид округлого или овального дефекта на вестибулярной поверхности зуба, однако в дальнейшем происходит постепенное углубление и расширение границ эрозии, что может, в конечном счёте, привести к утрате почти всей эмали вестибулярной поверхности зуба, а также части дентина.[5]:120
Выделяют три степени поражения зубов, в зависимости от глубины вовлекаемых в процесс тканей. Так, I (первая) или начальная степень определяется поражением только поверхностных слоёв эмали, при II (второй) или средней степени в сферу патологического процесса включается уже вся толщина эмали вплоть до эмалево-дентинного соединения, а вовлечение дентина будет свидетельствовать уже о III (третьей) глубокой степени поражения. Кроме того, в соответствии с активностью протекания процесса различается две клинические стадии заболевания: период обострения и период ремиссии.[7]:130-131
Нередко эрозии зубов сочетаются с повышенным стиранием режущих краёв резцов и жевательных поверхностей премоляров и моляров. В отличие от клиновидных дефектов, последняя форма некариозных поражений зубов значительно чаще развивается у молодых людей (до 30-35 лет).
Сам по себе термин «эрозия зубов» используется преимущественно в отечественной литературе, синонимом его в зарубежной (и, особенно, англоязычной) литературе, придерживающейся версии кислотного происхождения эрозии зубов, является более узкий термин: «acid erosion».

Клиновидные дефекты — локализуются в пришеечной области зуба, первоначально они имеют форму щели, а затем V-образную или форму клина (откуда и происходит их название). Поражаться могут все зубы, но чаще клыки, премоляры и моляры. Единичные дефекты возникают редко, как правило, они появляются симметрично на одноимённых зубах. Выделяют четыре клинические стадии заболевания, переходящие от начальной к глубокой, которые характеризуются разной глубиной дефекта от 0,1мм до 5 мм и более.[5]:115
Существуют различия в терминологии клиновидного дефекта, особенно в иностранной литературе. Так, для его обозначения используются следующие термины: некариозный пришеечный дефект, пришеечный дефект неуточнённой этиологии, пришеечная эрозия, пришеечное истирание тканей, абфракция (abfraction), абразия (abrasion) пришеечной области, абразивный износ зубов в пришеечной области, истощение-абфракция, абразия-абфракция, коррозия-абфракция, коррозия напряжения (stress corrosion), откалывание или отламывание (to break away). Обширный список названий, отражающих различные варианты патогенеза, но определяющих один и тот же дефект твёрдых тканей зубов, свидетельствует о неоднозначности мнения учёных на этио-патогенез заболевания.[21]:56
патологической стираемости зубов
Патологическая (повышенная) стираемость (стирание) зубов — в отличие от физиологической стираемости зубов характеризуется более ранней и значительно выраженной потерей твёрдых тканей, которая чаще носит генерализованный характер и отмечается на всех зубах. По внешним клиническим проявлениям традиционно различают горизонтальный, вертикальный и смешанный тип стираемости зубов.[2]:72. При этом убыль тканей происходит либо в горизонтальной плоскости, тогда стираются режущие края зубов, бугры и жевательные поверхности, либо в вертикальной плоскости, и тогда убыль тканей происходит на вестибулярной поверхности зубов. Особо следует отметить, что вертикальная стираемость зубов, как самостоятельная нозологическая единица, встречается крайне редко. Чаще она сочетается с горизонтальной стираемостью, что определяется как смешанный тип стираемости, а также и с другими формами некариозных поражений зубов (эрозиями, клиновидными дефектами). Существует несколько классификаций повышенной стираемости зубов, предложенных разными авторами, но наиболее широкое применение получила классификация М.И. Грошикова (1985), согласно которой выделяют три степени стираемости зубов в зависимости от глубины вовлекаемых в процесс и убывающих (сошлифованных) тканей.[5]:108.
