Hallux valgus

Вальгусная деформация первого пальца стопы
МКБ-11 FA30.0
МКБ-10 M20.1
МКБ-9 727.1
DiseasesDB 5604
MedlinePlus 001231
eMedicine orthoped/467 
MeSH D006215
Логотип Викисклада Медиафайлы на Викискладе

Ва́льгусная деформа́ция пе́рвого па́льца стопы́ (hallux valgus; hallux abducto valgus) — статическая деформация стопы, термин, обозначающий деформацию на уровне медиального плюснефалангового сустава с вальгусным (лат. valgus — искривлённый), то есть направленным кнаружи, отклонением первого пальца (лат. articulatio metatarsophalangealis) стопы.

Этиология

Вальгусная деформация первого пальца обусловлена длительным нарушением биомеханики первого плюснефалангового сустава, которое может быть связано с поперечным плоскостопием и слабостью связочного аппарата, некоторыми неврологическими нарушениями, врождёнными деформациями и рядом других причин, усугубляясь ношением неудобной обуви[1] (некоторые рассматривают ношение неудобной обуви в качестве главного фактора[2]). Деформация сустава сопровождается прогрессирующим артрозоартритом[3].

В основе искривления лежит поперечное плоскостопие. Неблагоприятными факторами являются ношение узкой обуви, очень высокий/низкий каблук (или полное его отсутствие).

Сильные формы деформации в первую очередь касаются женщин. Это связано с особенностями форм женской обуви, которые способствуют этой негативной тенденции.

Наблюдаются три неблагоприятных фактора, связанных с формой обуви:

  • чрезмерная высота каблука. При высоте каблука более 3 дюймов (7,62 см) существенно повышается давление на переднюю часть стопы. Это, с одной стороны, способствует развитию плоскостопия, а с другой — ведёт к вдавливанию пальцев ног в обувь;
  • узкий носок обуви. Если носок у обуви слишком узкий, то у пальцев ног нет необходимой свободы. В результате они вынуждены находиться в неудобном положении, что со временем приводит к постоянной деформации в плюснефаланговом суставе первого пальца;
  • слишком короткая обувь. Если обувь слишком короткая, то пальцы ног вынуждены находиться в неестественной позиции, а это способствует развитию бурсита большого пальца стопы.

Патогенез

При вальгусной деформации стопы значительно увеличен угол между первой и второй плюсневыми костями. При этом первая плюсневая кость начинает смещаться внутрь, а первый палец стопы, удерживаемый приводящей мышцей, смещается кнаружи. Из-за этого на головке кости начинает образовываться бугорок, который называют «косточкой на ногах». Так как в этом случае большой палец ноги не может по-прежнему «смотреть» внутрь, он начинает постепенно отклоняться наружу.

Вследствие постоянного давления выступ «косточки» воспаляется, так как «конфликтует» с обувью. Это, как правило, приводит к бурситу, то есть к воспалению синовиальной сумки.

Кроме того, вследствие постоянного давления возникают изменения костной ткани в районе головки первой плюсневой кости. Изменения в кости приводят к припухлости, повышенной чувствительности, болезненности и чрезмерной раздражительности «косточки» на большом пальце.

Неправильные расположение и угол наклона большого пальца ноги приводят к преждевременному износу основного сустава, поражению хряща и значительному увеличению размера костного нароста на ноге.

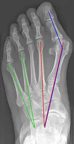
Классификация

Во всех современных классификациях выделяют несколько степеней заболевания. Основными параметрами по которым оценивают степень вальгусного отклонения первого пальца являются: угол между продольными осями первой и второй плюсневых костей (M1M2) и угол между первой плюсневой и проксимальной фалангой (M1P1). Определение степени деформации необходимо для выбора тактики лечения[4].

1 степень (незначительная) 2 степень (умеренная) 3 степень (выраженная)
M1M2 < 25° M1M2 ≥ 25° M1M2 ≥ 35°
M1P1 < 12° M1P1 ≤ 18° M1P1 > 18°
PASA нормальный или негативный PASA нормальный, негативный или подвывих в плюснефаланговом суставе. PASA негативный или подвывих в плюснефаланговом суставе.

Угол PASA (Proximal articular set angle) — угол наклона суставной поверхности головки M1 по отношению к оси M1.

