CADASIL
| CADASIL | |
|---|---|
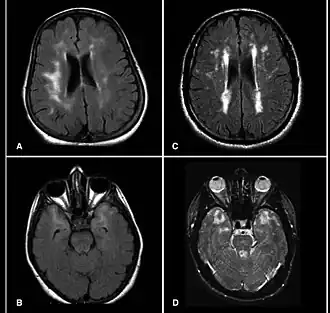
![]() МРТ головного мозга больного синдромом CADASIL | |
| МКБ-11 | 8B22.C0 |
| МКБ-10 | I67.3 |
| МКБ-10-КМ | F01.1 |
| МКБ-9-КМ | 447.8[1] и 323.9[1] |
| OMIM | 125310 |
| DiseasesDB | 2161 |
| MeSH | D046589 |
CADASIL — от англ. cerebral autosomal dominant arteriopathy with subcortical infarcts and leukoencephalopathy — артериопатия церебральная аутосомно-доминантная с субкортикальными инфарктами и лейкоэнцефалопатией. Заболевание вызвано мутацией гена Notch 3 на 19-й хромосоме[2]. Синдром характеризуется транзиторной ишемической атакой и мигренью, который возникают у пациентов в возрасте от 40 до 50 лет, хотя МРТ может выявить клинические признаки заболевания и раньше[3][4]. В отличие от болезни Бинсвангера у больных отсутствует артериальная гипертензия[5]. Это наследственное заболевание, передающиеся непосредственно от родителей к потомству, имеет аутосомно-доминантный тип наследования.
Впервые данное заболевание описал французский невролог Мари-Жермен Буссе.
Симптоматика
CADASIL может начаться мигренью с аурой, транзиторной ишемической атаки, инсульта или аффективных расстройств.
Клинические проявления: подкорковая деменция, псевдобульбарный паралич, недержание мочи.
Поэтапная схема проявления CADASIL (в клинической практике применяется очень редко):
- Первая стадия (возраст больных от 20 до 40 лет):
- Вторая стадия (возраст больных от 40 до 60 лет):
- * инсульт;
- * расстройства психики;
- * более сильное поражение белого вещества мозга и базальных ганглиев.
- Третья стадия (возраст больных от 60 до 80 лет):
- * деменция;
- * спастичность;
- * псевдобульбарный паралич.
- Четвёртая стадия:
Примерно через 20 лет после первых симптомов наступает смерть.
Лечение
На сегодняшний день эффективной терапии CADASIL нет. Обычно назначают ацетилсалициловую кислоту для возможного предотвращения тромботической окклюзии. У большинства больных CADASIL при МРТ обнаруживаются микрокровоизлияния, в связи с чем, прием аспирина, возможно, увеличит риск внутричерепного кровоизлияния[6].
Известные люди, пострадавшие от CADASIL
Вероятнее всего, известнейший композитор Феликс Мендельсон Бартольди (4 ноября 1847 года) и его сестра, Фанни Мендельсон (14 мая 1847 года), умерли от CADASIL.
Также известный английский искусствовед Джон Рёскин, судя по описаниям его болезни, страдал CADASIL и скончался от инсульта.
Примечания
- ↑ 1 2 Monarch Disease Ontology release 2018-06-29 — 2018-06-29 — 2018.
- ↑ Joutel A, Corpechot C, Ducros A, et al. Notch 3 mutations in CADASIL, a hereditary adult-onset condition causing stroke and dementia. Nature 1996;383:707-710. PMID 8878478
- ↑ Chabriat H, Vahedi K, Iba-Zizen MT, et al. Clinical spectrum of CADASIL: a study of 7 families. Cerebral autosomal dominant arteriopathy with subcortical infarcts and leukoencephalopathy. Lancet 1995;346:934-939 PMID 7564728
- ↑ James, William D.; Berger, Timothy G.; et al. Andrews' Diseases of the Skin: clinical Dermatology (англ.). — Saunders Elsevier, 2006. — ISBN 0-7216-2921-0.
- ↑ Ермакова М.М., Прокопьева Г.А., Деомидов Е.С. Гипергомоцистеинемия и CADASIL-синдром Архивная копия от 3 июля 2019 на Wayback Machine Клиническая и профилактическая медицина, № 3, 2016. С. 17-21.
- ↑ ЦАДАСИЛ. (недоступная ссылка) Пер. с англ. Н. Д. Фирсовой (2019)