В англоязычной и немецкой литературе для обозначения патологической стираемости зубов используют другие термины: истирание зубов (англ. attrition), сошлифовывание или износ зубов (англ. abrasion, demastikation). Часто повышенному стиранию зубов способствуют: травматический прикус (в том числе прямой прикус), парафункции с повышением нагрузки на зубы (бруксизм), длительное и частое жевание очень жёсткой пищи или других субстанций. Местное, локальное стирание двух или нескольких зубов происходит вследствие повышенной, систематической нагрузки на эти зубы, при этом убыль тканей соответствует характеру повреждающего агента (вещества). Такой механизм воздействия следует отнести к хронической травме. Так происходят дефекты тканей зубов при частом закусывании и удержании зубами гвоздей, карандашей и других твёрдых предметов, возникают узуры на центральных зубах при перекусывании нити, раскусывании семечек и орешков.[5]:106.
прямого прикуса и бруксизма.
Как следствие —
повышенная стираемость зубов
Гиперестезия (повышенная чувствительность) зубов (синонимы: чувствительный дентин, англ. dentin sensitive)
Повышенная чувствительность твёрдых тканей зубов (гиперестезия) – это болевые ощущения кратковременного характера в ответ на действие различных раздражителей (химических, температурных, тактильных). Интенсивность болевых реакций может варьировать от лёгкой чувствительности (дискомфорта), до сильной боли, затрудняющей приём пищи и чистку зубов.[22]:3.
Наиболее часто это явление наблюдается при патологии твёрдых тканей зубов некариозного происхождения, но также при кариесе и болезнях пародонта.[5]:146. Распространённость этой патологии велика, и за последние двадцать лет, по данным разных авторов (как отечественных, так и зарубежных [6], увеличилась на 35 – 42%, в целом охватывая от 57% до 68% взрослого населения.[22]:4 При этом у женщин гиперестезия зубов встречается значительно чаще, чем у мужчин. Считается, что повышенная чувствительность зубов обусловлена нарушением целостности структуры зуба. Эти нарушения могут быть обусловлены как кариозным, так и некариозными процессами, механической обработкой тканей зубов или их деминерализацией.[5]:149-150 Механизм возникновения боли до конца неясен, на этот счёт существует несколько предположений. Наибольшее распространение на данный момент имеют три теории: это реце́пторная теория, по которой боль возникает в ответ на раздражение нервных окончаний, находящихся в дентинных трубочках и передающих сигнал в пульпу зуба. Другая теория – нервно-рефлекторная, механизм которой лежит в нарушении ионообменных процессов в тканях и повышенном восприятии раздражений рецепторным аппаратом дентина.[22]:9. Третья, наиболее воспринятая теория — это гидродинамическая, согласно которой возникновение боли происходит в результате активизации механорецепторов нервных волокон вследствие изменения циркуляции дентинной жидкости в канальцах, которое обусловлено внешними факторами.[1]:77.
Гиперестезию твёрдых тканей зубов принято разделять (классифицировать):
по распространению – на ограниченную форму, когда болевые ощущения возникают в одном или нескольких зубах, и генерализованную (системную) форму, при которой чувствительными становятся большинство или даже все зубы;
по происхождению – на связанную с потерей твёрдых тканей зубов в результате препарирования, кариеса, некариозных процессов или других причин, и не связанную с потерей твёрдых тканей зубов, возникающую в интактных зубах в период общих заболеваний организма, при нервно-психических и эндокринных нарушениях, а также при обнажении шеек и корней зубов при заболеваниях пародонта;[5]:152
по клиническому течению – различают три степени гиперестезии зубов:
- I степень, когда ткани зуба реагируют на температурные раздражители (тепло, холод),
- II степень – реакция на температурные и химические раздражители (сладкое, кислое, солёное),
- III степень, при которой зуб реагирует на все виды раздражителей, включая тактильные.[22]:10
Наиболее часто гиперестезия сопутствует клиновидным дефектам, повышенной стираемости и эрозиям зубов. При этом степень гиперестезии характеризует активность некариозного процесса зубов, поскольку фаза обострения заболевания (клиновидного дефекта, эрозии, повышенной стираемости зубов), как правило, сопровождается усилением гиперестезии, а фаза стабилизации (ремиссии) – её снижением.
«Наличие или отсутствие гиперестезии зубов в области некариозных поражений является диагностическим критерием стадии (обострения или ремиссии) некариозного поражения и индикатором активности патологического процесса.»[1]:19.