Симптомы

Отклонение большого пальца от центральной оси
  • Боль в суставах стоп
  • Быстрая утомляемость ног
  • Отклонение большего пальца стопы наружу, постепенное увеличение «косточки»
  • Молоткообразная деформация остальных пальцев стоп

Причины

В основе заболевания лежит врождённая слабость соединительной и костной тканей, которая приводит к плоскостопию. Развитию деформации способствует неправильно подобранная обувь (высокий каблук, узкий носок обуви), это ведёт к увеличению нагрузки на стопу и её неправильному распределению. Вследствие чего развивается и прогрессирует артроз сустава большого пальца.

Профилактика

  • Регулярный осмотр у ортопеда;
  • ношение ортопедических стелек;[5]
  • ношение рациональной обуви (каблук не выше 7 см, обувь без шпилек, острых носов, из натуральных материалов);[6]
  • при возможности для профилактики и улучшения кровообращения в стопе ходить по песку и маленьким камням босиком.
  • Правильное питание. Снижение углеводов, сахара, солёных и острых блюд;
  • Ежедневное выполнение комплекса гимнастических упражнений для стоп[7].

Лечение

Лечение преимущественно симптоматическое, направленное на устранение болевого синдрома, при выраженных деформациях производится хирургическое вмешательство с целью устранения деформации.

В некоторых случаях вальгусная деформация лечится при помощи специализированных ортезов.

Раннее оперативное лечение ведёт к профилактике артроза в первом плюснефаланговом суставе и более благоприятным исходам операции. Современные методы операций не разрушают сустав, сохраняя его подвижность и опороспособность. Широкое распространение нашли корригирующие остеотомии типа Chevron, Skarf или проксимальные остеотомии в различных вариациях. При нестабильности в первом предплюсно-плюсневом суставе имеет смысл артродезирование (замыкание) этого сустава с одновременной коррекцией положения первой плюсневой кости.

Известны более 150 разных методов операционной корректировки возникшей вальгусной деформации стопы. Общая цель этих методов — это уменьшение угла между плюсневыми костями, так как это позволит поставить основание большого пальца ноги в правильную позицию. Немецкие хирурги-ортопеды используют не менее шести различных методов решения этих проблем.

В клиниках Германии операции по коррекции кости большого пальца проводятся:

  • по методу Аустина, так называемая шевронная остеотомия;
  • остеотомия основания первой плюсневой кости;
  • остеотомии первой плюсневой кости с открытым клином;
  • перестановка костей. Например, на головке первой плюсневой кости, так называемый метод Ревердин — Грина;
  • коррекция по Айкину, остеотомия основной фаланги большого пальца;
  • удаление аномальных костных разрастаний первой плюсневой кости.

Так как процесс послеоперационного заживления длится от одного до двух месяцев, то в течение 1,5 месяцев специалисты рекомендуют носить ортопедический сапог — вид специализированной ортопедической обуви.

Прогноз

Условно неблагоприятный, состояние является медленно прогрессирующим, в итоге приводящим к инвалидизации, хирургическое лечение не устраняет причины возникновения патологии, а лечение основного заболевания лишь замедляет процесс развития деформации. При адекватно выполненном хирургическом вмешательстве наблюдается относительно длительная компенсация состояния больного.

Примечания

  1. Bunions (Hallux Abducto Valgus). Дата обращения: 13 апреля 2010. Архивировано 8 декабря 2011 года.
  2. [orthopedics.about.com/cs/toeproblems/a/bunions.htm Bunions — Information About Bunion Deformities]. Дата обращения: 13 апреля 2010. Архивировано 25 января 2009 года.
  3. Hallux valgus ЦИТО им. Н. Н. Приорова. Дата обращения: 12 сентября 2011. Архивировано из оригинала 16 февраля 2012 года.
  4. А. А. Карданов. Хирургическая коррекция деформаций стоп. — Медпрактика-м, 2016. — ISBN 978-5-98803-354-7.
  5. оброзец ортопедический стелки. Дата обращения: 18 июня 2018. Архивировано 18 июня 2018 года.
  6. что такое Hallux valgus. Дата обращения: 18 июня 2018. Архивировано из оригинала 18 июня 2018 года.
  7. Вальгусная деформация первого пальца стопы. Косточка на ноге – лечение в СПБ. www.gosmed.ru. Дата обращения: 7 апреля 2024.

Литература

  • Hallux valgus // Краткая Медицинская энциклопедия / Б. В. Петровский (гл. ред.), А. Н. Шабанов (отв. ред.). — М.: Сов. энциклопедия, 1972. — Т. I. — С. 237. — 584 с.

Ссылки