Leishmania infantum
| Leishmania infantum | ||||||||
|---|---|---|---|---|---|---|---|---|
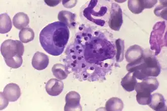
![]() Амастиготы Leishmania infantum в микроскопическом мазке костного мозга собаки (окраска по Гимзе). | ||||||||
| Научная классификация | ||||||||
|
Домен: Эукариоты Группа: Клада: Discoba Тип: Класс: Подкласс: Metakinetoplastina Отряд: Trypanosomatida Семейство: Род: Вид: Leishmania infantum |
||||||||
| Международное научное название | ||||||||
| Leishmania infantum Nicolle, 1908 | ||||||||
| ||||||||
Leishmania infantum (также L. donovani infantum) — вид жгутиконосных паразитических протистов рода Leishmania, возбудитель зоонозного висцерального лейшманиоза (детский лейшманиоз). Естественным резервуаром являются представители семейства псовых, переносчиком — москиты (Lutzomyia, Phlebotomus). Распространена преимущественно в бассейне Средиземного моря и Латинской Америке. В Новом Свете распространён синоним — Leishmania chagasi: ранее считалось, что это разные виды, но как изоферментный, так и молекулярно-биологический анализ показал, что эти два вида неразличимы. Наряду с L. donovani включается в комплекс L. donovani[1].
Примечания
- ↑ Lukeš J. et al. Evolutionary and geographical history of the Leishmania donovani complex with a revision of current taxonomy (англ.) // Proceedings of the National Academy of Sciences : journal. — National Academy of Sciences, 2007. — Vol. 104, no. 22. — P. 9375—9380. — doi:10.1073/pnas.0703678104. Архивировано 25 июля 2017 года.