— Соловьёва-Савоярова Г.Е., «Эстрогены и некариозные поражения зубов»
Особого внимания заслуживает появление повышенной чувствительности в интактных зубах или на участках внешне здоровых и не повреждённых зубов, поскольку впоследствии очень часто именно в этой локализации формируются эрозии, клиновидные дефекты или патологическая стираемость. Гиперестезия зубов предшествует появлению некариозных поражений и является ранним (начальным) диагностическим признаком развития некариозных поражений зубов.[1]:20
Обследование и постановка диагноза
Постановку диагноза начинают с оценки стоматологического статуса пациента, для этого проводят визуальное и инструментальное обследование полости рта, собирают анамнез. Для правильной диагностики необходимо знание набора чётких критериев, позволяющих дифференцировать одну нозологическую форму некариозных поражений от другой, а также от повреждений твёрдых тканей зубов кариозного происхождения (кариес в стадии пятна). При выявлении эрозии, клиновидных дефектов и патологической стираемости зубов важным моментом является определение стадии заболевания (обострения или ремиссии), так как лечение заболевания в разные его периоды имеет серьёзные отличия.[21]:57-58
В установлении причины заболевания первостепенное значение имеет обследование пациента и консультация его у других специалистов (гинеколога, эндокринолога, нефролога и др.)[18]:152-153 Особенно это важно при выявлении эрозий, клиновидных дефектов и повышенной стираемости зубов у женщин репродуктивного возраста.[1]:131
«Женщины, имеющие некариозные поражения зубов (эрозии, клиновидные дефекты и повышенную стираемость), входят в группу риска развития остеопороза, при этом сами некариозные поражения зубов являются видимыми маркёрами (сигналами тревоги) гормонально-метаболических нарушений в организме».[1]:131
Предлагается мультидисциплинарная программа с алгоритмом обследования и лечения женщин с различными формами некариозных поражений зубов. Программа состоит из трёх этапов.
Первый этап – стоматологический осмотр пациентки с постановкой диагноза и определением стадии заболевания. Для оценки тяжести заболевания используют индексы распространённости и интенсивности некариозных поражений зубов (ИРнп, ИИнп), а также показатель клинической выраженности некариозных поражений зубов (ПКВнп).
Второй этап – включает обследование пациентки у профильных специалистов (гинеколога, эндокринолога, терапевта и др.). Для верификации гормонально-метаболических нарушений предлагается алгоритм клинико-лабораторного обследования:
- 1) определение концентрации гормонов в крови: эстрадиола, кортизола, пролактина, ЛГ, ФСГ, ТТГ;
- 2) ультразвуковое исследование яичников с оценкой овариального резерва;
- 3) определение биохимических маркёров костной резорбции (Cross Laps в моче, кислой фосфатазы крови);
- 4) контроль минерального гомеостаза по уровню ионизированного кальция, магния и неорганических фосфатов крови;
- 5) оценка минеральной плотности костной ткани (МПК) по данным денситометрии поясничного отдела позвоночника и проксимального отдела бедра. Такое полное обследование необходимо для раннего выявления остеопении и остеопороза у женщин.
Третий этап заключается в проведении лечебных мероприятий, направленных на повышение минерализации твёрдых тканей зубов и выполнение реставрационных работ.[1]:78-79.
Профилактика и лечение
Цель профилактики – предотвращение возможного развития заболевания, либо его обострения и прогрессирования.
Цель лечения – добиться, по возможности, остановки патологического процесса, либо перевести заболевание в компенсированную стадию – стадию покоя (стабилизации или ремиссии), улучшить общее состояние всего организма, восполнить анатомическую целостность и полноценную жевательную функцию повреждённых зубов.[21]:57-58 В комплекс лечения входят местные и общие мероприятия.
Общие принципы лечения
Общее лечение всех некариозных поражений зубов направлено на повышение резистентности организма, купирования гиперестезии и укрепление твёрдых тканей зубов. С этой целью назначают препараты комплекса витаминов (С, А, Е, Вɪ, В6), а также лекарственные формы микро- и макроэлементов (Ca, Mg, Zn и др.) в сочетании с витамином D3.[1]:98-108.
