Молочные зубы
| Молочные зубы | |
|---|---|
| лат. dentes decidui | |
![]() Детский череп, постоянные зубы заменяют молочные. | |
![]() Ротовая полость ребёнка семи лет: слева — молочный зуб, в центре — лунка выпавшего молочного зуба, справа — постоянный зуб. | |
| Каталоги | |
Моло́чные зу́бы — первый комплект зубов у людей и многих других млекопитающих.
Процесс роста
Молочные зубы у людей прорезываются после рождения в определённой последовательности. Одноимённые зубы на каждой половине челюсти прорезываются одновременно. Нижние зубы обычно прорезываются раньше верхних.
Молочный прикус делят на два периода. В первом периоде (с момента формирования до 3,5 года) зубы расположены плотно, без промежутков, стёртость зубов незаметна, прикус ортогнатический в силу отставания роста нижней челюсти. Во втором периоде (от 3,5 года до 6 лет) в процессе роста челюстей формируются физиологические промежутки между зубами (диастемы или тремы), происходит переход от ортогнатического прикуса к прямому, появляются признаки значительной стёртости зубов.
Зубная формула


У человека прорезываются 20 молочных зубов: по 10 на верхней и нижней челюстях, по 5 на каждой половине челюсти (два резца, клык и два моляра).
Схема прорезывания и выпадения молочных зубов:
Верхняя челюсть:
| Название зуба | Прорезывание, мес. | Выпадение, лет |
|---|---|---|
| Центральные резцы | 8-12 | 6-7 |
| Боковые резцы | 9-13 | 7-8 |
| Клыки | 16-22 | 10-12 |
| Моляры | 25-33 | 10-12 |
Нижняя челюсть
| Название зуба | Прорезывание, мес | Выпадение, лет |
|---|---|---|
| Центральные резцы | 6-10 | 6-7 |
| Боковые резцы | 10-16 | 7-8 |
| Клыки | 17-23 | 9-12 |
| Моляры | 23-31 | 10-12 |
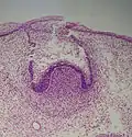
Эмалевый орган
Микропрепарат: Стадия шапки
Микропрепарат: Начало стадии колокола
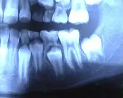
Смена зубов
Период сохранения молочных зубов и прорезывания постоянных называют периодом сменного прикуса — после выпадения молочного зуба до прорезывания постоянного обычно проходит 3-4 месяца. В дальнейшем последовательность смены зубов примерно соответствует прорезыванию молочных зубов. В возрасте 11 лет прорезываются вторые моляры. К 12-13 годам формируется постоянный прикус. Третьи моляры (зубы мудрости) прорезываются в возрасте 17—25 лет или позже либо вообще не прорезываются. У девочек прорезывание зубов происходит несколько раньше, чем у мальчиков.
Оценка физического развития по «зубному возрасту»
См. также
Примечания
Литература
- Догель А. С.,. Эмалевый орган // Энциклопедический словарь Брокгауза и Ефрона : в 86 т. (82 т. и 4 доп.). — СПб., 1890—1907.

