Бабезии
| Бабезии | ||||||||
|---|---|---|---|---|---|---|---|---|
| ||||||||
| Научная классификация | ||||||||
|
Домен: Эукариоты Клада: Клада: Sar Клада: Тип: Класс: Aconoidasida Отряд: Пироплазмиды Семейство: Бабезиевые Род: Бабезии |
||||||||
| Международное научное название | ||||||||
| Babesia Starcovici, 1893 | ||||||||
| ||||||||
Бабе́зии[1] (лат. Babesia) — род протистов из отряда пироплазмид.
История исследований
Впервые описаны в 1888 году румынским учёным микробиологом В. Бабешем как возбудитель инфекционного заболевания (пироплазмоза) крупного рогатого скота. В 1893 году по фамилии первооткрывателя назван род, к которому отнесли этого возбудителя[2].
Этиология
Бабезии — внутриклеточные паразиты, поражающие эритроциты крови крупного рогатого скота, лошадей, овец, свиней, собак, человека.
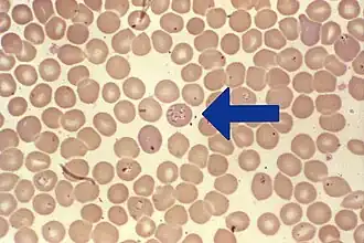
В эритроцитах происходит бесполое размножение бабезий делением каждой на 2—4 особи. Бабезии имеют различную форму и размеры, чаще характерны кольцевые формы, располагающиеся вдоль стенок эритроцита. Пары бабезий образуют грушевидные формы. Заражённость эритроцитов составляет от долей процента (бессимптомные формы заболеваний) до десятков процентов (острые формы).
Эпизоотология

Перенос бабезий осуществляется циклично между промежуточными хозяевами. В качестве хозяев выступают как животные, специфично чувствительные к возбудителям, так и нечувствительные (в основном, мелкие грызуны). Перенос между хозяевами осуществляется чаще клещами, реже через кровь при операциях и травмах. Основными переносчиками Babesia divergens являются клещи видов Ixodes ricinus и Ixodes persulcatus. Переносчиком Babesia ovis — видов Rhipicephalus bursa.
В организме клещей бабезии размножаются бесполым путём в кишечнике а также внутриклеточно. В клещах бабезии циркулируют трансфазно (от личинки к нимфе и затем к имаго), а также трансовариально (через яйца к следующему поколению клещей). Как правило, во втором и последующих поколениях клещей после получения возбудителя из крови больного животного личинки имеют генерализованное носительство бабезий во всех органах, в том числе в слюнных железах.
При питании клеща на животном бабезии попадают из слюны клеща в кровь, где внедряются в эритроциты и начинают размножение. В большинстве случаев происходит одновременное заражение различными видами бабезий и другими возбудителями опасных болезней (вирусами клещевого энцефалита, возбудителями боррелиоза и др.).
Классификация
Единой классификации не разработано. Часть исследователей не разделяют бабезии и простейших видов пироплазм (Piroplasma), другие разделяют род бабезии на 4 рода или подрода и соответственно различают болезни, ими вызываемые[2]:
- пироплазма (Piroplasma) — пироплазмозы
- нутталия (Nuttallia) — нутталлиозы
- бабезия (бабезиелла) (Babesiella) — бабезиозы
- франсаиелла (Francaiella) — франсаиеллёзы
На территории России встречаются 10 видов, основные[2]:
- Babesia bigemina
- Babesia bovis
- Babesia ovis
Примечания
- ↑ Атлас по медицинской микробиологии, вирусологии и иммунологии : Учебное пособие для студентов медицинских вузов / Под ред. А. А. Воробьева, А. С. Быкова. — М. : Медицинское информационное агентство, 2003. — С. 156. — ISBN 5-89481-136-8.
- ↑ 1 2 3 Бабезия / Чибисова О. И. // Ангола — Барзас. — М. : Советская энциклопедия, 1970. — С. 499. — (Большая советская энциклопедия : [в 30 т.] / гл. ред. А. М. Прохоров ; 1969—1978, т. 2).
Литература
- Догель В. А., Полянский Ю. И., Хейсин Е. М. Общая протозоология. — М., Л., 1962.
- Levine N. D. Protozoan parasites of domestic animals and of man. — Minneapolis, 1961.