Корректируют рацион питания по наполнению его продуктами с высоким содержанием необходимых витаминов и микроэлементов. Рекомендуется употреблять продукты моря и особенно морскую капусту (водоросль ламинария). Питание должно быть также сбалансированным по содержанию белков, жиров и углеводов для оптимизации обмена кальция.[1]:82-93. Женщинам с эрозиями, клиновидными дефектами и повышенной стираемостью зубов после обследования специалистами (гинекологом, эндокринологом), при необходимости, назначают терапию по нормализации гормонального фона и лечению сопутствующей патологии. Применяют различные методы стимуляции функции яичников, используют препараты, содержащие фитоэстрогены, по показаниям назначают заместительную гормональную терапию (ЗГТ). Рекомендуются продукты питания с высоким содержанием растительных эстрогенов.[1]:116-124.
Реминерализация
Местное лечение во многом зависит от нозологической формы некариозного поражения и стадии заболевания, однако, во всех случаях рекомендуется начинать с местной реминерализующей терапии.
В острой фазе заболевания и стадии обострения местная реминерализирующая терапия особенно актуальна, она значительно снижает или полностью устраняет гиперестезию твёрдых тканей зубов и повышает их минеральную плотность. Для повышения минерализации твёрдых тканей зубов применяют кальций- и фторсодержащие растворы, гели и пасты. Их используют для аппликаций на зубы при пассивном введении микроэлементов, либо как субстанции для активного введения кальция и фтора методом электрофореза.[2]:137.
Помимо препаратов кальция и фторидов для снижения гиперестезии зубов (дентина) применяют соли калия [6] (хлорид калия, цитрат калия, нитрат калия), стронция, а также оксалаты, которые оказывают десенсибилизирующее действие.[23]. Кроме того, они способствуют обтурации дентинных канальцев и стимулируют образование вторичного дентина.[22]:22-23. В последние годы успешно используется низкоуровневая лазерная терапия для купирования болевых ощущений и повышенной чувствительности тканей зубов.[6].
Пломбирование дефектов
После проведения десенсибилизирующей и реминерализирующей терапии приступают к пломбированию дефектов с восстановлением архитектоники зуба.
В остром периоде заболевания пломбирование дефектов композиционными материалами не рекомендуется. При обширных и глубоких дефектах целесообразна их временная пломбировка иономерными цементами, при этом механическая обработка тканей зубов проводится в щадящем минимальном объёме, либо не проводится вовсе. Окончательная реставрация зубов откладывается до перевода заболевания в стадию ремиссии (покоя).[21]:58
Период ремиссии заболевания является наиболее благоприятным для проведения эстетических реставрационных работ композиционными материалами. В этот период значительно снижена гиперестезия зубов, стабилизируется органический матрикс и повышается минеральная плотность тканей зубов. Однако препарирование тканей должно проводиться с минимальной механической обработкой, края дефектов препарируют до эмалево-дентинного соединения — со скосом эмали на 1 мм. по периферии поражения.[21]:58 Иономерный цемент в данный период заболевания целесообразно использовать в качестве подкладочного материала при глубоких дефектах, особенно — в пришеечной области.
Устранение перегрузки
Важным моментом в лечении некариозных поражений зубов является устранение всех факторов, ведущих к функциональной перегрузке и хронической травме зубов.[6] Необходимо выявить и провести пришлифовку супраконтактов зубов, а также пломб, коронок и других конструкций, завышающих прикус. В случаях снижения прикуса показано рациональное его повышение. При частичной адентии, травматическом прикусе и значительной потере тканей зубов рекомендовано оптимальное протезирование для обеспечения равномерной жевательной нагрузки.[21]:58-59 Такой патогенетический подход к лечению некариозных поражений зубов значительно тормозит, а в некоторых случаях и предотвращает дальнейшее развитие заболевания, способствует надёжному функционированию реставрационных работ и в целом улучшает качество жизни пациента.
