Sarcina ventriculi
| Sarcina ventriculi | ||||||||||
|---|---|---|---|---|---|---|---|---|---|---|
| ||||||||||
| Научная классификация | ||||||||||
|
Домен: Бактерии Тип: Класс: Порядок: Clostridiales Семейство: Clostridiaceae Род: Вид: Sarcina ventriculi |
||||||||||
| Международное научное название | ||||||||||
| Sarcina ventriculi | ||||||||||
| ||||||||||
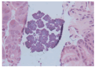
Sarcina ventriculi (лат.) — вид грамположительных анаэробный кокк. Клетки неподвижны, при микроскопировании представлены симметричными пакетами из 8—16 клеток. В пакеты клетки связываются благодаря целлюлозе.
Энергию Sarcina ventriculi получает единственным способом — за счёт сбраживания сахаров. Sarcina ventriculi обладают высокой потребностью в аминокислотах и витаминах, которые являются для них питательными веществами.
Продуктами брожения для Sarcina ventriculi являются этиловый спирт и углекислый газ, а также формируется уксусная кислота и имеет место выделение молекулярного водорода.
Сбраживание глюкозы по гликолитическому пути с образованием пировиноградной кислоты позволяет формировать различные метаболизмы, такие как декарбоксилирование и последующее восстановление. Также бактерия может подвергаться ферментативному расщеплению, что приводит к образованию ацетата. Этим объясняется большое количество конечных продуктов.