Имплантация
Имплантация может быть наилучшим решением не только при потере зубов, но и при сочетании некариозных поражений с остеопорозом. Так, в исследовании Медицинской Стоматологической Школы Университета Кейс Вестерн Резерв было показано, что страдающие остеопорозом женщины, которым были установлены зубные импланты (64 чел), сообщили о более высоком удовлетворении качеством жизни по сравнению с теми, кому были установлены протезы на коронках (60 чел), вставная челюсть (47 чел), или оставлены без коррекции (66 случаев). Другое исследование сообщает о минимальном риске выпадения имплантов у пациентов с остеопорозом на лечении бифосфонатами [24]
Примечания
- 1 2 3 4 5 6 7 8 9 10 11 12 13 14 15 Соловьёва-Савоярова Г.Е., Дрожжина В.А. «Эстрогены и некариозные поражения зубов» / Силин А.В.. — СПб.: Издательство СЗГМУ им. И.И. Мечникова, 2012. — 140 с. — 700 экз. — ISBN 978-5-89588-049-4.
- 1 2 3 4 5 6 7 Фёдоров Ю.А., Дрожжина В.А. «Клиника, диагностика и лечение некариозных поражений зубов».— М.: Научно-практический журнал «Новое в стоматологии», 1997, №10 (60) спец. выпуск.— 146 с.
- 1 2 3 Быков В.Л. «Гистология и эмбриология органов полости рта человека». Учебное пособие. — СПб.: Специальная литература, 1999. ISBN 5-86457-089-3 — 248 с.
- 1 2 3 4 5 Чурилов Л.П., Дубова М.А., Каспина А.И., Строев Ю.И., Сурдина Э.Д., Утехин В.И., Чурилова Н.И. «Механизмы развития стоматологических заболеваний». Учебное пособие / под ред. Л.П.Чурилова. — СПб.: «ЭЛБИ-СПб», 2006. — 534 с. — ISBN 5-9761-0001-5, ISBN 5-9761-00001-5 (ошибоч.)
- 1 2 3 4 5 6 7 8 9 10 11 12 13 14 Грошиков М.И. «Некариозные поражения тканей зуба». — М.: Медицина, 1985. — 176 с.
- 1 2 3 4 5 6 Irwin CR, McCusker P "Prevalence of dentine hypersensitivity in a general dental population". — J. Ir. Dent. Assoc., 1997, Vol. 43, №1. —7-9p.
- 1 2 3 4 «Стоматология». Учебник для медицинских вузов и последипломной подготовки специалистов / под ред. В.А.Козлова. — СПб.: «СпецЛит», 2003. ISBN 5-299-00235-1 — 477 с.
- 1 2 Боровский Е.В., Леус П.А., Лебедева Г.К. «Некариозные поражения зубов, клиника и лечение» (методические рекомендации).— Москва, 1978.— 16 с.
- ↑ James B., J. William Robbins, Richard S. Schwartz. "Fundamentals of Operative Dentistry: A Contemporary Approach." —J. Cont. Dent. Pract., Summit, 2 edit. —Illinois, Quintessence Publishing Co, Inc., 2001. ISBN 0-86715-382-2.
- ↑ Kramer E. «Grundlagen der Zahngesundheitsvorsorge». —Prophylaxefibel, Deutscher Ärzteverlag, 2004, ISBN 3934280668. —s. 69.
- ↑ Lussi A. «Dental erosion: from diagnosis to therapy». —Monogr. Oral Sci. Basel, Karger, 2006, Vol. 20. — p. 219 — ISBN 9783805580977
- ↑ Pace F, Pallotta S, Tonini M, Vakil N, Bianchi Porro G. «Systematic review: gastro-oesophageal reflux disease and dental lesions». — Aliment. Pharmacol. Ther., 27, 2008. — 1179–1186p.
- ↑ Ali DA, Brown RS, Rodriguez LO, Moody EL, Nasr MF. «Dental erosion caused by silent gastroesophageal reflux disease». — J. Am. Den.t Assoc., 2002, Vol.133, № 6, —734–737р.
- ↑ Grippo JO. Abfraction: a new classification of hard tissue lesions of teeth». —J. Esth. Dent, 1991, №3. —14-18p.
- ↑ Hayman HO, Sturdevant JR, Bayne S, Wilder AD, Sluder TB, Brunson WD. «Examining tooth flexure effects». —J. Am Dent Assoc, 1991, Vol. 122. — 41-47p.
- ↑ Lee WC, Eakle WS. «Possible role of tensile stress in the etiology of cervical erosive lesions of teeth». — J. Prosthet. Dent., 1984, Vol. 52, № 3, p.374-380.
- ↑ Taguchi A. et al. Oral signs as indicators of possible osteoporosis in elderly women //Oral Surgery, Oral Medicine, Oral Pathology, Oral Radiology, and Endodontology. – 1995. – Т. 80. – №. 5. – С. 612-616.
- 1 2 Соловьёва-Савоярова Г.Е., Силин А.В., Дрожжина В.А. Некариозные поражения зубов у женщин как проявление остеопении и остеопороза. Материалы конференции. XVIII Международная конференция челюстно-лицевых хирургов и стоматологов «Новые технологии в стоматологии». — СПб.: Министерства здравоохранения и соц. Развития РФ, 2013. — 152-153 с.
- ↑ Nicopoulou‐Karayianni K. et al. Tooth loss and osteoporosis: the OSTEODENT Study //Journal of clinical periodontology. – 2009. – Т. 36. – №. 3. – С. 190-197.
- ↑ Rees JS, Hammadeh M, Jagger DC. «Abfraction lesion formation in maxillary incisors, canines and premolars: A finite element study». — Eur. J. Oral. Sci., 2003, Vol. 111, p.149-154.
- 1 2 3 4 5 6 Соловьёва-Савоярова Г.Е., Дрожжина В.А., Силин А.В. Некариозные поражения зубов, этиопатогенетический подход к их реконструкции. Материалы IX научно-практической конференции «Современные методы диагностики, лечения и профилактики стоматологических заболеваний. Эндодонтия и реставрации. — СПб.: СПбИНСТОМ, 2012. — С. 55-59. — 121 с. — ISBN 978-5-88711-329-6.
- 1 2 3 4 5 Фёдоров Ю.А., Туманова С.А., Леонова Е.В., Рубежова Н.В., Киброцашвили И.А., Абрамова Н.Е. «Повышенная чувствительность зубов. Клиническая картина, диагностика и лечение».— СПб.: СПбМАПО, 2010.— 56 с.
- ↑ Orchardson R, Gillam DG «The efficacy of potassium salts as agents for treating dentin hypersensitivity».— Division of Neuroscience and Biomedical Systems, Institute of Biomedical and Life Sciences, University of Glasgow, J. Orofac Pain, 2000, Vol.14, №1. —9-19p.
- ↑ Al-Sabbagh M. et al. Osteoporosis and Bisphosphonate-Related Osteonecrosis in a Dental School Implant Patient Population //Implant dentistry. – 2015. – Т. 24. – №. 3. – С. 328-332. Дата обращения: 16 января 2016. Архивировано 16 октября 2015 года.
Литература
- Беляков Ю.А. «Зубочелюстная система при эндокринных заболеваниях». — М.: Медицина, 1983. — 208 с.
- Боровский Е.В., Леус П.А., Лебедева Г.К. «Некариозные поражения зубов, клиника и лечение», (методические рекомендации). — М., 1978.— 16 с.
- Быков В.Л. «Гистология и эмбриология органов полости рта человека». Учебное пособие. — СПб.: Специальная литература, 1999. — 247 с.
- Грошиков М.И. «Некариозные поражения тканей зуба». — М.: Медицина, 1985. — 176 с.
- Олейник Е.А. Результаты исследования твердых тканей зубов у лиц с аномалиями структуры твёрдых тканей зубов. Стоматология детского возраста и профилактика. — 2008. — № 1

и некариозные поражения зубов»
(обложка книги)
- Патрикеев В.К., Клинические и электронно-микроскопические исследования твёрдых тканей зубов при некариозных поражениях. — М., 1978.
- Соловьёва-Савоярова Г.Е., Дрожжина В.А. «Эстрогены и некариозные поражения зубов». — СПб., Издательство СЗГМУ им. И.И. Мечникова, 2012. — 140 с.
- Соловьёва-Савоярова Г.Е., Дрожжина В.А., Силин А.В. «Некариозные поражения зубов, этиопатогенетический подход к их реконструкции». Материалы IX научно-практической конференции «Современные методы диагностики, лечения и профилактики стоматологических заболеваний. Эндодонтия и реставрации. — СПб., СПбИНСТОМ, 2012, — 121 с.
- Соловьёва-Савоярова Г.Е., Силин А.В., Дрожжина В.А. «Некариозные поражения зубов у женщин как проявление остеопении и остеопороза». Материалы конференции. XVIII Международная конференция челюстно-лицевых хирургов и стоматологов «Новые технологии в стоматологии». — СПб., издательство Министерства здравоохранения и соц. Развития РФ. — 188 с.
- «Стоматология». Учебник для медицинских вузов и последипломной подготовки специалистов / под ред. В.А.Козлова. — СПб.: «СпецЛит», 2003. — 478 с.
- Фёдоров Ю.А., Дрожжина В.А. «Клиника, диагностика и лечение некариозных поражений зубов». — М.: Научно-практический журнал «Новое в стоматологии», 1997, №10 (60) спец. выпуск. — 146 с.
- Фёдоров Ю.А., Туманова С.А., Леонова Е.В., Рубежова Н.В., Киброцашвили И.А., Абрамова Н.Е. «Повышенная чувствительность зубов. Клиническая картина, диагностика и лечение».— СПб.: СПбМАПО, 2010.— 56 с.
- Чурилов Л.П., Дубова М.А., Каспина А.И., Строев Ю.И., Сурдина Э.Д., Утехин В.И., Чурилова Н.И. «Механизмы развития стоматологических заболеваний». Учебное пособие / под ред. Л.П.Чурилова. — СПб.: «ЭЛБИ-СПб», 2006. —534 с.
- Ali DA, Brown RS, Rodriguez LO, Moody EL, Nasr MF. «Dental erosion caused by silent gastroesophageal reflux disease». — J. Am. Den.t Assoc., 2002, Vol.133, № 6.
- Grippo JO. «Abfraction: a new classification of hard tissue lesions of teeth». — J. Esth. Dent, 1991, №3.
- Hayman H.O., Sturdevant J.R., Bayne S., Wilder A.D., Sluder T.B., Brunson W.D. «Examining tooth flexure effects». — J. Am Dent Assoc, 1991, Vol. 122.
- Irwin C.R., McCusker P "Prevalence of dentine hypersensitivity in a general dental population". — J. Ir. Dent. Assoc., 1997, Vol. 43, №1.
- James B., J. William Robbins, Richard S. Schwartz. "Fundamentals of Operative Dentistry: A Contemporary Approach." — J. Cont. Dent. Pract., Summit, 2 edit. — Illinois, Quintessence Publishing Co, Inc., 2001.
- Kramer E. «Grundlagen der Zahngesundheitsvorsorge». — Prophylaxefibel, Deutscher Ärzteverlag, 2004, ISBN 3934280668.
- Lee W.C., Eakle W.S. «Possible role of tensile stress in the etiology of cervical erosive lesions of teeth». — J. Prosthet. Dent., 1984, Vol. 52, № 3.
- Lussi A. «Dental erosion: from diagnosis to therapy». — Monogr. Oral Sci. Basel, Karger, 2006, Vol. 20.
- Orchardson R, Gillam D.G. «The efficacy of potassium salts as agents for treating dentin hypersensitivity». — Division of Neuroscience and Biomedical Systems, Institute of Biomedical and Life Sciences, University of Glasgow, J. Orofac Pain, 2000, Vol.14, №1.
- Pace F., Pallotta S., Tonini M., Vakil N., Bianchi Porro G. «Systematic review: gastro-oesophageal reflux disease and dental lesions». — Aliment. Pharmacol. Ther., 27, 2008.
- Rees J.S., Hammadeh M, Jagger D.C. «Abfraction lesion formation in maxillary incisors, canines and premolars: A finite element study». — Eur. J. Oral. Sci., 2003, Vol. 111.